
2009年3月甲型H1N1流感暴发并在全球范围内迅速蔓延,此后至今甲型H1N1流感仍在局部地区以不同规模流行,并于2023年期间在我国暴发流行。目前国内外缺乏甲型H1N1流感重症肺炎的影像学诊断的统一共识,不利于规范的影像诊断与临床治疗。中国研究型医院学会感染与炎症放射学专业委员会等国内专家在查阅与甲型H1N1流感相关的大量参考文献基础上,结合循证医学对指南及标准制定的方法学要求,共同制定本共识。本共识针对甲型H1N1流感重症肺炎的诊断依据,影像学方法,诊断标准以及鉴别诊断形成共识,旨在为相关专业医师提供明确的诊断信息及依据,指导甲型H1N1流感重症肺炎临床诊疗。
版权归中华医学会所有。
未经授权,不得转载、摘编本刊文章,不得使用本刊的版式设计。
除非特别声明,本刊刊出的所有文章不代表中华医学会和本刊编委会的观点。
2009年3月墨西哥暴发并在全球范围内迅速蔓延、流行“人感染猪流感”疫情,之后世界卫生组织(WHO)将其更名为甲型H1N1流感。H1N1流感病毒可引起急性呼吸道传染性疾病,主要表现为流感样症状,人群普遍易感,传染性极强。甲型H1N1流感重症肺炎常见,部分患者病情发展迅速,重者出现呼吸衰竭,多器官损伤,甚至死亡,给人类生命健康及社会带来严重危害。影像评估是甲型H1N1流感重症肺炎临床诊断、鉴别诊断、疗效监测、预后随访的常用手段,制定甲型H1N1流感重症肺炎影像学诊断标准具有重大意义。
为使甲型H1N1流感重症肺炎诊断与治疗工作更加规范、有效、安全,在中国研究型医院学会感染与炎症放射学专业委员会等专家指导下,由首都医科大学附属北京佑安医院牵头,联合国内多家医院的感染与炎症放射学专家共同参与书写及制定甲型H1N1流感重症肺炎的影像学诊断共识。针对甲型H1N1流感重症肺炎的定义、影像学方法、特征性影像学表现、影像演变过程、影像表现与临床症状一致性及相关性、影像学特征与预后判断关系、影像鉴别诊断等临床关心的问题,进行分析并总结成文。
本共识依据甲型H1N1流感重症肺炎相关检索词查阅相关文献,依据内容筛选后纳入文献共计245 篇,其中中文文献130篇、英文文献115篇,基于上述文献汇总甲型H1N1流感重症肺炎的影像表现。本共识结合影像学临床研究特点,根据牛津大学循证医学中心证据分级和推荐标准、JBI2014版诊断性试验、预后研究、经济学评价证据预分级标准、以及证据分级系统的推荐、评估、发展和评价分级(the grading of recommendations assessment development and evaluate,GRADE)工作组制定的推荐意见[1]形成的方法,制定本共识的证据分级和推荐强度标准见表1。

本共识证据分级及推荐强度标准
本共识证据分级及推荐强度标准
| GRADE分级系统 | 说明 |
|---|---|
| 证据级别 | |
| Ⅰ | 基于横断面研究设计的诊断试验(与公认的金标准进行独立盲法的比较)的系统评价或荟萃分析 |
| Ⅱ | 单个的横断面研究设计的诊断试验(与公认的金标准进行独立盲法的比较) |
