
本文报道1例上前牙区美学缺陷疾病患者的治疗过程。以恢复前牙粉白美学为导向,制订治疗计划,通过数字化手段完成术前临时修复体设计、牙冠延长术导板制作、术后龈缘变化观察以及正式修复体制作。修复治疗后3年复查,患者对治疗效果满意。
版权归中华医学会所有。
未经授权,不得转载、摘编本刊文章,不得使用本刊的版式设计。
除非特别声明,本刊刊出的所有文章不代表中华医学会和本刊编委会的观点。
口腔美学缺陷疾病是口腔临床常见的疾病类型。上前牙区口腔软硬组织美学缺陷常需要牙周、修复、正畸、整形外科等多学科联合治疗。本文介绍1例上前牙区美学缺陷疾病患者的多学科治疗过程。
1.基本资料:患者女性,23岁,汉族。2019年1月以“微笑时露龈,修复体不美观多年”为主诉,就诊于厦门医学院附属口腔医院修复科。患者多年前自觉微笑时显露牙龈较多,牙齿不美观,4年前于外院行全瓷联冠修复,此后牙龈持续红肿出血。口腔卫生习惯:横刷+竖刷,软毛牙刷,含氟牙膏,刷牙频率:2次/d,3 min/次。否认外伤史、家族史、全身系统性疾病,否认药物过敏史。
2.临床及影像学检查:
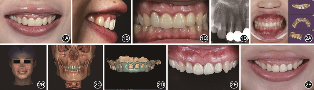
(1)口腔外部检查:面部左右对称,高位笑线,微笑时见上唇内侧黏膜外翻,前牙牙龈显露量为5~6 mm,上唇提肌动度偏大,上唇长度变化量是正常变化量的1.5~2.0倍。侧面轮廓为直面型,双侧关节运动无弹响,张口度正常,开口型正常(图1A,B)。

像;D:根尖片示11、12、21、22冠根比
像设计临时修复体;B:将临时修复体与面部扫描数据拟合,验证临时修复体效果;C:参考锥形束CT前牙牙槽骨设计牙冠延长术导板;D:参考模型数据设计牙冠延长术导板;E:临时修复体戴入后上颌牙列正面像;F:临时修复体戴入后口唇部正面微笑像
像;D:根尖片示11、12、21、22冠根比
像设计临时修复体;B:将临时修复体与面部扫描数据拟合,验证临时修复体效果;C:参考锥形束CT前牙牙槽骨设计牙冠延长术导板;D:参考模型数据设计牙冠延长术导板;E:临时修复体戴入后上颌牙列正面像;F:临时修复体戴入后口唇部正面微笑像(2)口腔内部检查:全口口腔卫生一般,软垢指数为2,牙石(+)。12—22全瓷联冠修复体,12色灰,13、23牙饱和度高,牙龈红肿,探诊出血(bleeding on probing,BOP)(+),未探及明显牙周袋。龈缘位置不协调。薄龈生物型,角化龈充足。前牙深覆
,覆盖正常。15、35反
(图1C)。
(3)影像学检查:锥形束CT示12根管内高密度影像,横断面12牙根偏腭侧,唇侧骨嵴顶位置较11、21牙偏根方;矢状面12牙冠边缘距离牙槽嵴顶<3 mm;冠状面11、21、22根尖未见明显异常,牙槽骨未见明显吸收。11、21牙冠根比为1∶1.5;12、22牙冠根比为1∶1.3(图1D)。头影测量显示,U1-PP距(上中切牙切缘到腭平面的距离)为(29.5±2.4)mm。
3.诊断:①11、12、21、22牙体缺损;②牙龈炎;③牙列不齐;④露龈笑。
4.病情分析及治疗计划:①唇齿龈关系不协调,患者为高位笑线,微笑时前牙牙龈显露量为5~6 mm,上唇内侧黏膜外翻,上唇提肌动度偏大;②粉色美学缺陷,上前牙区牙龈红肿,生物学宽度被破坏,龈缘位置不协调,牙龈顶点不对称;③白色美学缺陷,修复体颜色形态不佳,13、23饱和度高,切缘偏长。右侧后牙区反
,前牙深覆
、深覆盖。
治疗计划:①牙周基础治疗,口腔卫生宣教,拆除上颌12—22修复体,全口洁治;②正畸治疗,排齐上下颌牙列,改善深覆
及右侧反
;同时改善露龈笑并重建生物学宽度,需行正畸压低,但正畸压低时,牙龈移动速度比牙齿慢,可致临床牙冠变短,后期仍需辅助牙周手术;③牙冠延长术同期行12牙上皮下结缔组织移植术,改善临床牙冠比例,重建生物学宽度,增加12牙龈厚度,防止翻瓣后12唇侧牙龈退缩;④唇定位手术,改善上唇外翻的黏膜;⑤注射美容治疗,改善露龈笑;⑥重新进行冠修复,改善上颌修复体的形态和颜色;⑦微笑训练。
