
探讨体质量指数(BMI)不同的患者冠状动脉CT血管成像(CCTA)扫描模式的优选方案。
前瞻性研究。选取2022年4—8月淮北市人民医院影像科行CCTA检查的心前区不适患者180例,其中男93例、女87例,年龄26~82(55.4±11.5)岁,体质量指数(BMI)≥18.5 kg/m²。180例中,18.5 kg/m²≤BMI<28.0 kg/m²者和BMI≥28.0 kg/m²者各90例,分别纳入对照组与观察组,采用随机法分别分成A1、B1、C1亚组和A2、B2、C2亚组,每个亚组30例。其中A1、A2组采用常规管电压、管电流扫描模式,B1、B2组采用低管电压、正常管电流扫描模式,C1、C2组采用低管电压、高管电流扫描模式,进行CCTA扫描,以及轴位多平面重组(MPR)、曲面重建(CPR)和薄层最大密度投影(MIP)重组。采用冠状动脉分段评分法对图像质量进行主观评价;测量升主动脉根部的CT值和图像噪声(SD),计算并比较各组的图像信噪比(SNR),以及左冠状动脉主干、各分支近段的对比噪声比(CNR)等定量指标,对图像质量进行客观评价;计算并比较各组患者有效辐射剂量(ED)。
患者年龄、性别、心率等基线资料在对照组与观察组2组间比较、组内3个亚组间比较,以及组内3个亚组间BMI比较,差异均无统计学意义(P值均>0.05)。A1、B1、C1组冠状动脉分段评分比较差异无统计学意义(H=1.35,P=0.510);A2组冠状动脉分段评分高于B2、C2组,差异均有统计学意义(P值均<0.05)。左冠状动脉主干、各分支近段的CT值比较,B1、C1组高于A1组,B2、C2组高于A2组,差异均有统计学意义(P值均<0.001)。主动脉根部SNR值,以及左冠状动脉主干、各分支近段的CNR值,在A1、B1、C1 3组间和A2、B2、C2 3组间分别进行比较,差异均无统计学意义(P值均>0.05)。B1、C1组ED值分别为(10.27±0.61)mSv、(11.65±0.96)mSv,均低于A1组的(17.31±1.27)mSv;B2、C2组 ED值分别为(10.27±0.52)mSv、(11.66±0.87)mSv,均低于A2组的(17.05±0.91)mSv,差异均有统计学意义(P值均<0.05)。
在CCTA检查时,对于18.5 kg/m²≤BMI<28.0 kg/m²的患者优选低管电压扫描模式,而对于BMI≥28.0 kg/m²的患者则可适当增加管电压。
版权归中华医学会所有。
未经授权,不得转载、摘编本刊文章,不得使用本刊的版式设计。
除非特别声明,本刊刊出的所有文章不代表中华医学会和本刊编委会的观点。
随着多排螺旋CT扫描技术的快速发展,冠状动脉CT血管成像(coronary computed tomography angiography,CCTA)已成为心血管疾病首选检查技术之一,其结果的准确性与冠状动脉数字减影血管造影基本一致[1, 2, 3]。然而,CCTA检查伴随的高辐射剂量是广大患者和临床医师共同关注的热点问题。辐射剂量主要与管电压密切相关[4, 5, 6, 7, 8],在降低管电压的同时,若能不影响图像质量,可有效减少患者的辐射剂量。本研究结合淮北地区的具体情况,根据BMI进行分组[9],探讨不同BMI区间内、不同扫描方案的优劣,旨在实现扫描剂量的个体化。
纳入标准:(1)因心前区不适接受CCTA检查的患者,检查时能够配合屏气;(2)年龄≥18岁;(3)BMI≥18.5 kg/m²;(4)平静状态下心率<75次/分,或口服倍他乐克25~100 mg后心率降至<75次/分。排除标准:(1)合并严重心肺功能不全,或严重肾功能异常;(2)有严重精神疾患,不能够配合检查;(3)对含碘对比剂过敏。
前瞻性研究。纳入2022年4—8月在淮北市人民医院影像科接受CCTA检查的180例患者,其中男93例、女87例,年龄26~82(55.4±11.5)岁,BMI≥18.5 kg/m²。按照患者BMI不同分为2组:18.5 kg/m²≤BMI<28.0 kg/m²者90例纳入对照组,BMI≥28.0 kg/m²者90例纳入观察组;采用随机法分别将观察组90例分为A1、B1、C1亚组,将对照组90例分为A2、B2、C2亚组,每个亚组30例。其中,A1、A2组采用常规管电压、管电流模式扫描,B1、B2组采用低管电压、正常管电流模式扫描,C1、C2组采用低管电压、高管电流模式扫描。
