
脑裂头蚴病临床较为少见,由于其临床表现不典型,影像学缺乏特异性改变,因此容易误诊、漏诊。本文回顾性分析1例脑裂头蚴病患者的临床资料,结合相关文献,讨论脑裂头蚴病的临床、影像学特点及实验室检查,并初步探讨脑脊液宏基因组学二代测序在脑裂头蚴病诊断中的应用价值。
版权归中华医学会所有。
未经授权,不得转载、摘编本刊文章,不得使用本刊的版式设计。
除非特别声明,本刊刊出的所有文章不代表中华医学会和本刊编委会的观点。
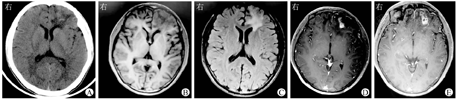
患者男,23岁,湖南省娄底市人,因"反复头痛3年余,加重10 d"于2021年10月25日收治复旦大学附属华山医院。患者2018年10月起无明显诱因下出现头痛,伴呕吐,非喷射性,呕吐物为胃内容物,无头晕、视物模糊,无腹痛、腹泻等不适,至外院予药物镇痛治疗,具体用药不详,后症状略有缓解。其间反复出现头痛,对症治疗后缓解。2021年10月15日患者无明显诱因再次出现头痛,至外院就诊,查血常规示:白细胞计数为10.45×109/L,中性粒细胞比例为0.768,CRP为0.44 mg/L。头颅CT检查提示:双侧额叶大片状异常密度灶,性质待定。给予甘露醇静脉滴注降颅压治疗后症状缓解,行头颅增强MRI检查提示:颅内占位性病变。为进一步诊治就诊于复旦大学附属华山医院感染科。否认高血压、糖尿病等慢性疾病史,否认肝炎、结核等传染病史,否认疫区流行病学史,否认食物、药物过敏史,否认吸烟史、饮酒史。患者体格检查未显示异常的神经系统体征。入院实验室检查示白细胞计数为6.02×109/L,血红蛋白为145 g/L,中性粒细胞百分比为0.476,嗜酸性粒细胞计数为0.35×109/L,嗜酸性粒细胞比例为0.056,血小板计数为257×109/L;血总IgE为77.28 μg/L;肝肾功能未见异常;ESR、CRP、铁蛋白、降钙素原等均未见异常。曲霉菌半乳甘露聚糖抗原试验(GM试验)阴性,β-D葡聚糖试验(G试验)为180.24 pg/mL。血清寄生虫抗体检测示:曼氏裂头蚴弱阳性。脑脊液蛋白质为388 mg/L,白细胞计数为2×106/L,糖为3.0 mmol/L,脑脊液培养阴性。脑脊液寄生虫抗体:阴性。脑脊液宏基因组学二代测序(metagenomic next-generation sequencing,mNGS)示曼氏迭宫绦虫,序列数为47。头颅CT检查提示两侧额部见不规则稍高及低密度混杂密度影,边界欠清,以左额部为著(图1A)。头颅MRI平扫检查示,双侧额叶见团片状异常信号影,平扫T1WI等低信号、T2WI及液体衰减反转恢复序列(fluid-attenuated inversion recovery,FLAIR)不均匀高信号,病灶边界不清,以左额叶为著;近旁脑回可见萎缩性改变(图1B、图1C)。头颅增强MRI检查示:病灶呈串珠样强化(图1D、图1E)。结合患者头颅MRI表现、血清免疫学结果、脑脊液mNGS结果,考虑临床诊断为脑裂头蚴病。患者于2021年11月9日全身麻醉下行"开颅病灶切除术",术中将左额极肉芽肿整块完整切除,灰黄色,质韧,边界清楚,血供不丰富,肉芽肿解剖未见活虫,可见长索状结构类似死虫体或肉芽隧道。术后病理示:(左额虫体窦道)(周围病灶)嗜酸性脓肿伴肉芽肿反应,局部坏死灶内见虫卵样结构,符合寄生虫感染。患者术后未服用抗寄生虫药物,术后6个月随访未出现不适症状主诉。


脑裂头蚴病是曼氏迭宫绦虫(也称为欧猥迭宫绦虫)幼虫裂头蚴寄生人体脑组织内引起的一种颅内寄生虫病。人感染裂头蚴的常见方式包括饮用或游泳时误吞生水;生食蝌蚪、蛙肉、蛇肉、蛇胆、猪肉,局部皮肤贴敷生蛙肉或蛇肉。寄生人体内的裂头蚴主要分布于皮下、肌肉组织,以眼部多见,累及颅内少见(约10%),但造成的后果最为严重。
