
现报道1例误诊为组织细胞性坏死性淋巴结炎的病例,患者使用糖皮质激素后症状反复,多次行淋巴结活检,最终诊断为淋巴结结核。其误诊原因与二者的临床表现相似、病理改变不易相鉴别及结核分枝杆菌感染辅助检查的局限性有关。在临床诊疗过程中,应把握有的放矢、重复的原则进行检查,并联合多学科诊疗模式共同诊治。
版权归中华医学会所有。
未经授权,不得转载、摘编本刊文章,不得使用本刊的版式设计。
除非特别声明,本刊刊出的所有文章不代表中华医学会和本刊编委会的观点。
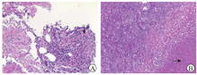
患者女,59岁,因"发热伴淋巴结肿痛2月余"于2021年12月8日入联勤保障部队第九〇〇医院。患者于2021年9月末接种第2针新型冠状病毒疫苗后出现乏力伴低热,未诊治。10月5日开始出现畏寒、寒战、发热,最高体温达39.0 ℃,伴双颈部及腋下淋巴结肿大,触之疼痛明显。就诊于当地县医院,予地塞米松、克林霉素治疗,无改善。10月7日就诊于当地市医院血液科,实验室检查:白细胞计数为48.52×109/L,中性粒细胞比例为0.887,血小板计数为300×109/L,血红蛋白为87 g/L;CRP为222.66 mg/L;ESR为109.0 mm/1 h;抗核抗体为1∶100,抗SSA抗体弱阳性,抗SSB抗体阳性;甲状腺功能3项(游离三碘甲状腺原氨酸、游离四碘甲状腺原氨酸、促甲状腺激素)、肿瘤标志物(AFP、癌胚抗原、糖类抗原125、糖类抗原19-9)、呼吸道病原体(肺炎衣原体、肺炎支原体、呼吸道合胞病毒、腺病毒、柯萨奇病毒)IgG均正常;T-SPOT.TB不确定,PPD阴性。CT检查示双肺少量炎症,纵隔、腹腔、腹膜后、左侧锁骨上区及双侧腋窝多发大小不等淋巴结,双侧胸腔少量积液。右侧腋窝淋巴结活检病理示:淋巴细胞增生,局灶坏死,考虑组织细胞性坏死性淋巴结炎(histiocytic necrotizirg lymphadentis, HNL);骨髓穿刺提示粒细胞增生明显,粒细胞核左移,红细胞、血小板正常。予依替米星、左氧氟沙星抗感染后体温恢复正常,淋巴结缩小,于10月20日出院。出院当晚再次发热,最高体温为38.2 ℃,物理降温后可恢复正常,次日午后再次升高至38.5 ℃。遂就诊于当地市医院感染科,痰培养检出念珠菌,行左侧腋窝淋巴结活检,病理示送检淋巴结构破坏,大量急慢性炎症细胞浸润及组织细胞聚集,局灶坏死及微脓肿形成,倾向HNL,免疫组织化学不考虑淋巴瘤。先后予左氧氟沙星+阿米卡星、美罗培南、利奈唑胺抗感染,氟康唑抗真菌,地塞米松抗炎等治疗,效果不佳。11月8日起予"异烟肼+利福平+吡嗪酰胺+乙胺丁醇"试验性抗结核治疗1个月。11月16日起地塞米松改甲泼尼龙口服,11月30日加用沙利度胺、羟基喹、甲氨蝶呤治疗。其间体温波动于37.4~38.1 ℃,白细胞计数波动于(27~37)×109/L。12月8日以"发热伴淋巴结肿大待查"转诊至联勤保障部队第九〇〇医院。既往30年前因淋巴结肿大就诊,口服药物(具体不详)治疗1周后自行停药;1年前因颈部淋巴结肿痛就诊于当地诊所,予抗感染、糖皮质激素处理后症状好转。个人史、婚育史、家族史无特殊。体格检查:双侧颌下、颈部及腋窝多发淋巴结肿大,质硬,部分融合,伴压痛,活动度差,表面皮肤完好无发红、破溃,双侧腹股沟淋巴结肿大,无压痛,活动尚可。双侧腋窝均见一斜行活检手术瘢痕,愈合可。实验室检查:白细胞计数为19.75×109/L,中性粒细胞比例为0.861,血红蛋白为72 g/L,血小板计数为412×109/L,ESR为57.0 mm/1 h,CRP为159.00 mg/L;生物化学检查、降钙素原、IgA、IgG、IgM、补体C3、补体C4均正常;EB病毒DNA为1.53×104 IU/mL;EB病毒抗衣壳抗原IgA抗体阳性,抗早期抗原IgA抗体阴性,抗衣壳抗原IgG抗体阳性,抗早期抗原IgG抗体阳性,抗衣壳抗原IgM抗体阴性。