
髋臼股骨撞击症(femoral acetabular impingement,FAI)是一种由于股骨头和(或)髋臼的解剖结构异常,髋关节在活动时股骨近端和髋臼边缘之间形成撞击,造成髋臼软骨和髋臼盂唇损伤、髋关节慢性疼痛和髋关节活动范围受限的一种疾病。FAI的诊断需要综合症状、体征和影像学检查评估,其中影像学检查起着至关重要的作用,影像学检查可以加深医生对FAI病理机制的理解,从而加速保髋手术的进展。X线片包括骨盆正位、假斜位和45°Dunn位等拍摄体位,医生可通过在X线片中测量相关的指标了解股骨和髋臼的解剖形态。骨盆正位X线片中股骨α角>50°~60°可提示Cam型FAI,而交叉征、后壁征、外侧中心边缘角(lateral center-edge angle,LCEA)>40°等提示Pincer型FAI;假斜位X线片主要测量反映髋臼前覆盖程度的前中心边缘角(anterior center-edge angle,ACEA),ACEA<20°被视为髋臼前方覆盖不足,可能存在髋臼发育不良,若>40°为髋臼前方过度覆盖提示Pincer型FAI;45°Dunn位X线片侧重于显示3点钟部位的股骨头颈畸形,此处是股骨髋臼撞击较明显的位置,该拍摄体位对于Cam型FAI具有较好的提示作用。CT扫描可通过对患者髋关节进行三维重建来更直观地展示髋关节形态,便于手术规划和术后评估;此外CT还可对髋关节外撞击如坐骨股骨撞击、髂前下棘撞击和大转子骨盆撞击进行鉴别诊断。MR具有优异的软组织显像能力,可显示髋臼盂唇和软骨损伤等X线片和CT难以发现的其他病变,对术前评估至关重要。合适的影像学检查对FAI的诊疗具有关键作用。
版权归中华医学会所有。
未经授权,不得转载、摘编本刊文章,不得使用本刊的版式设计。
除非特别声明,本刊刊出的所有文章不代表中华医学会和本刊编委会的观点。
髋臼股骨撞击症(femoral acetabular impingement,FAI),又称髋关节撞击综合征,由Ganz等[1]于2003年正式提出,是引起青壮年髋关节疼痛和功能障碍的最常见疾病之一[2]。由于股骨头和(或)髋臼的解剖结构异常,髋关节在屈曲、旋转等活动时股骨近端和髋臼边缘之间发生撞击,造成髋臼软骨和髋臼盂唇的损伤、髋关节的慢性疼痛和髋关节的活动范围受限[3]。因为屈曲是髋关节的主要运动,因此髋关节损伤多发生于髋臼前外侧[4]。FAI可分为Cam型、Pincer型和混合型共三种类型[5]。Cam型的主要特点是股骨头颈部分的异常增生,部分患者可呈"手枪柄"样畸形。Pincer型的主要特点是髋臼对股骨头的局灶性或整体性存在过度覆盖,一般情况下正常髋关节的髋臼开口在轴面是前倾的,而髋臼后倾则会导致髋臼前外侧缘突出,并可能增加股骨头前外侧覆盖范围。混合型是最常见的一种类型,兼具Cam型和Pincer型的特点。股骨近端与髋臼长期撞击造成盂唇和软骨的反复机械损伤,导致髋关节退变和骨关节炎的发展[6]。
两项长达10年的长期研究表明,保髋手术可减缓80%~90%的患者骨关节炎进展[7,8]。为保证患者得到最佳治疗方案,对FAI进行早期诊断和治疗至关重要,诊断需从症状、体征和影像学三方面进行充分评估。影像学作为FAI诊断过程中的关键一环,其主要目标是评价股骨和髋臼的异常解剖形态,通过测量髋关节的参数来量化解剖结构的异常程度,并识别盂唇和软骨损伤,诊断早期或进展期的骨关节炎。