| Ⅲ | 单个横断面研究设计的诊断试验(未与公认的金标准进行独立盲法的比较)或非连续性研究 |
| Ⅳ | 病例对照研究 |
| Ⅴ | 基于机制的推理或专家经验及共识 |
| 推荐强度 | |
| 强 | 能明确显示所有病变和对疾病的定性诊断提供确切的依据支持,临床可行性强 |
| 弱 | 无法全部明确显示病变和对疾病的定性诊断,无法提供确切的依据支持 |
胸部X线、CT成像对甲型H1N1流感重症肺炎疑似或危重症患者诊断价值有限,可显示甲型H1N1流感重症肺炎患者疾病进展、呼吸状态恶化的肺部病变变化。在资源有限的情况下,影像学检查适用于中重度临床特征甲型H1N1流感重症肺炎疑似患者的医学分诊(证据级别Ⅰ,推荐强度:强)。
1. X线胸片:胸部X线检查在甲型H1N1流感重症肺炎预后预测方面有重要价值,且有助于重症患者的管理。建议使用便携式数字X线检查设备以减少交叉感染的机会(证据级别Ⅰ,推荐强度:强)。
2. CT成像:对具有典型临床特征的甲型H1N1流感重症肺炎患者推荐胸部CT检查,采用高分辨CT(high resolution computed tomography,HRCT)评估病灶(证据级别Ⅰ,推荐强度:强)。一般采用吸气末胸部CT平扫,扫描范围为肺尖到肺底部,患者有咳嗽或呼吸急促时可选用快速扫描方式(证据级别Ⅰ,推荐强度:强)。对于疑似合并肺栓塞或感染坏死时采用CT增强扫描。层厚≤1.5 mm薄层图像评估肺部磨玻璃影(ground glass opacity,GGO)最佳(证据级别Ⅰ,推荐强度:强),可使用胸部CT用于长期随访患者肺损伤的评估(证据级别Ⅰ,推荐强度:强)。肺部低剂量CT与常规CT的图像质量与诊断效能相当,可采用低剂量肺结节随访CT或肺癌筛查方案复查(证据级别Ⅰ,推荐强度:强)。
1.传染源:主要传染源为甲型H1N1流感患者,隐性感染者同样具有传染性[2]。到目前为止,还没有证据表明猪在流行病学或在人类群体病毒的全球传播中发挥了任何作用[3]。
2.传播途径:传播途径与其他流感病毒相似,通过人与人的接触传播,包括吸入或接触受感染的呼吸道飞沫、气溶胶和受污染的物品表面等途径[4],所有确诊患者的体液和分泌物都具有传染性。
3.易感人群:人群普遍易感,但以青壮年为主。在65岁或以上老年患者人群中,只有5%对该病毒具有部分免疫力[5]。较易成为重症病例的高危人群主要包括孕妇、合并基础疾病患者、免疫功能缺陷或抑制者、肥胖者、婴幼儿、年龄≥65岁的老年人。
1. 气道:气道黏膜及分泌物均表现为炎细胞浸润,以单核细胞浸润为主;气道平滑肌细胞出现变性肿胀。
2. 肺脏:最常见的病理表现包括典型弥漫渗出性肺泡损伤伴肺泡和间质水肿,肺泡纤维渗出伴透明膜和肺细胞炎性反应,可伴严重出血;细支气管壁出现严重坏死并伴管腔内炎性细胞浸润,以中性粒细胞浸润为主。患者也可能发展成肺动脉血栓形成。晚期,可见纤维化和有组织的弥漫性肺泡损伤[6, 7, 8]。
3. 心肌:心肌受损呈非特异性心肌炎改变。
4. 肝脏:肝细胞损伤,表现为肿胀伴脂肪变性,汇管区炎细胞浸润。