结合患者病史,考虑卡斯尔曼病、结核性淋巴结炎可能性大,淋巴瘤不能除外。遂予甲泼尼龙(80 mg/次,1次/d,静脉滴注)抑制炎症反应,左氧氟沙星(0.5 g/次,1次/d,静脉滴注)预防性抗感染,保胃,补钙等治疗。进一步完善相关检查:结核抗体阳性,PPD阳性,γ干扰素释放试验(interferon-γ release assay, IGRA)不确定;12月14日PET-CT检查示,全身多部位、多发肿大淋巴结,呈高代谢,考虑淋巴结炎症性病变可能性大(图1A、图1B)。行右颌下淋巴结穿刺活检,病理检查示:送检主要为纤维结缔组织及骨骼肌组织,间质伴急慢性炎症细胞、组织细胞浸润,局部疑似肉芽肿形成,坏死可见(图2A)。因有效组织量少,无法进一步行免疫组织化学及其他检查。患者入院后仍有夜间发热,体温为38.5 ℃左右,改地塞米松10 mg/次,1次/d静脉滴注后热峰下降,持续地塞米松15 mg/次,1次/d静脉滴注后未再发热。因诊断仍不明确,遂外借当地医院左侧腋窝淋巴结活检标本送病理科检查,光学显微镜下见:局灶淋巴组织坏死,化脓性肉芽肿性病变,坏死周围淋巴细胞、中性粒细胞围绕(图2B)。与病理科医师沟通,大量中性粒细胞浸润,考虑HNL可能性小。虽然未见到典型的凝固型坏死、朗汉斯巨细胞及淋巴细胞,但局部可见化脓性肉芽肿,故结核不能除外。行金胺染色,找到抗酸分枝杆菌(++),进一步行荧光定量PCR检测结核分枝杆菌(Mycobacterium tuberculosis,MTB)为阳性(8 500 000拷贝/mL)。结核Xpert MTB/RIF基因检出MTB复合群(中)。最终诊断为结核性淋巴结炎。12月17日开始口服吡嗪酰胺片(0.75 g/次,1次/d)+盐酸乙胺丁醇片(0.75 g/次,1次/d)+利福平胶囊(0.45 g/次,1次/d)+异烟肼片(0.3 g/次,1次/d)抗结核治疗,地塞米松逐渐减量。治疗期间淋巴结肿痛加重,并再次出现午后低热,考虑结核中毒症状,12月27日调整地塞米松为15 mg/次,1次/d静脉滴注,发热无改善。考虑淋巴结坏死合并感染可能,调整为哌拉西林他唑巴坦(4.5 g/次,每12 h 1次,静脉滴注)抗感染,实验室检查示白细胞计数、CRP、降钙素原无明显升高,β-D-葡聚糖试验、半乳甘露聚糖抗原试验均阴性,反复血培养均未检出致病菌。不能排除合并淋巴瘤,遂再次行下颌下淋巴结穿刺活检,穿刺过程中见脓液流出,病理回报急慢性炎症细胞、组织细胞浸润,坏死可见,不支持淋巴瘤。穿刺后患者未再发热,但腋窝、下颌肿大淋巴结先后出现多发脓点,切开引流后每日引出脓性及豆渣样分泌物。逐渐减少地塞米松用量至2022年1月4日停用。1月8日患者再次出现午后低热,最高体温为38.0 ℃,且淋巴结破溃流脓处日益增多。请普外科、耳鼻喉头颈外科、结核科会诊:当前结核诊断较明确,反复发热考虑结核中毒症状,淋巴瘤证据不充分,再次获取淋巴结病理可能导致创面扩大,目前破溃处淋巴结清创处理可能导致创面增大无法愈合,建议继续局部伤口引流,强化抗结核治疗,加用糖皮质激素减轻中毒症状。1月13日调整方案为口服吡嗪酰胺片(1 g/次,1次/d)+盐酸乙胺丁醇片(0.75 g/次,1次/d)+利福平胶囊(0.45 g/次,1次/d)+异烟肼片(0.3 g/次,1次/d)+利奈唑胺(600 mg/次,2次/d)抗结核治疗,地塞米松(5 mg/次,1次/d)静脉滴注,异烟肼注射液冲洗破溃窦道。患者体温稳定于37.0 ℃以内,于1月21日出院。出院后地塞米松减量,至2月18日停用。3月8日复查CT见淋巴结较前缩小(图1C),遂停用利奈唑胺,继续四联抗结核治疗,用药期间患者出现手脚麻木、疼痛,考虑为抗结核药物不良反应,嘱患者坚持用药,并加强补充维生素B6、B12改善症状。患者淋巴结干酪样坏死排脓逐渐减少,伤口逐渐愈合。7月20日复查颈部、胸部CT示双侧颈部、颌下、纵隔内、所见双侧腋窝、双侧锁骨上窝多发淋巴结较3月8日有所缩小(图1D)。


