
对比副舟骨和髂骨在Cotton截骨术中植骨对儿童柔韧性平足症的疗效差异。
回顾性队列研究。分析2018年7月至2022年3月在北京同仁医院接受手术治疗的伴有副舟骨痛及前足内翻的柔韧性平足症患者的临床资料,所有患者均接受了Cotton截骨术。根据Cotton截骨植骨来源不同,将患者分为髂骨植骨组和副舟骨植骨组。其中髂骨组共12例(19足),其中男9例,女3例,年龄M(Q1,Q3)为11(11,12)岁,随访36(6,48)个月;副舟骨组共9例(16足),其中男6例,女3例,年龄11(11,11)岁,随访12(6,17)个月。评估两组患者术前及末次随访的影像学资料,包括足正位X线片距骨第1跖骨角(T1MT)、距舟覆盖角(TNCA),距骨跟骨角(TCA),侧位距骨第1跖骨角(Meary角)、跟骨倾斜角(Pitch角),距骨跟骨角(Kite角),内侧楔骨关节面夹角(CAA)及跟骨长轴位的后足力线角(HAA)。采用美国足踝外科协会踝与后足评分(AOFAS),疼痛视觉模拟评分(VAS)及Maryland评分比较两组患者术前术后的足部功能变化情况。
21例患者获得完整随访。两组末次随访时影像学指标,T1MT、TNCA、Meary角、Pitch角、Kite角、CAA、HAA均较术前有所改善,差异均有统计学意义(均P<0.05)。两组术后各功能评分,如AOFAS、VAS及Maryland评分均较术前有所改善,差异均有统计学意义(均P<0.05)。术后两组CAA角增加量差异有统计学意义(P=0.017),髂骨组∆CAA为6.0°±2.6°,副舟骨组为4.3°±1.3°。两组其他影像学指标改善程度差异均无统计学意义(均P>0.05)。术后所有患者均获得骨性愈合。髂骨组2例患者术后出现供区疼痛,经保守治疗疼痛可缓解。
与髂骨植骨相比,采用副舟骨植骨的Cotton截骨治疗柔韧性平足症可取得相似的X线随访效果以及相同的临床功能评分。
版权归中华医学会所有。
未经授权,不得转载、摘编本刊文章,不得使用本刊的版式设计。
除非特别声明,本刊刊出的所有文章不代表中华医学会和本刊编委会的观点。
青少年柔韧性平足症主要表现为负重时内侧纵弓消失,非负重时内侧纵弓恢复,后足与距下关节活动度正常,常伴中足/前足外展、前足内翻畸形[1]。大多数患儿还合并有腓肠肌挛缩。柔韧性平足症当出现疼痛,首选矫形鞋垫、理疗等[2, 3]。保守治疗6个月无效,或畸形进行性加重,疼痛持续,则需要考虑手术治疗[4, 5]。距下关节制动术纠正后足外翻及前足外展,遗留的后足外翻可行跟骨内移截骨术,合并腓肠肌或跟腱挛缩时需行腓肠肌松解或跟腱延长术[6, 7]。在纠正后足力线后,若残留有明显的前足内翻,需进一步行内侧楔骨开放楔形截骨术(Cotton截骨术)[8]。平足患者中,少数患者同时伴有副舟骨疼痛。需行副舟骨切除及胫后肌止点重建[9],同时纠正平足,单个手术方式不能完全解决患者问题[10, 11]。Cotton截骨植骨的来源可有自体髂骨、异体骨、人工骨及金属植入物。髂骨取骨增加一个切口,可能遗留供区疼痛;异体骨可能引发排异反应,且费用较高。因此笔者探索,在距下关节制动器手术中联合使用切除的副舟骨植骨,是否能达到充分支撑的效果,以减少髂骨取骨切口。本研究回顾对比分析使用副舟骨植骨和髂骨植骨作为Cotton截骨植入物的可靠性与差异,现报告如下。