本研究通过蚌埠医学院直属淮北人民医院伦理委员批准[伦科批字(2022)第142号]。患者签署CT增强扫描同意书及入组同意书。
采用Brilliance256 iCT扫描仪(荷兰Philips公司)进行平扫及增强扫描。扫描范围:气管分支下1 cm至心脏膈面下方。平扫成像参数:管电压 120 kV,有效管电流与曝光时间乘积50 mAs,准直宽度32×0.625 mm,旋转时间330 ms,视野250 mm,层厚2.5 mm,间隔 2.5 mm。增强扫描中,采用对比剂跟踪自动触发技术,进行回顾性心电门控冠脉CTA检查。触发阈值110 HU,ROI设为主肺动脉窗层面的降主动脉。使用德国Ulrich公司 YZB/GER 6100双筒高压注射器,注射对比剂碘普罗胺70 mL(含碘370 mg/mL),注射流速 4.0~5.0 mL/s。增强扫描参数:常规扫描模式(A)管电压120 kV、管电流800 mAs,低管电压、正常管电流扫描模式(B)管电压100 kV、管电流800 mAs,低管电压、高管电流扫描模式(C)管电压100 kV、管电流900 mAs,线束准直 0.625 mm,视野 250 mm,层厚 0.9 mm,间隔 0.45 mm。
采用荷兰Philips公司迭代模型重建技术(iterative model reconstruction,IMR)进行原始数据重建,重建函数IMR Cardiac Routine-1,将重建数据传输至星云空间站诊断系统(Philips IntelliSpace Portal),进行轴位MPR、曲面重建(curved plannar reformatting,CPR)和薄层MIP重建。
基于美国心脏协会的标准[10],对各支冠状动脉采用15段分段评分法评价图像质量,其中右冠状动脉(right coronary artery,RCA)为1~4段,左冠状动脉主干(left main artery,LM)和左冠状动脉前降支(left anterior descending artery,LAD)为5~10段,左冠状动脉回旋支(Left Circumflex Artery,LCX)为11~15段;如果存在中间支,则为16段。冠状动脉的影像质量评分为1~4分[11]:1分为差,图像伪影严重,血管周围严重模糊,血管错层明显,不可评价;2分为一般,中度伪影、血管显影欠佳,血管周围明显模糊,图像质量明显降低;3分为良好,轻度伪影,血管管腔显示良好,血管周围轻微模糊,可评价管腔狭窄和斑块特征;4分为优,无运动伪影,无明显噪声,血管管腔及管壁显示清楚。由2名CCTA诊断经验丰富的副主任医师独立分析数据,评分不一致时经商讨达成统一意见。
2名诊断医师在星云工作站轴位CT图像上手动测量左冠状动脉主干发出层面主动脉根部的CT值(测量3次取平均值),其标准差(standard deviation,SD)值为图像噪声,计算信噪比(signal to noise ratio,SNR)。
SNR=主动脉根部CT均值/SD
测量左冠状动脉主干、前降支近段、回旋支近段及右冠状动脉近段的CT值、SD值及周围软组织的CT值,并计算对比噪声比(contrast to noise ratio,CNR)。
CNR =(CTlumen-CTconnective tissue)/SD
CTlumen为冠状动脉各分支近段平均CT值,CTconnective tissue为冠状动脉各分近段血管周围脂肪组织内的平均CT值。
使用Brilliance256 iCT扫描仪自动记录每位患者的总体剂量长度乘积(dose length product,DLP),计算有效辐射剂量(effective dose,ED)。
ED=DLP×k
k是转换系数,为0.014 mSv·mGy-1·cm-1。