常用的影像学技术手段如X线片、CT和MR均可用于FAI的诊断。其中X线片是FAI诊断中最常用的检查,标准的髋关节X线片包括多个投照方式:骨盆正位、假斜位、45°Dunn位、90°Dunn位、穿桌侧位、蛙位。通过不同角度的X线片可获取患者较为全面的髋关节影像学形态信息。Cam型FAI的X线片常表现为α角>50°~60°、股骨头颈偏心距<8 mm等[9,10,11];而Pincer型FAI的X线片常表现为交叉征、后壁征、坐骨棘征、外侧中心边缘角(lateral center-edge angle,LCEA)>40°等特点[12,13,14]。当X线片怀疑FAI时,应进一步通过CT和MR进行评估。CT可通过显示髋关节的三维骨性结构来评价髋关节的内外撞击、准确量化股骨畸形程度和部位、测量异常的髋臼旋转角度,如Cam型FAI的股骨头颈交界处生理性凹陷的减少或消失,Pincer型FAI的髋臼后倾和过度包容也可在CT片中显示。而MR图像包括MRI和MRA,可识别软组织结构,评估髋臼盂唇撕裂、软骨缺损、盂唇旁囊肿等情况,指导医生确定手术清理和修复的范围。
本文从X线片、CT扫描、MR检查三部分介绍FAI的影像学特点、特殊角度的拍摄方法、影像学测量等内容(图1)。


X线片是FAI诊断中的首选影像学检查,可全面评估患者骨盆和髋关节,并排除其他引起疼痛的原因。需要注意的是,髋关节X线片包括多种视角,每个视角所展现的髋关节病理表现各不相同,如交叉征、后壁征等影像学特征会随着骨盆方向的变化而改变[15]。因此,在评估X线片前需确认患者体位及拍摄角度是否符合要求,避免出现读片误差。
对疑似FAI者首先推荐的影像学检查是骨盆正位X线片。通过骨盆正位X线片可初步评估髋臼覆盖范围和角度(图2),拍摄方式包括仰卧位和站立位,而拍摄方式会影响对髋臼后倾或覆盖程度的判断。Jenkinson等[16]发现相较站立位,采取仰卧位拍摄骨盆正位X线片时骨盆向后旋转的程度更小,导致髋臼后倾程度更显著,同时交叉征、后壁征、坐骨棘征等反映髋臼后倾的影像学特征出现概率显著增加。因此,仰卧位骨盆正位X线片更能体现出Pincer型FAI髋臼后倾和过度覆盖的特点。标准骨盆正位X线片的尾骨应指向耻骨联合,并与耻骨联合上缘之间的距离为1~2 cm[1]。


对标准的髋关节正位X线片,首先需要评估:(1)Shenton线,连接股骨颈内侧与闭孔的曲线,与髋关节发育不良密切相关,常与大转子水平线一同评估。Shenton线中断,且股骨头中心高于大转子水平线,提示可能存在髋关节发育不良甚至髋关节脱位;而当股骨头中心低于大转子水平线时,可能存在Pincer型FAI[17]。(2)髂颈线,即髂棘外缘与股骨头颈的外缘连线,正常时该线应连续,若髂颈线中断,则提示存在髋关节发育不良。(3)髋关节间隙,髋臼眉弓处与股骨头之间的最短距离,当髋关节间隙<2 mm时提示髋关节退变明显,行髋关节镜手术预后较差,髋关节镜术后行全髋关节置换可能性较大[18]。