注:PET-CT为正电子发射计算机断层成像;CT为计算机断层成像


结核病是当下仅次于新型冠状病毒感染的第二大单一感染源致死原因,对全人类生命健康造成重大威胁[1,2]。我国结核发病率约为59/10万,病死率约4%,是全球第2位结核高负担国家[3]。由于结核病可累及人体各器官及部位,临床症状及影像学表现缺乏特异性,且细菌学确诊率低,相关实验室检查的灵敏性和特异性易受其他因素影响,故其误诊率及漏诊率高。特别是肺外结核因其少菌性及取材困难,诊断极具挑战[4]。
本例患者起病时反复高热伴淋巴结肿大,热峰达39.0 ℃以上,无午后低热、盗汗、消瘦等典型结核中毒表现。当地医院淋巴结活检病理检查提示HNL,但治疗效果欠佳,最终确诊为淋巴结结核。误诊考虑与以下原因有关:①二者临床表现类似,如发热、淋巴结肿大、局部压痛或疼痛,并且一般抗感染治疗无效[5]。Yang和Du[6]的研究发现,前者发热的发生率明显高于后者,白细胞计数可低于正常值,白蛋白处于正常水平,而后者的白细胞计数正常,白蛋白常降低。在CT表现上,前者有多个淋巴结受累、很少或无淋巴结坏死、结外浸润明显且上肺部无病变或未见纵隔淋巴结肿大。②二者淋巴结病理表现不易相鉴别,HNL的病变可分为3期,增殖期可见滤泡增生,副皮质区扩大,背景内有大量细胞凋亡;坏死期可见坏死但无中性粒细胞浸润;黄色瘤期病灶中以泡沫组织细胞为主[7]。结核的特征性病理为肉芽肿性炎症、干酪性坏死和多核巨细胞反应[8]。当MTB量多、毒力强及机体免疫力低或超敏反应强时,病变以渗出、坏死为主,其前期可表现为没有淋巴细胞及朗汉斯巨细胞的化脓性肉芽肿病变,形似HNL的碎屑性坏死[6],从而导致误诊。③结核性淋巴结炎实验室检查存在局限性,在肺外结核中,痰液中含MTB的概率不高,且淋巴结结核破溃分泌物的MTB检查阳性率较低[9]。免疫学检测技术包括PPD、血清抗体检测、T-SPOT.TB和IGRA。但当结核病处于窗口期、免疫功能不全、特殊肺外结核,以及患者年龄较大时可能会出现假阴性的结果[10,11,12]。本例患者早期PPD阴性,后期阳性,T-SPOT.TB、IGRA不确定,考虑与病程及早期使用糖皮质激素有关。结核Xpert MTB/RIF和Xpert Ultra有助于诊断肺外结核,对骨与关节液的灵敏度最高,淋巴结次之[13],是WHO推荐用于所有结核疑似患者的初始诊断测试[14],但受到取材质量的制约。
除病原菌检查、组织病理学外,诊断性抗结核治疗也是诊断结核的主要手段,常在2周左右观察到疗效。Tsao等[15]对235例结核病患者的发热特征进行分析,发现抗结核治疗后除1例患者外,其余均在4周内退热。本例患者外院抗结核治疗1个月仍发热,考虑可能与用药剂量、药物渗透性差有关[8]。
本例患者经多次淋巴结活检后最终确诊为淋巴结结核,治疗经过亦非一帆风顺,体温反复波动,多处淋巴结破溃经久不愈。在诊治过程中有以下几点体会:①有的放矢进行相关检查,本例患者发病不典型,辅助检查存在不确定及互相矛盾之处,不管是考虑感染性、增殖性还是恶性疾病,均需淋巴结病理检查的支持,因此在当地医院及本院均牢牢抓住这一检查,最终得到正确的诊断。②重复检查原则,因疾病的发展有其自身的时间规律,症状、体征及检查逐步显现,部分早期未表现的后期易被忽视,因此当检查结果与临床有矛盾时,应以临床为主,针对病史、体格检查或重要的检查采取重复原则。本例患者共行4次淋巴结活检才确诊,亦体现了这一原则。③多学科诊疗模式,本例患者的成功诊断离不开病理科、影像科的支持,最终治疗方案的调整离不开结核科、外科的共同商讨。本科室常年收治不明原因发热病例,深知每个疑难病例的成功诊疗离不开多学科的共同努力。
所有作者均声明不存在利益冲突





