回顾性队列研究。回顾性分析2018年7月至2022年3月在北京同仁医院平足症患儿中合并副舟骨疼痛和前足内翻行副舟骨切除及Cotton手术治疗的儿童柔韧性平足症患者的临床资料。纳入标准:(1)年龄8~14岁;(2)柔韧性平足症患者(负重状态下足弓消失,非负重时足弓可恢复);(3)查体示前足内翻;(4)患者存在Ⅱ型或Ⅲ型副舟骨,并存在疼痛症状,局部有压痛;(5)疼痛经保守治疗时间≥6个月,症状无明显改善且逐渐加重;(6)随访时长≥3个月,且临床资料完整。排除标准:(1)存在先天性垂直距骨或跗骨联合;(2)既往外伤史及手术史;(3)神经肌肉病变,足踝部功能障碍;(4)既往足踝部手术史。
依以上纳排标准,共纳入21例(35足)患者,其中男15例(25足),女6例(10足)。根据Cotton截骨植骨来源不同,将患者分为髂骨植骨组和副舟骨植骨组;其中髂骨组12例(19足),男9例,女3例,年龄(11.8±1.2)岁;副舟骨组9例(16足),男6例,女3例,年龄(11.3±1.0)岁。有12例患者行双足手术,其中髂骨组7例,副舟骨组5例,2例患者分别行双侧手术,间隔5个月,与寒暑假时间有关。仅行单侧手术患者2例。
术前常规拍摄足负重正侧位、踝负重正侧位及跟骨长轴位X线片评估平足畸形严重程度。CT或负重CT排除跗骨联合。合并胫后肌腱功能不全或胫后肌腱炎的患者行MRI进一步评估胫后肌腱情况。
所有手术均由同一名主刀医生完成。使用全身麻醉联合患侧下肢神经阻滞麻醉。术前常规消毒铺巾,患肢驱血带充气加压至250~280 mmHg(1 mmHg=0.133 kPa)。(1)距下关节制动术:取患足腓骨远端前外侧跗骨窦处斜形切口,长约1.5 cm。软组织松解后,在跗骨窦内置入制动器,由小至大进行试模,纠正后足力线至中立,无僵硬性内翻,内侧纵弓部分恢复。置入适合的制动器,透视下确认制动器位置。(2)副舟骨切除胫后肌腱止点重建术:取患足舟骨内侧斜形切口,长约3 cm,分离暴露副舟骨及胫后肌腱止点。松解部分胫后肌腱止点,切除增大副舟骨和部分突出的舟骨结节,在舟骨上以1.5 mm克氏针钻孔后,用1号可吸收线将胫后肌腱以适合张力固定于舟骨松质骨面。副舟骨植骨组需将切下的副舟骨进行修整,清理副舟骨表面的软组织直至骨质暴露。(3)Cotton截骨术:内侧楔骨背侧做长约2 cm纵形切口,于背侧截骨并撑开以下沉第1跖列。观察足弓恢复可,前足内翻纠正。以副舟骨或自体髂骨植骨。合并腓肠肌或跟腱挛缩患者另需行腓肠肌或跟腱松解术。术中模拟足负重并检查关节活动,当力线与关节活动满意后,冲洗并逐层缝合切口。副舟骨植骨的处理见图1。


踝关节中立位以下肢短腿石膏托固定,6周内禁负重活动。术后14 d伤口拆线。6周后拆除石膏行支具保护性负重行走。术后3个月根据复查骨愈合情况可脱离支具进行完全负重行走。术后6周和3、6及12个月门诊复查随访,取末次随访资料。所有患者拍摄X线片观察骨愈合及畸形矫正情况。