Cam型FAI首先通过骨盆正位X线片中股骨α角来初步评估。Nötzli等[19]描述α角是股骨颈轴所在的直线与一条连接股骨头中心点和股骨头正常球形截面发生改变的点的连线相交形成的夹角,当股骨头颈处有异常骨质凸起时α角增大。一般认为α角>50°~60°时为异常,国内学者多数把α角>55°作为Cam型FAI的标准,而国外的研究多认为α角应>60°[14,20,21,22,23,24,25]。α角通常被认为是评价FAI最可靠的影像学指标之一,α角量化了FAI的病理严重程度,可预测髋关节盂唇和软骨损伤程度[26,27]。Cam型FAI手术的主要目标之一是将α角恢复至<55°,有利于改善患者预后;术后α角≤46°的运动员回归运动的可能性是术后α角>46°的运动员的6.3倍[28,29]。但是考虑到FAI是一种三维骨性畸形病变,且α角经常在股骨头颈的前方或前上方增大最为显著,因此在骨盆正位X线片中测出的α角一般不能代表患者最明显的Cam型FAI。除α角外,股骨头颈偏移(off-set)和头颈偏移率(off-set ratio)的减小及枪柄样畸形也被认为是Cam型FAI的影像学特征。
对Pincer型FAI,骨盆正位X线片上常见用来评估髋臼过度覆盖和髋臼后倾的影像学特征包括:交叉征(crossover sign,COS)、后壁征(posterior wall sign,PWS)、髋臼过深(coxa profunda)、坐骨棘征(ischial spine sign)。上述影像学特征中,交叉征最为常见,通过髋臼前缘与后缘间的相对位置关系来反映髋臼前覆盖的情况。正常髋臼由于开口方向朝向前外方,在骨盆正位X线片上髋臼的前缘应位于后缘的内侧;而当髋臼前方过度覆盖或者髋臼后倾时,髋臼前缘的上方超出后缘而位于后缘的外侧,从而出现髋臼前缘与后缘的"交叉"现象[30]。正常的髋关节后缘在标准的骨盆正位X线片中应位于股骨头中心点的外侧,后壁征指髋臼后缘的轮廓线位于髋关节中心点的内侧,提示髋臼后方过度覆盖;若交叉征阳性而后壁征阴性,一般提示髋臼前方的局部过度覆盖[31]。髋臼过深用于评估髋臼底与股骨头间的位置关系,在正常的骨盆正位X线片中髋臼底的投影应当位于髂坐线的外侧,若髋臼底的投影与髂坐线重叠则认为髋关节的髋臼过深,若髋臼底的投影位于髂坐线的内侧,则被称为髋臼前凸[4]。坐骨棘征阳性是指在骨盆正位X线片中坐骨棘在患者盆腔内具有明显的投影,最早由Kalberer等[32]提出,坐骨棘征与交叉征具有高度相关性,提示髋臼后倾。
此外,骨盆正位X线片中常用来测量的指标有股骨头突出指数(femoral head extrusion index)、股骨颈干角(femoral neck-shaft,FNS)、髋臼深宽比(acetabulardepth-to-width ratio)、LCEA、Tönnis角和Sharp角。股骨头突出指数是指股骨头超出髋臼以外部分的横径与股骨头直径的比值,正常值为25%,突出指数过大则提示髋臼发育不良[33]。股骨颈干角是股骨干与股骨颈轴线的夹角,平均约127°,<120°为髋内翻、>140°为髋外翻(若伴有髋关节发育不良则容易发生髋关节脱位,髋关节镜手术的结局可能不良)[34]。髋臼上下缘之间的距离为髋臼宽度,髋臼最深点与髋臼上下缘连线之间的垂直距离为髋臼深度,深度与宽度之比正常应>38%,若偏小则提示可能存在髋关节发育不良[33]。LCEA是经过股骨头中心的垂线与股骨头中心和髋臼外上缘连线的夹角,能够反映股骨上外侧方向的髋臼覆盖,正常值为25°~40°,LCEA<25°常提示髋臼覆盖不足,为髋臼发育不良的重要影像学特点,>40°时提示髋臼过度覆盖,是Pincer型FAI的一个合理的评估指标[35,36,37]。LCEA除辅助诊断FAI外,还是髋关节镜下骨软骨成形术治疗FAI的术后评价指标,并用于预测术后结果,较大的LCEA常预示着不良预后。