
本文报告了2例诊断为Pallister-Killian综合征(Pallister-Killian syndrome,PKS)的胎儿。孕妇1无创产前检测异常,取羊水标本分别行染色体核型分析和基因组拷贝数变异测序(copy number variation sequencing,CNV-seq)检测;孕妇2因产前超声检查发现脊髓圆锥位置低及双肾皮质回声增强,取羊水标本进行CNV-seq检测。结果孕妇1染色体核型结果为47,XN,+mar[30]/46,XN[10]。2例CNV-seq结果均显示12号染色体p13.33p11.1区段重复,拷贝数3~4,提示胎儿均存在12p四体嵌合。联合染色体核型分析、超声、CNV-seq,2例胎儿均诊断为PKS。经遗传咨询,孕妇及家属均选择终止妊娠。
版权归中华医学会所有。
未经授权,不得转载、摘编本刊文章,不得使用本刊的版式设计。
除非特别声明,本刊刊出的所有文章不代表中华医学会和本刊编委会的观点。
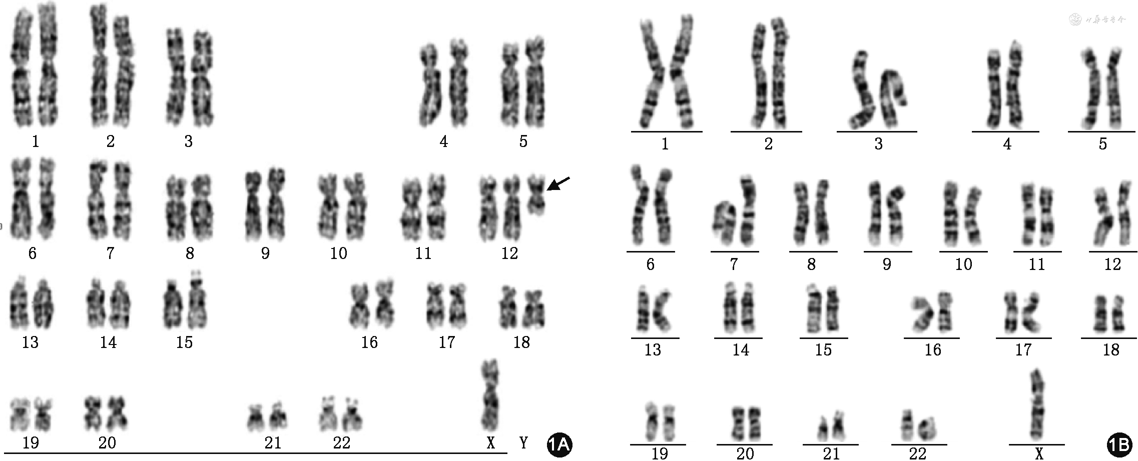
例1 孕妇42岁,2021年1月20日(孕21周)因“无创产前检测(non-invasive prenatal testing,NIPT)提示12号染色体重复”来郑州大学第三附属医院产前诊断中心遗传咨询门诊就诊。孕妇为孕3产0,有2次不明原因流产史。此次为自然受孕,单胎妊娠,规律产前检查。孕妇及配偶体健,否认特殊家族遗传病史,孕早期颈项透明层厚度正常,孕20周+4超声检查未见异常。经遗传咨询并签署知情同意书后,采集羊水进行染色体核型分析和基因组拷贝数变异测序(copy number variation sequencing,CNV-seq)检测。结果染色体核型为47,XN,+mar[30]/46,XN[10](图1),CNV-seq检测结果提示12号染色体短臂p13.33p11.1区域存在34.7 Mb的嵌合重复(图2)。该区域包含蛋白编码基因280个,拷贝数3.299,表明胎儿存在12p四体的嵌合,染色体核型结果应纠正为47,XN,+i(12)(p10)[30]/46,XN[10]。胎儿诊断为Pallister-Killian综合征(Pallister-Killian syndrome,PKS)。




例2 孕妇29岁,2022年9月14日(孕23周+2)因“外院超声异常”来本院就诊。孕妇为孕2产0,前次为不明原因胎儿停止发育,此次为自然受孕,规律产前检查。孕妇及配偶体健,否认特殊家族遗传病史。孕早期颈项透明层厚度正常,血清学筛查低风险。孕22周+外院超声提示胎儿脊髓圆锥下缘平L4、颜面部眼距增宽、双肾回声增强、胃泡未显示。就诊当天本院超声检查提示,胎龄23周+3(根据胎儿双顶径、头围、腹围评估),股骨、肱骨长度小于自述孕周对应长度减2个标准差;胎儿脊髓圆锥位置低,双肾皮质回声增强;检查过程中胃泡充盈差、颈后皮肤稍增厚。经遗传咨询,孕妇签署知情同意书后,采集羊水标本行CNV-seq检测,结果提示12号染色体短臂在p13.33p11.1区域存在34.38 Mb的嵌合重复(图3)。该区域包含蛋白编码基因277个,拷贝数为3.76,说明此胎儿存在12p四体的嵌合。结合超声异常等表现,该胎儿诊断为PKS。


经过遗传咨询,充分告知孕妇及家属胎儿预后,2例孕妇及家属均选择引产,拒绝行病理检查。随访时2例孕妇均述在外院进行外周血染色体检查,否认异常结果。