影像学评估足X线负重正位距骨第1跖骨角(talo-1st metatarsal angle,T1MT)、距舟覆盖角(talo-navicular coverage angle,TNCA)、距骨跟骨角(talocalcaneal angle,TCA)、足负重侧位距骨第1跖骨角(Meary角)、跟骨倾斜角(Pitch角)、距骨跟骨角(Kite角)、内侧楔骨关节面夹角(cuneiform articular angle,CAA)及后足力线角(hindfoot alignment angle,HAA)[12]。为了单独评价Cotton截骨的矫形能力,根据Castaneda等[13]的报道,采用CAA用来评价Cotton截骨术矫正前足内翻的能力。CAA测量方法如图2所示:即内侧楔骨近端背侧与跖侧关节面连线与远端关节面上下角的连线,形成夹角。行背侧撑开植骨后,夹角增大。


术前及随访采用美国足踝外科医师协会踝与后足评分(American Orthopedic Foot and Ankle Society,AOFAS)、疼痛视觉模拟评分(visual analogue scale,VAS)及Maryland评分比较患者足部功能变化及疼痛情况。术后记录并发症情况。
采用SPSS 24.0软件进行统计学分析。所有数据进行正态性检验,符合正态分布的计量资料以表示,利用配对样本t检验对同组术前及末次随访数据进行比较,两组之间比较采用独立样本t检验。不符合正态分布的数据以M(Q1,Q3)表示,治疗前后差异使用Wilcoxon统计方法对比,两组间比较采用Mann-Whitney U检验。计数资料采用例(%)形式描述,组间比较采用χ2检验或Fisher精确检验。双侧检验,检验水准α=0.05。
患者均获得随访,其中髂骨组12例,19足,年龄(11.8±1.2)岁,副舟骨组9例,16足,年龄(11.3±1.0)岁,两组年龄差异无统计学意义(P=0.322)。两组性别、体质指数及疼痛病史等差异均无统计学意义(均P>0.05)(表1)。髂骨组中位随访时长36个月,副舟骨为12个月,差异有统计学意义(P=0.024)。髂骨组植骨块直径中位数为6 mm,副舟骨组为5 mm,差异有统计学意义(P<0.001)(表1)。

两组平足症患儿临床资料比较
两组平足症患儿临床资料比较
| 项目 | 髂骨组 | 副舟骨组 | Z/t值 | P值 |
|---|---|---|---|---|
| 例数(足) | 19 | 16 | ||
| 年龄[岁,M(Q1,Q3)] | 11(11,12) | 11(11,11) | -1.78 | 0.095 |
| 体质指数(kg/m2,) | 21.5±5.0 | 22.2±3.4 | -0.35 | 0.727 |
| 疼痛病史[月,M(Q1,Q3)] | 12(7,24) | 21(12,36) | -1.76 | 0.082 |
| 骨块直径[mm,M(Q1,Q3)] | 6(6,8) | 5(5,6) | -3.76 | <0.001 |
| 随访时间[月,M(Q1,Q3)] | 36(6,48) | 12(6,17) | -2.28 | 0.024 |
术后患者伤口均一期愈合。无骨愈合不良。无前足内翻畸形复发。术后并发症髂骨组3例。2例髂骨区疼痛,经保守治疗疼痛缓解。1例术后2年出现跗骨窦区疼痛,遗留后足轻度外翻,腓肠肌挛缩,再次手术更换制动器型号。副舟骨组1例,患者术后3个月复查发现制动器脱出,无畸形复发,未行进一步治疗。
1. 术前术后角度测量对比:末次随访时两组TCA均较术前差异无统计学意义(均P>0.05);末次随访时,两组其余各角度均较术前明显改善,差异均有统计学意义(均P<0.05)。髂骨组CAA角中位数由术前的1.6°增至末次随访的7.7°,副舟骨组由2.6°增至6.6°,差异均有统计学意义(均P<0.05)(表2)。