5.治疗过程:将治疗计划优缺点充分告知患者,患者不考虑进行正畸治疗,其余治疗均知情同意。
(1)术前分析和准备:采集患者微笑和牵拉口角状态的面部照片和面部扫描数据(3dMD,美国),使用CEREC AC Omnicam(Sirona,德国)口内扫描仪采集患者上下颌牙列及颊侧咬合的三维信息,导出为“.stl”格式文件。将口内扫描数据与患者面部扫描数据导入EXOCAD软件(Exocad GmbH公司,德国)。结合前牙美学参数和下颌唇缘位置,完成牙冠延长术前后的虚拟诊断蜡型设计(图2A~C)。
(2)牙冠延长术导板设计思路:结合患者口内照片和根尖片,确定修复体切缘位置(切缘位于微笑时下唇干湿交界处)。12因牙冠唇倾,其龈缘位置位于11和13根方,根据Chu美学标尺测量,12宽长比符合美学比例,因此,牙冠延长术导板的设计以12龈缘位置为基线,11、21、22向根方延长1.5~2.0 mm,13、23向根方延长1.0~1.5 mm(图2C,D)。
(3)牙周基础治疗:口腔卫生宣教,拆除上颌12—22修复体,复制牙冠延长术术前虚拟诊断蜡型,制作12—22计算机辅助设计与辅助制作(computer-aided design/computer-aided manufacturing,CAD/CAM)树脂单冠,并进行牙周基础治疗(图2E,F)。
(4)手术过程:①切口设计,根据术前设计的牙冠延长术导板,先定点,行内斜切口,切除11—23、13牙龈(图3A)。②骨切除及修整,翻全厚瓣,去除肉芽组织,平整根面,生理盐水冲洗。术中见11、12唇侧骨嵴顶位于同一水平。以术前设计龈缘位置为参考,在导板指示下采用高速梨形车针和柱形车针少量去除11、21、22唇侧骨嵴顶区牙槽骨1~2 mm,并适当移行至邻间骨嵴顶,创造有利于龈乳头附着的理想骨外形(图3B~D)。采用骨凿修整唇侧骨隆突,形成符合生理外形的根间纵沟。③12唇侧上皮下结缔组织移植,供区选择左上后牙腭侧黏膜,距离24、25、26腭侧龈缘根方2 mm处,沿牙列方向水平切口近远中延展至15 mm,深达腭侧骨膜,分离并采集结缔组织瓣,缝合关闭供区创口,结缔组织瓣修整后,缝合固定于12唇侧,以增加软组织厚度。龈瓣无张力复位于骨嵴顶,5-0不可吸收缝线(普理灵™,强生,美国)间断缝合唇腭侧龈瓣,使龈瓣充分紧贴骨面(图3E)。④唇再定位手术,膜龈联合处切口,于上唇内侧切半厚瓣,移出4 mm黏膜条带,从系带处缝合,保证中线。覆盖牙周塞治剂(VOCO,德国)保护术区(图3F,G)。⑤术后护理及治疗结果,术后即刻冰敷,术后1周内口服阿莫西林胶囊(0.5 g/次,3次/d)及布洛芬缓释胶囊(0.3 g,必要时服用)。术后2周内使用0.12%醋酸氯己定溶液含漱(2次/d,1 min/次)。术后1周复查,2周拆线。术后1、3个月复查并用口内扫描仪记录龈缘位置,将数据导入Geomagic软件,对不同时间点龈缘位置的变化进行观察。术后2周,龈缘位置较术后即刻向冠方移动;术后1个月,龈缘位置较术后2周向根方移动;术后3个月,龈缘位置与术前设计位置基本一致(图4A~C)。


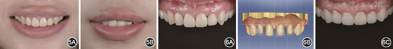
(5)A型肉毒毒素注射治疗:转诊整形外科。双侧鼻翼软骨外侧5 mm进针,至提上唇肌浅层注射,注射剂量4~6 U。嘱患者根据美容效果,3~6个月重复注射(图5A,B)。


(6)修复治疗:3个月后复制牙冠延长术后的诊断蜡型,进行临时修复体的制作和塑形;6个月后,13—23进行牙体预备,12—22设计全瓷单冠,13、23设计全瓷贴面。使用CEREC AC Omnicam扫描临时修复体及牙体预备后模型,通过复制功能,使修复体唇侧形态与原虚拟设计牙齿形态吻合,精细调整确定最终修复体设计(图6A,B);使用椅旁CAD/CAM设备制作修复体,贴面修复体和冠修复体使用VITA三层色瓷块(1M2)(VITA Zahnfabrik,德国)。修复体粘接完成后,定期复查(图6C)。