1. 潜伏期:一般在7 d以内,多为1~3 d[2]。高达80%的患者5 d后仍在排出病毒,40%患者排出病毒时间为7 d,10%患者排出病毒时间为10 d[9];免疫抑制患者则可长达数周。
2. 症状:起病急,症状无特异性,以发热、咳嗽为主要症状,其次为气促、乏力、流涕、咽痛、肌肉疼痛及头痛[2]。少数患者只出现胃肠道或神经系统症状,没有发热或咳嗽。临床表现从无症状病例到导致呼吸衰竭、急性呼吸窘迫、多器官衰竭和死亡的原发性病毒性肺炎。体征主要包括咽部充血和扁桃体肿大。
3. 并发症:部分患者可出现并发症。并发症包括基础慢性病的恶化,上呼吸道(鼻窦炎、中耳炎、咽喉炎)和下呼吸道(肺炎、哮喘加重和毛细支气管炎)的并发症,神经系统(脑病、脑炎、高热惊厥、癫痫持续状态),心脏(心包炎和心肌炎)和肌肉骨骼(横纹肌炎)的并发症,中毒性休克综合征,以及继发细菌感染并发败血症。
4. 实验室检查
(1)外周血象及骨髓象检查:血白细胞总数多数降低,少数继发细菌感染而升高[1]。淋巴细胞大多降低。随着病情的加重,患者中性粒细胞比例升高,淋巴细胞比例下降。此外C-反应蛋白(C-reactive protein,CRP)水平与甲型H1N1流感肺炎的严重程度有关,病情严重的患者的CRP平均水平高于非严重感染患者。骨髓穿刺检查显示细胞增生活跃,反应性组织细胞增生伴出血性吞噬现象[4]。
(2)血生化检查:部分病例出现低钾血症,少数病例心肌酶及肝酶升高,主要包括肌酸激酶(creatine kinase,CK)、丙氨酸转氨酶(glutamic-pyruvic transaminase,ALT)、天冬氨酸转氨酶(glutamic-oxaloacetic transaminase,AST)和乳酸脱氢酶(lactate dehydrogenase,LDH)[10]。其中LDH升高量值与患者的严重程度高度相关。CK水平升高,可能并发心肌炎。随着病情的加重,血清白蛋白水平下降。
(3)病原学检查:病原学检查包括检测呼吸道标本中的甲型H1N1病毒核酸呈阳性、分离出病毒、血清病毒特异性抗体水平升高达4倍或4倍以上。上述3种病原学检测方法均为确诊甲型H1N1流感的重要手段。
诊断标准依据甲型H1N1流感诊疗方案(2009年第3版)[2],包括疑似病例、临床诊断病例、确诊病例及重症与危重病例的诊断。
1. 疑似病例:疑似病例均出现流感样症状,且符合:(1)发病前7 d内与甲型H1N1流感确诊病例有密切接触;(2)发病前7 d内曾到过甲型H1N1流感流行地区;(3)甲型流感病毒检测阳性,未确定病毒亚型任一情况可诊断为疑似病例。
2. 临床诊断病例:仅限于在同一起甲型流感暴发疫情中,未经实验室确诊的流感样症状病例,且在排除其他产生流感样症状疾病时方可诊断为临床诊断病例。
3. 确诊病例:有流感样症状,同时满足病原学检测方法中的一种或几种呈阳性即可确诊,包括:(1)甲型H1N1流感病毒核酸检测阳性;(2)分离出甲型H1N1流感病毒;(3)双份血清甲型H1N1流感病毒的特异性抗体水平呈4倍或4倍以上升高。