髂骨组及副舟骨组平足症患儿术前及末次随访所测角度比较(°)
髂骨组及副舟骨组平足症患儿术前及末次随访所测角度比较(°)
| 项目 | 术前 | 末次随访 | Z/t值 | P值 |
|---|---|---|---|---|
| 髂骨组 | ||||
| T1MTa | 18.2(12.3,22.8) | 3.4(2.3,5.0) | -3.82 | <0.001 |
| TNCAb | 14.6±2.6 | 4.9±2.0 | 10.95 | <0.001 |
| TCAb | 26.2±6.3 | 22.7±6.2 | 1.79 | 0.090 |
| Meary角b | 21.7±7.2 | 3.2±3.0 | 11.76 | <0.001 |
| Pitch角b | 12.4±2.0 | 17.0±1.8 | -12.31 | <0.001 |
| Kite角b | 38.6±4.6 | 28.8±2.7 | 9.45 | <0.001 |
| CAAa | 1.6(0.7,3.3) | 7.7(6.5,10.1) | -3.82 | <0.001 |
| HAAb | 11.5±4.2 | 2.1±1.8 | 8.76 | <0.001 |
| 副舟骨组 | ||||
| T1MTa | 11.9(8.4,17.1) | 3.7(3.0,4.8) | -3.52 | <0.001 |
| TNCAb | 13.3±5.4 | 4.1±4.4 | 7.57 | <0.001 |
| TCAb | 25.3±8.3 | 23.1±7.3 | 1.45 | 0.168 |
| Meary角b | 19.9±8.7 | 3.5±3.0 | 7.82 | <0.001 |
| Pitch角b | 14.0±4.1 | 17.1±1.9 | -3.22 | 0.006 |
| Kite角b | 39.6±6.3 | 30.1±4.2 | 5.70 | <0.001 |
| CAAa | 2.6(0.7,3.1) | 6.6(4.9,8.5) | -3.52 | <0.001 |
| HAAb | 8.9±3.2 | 3.0±1.5 | 8.59 | <0.001 |
注:aM(Q1,Q3);b;T1MT为正位距骨第1跖骨角;TNCA为距舟覆盖角;TCA为正位距骨跟骨角;Meary角为侧位距骨第1跖骨角;Pitch角为跟骨倾斜角;Kite角为侧位距骨跟骨角;CAA为内侧楔骨关节面夹角;HAA为后足力线角
2. 术前术后功能评分对比:末次随访时两组AOFAS、VAS及Maryland评分较术前均有明显改善,差异均有统计学意义(均P<0.05)(表3)。

髂骨组及副舟骨组平足症患儿术前及末次随访功能评分比较(分,)
髂骨组及副舟骨组平足症患儿术前及末次随访功能评分比较(分,)
| 项目 | 术前 | 末次随访 | t值 | P值 |
|---|---|---|---|---|
| 髂骨组 | ||||
| AOFAS | 66.4±14.6 | 94.1±7.3 | -8.27 | <0.001 |
| VAS | 4.8±1.8 | 0.8±0.8 | 9.03 | <0.001 |