应用SPSS 21.0统计软件进行数据分析。服从或近似服从正态分布的计量资料以±s表示,多组间比较采用单因素方差分析,两两比较采用Bonferroni检验。分类资料组间率比较采用χ2检验。等级资料采用Kruskal-Wallis H检验,进一步两两比较采用Bonferroni检验。采用Kappa检验评价2名诊断医师图像质量评分结果的一致性:Kappa ≤0.20为一致性极低,>0.20~0.40为一致性一般,>0.40~0.60为一致性中等,>0.60~0.80为一致性较好,>0.80为一致性优异。采用ICC来评价2名研究人员CT值和SD值测量结果的一致性:ICC<0.4为一致性差,ICC 0.4~0.75为一致性可,ICC>0.75为一致性良好。以P<0.05为差异有统计学意义。
对照组与观察组2组间患者性别、年龄、心率比较,差异均无统计学意义(P值均>0.05);2组组内3种不同扫描模式之间患者性别、年龄、心率及BMI比较,差异均无统计学意义(P值均>0.05)。见表1。

2组CCTA不同扫描模式的患者间基线资料比较
2组CCTA不同扫描模式的患者间基线资料比较
| 分组 | 例数 | 性别(例) | 年龄(岁,±s) | BMI(kg/m2,±s) | 心率(次/分,±s) | |
|---|---|---|---|---|---|---|
| 男 | 女 | |||||
| 对照组 | 90 | 44 | 46 | 56.0±10.7 | 24.2±2.2 | 64.0±8.1 |
| A1组 | 30 | 11 | 19 | 58.2±13.2 | 24.6±2.2 | 61.6±6.8 |
| B1组 | 30 | 16 | 14 | 53.4±12.0 | 23.6±2.2 | 65.9±8.8 |
| C1组 | 30 | 17 | 13 | 54.8±9.1 | 24.1±2.1 | 64.4±8.1 |
| 统计量 | χ2=2.76 | F=1.37 | F=1.65 | F=2.25 | ||
| P值 | 0.252 | 0.261 | 0.198 | 0.111 | ||
| 观察组 | 90 | 49 | 41a | 54.8±12.3b | 29.6±1.8 | 65.1±8.5 c |
| A2组 | 30 | 15 | 15 | 56.7±12.2 | 29.4±2.1 | 64.6±9.8 |
| B2组 | 30 | 14 | 16 | 56.2±11.9 | 30..0±1.4 | 64.0±1.3 |
| C2组 | 30 | 20 | 10 | 55.8±11.7 | 29.6±1.5 | 63.6±8.4 |
| 统计量 | χ2=2.78 | F=1.61 | F=0.76 | F=0.11 | ||
| P值 | 0.249 | 0.206 | 0.470 | 0.894 | ||
注:CCTA为冠状动脉CT血管造影;对照组为18.5 kg/m²≤患者体质量指数<28.0 kg/m2组;观察组为患者体质量指数≥28.0 kg/m2组;A1、A2组为常规扫描模式;B1、B2组为低管电压、正常管电流扫描模式;C1、C2组为低管电压、高管电流扫描模式;与对照组比较,aχ2=2.74、P=0.256,b t=0.691、P=0.490,c t=0.85、P=0.397
2名医师对图像质量冠状动脉分段血管主观评分评估结果具有高度一致性,Kappa 值为 0.90。2名医师对图像质量客观指标的测量结果一致性良好,ICC为 0.87。
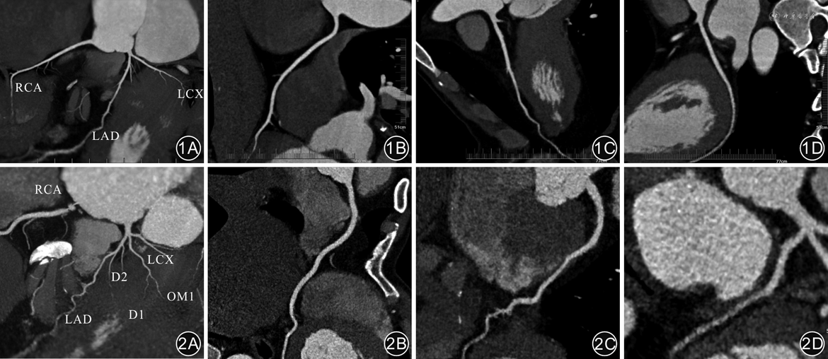
在对照组,3种不同模式CCTA扫描图像质量的冠状动脉分段法血管评分比较,差异无统计学意义(P>0.05),见表2、图1。在观察组,3种不同模式CCTA扫描图像质量的冠状动脉分段法血管评分比较,差异有统计学意义(P<0.001);A2组评分高于B2、C2组,差异均有统计学意义(P值均<0.05),见表2、图2。

2组CCTA患者3种扫描模式冠状动脉分段法图像质量评分比较