4. 重症与危重病例:(1)依据甲型H1N1流感诊疗方案(2009年第3版)标准[2],出现:①持续高热超过3 d;②严重呼吸道症状,包括剧烈咳嗽,咳脓痰、血痰,或胸痛;③气促明显,呼吸频率快,出现口唇紫绀;④反应迟钝、嗜睡、躁动、惊厥等神志改变;⑤严重消化系统症状,包括严重呕吐、腹泻、甚至脱水;⑥胸部影像学检查有肺炎征象;⑦CK、肌酸激酶同工酶(creatine kinase-MB,CK-MB)等心肌酶水平迅速增高;⑧在任一原有基础疾病明显加重者中均为重症病例;(2)出现呼吸衰竭、感染中毒性休克、多脏器功能不全或其他需进行监护治疗的严重临床情况的视为危重病例[2]。
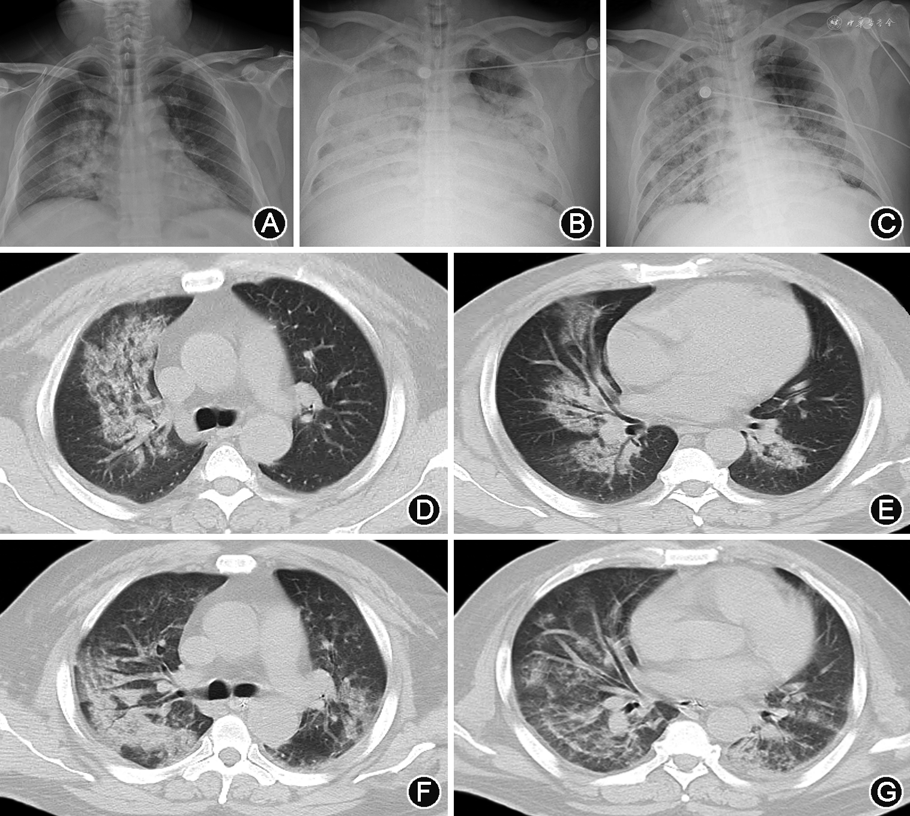
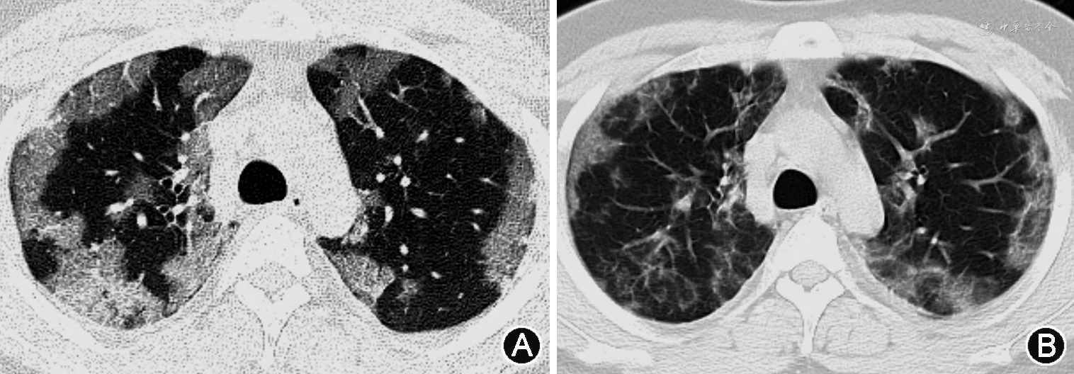
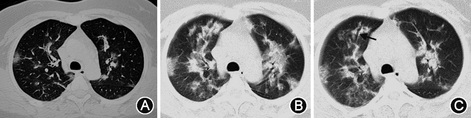
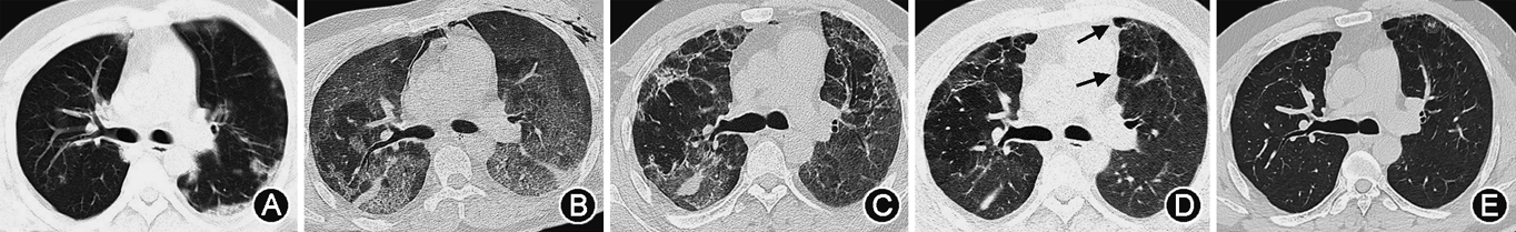
1. 重症病例:(1)X线:双肺受累多见,多发生在下肺[11, 12]。双肺纹理模糊,局限性或弥漫性分布的磨玻璃样改变及实变,部分可见弥漫性网状或结节状阴影。病程进展,病灶范围扩大,单侧病变可进展为双侧病变,单灶或多灶病变可进展为弥漫性病变,磨玻璃改变可融合为大片状实变[13]。可伴有胸腔积液[13]。合并肺气肿时,在病毒性肺炎基础上可见肺野透光度增强;合并细菌性肺炎时,表现为局灶性片状高密度影(图1)。(2)CT:单纯甲型H1N1流感重症肺炎病变常累及多个肺段及肺叶,病变可随机分布,但以双肺中下部周边为主[14, 15, 16, 17]。病变多表现为GGO和实变,或二者混合存在。磨玻璃阴影多位于周边,实变多靠近肺门,其内可见空气支气管征[18, 19, 20, 21](图1、2)。随病情进展,GGO会转化为实变,实变吸收也会转变成GGO。此外,还可见支气管血管束增粗、牵拉性支气管扩张等表现[16,22, 23](图3)。小叶间隔增厚、小叶中心结节等表现由于病情进展常常被掩盖,恢复期可见[24]。肺门及纵隔淋巴结肿大、胸腔积液和胸膜增厚等表现相对少见[25, 26]。肺栓塞亦可见,且发生风险较高[11,27]。可合并其他细菌性肺炎,进而形成合并性影像表现[12, 13,17]。治疗后恢复吸收阶段,病灶大多数可吸收,呈肺内广泛条索状、斑片状改变,甚至消失,部分病灶残留纤维瘢痕[22, 23]。






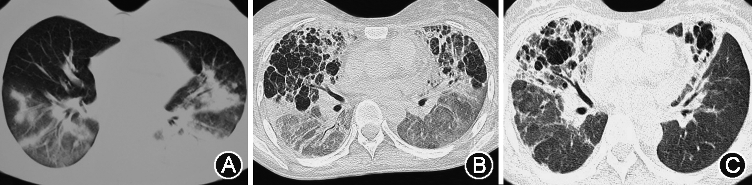
2. 危重病例:多表现为大片状或弥漫性病灶,在重症病例影像表现基础上,以实变为主,也可以合并肺不张和“白肺”改变[13,15, 16, 17,23,28, 29],少数病例可见胸腔积液[25, 26]。病程多进展较快,需要机械通气,继发纵隔气肿、皮下气肿及气胸[11,23,30](图4、5)。同时也常常合并其他感染及并发症,如肺栓塞等[11,30]。