(7)微笑训练:对镜训练,双唇轻闭,嘴角轻翘,面部肌肉舒展放松,同时注意眼神配合,挑选满意的笑容,并保持这种微笑。
6.修复前后效果对比及随访:见图7,8。修复后患者粉白美学效果得到改善,唇齿龈关系相对协调。

像
像
像
像口腔美学缺陷疾病发病率高,可影响患者牙齿、口腔和颌面部的美观[1],其病因复杂使得目前缺乏精确的诊断和治疗标准。本病例存在牙列不齐、修复体颜色不美观、牙龈红肿、露龈笑等问题,如何有效改善露龈笑,解决前牙粉白美学问题,依靠单一学科治疗无法取得良好的疗效。
露龈笑存在以下病因:①牙齿被动萌出,临床牙冠短;②上唇提肌和颧大肌张力过大[2];③上颌骨垂直向发育过度;④包含两种及以上者为混合型[3]。与牙齿相关的病因可通过牙冠延长术解决,与颌骨和肌肉相关的病因可通过正畸-牙周联合治疗、正颌手术联合V-Y成形术、A型肉毒毒素注射术、唇再定位手术等多学科联合治疗露龈笑[4, 5],以获得理想的效果。全面系统的口内检查和美学分析有助于病因的判断。本病例属于高位笑线。正畸头影测量下面高等于中面高,U1-PP距为(29.5±2.4)mm,在正常范围内。探诊未见牙齿被动萌出。休息位和大笑位时上唇长度变化量是正常变化量的1.5~2.0倍[6]。因此,患者露龈笑的主要原因为上唇提肌张力过大。
对于由生物学宽度破坏导致的牙龈红肿,牙冠延长术是有效的治疗手段[7]。通过牙冠延长术切除牙龈,修整牙槽骨形态,重新调整修复体冠边缘与牙槽嵴顶的距离,可改善牙龈红肿和露龈笑。此外,牙冠延长术后龈缘位置的变化也是学者关注的焦点。已有研究显示,牙冠延长术后3~6个月,龈缘位置基本稳定[8]。在恢复过程中龈缘位置可冠向移动,也可根向移动。本病例基于全面系统的术前分析制作CAD/CAM牙冠延长术导板,精准转移美学设计,术中辅助牙龈切口定位,形成扇贝状龈缘曲线;术中测量骨嵴顶至未来修复体冠边缘位置,精确定位去骨量;术后数字化技术辅助判断龈缘位置的变化。待龈缘位置稳定后再开始正式修复。同时,前牙区软组织厚度是维持龈缘长期稳定的关键因素[9]。本病例牙龈生物型为薄龈型,12唇倾,常规的牙冠延长术翻瓣后导致12术后牙龈退缩的风险较大。因此本课题组在牙冠延长术同期行12上皮下结缔组织移植术,术后结果显示龈缘曲线恢复良好,位置与术前设计基本一致。
针对患者大笑时上唇黏膜显露的美学问题,本课题组通过唇再定位手术减小前庭沟深度,配合A型肉毒毒素注射术限制口轮匝肌动度。整形外科注射方法安全微创可逆且见效快;但有效期仅为3~6个月,保持疗效需再次注射治疗[10]。提示临床在医患沟通中尤其需注意此类问题。
综上,将三维面部扫描、锥形束CT、口内扫描等多数据融合,实现以面部轮廓和引导的美学修复,从数字化设计、预测到修复体加工的一整套数字化诊疗流程[11],可提高诊疗的精确性。对本病例的治疗显示,利用数字化技术,恢复牙周组织健康、改善前牙美观及露龈笑方面均可获得良好的疗效,可为多学科联合诊治上前牙区美学缺陷病提供临床思路。
陶娴, 朱建宇, 许志强, 等. 数字化技术辅助多学科治疗上前牙区美学缺陷疾病1例[J]. 中华口腔医学杂志, 2023, 58(12): 1296-1299. DOI: 10.3760/cma.j.cn112144-20230816-00085.
所有作者声明不存在利益冲突
本文探讨了1例存在上前牙区多项粉白美学问题患者的治疗过程。治疗过程中作者结合数字化手段,在进行系统的口内检查和美学分析基础上,展现将多源数据进行数字化融合,实现美学分析、预测直至实现的诊疗流程,并对部分治疗效果进行更直观、量化的评估。同时结合整形手术及微笑训练,实现广义范围的多学科联合治疗。建议作者针对该类型患者最终修复阶段,进一步考虑修复体边缘形态的选择设计:如基牙水平型与垂直型预备的选择,修复体终止线与终止范围的选择等。同时复查时,一方面需辅以影像学资料(如根尖片)进行对比,另一方面也建议考虑于术后即刻及中长期复查时每次均留存数字化资料,以更客观地进行修复效果评估。





