2组CCTA患者3种扫描模式冠状动脉分段法图像质量评分比较
| 分组 | 例数 | 血管段数 | 图像质量评分(段) | |||
|---|---|---|---|---|---|---|
| 4分 | 3分 | 2分 | 1分 | |||
| 对照组 | 90 | |||||
| A1组 | 30 | 457 | 406 | 47 | 4 | 0 |
| B1组 | 30 | 452 | 412 | 37 | 2 | 1 |
| C1组 | 30 | 456 | 411 | 39 | 5 | 1 |
| H值 | 1.35 | |||||
| P值 | 0.510 | |||||
| 观察组 | 90 | |||||
| A2组 | 30 | 457 | 399 | 52 | 6 | 0 |
| B2组a | 30 | 458 | 362 | 66 | 27 | 3 |
| C2组a | 30 | 456 | 360 | 60 | 35 | 1 |
| H值 | 16.28 | |||||
| P值 | <0.001 | |||||
注:CCTA为冠状动脉CT血管造影;对照组为18.5 kg/m²≤患者体质量指数<28.0 kg/m2组;观察组为患者体质量指数≥28.0 kg/m2组;A1、A2组为常规扫描模式;B1、B2组为低管电压、正常管电流扫描模式;C1、C2组为低管电压、高管电流扫描模式;a 与A2组比较,P<0.05


注:RCA为右冠状动脉;LAD为左前降支;LCX为左回旋支;OM1为钝缘支;D1为第一对角支;D2为第二对角支
B1、C1组的左冠状动脉主干、各分支近段的CT值高于A1组,B2、C2组高于A2组,差异均有统计学意义(P值均<0.001),见表3。受检者主动脉根部的SNR值,左冠状动脉主干、各分支近段的CNR值,在A1、B1、C1 3组间比较,以及在A2、B2、C2 3组间比较,差异均无统计学意义(P值均>0.05),见表4。

2组患者3种扫描模式CCTA图像的CT值比较(HU,±s)
2组患者3种扫描模式CCTA图像的CT值比较(HU,±s)
| 分组 | 例数 | AO | LM | LAD近段 | LCX近段 | RCA近段 |
|---|---|---|---|---|---|---|
| 对照组 | ||||||
| A1组 | 30 | 413.64±62.10 | 414.64±65.90 | 429.36±72.62 | 415.39±74.31 | 435.17±73.86 |
| B1组 | 30 | 543.31±81.32a | 551.49±93.53a | 543.87±99.72a | 531.49±92.31a | 569.25±96.05a |
| C1组 | 30 | 531.37±74.90a | 526.31±80.65a | 531.62±75.97a | 524.32±74.61a | 541.53±78.10a |
| F值 | 28.75 | 24.37 | 16.95 | 19.42 | 21.69 | |
| P值 | <0.001 | <0.001 | <0.001 | <0.001 | <0.001 | |
| 观察组 | ||||||
| A2组 | 30 | 385.67±48.90 | 389.43±56.71 | 392.53±52.32 | 388.27±58.55 | 408.29±57.97 |
| B2组 | 30 | 469.93±55.32b | 470.94±51.69b | 471.57±57.72b | 464.84±58.41b | 488.72±55.52b |
| C2组 | 30 | 472.44±66.33b | 469.46±63.15b | 472.33±60.83b | 470.80±61.91b | 484.96±62.51b |
| F值 | 22.29 | 19.83 | 19.37 | 17.86 | 19.91 | |