| Maryland | 74.9±12.1 | 96.4±4.0 | -7.94 | <0.001 |
| 副舟骨组 | ||||
| AOFAS | 70.9±12.2 | 95.1±5.5 | -7.24 | <0.001 |
| VAS | 4.5±1.4 | 0.8±1.0 | 9.10 | <0.001 |
| Maryland | 76.6±2.4 | 96.1±3.6 | -7.14 | <0.001 |
注:AOFAS为美国足踝外科协会踝与后足评分;VAS为疼痛视觉模拟评分;Maryland为Maryland足部功能评分
3. 两组间末次随访角度与功能评分对比:两组患者随访结果进行组间对比,发现术后两组CAA均值对比差异有统计学意义(Z=-2.14,P=0.031),髂骨组和副舟骨组分别为7.7°和6.6°。其他角度指标差异均无统计学意义(均P>0.05)。
进一步分析两组植骨纠正量,采用病例术后末次随访的CAA角度减去术前CAA角度,得到∆CAA。经统计分析,此增量值∆CAA具有正态性。髂骨组∆CAA为6.0°±2.6°,副舟骨组为4.3°±1.3°,两组间差异有统计学意义(t=2.52,P=0.017)。末次随访时,两组间各功能评分比较差异均无统计学意义(均P>0.05)。
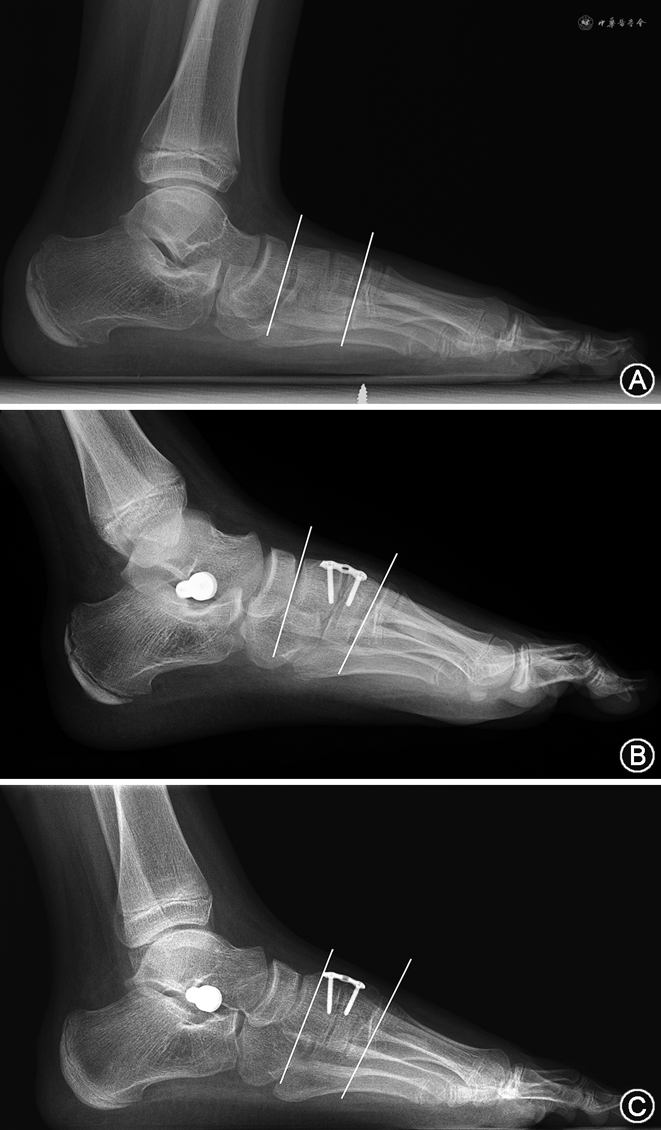
患儿男,12岁,主因左足副舟骨区疼痛1年入院。病史中曾行足垫、减少体育活动、外用药等保守治疗半年,疼痛无明显缓解,日常活动行走500 m以上疼痛,需要休息。体育活动受限。术前查体:可及副舟骨区压痛,胫后肌腱肌力因疼痛减弱,为4级。后足外翻,腓肠肌挛缩。辅助检查:X线可见跟骨外翻,距舟关节无明显脱位。术前测量角度见图3。术前AOAFS评分32分,VAS评分8分,Maryland评分40分。术后1年随访时AOFAS评分89分,VAS评分1分,Maryland评分92分。


柔韧性平足症早期干预措施包括矫形鞋垫、康复理疗等治疗方式[14]。治疗的目标是矫正足部力线,缓解症状,实现足部无痛活动功能[15, 16]。平足是一个三维畸形,当纠正后足外翻后,第1跖列可出现抬高,形成前足内翻,多数学者认为此时需行Cotton截骨手术进一步矫正前足内翻畸形,以恢复足部跖行,减少畸形复发[8,17]。Cotton截骨术即内侧楔骨背侧开放楔形截骨术,最早由Cotton[18]在1936年提出。Cotton截骨植骨来源,常用的是自体髂骨和同种异体骨。以往文献报道该术式骨愈合率几乎为100%,但仍存在如髂骨取骨区疼痛、神经刺激、排异反应等并发症[8]。既往临床经验中可见部分患者出现取骨区疼痛不适,在本研究中,髂骨组有2例患者出现髂骨取骨区疼痛,经保守治疗疼痛能缓解。副舟骨组没有患者出现供区疼痛的并发症。两组随访患者植骨处均获得一期骨愈合。考虑到自体或异体骨可能导致的并发症,有研究将楔形金属块进行替代植骨[19, 20, 21, 22]。金属植入物替代自体髂骨或同种异体骨也能够取得相同的疗效,且避免供区疼痛,避免传染疾病等并发症。Matthews等[20]用多空钛楔形植入物作为植骨材料,在63例患者中,有8例出现内固定处疼痛,1例出现Cotton截骨植骨处疼痛。Tsai等[22]用楔形金属块进行植骨,45例患者(48足)出现2例骨不愈合,其中1例接受翻修手术。然而金属内植物的造价高,增加患者经济负担,文献报道中仍存在骨不愈合、异物刺激疼痛等并发症。根据本研究结果,在合并副舟骨疼痛的平足患者,采用副舟骨植骨可达到相当于髂骨植骨的功能评分结果,术后切口并发症少,同时避免髂骨取骨引发的并发症。