脑裂头蚴病临床症状多不典型且无特异性,临床常见表现为癫痫、头痛和轻瘫[1],或类似脑肿瘤等占位性病变表现。血常规检查可发现嗜酸性粒细胞增高,但不具特异性。脑脊液检查可有蛋白质及细胞数轻度升高。血清学裂头蚴抗体检测的灵敏度及特异度均较高,既往缺乏其他确诊手段,血清学裂头蚴抗体检测一直被作为诊断标准之一[4]。
脑裂头蚴病的CT表现主要为脑实质内不规则形境界不清的低密度影,其内可见结节状或条带状等或稍高密度影,增强扫描后呈明显强化。脑裂头蚴病的MRI平扫检查示病灶常位于幕上、多发,灶周水肿带明显,但占位效应不重,有时灶周可出现负占位效应;增强扫描示病灶呈串珠样、匐行管状类似虫体形态的特异性强化,常见的典型表现包括隧道征、绳结征、串珠状或小环形强化灶等[1,2,3]。但在临床诊疗过程中由于影像学特异性并不十分明确,术前仅凭影像学表现确诊,存在较高难度,阳性率不高[5],陈宏等[6]报道的11例中仅1例术前明确为脑裂头蚴病。
本例患者以"头痛"起病,无明显的流行病学史,血常规提示白细胞及嗜酸性粒细胞均未见明显异常,脑脊液白细胞计数及蛋白质不高。头颅CT检查示两侧额部见不规则稍高及低密度混杂密度影,边界欠清。头颅MRI平扫检查见双侧额叶有团片状异常信号影,平扫T1WI等低信号、T2WI及FLAIR不均匀高信号,病灶边界不清,MRI增强见左侧额叶串珠样强化灶。血清寄生虫抗体弱阳性,但脑脊液寄生虫抗体为阴性。该患者脑脊液mNGS示存在曼氏迭宫绦虫,极大地帮助临床准确诊断该脑裂头蚴病患者。
mNGS作为一种新技术,越来越多地被用于中枢神经系统传染病的临床诊断。mNGS相比传统病原学检测在中枢神经系统感染诊断方面具有更高的灵敏度、特异度和预测效能,通过对脑脊液和(或)脑组织检测,有助于发现多种致病细菌、真菌、病毒、寄生虫[7]。有专家共识推荐对于慢性中枢神经系统感染及需要随访病原学证据的患者,可首选mNGS进行检测(A,Ⅱ)[8,10]。Du等[9]报道了1例11岁女孩因反复出现肩部和胸部疼痛以及呼吸急促就诊,影像学检查显示双侧胸膜和心包积液,气管隆突前淋巴结肿大,左下叶感染。最终,使用mNGS在右大腿根部的肿块中检测到了曼氏迭宫绦虫的基因组DNA,是首次基于mNGS诊断的人裂头蚴病。目前报道mNGS用于脑裂头蚴感染的文献有限,有文献[11]通过PubMed数据库检索报道了7例脑囊虫病(neurocysticercosis)患者经mNGS技术检测到链状带绦虫,并经脑脊液囊虫IgG抗体阳性证实。其中Fan等[12]报道了4例神经系统感染的患者,常规检查未能明确其致病病原菌,而通过脑脊液mNGS检测发现其感染了链状带绦虫,确诊为脑囊虫病。Liu等[13]报道1例表现为非典型头痛、缺血性卒中的患者,通过mNGS诊断脑囊虫病的分析研究。综合上述文献和本病例报道,发现mNGS是早期准确诊断中枢神经系统感染的有前途的工具,特别是当临床表现非典型时。
综上所述,脑裂头蚴病由于其临床表现不典型,影像学缺乏特异性改变,容易误诊、漏诊。而脑脊液mNGS通过收集脑脊液标本病原菌的DNA片段,对其扩增后同时检测出细菌、病毒、真菌或寄生虫DNA序列,为诊断提供关键线索。在临床诊断困难时,mNGS可以作为一个有力的辅助诊断的依据,能够与传统方法形成互补,降低漏诊、误诊率,是临床值得应用的新型辅助诊断技术,对新发、疑难的感染性疾病能够指明方向,进而帮助临床进行判断,并在病原学诊断、减少不必要抗生素使用等方面成为传统病原学检测的有效补充手段。
所有作者均声明不存在利益冲突





