| P值 | <0.001 | <0.001 | <0.001 | <0.001 | <0.001 | |
注:CCTA为冠状动脉CT血管造影;AO为主动脉根部;LM为左冠状动脉主干;LAD左前降支;LCX左回旋支;RCA右冠状动脉;对照组为18.5 kg/m²≤患者体质量指数<28.0 kg/m2组;观察组为患者体质量指数≥28.0 kg/m2组;A1、A2为常规扫描模式;B1、B2为低管电压、正常管电流扫描模式;C1、C2为低管电压、高管电流扫描模式;与aA1组比较,P<0.001;b与A2组比较,P<0.001

2组患者3种扫描模式CCTA图像的SNR值和CNR值比较(±s)
2组患者3种扫描模式CCTA图像的SNR值和CNR值比较(±s)
| 组别 | 例数 | SNR | CNR | |||
|---|---|---|---|---|---|---|
| LM | LAD近段 | LCX近段 | RCA近段 | |||
| 对照组 | ||||||
| A1组 | 30 | 19.98±5.36 | 24.75±6.84 | 25.08±7.46 | 25.70±8.83 | 25.82±7.20 |
| B1组 | 30 | 19.67±3.42 | 22.66±3.97 | 23.36±2.88 | 22.64±3.63 | 24.18±3.96 |
| C1组 | 30 | 18.47±3.51 | 24.61±2.47 | 24.98±3.30 | 23.67±3.09 | 25.08±3.29 |
| F值 | 1.07 | 1.80 | 1.11 | 2.16 | 0.78 | |
| P值 | 0.346 | 0.172 | 0.333 | 0.122 | 0.461 | |
| 观察组 | ||||||
| A2组 | 30 | 15.40±2.80 | 21.75±3.93 | 22.02±3.91 | 21.07±2.79 | 22.48±3.65 |
| B2组 | 30 | 14.48±2.20 | 22.07±1.96 | 22.03±2.15 | 21.52±1.86 | 22.90±1.72 |
| C2组 | 30 | 14.14±3.09 | 22.96±2.03 | 22.86±2.00 | 23.26±2.22 | 23.88±1.86 |
| F值 | 1.28 | 1.51 | 0.89 | 1.99 | 2.35 | |
| P值 | 0.191 | 0.228 | 0.416 | 0.143 | 0.102 | |
注:CCTA为冠状动脉CT血管造影;SNR为信噪比;CNR为对比噪声比;LM为左冠状动脉主干;LAD左前降支;LCX左回旋支;RCA右冠状动脉;对照组为18.5 kg/m²≤患者体质量指数<28.0 kg/m2组;观察组为患者体质量指数≥28 kg/m2组;A1、A2为常规扫描模式;B1、B2组为低管电压、正常管电流扫描模式;C1、C2组为低管电压、高管电流扫描模式
在对照组和观察组,采用常规扫描模式的A1组和A2组的ED值分别高于采用低电压扫描模式的B1、B2组和C1、C2组,同组3种模式间总体比较以及进一步两两比较,差异均有统计学意义(P值均<0.05)。见表5。

2组3种扫描模式CCTA患者有效辐射剂量的比较(mSv,±s)
2组3种扫描模式CCTA患者有效辐射剂量的比较(mSv,±s)
| 分组 | 例数 | 有效辐射剂量 |
|---|---|---|
| 对照组 | ||
| A1组 | 30 | 17.31±1.27 |
| B1组 | 30 | 10.27±0.61a |
| C1组 | 30 | 11.65±0.96 a |
| F值 | 430.28 | |
| P值 | <0.001 | |
| 观察组 | ||
| A2组 | 30 | 17.05±0.91 |
| B2组 | 30 | 10.27±0.52b |
| C2组 | 30 | 11.66±0.87 b |
| F值 | 614.60 | |
| P值 | <0.001 |