然而儿童副舟骨的骨量小,植骨可能存在Cotton截骨的矫形能力不足。Hirose和Johnson[23]对15例合并前足内翻的患者进行Cotton截骨治疗,术后所有患者畸形都得到了纠正,尤其是侧位片上的T1MT,较术前平均增加了14°,并且术后无骨不愈合并发症。Lutz和Myerson[24]对81例接受Cotton截骨术的患者进行了随访,结果证明了Cotton截骨的优秀矫形能力,术后侧位片上的T1MT较术前改善22°,并且术后同样无骨不愈合并发症。本研究中其中副舟骨组侧位Meary角由术前19.9°改善至术后的3.5°,髂骨组由术前21.7°改善至术后3.2°,均有明显改善,与既往文献报道相近。说明副舟骨植骨可以达到进一步纠正前足内翻的手术目的。平足的X线测量角度中,除CAA角以外,两组间对比差异无统计学意义。
Castaneda等[13]提出CAA用来评价Cotton截骨术矫正前足内翻的能力,同时可评价截骨量丢失。结果发现CAA角由术前1.0°增加至术后8.4°,且末次随访时CAA角能保持在7.5°左右。在此后的几项研究中同样证实了CAA角可用来单独评价Cotton截骨的矫形能力[25, 26, 27, 28]。本研究中CAA测量指标,髂骨组由术前中位数1.6°增加至术后7.7°,副舟骨组由术前中位数2.6°增至术后6.6°。虽然副舟骨组术后CAA角已有显著改善,但与髂骨组相比仍有一定差距。此差异来源于副舟骨尺寸有限而髂骨取骨量较充足。因此在副舟骨植骨手术中,应当注意骨量的宽度,以更多改善CAA角度。然而从末次随访功能评价来看,两组间不存在差异。影像学X线测量的其他角度也不存在差异。虽然CAA角度可以很精确地反映楔骨撑开的效果,但从足整体结构看,两组间差异不足以削弱Cotton截骨术的矫正效果。
采用副舟骨植骨平均增加4.3°±1.3°的CAA,与髂骨植骨相比,在矫正平足畸形及改善足部功能方面有着功能相当的疗效。因此,针对少数伴有Ⅱ型或Ⅲ型副舟骨疼痛的可复性平足,切除副舟骨用于植骨,效果与髂骨取骨相当,可达到可靠骨质愈合,并具有相当于髂骨块的支撑能力。
本研究局限性包括:(1)由于平足畸形的复杂性,患者接受了多种手术方式治疗,因此难以单独评估Cotton截骨手术的疗效;(2)样本量较小,且只收集了术前及末次随访患者的资料,没有评价骨量丢失存在术后时间;(3)本研究为回顾性研究,需要样本量更大的前瞻性研究以明确此方法的优劣。
综上,与髂骨植骨相比,采用副舟骨植骨的Cotton截骨治疗柔韧性平足症可取得相似的X线随访效果以及相同的临床功能评分。此方法避免髂骨取骨区疼痛并发症,适用于伴有Ⅱ型或Ⅲ型副舟骨疼痛的柔韧性平足症手术治疗。
王智, 孙成宜, 张建中, 等. 副舟骨植骨与髂骨植骨Cotton截骨术对儿童柔韧性平足症的疗效对比研究[J]. 中华医学杂志, 2023, 103(37): 2926-2932. DOI: 10.3760/cma.j.cn112137-20230301-00304.
所有作者声明不存在利益冲突





