PKS是因为患者存在一条额外的12号短臂等臂染色体[i(12p)]而引起的涉及多个器官和系统异常的疾病,在活产新生儿中的发病率为5.1/1 000 000[1]。PKS的特点是i(12p)以嵌合体的形式存在,且在不同组织中的嵌合比例不同[2]。因为这种特殊的组织特异性,且产前和产后临床表型多样,给PKS的诊断带来很大的挑战。本研究报告了2例PKS胎儿,其中例1胎儿超声检查未见明显异常,通过羊水标本染色体核型分析和CNV-seq检测确诊;孕妇2的胎儿超声显示多种异常,通过羊膜腔穿刺进行CNV-seq检测确诊。
产前超声检查对发现PKS的表型具有重要价值。Salzano等[3]回顾了文献报道中86例PKS胎儿的产前超声发现,常见的超声表现包括羊水过多(37%)、长骨短(34%)、先天性膈疝(27%)和脑部异常(20%)等,其他相对少见的异常包括胃肠道表现、泌尿生殖系统表现、颈部褶皱增厚和胎儿生长受限等。部分文献报告在超声检查中发现PKS胎儿存在面部轮廓平坦、前额高、眼距增宽、鼻骨短小且平坦等颜面部异常特征[4, 5]。超声发现胎儿特殊面部异常对PKS的诊断有着重要的提示作用,但是对胎儿颜面部发育的评估可能受胎儿自身发育、超声仪器和超声医师主观判断的影响而出现漏诊及误诊。截至2022年11月,外文文献报道的产前诊断为PKS的病例超过100例,中文文献有11例。这100余例中,仅4例胎儿超声未发现异常[2,6, 7]。Chen等[2]研究中的1例胎儿通过羊水遗传学检测确诊PKS,然而产前超声并未发现任何异常,最终在终止妊娠时发现存在面容异常,符合PKS的面部表现。本研究例1胎儿未发现超声异常,虽与文献[2]报道的情况类似,但本例胎儿在外院终止妊娠后面部情况并未证实,也可能与超声检查时的胎龄不大有关,因胎龄越大出现异常越多[6]。本文例2胎儿超声存在颈部皮肤增厚、胃肠道表现和生长受限等异常,符合PKS的超声特征。
PKS的产前遗传学诊断实际上是对i(12p)嵌合体的检测。无论细胞或分子遗传学技术均可检出嵌合体,但是检测技术各有优势和局限性。“染色体嵌合体的产前诊断与遗传咨询共识”建议,至少有2种技术均检出嵌合时才能确定诊断,而当只有1种技术检出嵌合体时,需要结合其他信息综合分析[8]。染色体核型分析必须先对细胞进行培养。异常染色体在体外培养过程中稳定性差,容易丢失,培养过程还可能受到生长偏倚的影响,导致嵌合比例的偏差,因此核型分析结果不一定能真实地反映嵌合比例。针对未培养细胞的检测技术(如CNV-seq等)更能反映嵌合体的真实比例。受技术敏感性和特异性的限制,CNV-seq嵌合比例的建议报告下限为20%,染色体微阵列分析(chromosomal microarray analysis,CMA)报告的比例下限为30%[8, 9],荧光原位杂交(fluorescence in situ hybridization,FISH)对嵌合的报告比例下限为10%[10]。已报道的产前PKS中文文献病例多采用染色体核型分析、CMA和FISH,只有1例使用CNV-seq技术确诊[11]。CNV-seq较其他技术有着检测范围广、通量高的优点,比核型分析能提高染色体异常的检出率,比CMA技术可以检出更低比例的嵌合体,因此被推荐为产前诊断的一线技术[12]。本研究2例均通过CNV-seq技术诊断,表明CNV-seq技术在PKS产前诊断中应当具有一定的临床应用价值。
绝大多数PKS胎儿产前超声可发现异常,但是当超声未见明显异常时仍不能完全排除PKS。联合应用产前超声和适当的遗传学检测技术,能够在产前明确PKS的诊断,为临床遗传咨询和妊娠选择提供参考。
朱重阳, 郭静, 李春旭, 等. 产前诊断Pallister-Killian综合征2例[J]. 中华围产医学杂志, 2023, 26(9): 774-777. DOI: 10.3760/cma.j.cn113903-20221130-00997.
所有作者声明无利益冲突





