3. 儿童甲型H1N1流感重症肺炎:肺部病变广泛,侵及多个肺段、肺叶,多为双下肺叶受累。病灶变化快,多在1~2 d内由小斑片融合为大片状影、实变等。GGO和实变是儿童甲型H1N1流感重症肺炎最常见的影像表现[31, 32, 33]。其次可见支气管血管束增厚。肺部常膨胀、过度充气,继而呼吸困难,需要机械通气,出现纵隔气肿等表现,且肺过度充气程度与患儿呼吸困难程度及病程一致[31,34, 35]。此外,肺门影增浓、气管充气征等亦常见。胸膜改变和胸内淋巴结肿大少见。随着病情的发展可见肺出血样改变、急性呼吸窘迫综合征(acute respiratory distress syndrome,ARDS)和气胸等,最终可发生肺部纤维化[31, 32, 33, 34]。病程变化相对较快,有时实变迅速增加,又快速吸收,类似肺水肿。若合并其他感染,则病变吸收慢,病程延长。单纯甲型H1N1流感重症肺炎治疗后,多表现为中等程度的肺部纤维化[33]。X线胸片是影像动态观察的最常用检查方法,CT的优势在于更加清楚地显示病变细节,特别是纤维化程度的评估。
4. 合并基础疾病:若合并慢性肺部疾病(如慢性支气管炎、肺气肿、肺源性心脏病),除加重原有的基础疾病外,还可因肺段或肺叶炎变而加重肺动脉高压,出现心功能不全或心力衰竭,影像可见肺淤血等改变。患有心血管、肾脏疾病等合并肺炎时,可在原基础疾病基础上进一步加重原基础疾病,并出现心力衰竭或肾脏衰竭等,影像可见肺淤血、肺水肿等改变[12, 13,17,29, 30]。
甲型H1N1流感重症肺炎进展快、吸收消散亦快。吸收往往从肺实变开始,表现为肺阴影变淡和密度不均,以及不同程度的纤维化改变[36](图5)。GGO及实变1周内出现,2周达到峰值,4周及以后吸收或消失[23]。纤维化在发病第1周即可出现,在发病第3周达到峰值,然后缓慢下降。对于病程较长的危重症患者,恢复吸收相对较慢[37](图5)。黎淑娟等[38]将甲型H1N1流感重症肺炎病变CT动态变化分成3种类型:先进展后吸收型、先吸收和进展并存后吸收型以及逐渐吸收型。
甲型H1N1流感重症肺炎患者的胸部影像变化不仅与疾病本身发展规律有关,还与治疗、是否合并其他病原体感染或基础疾病,以及患者年龄、体质等有关[12,25,29, 30,36]。
1. 斑片影、GGO和实变:甲型H1N1流感重症肺炎早期影像学表现多为双肺多发GGO或实变。早期的斑片影在短期内可进展为大片状及弥漫病变,这与甲型H1N1流感重症肺炎重症和危重症患者的病情恶化一致[12,15,25]。从局限性GGO进展为广泛GGO或实变,以及病变的快速进展,与呼吸衰竭及ARDS的临床特点一致。双肺广泛受累,常常预示着可能发生需要机械通气的呼吸衰竭,甚至死亡等不良后果[11, 12, 13,25,29, 30]。
2. 肺水肿:肺水肿是甲型H1N1流感重症肺炎危重症患者突出的X线表现,且发展迅速。患者临床上的呼吸困难多与影像学上的肺水肿同时出现,并且肺组织受累范围广,呈多叶性或弥漫性受累。经过积极治疗后,患者症状明显缓解,但肺水肿多仍然存在,即影像学上肺水肿的改善明显滞后于临床症状的改善[39]。
甲型H1N1流感重症肺炎影像诊断流程见图6。


注:real-time RT-PCR为实时逆转录聚合酶链式反应;RT-PCR为逆转录聚合酶链式反应;HRCT为高分辨CT