注:CCTA为冠状动脉CT血管造影;对照组为18.5 kg/m²≤患者体质量指数<28.0 kg/m2组;观察组为患者体质量指数≥28.0 kg/m2组;A1、A2为常规扫描模式;B1、B2为低管电压、正常管电流扫描模式;C1、C2为低管电压、高管电流扫描模式; a与A1组比较,P<0.001;b与A2组比较,P<0.001
CCTA检查是临床评价冠状动脉疾病的重要检查方法,如何兼顾清晰的图像质量和低辐射剂量是医学影像工作者研究的热点[12, 13, 14, 15]。本研究按照患者BMI进行分组,探讨不同BMI区间、不同扫描方案的优劣。结果显示,18.5 kg/m²≤BMI<28.0 kg/m2的患者,常规、低电压正常电流和低电压高电流3种CCTA扫描模式,即A1组、B1组和C1组的图像质量主观评分及客观指标(CT值、SNR、CNR)评价均可满足临床诊断的需求;C1组与B1组相比,其ED值稍高,是因为提高了管电流的缘故。本研究开展之前,因为不确定低管电压是否会影像图像质量,笔者设计了C1组,希望能在降低管电压的同时,提高管电流以补偿图像噪声;结果发现,B1组与C1组相比,图像质量的主客观评价结果差异均无统计学意义。因此笔者认为,对于18.5 kg/m²≤BMI <28.0 kg/m²的患者,低剂量扫描可以有效降低辐射剂量,且不影响图像质量。对于此类受检者,CCTA扫描过程中,适当降低管电压,其X线的平均能量与碘离子吸收能谱更吻合,测得的血管CT值是增加的,冠状动脉各分支近、中、远段血管均显示良好,血管评分没有降低。本研究结果与张楚珍等[16]和章辉庆等[17]的研究结果一致。管电压由120 kV降至100 kV,ED值可明显降低。黄伟兵等[18]研究发现,辐射剂量与管电压呈指数关系、与管电流呈线性关系,因此,在兼顾临床诊断需求和尽可能减少辐射剂量的前提下,第一步选择改变管电压,观察辐射剂量降低时的图像质量情况。本研究实验方法与之基本一致。
在有关CCTA低剂量扫描的大多数研究中,按照BMI进行分组研究的较少。本研究结果显示,当受检者BMI较大(≥28.0 kg/m²)时,低剂量是不能够满足检查要求的。各组SNR及冠状动脉主干、分支近段的CNR比较,差异无统计学意义。然而,B2、C2组的图像噪声比A2组增加,B2、C2组与A2组相比,其血管段总体评分低于A2组。因此,对于BMI较大(≥28.0 kg/m²)的患者,为了保证图像质量及准确评估,建议采用常规剂量扫描。这与张天乐等[19]的研究结果基本相符,当患者BMI较大时,需要适当增加管电压,以保证图像质量。BMI越大,其扫描区域的厚度、密度会增加,从而导致图像噪声增加,并且血管内对比剂乳化达峰时间延长,血管内对比剂显影差。与之相对应的,需增加管电压以保证图像质量[20, 21]。本研究中,有少数BMI>32.0 kg/m²的患者,其属于重度肥胖状态,其心肺功能明显差于BMI正常或稍高的患者,此时,正常剂量扫描已不能得到符合诊断要求的图像,需要适当增加管电压,训练患者的配合度,以保证临床诊断需求。
本研究的局限性:(1)由于医院设备的限制,无法采用前瞻性心电门控,降低管电压的同时不能进一步降低有效辐射剂量;(2)对于BMI>32 kg/m²的患者,因病例数较少而未单独列组进一步观察;(3)没有对降低对比剂的浓度和使用量进行研究,“双低剂量”“三低剂量”扫描将成为今后的研究方向。
综上所述,在CCTA检查中,针对不同BMI的患者可以设计不同的扫描模式:对于18.5 kg/m²≤BMI<28.0 kg/m²的受检者,低剂量扫描模式能够兼顾低辐射剂量和较好的图像质量;但是对于BMI≥28.0 kg/m²的受检者,建议选择常规剂量的扫描模式,必要时可适当增加管电压。
张芳, 张磊, 汝海燕, 等. 不同体质量指数患者冠状动脉CT血管成像扫描模式的优化选择[J]. 中华解剖与临床杂志, 2023, 28(9): 574-580. DOI: 10.3760/cma.j.cn101202-20221229-00413.
所有作者声明不存在利益冲突





