早期主要表现为双肺多发GGO,以肺外带及下肺野分布为主。进展期病变融合、扩大、实变,可出现“铺路石”征。胸腔积液、纵隔及双肺门淋巴结肿大少见[40, 41, 42]。
单侧或双侧的GGO,限局性单侧或双侧实变,或两者兼有。GGO中可见小叶间隔增厚及“铺路石”征。空洞、钙化、网格或结节,淋巴结肿大和胸腔积液少见[43]。
病变以双肺胸膜下及基底部区域分布为主,且以GGO为主,可伴有实变,并可见不同程度的胸腔积液[44]。
双肺多发性GGO,伴局部斑片状实变,可见类似细菌性肺炎的叶段性分布趋势。儿童可导致肺不张,右上肺常见[45]。
典型表现双侧胸膜下斑片样、大片GGO,内有支气管充气征,部分病变中可见中央GGO、边缘环形或新月形实变,呈“反晕”征,可游走,少数伴有胸腔积液、肺门及纵隔淋巴结肿大等表现[48]。
双肺片状或弥漫性GGO、小叶中央结节、马赛克征及呼气相气体潴留,慢性期肺部可出现细网格影及牵拉性支气管扩张,有接触及职业暴露史[40,44]。
综上,本共识通过总结甲型H1N1流感重症肺炎的影像学特征,旨在为影像科医师和临床医师提供明确的诊断依据及信息,为甲型H1N1流感重症肺炎的临床诊疗提供有益的帮助和指导。
执笔者:李莉(首都医科大学附属北京佑安医院放射科);张立娜(中国医科大学附属第一医院放射科);李刚锋(空军军医大学唐都医院放射科);李小虎(安徽医科大学第一附属医院放射科);牡丹(南京大学医学院附属鼓楼医院医学影像科);朱文科(深圳市第三医院放射科);张极峰(哈尔滨医科大学附属第二医院核医学科)
共识编写专家组成员(按姓氏汉语拼音排序):陈昊(南京中医药大学针灸推拿学院养生康复学院针灸临床教研室);李刚锋(空军军医大学唐都医院放射科);李宏军(首都医科大学附属北京佑安医院放射科);李莉(首都医科大学附属北京佑安医院放射科);李萍(哈尔滨医科大学附属第二医院核医学科);李小虎(安徽医科大学第一附属医院放射科);刘静(苏州市第五人民医院放射科);刘丽丽(哈尔滨医科大学附属第二医院核医学科);刘强(山东第一医科大学附属省立医院教育处);刘婷(中国医科大学附属第一医院放射科);牡丹(南京大学医学院附属鼓楼医院医学影像科);任美吉(首都医科大学附属北京佑安医院放射科);万秋霞(哈尔滨医科大学附属第二医院麻醉科);王憬(厦门大学附属心血管医院影像科);曾宪涛(武汉大学中南医院循证与转化医学中心);张极峰(哈尔滨医科大学附属第二医院核医学科);张立娜(中国医科大学附属第一医院放射科);周昀(深圳市第三医院放射科);朱文科(深圳市第三医院放射科)
中国研究型医院学会感染与炎症放射学专业委员会, 中华医学会放射学分会传染病学组, 中国科技产业化促进会数字健康专业委员会, 等. 甲型H1N1流感重症肺炎影像诊断中国专家共识[J]. 中华医学杂志, 2023, 103(33): 2571-2578. DOI: 10.3760/cma.j.cn112137-20230329-00509.
所有作者声明不存在利益冲突





