为保证术后病情改善,推荐将LCEA纠正至30°[38,39]。FAI同样可合并髋臼发育不良,一项5年随访研究证实合并髋臼发育不良的FAI者可通过髋关节镜手术获得与正常髋关节覆盖的FAI患者相似的改善[40]。Tönnis角是通过髋臼负重区内侧外侧点的切线,与平行于骨盆横轴的水平线之间的夹角,正常范围为0°~10°,<0°提示髋关节可能存在髋臼过度覆盖及Pincer型撞击,>10°提示髋臼覆盖不足,可能存在髋臼发育不良的情况[41,42]。Sharp角常用于评估髋关节发育程度,测量方法是髋臼泪滴远端和髋臼最外缘点的连线与骨盆水平线之间的夹角,Sharp角≥45°表示髋臼顶对股骨头的覆盖不足,提示髋关节发育不良[42]。
髋关节假斜位X线片是通过评估髋臼前覆盖提示Pincer型FAI和髋关节发育不良的重要方法。拍摄时患者取直立位,患侧髋关节紧贴X线接收板,以患肢为轴旋转,使骨盆与接收板间的夹角为65°,且患侧足与接收板呈平行站位[43]。
假斜位X线片最常用的指标是前中心边缘角(anterior center-edge angle,ACEA)。ACEA由Lequesne等[44]提出,是经过股骨头中心的垂线与股骨头中心和髋臼前缘连线所形成的夹角,可反映髋臼前方覆盖的程度(图3)。ACEA是诊断髋臼发育不良、Pincer型髋臼等髋关节异常的重要考虑因素,通常ACEA<20°被视为髋臼前方覆盖不足、20°~25°被视为临界、25°~40°为正常、>40°为髋臼前方过度覆盖[45]。ACEA的准确测量受标准假斜位X线片拍摄方法和测量误差的影响。临床实践中难以严格按照标准体位拍摄假斜位片,而患者体位的改变会导致ACEA测量值的改变,标准假斜位X线片中两侧股骨头中心的距离应该约为骨盆正位X线片中距离的0.5倍,或两侧股骨头间隙为图像中股骨头直径的66%~100%[46,47,48]。测量方面误差的主要来源于髋臼前缘测量点的选取。既往研究将髋臼最前方的骨质作为髋臼前缘的测量点[44],该测量方式简便易行,但由于髂前下棘可致测量角度偏大,髋臼覆盖率较实际更高;若选取髋臼眉弓作为髋臼前缘点,可能测量的ACEA更接近实际,但由于眉弓在X线片上不一定能被清晰辨认,可能会造成测量不便甚至误差[49,50]。Sakai等[50]认为在正常髋关节中,前种测量方式能更准确地反映髋臼前覆盖,而在发育不良的髋关节中该测量方式往往会高估髋臼前覆盖的程度。


临床上常用的Dunn位X线片包括45°和90°两种,主要用于评价股骨形态,一般认为45°Dunn位X线片对Cam型FAI显示更加明显。我们以45°Dunn位X线片为例描述拍摄方法及观察和测量指标。拍摄方法为患者仰卧屈髋45°、外展20°,足朝向正下方,投照器距患者约1 m[51]。
标准45°Dunn位X线片可清晰显示股骨头颈的3点钟方向,即撞击较为明显的部位。Dunn位X线片的主要测量指标是α角和股骨头颈偏心距(图4)。股骨头颈偏心距指股骨头颈移行区至股骨颈之间的距离,正常为9~11 mm;股骨头颈偏移率为股骨头颈偏心距与股骨头直径的比值,正常应>20%,若偏心距和偏移率变小则说明股骨头颈移行处有异常隆起。一般认为股骨头颈偏移<8 mm或头颈偏移率<18%为异常,提示Cam型FAI[52]。


CT在对FAI的诊断与评估中具有较高的价值,既可测量X线片中的各种指标并量化髋臼倾斜的角度,也可使用三维模型来完成术前规划、术后评价以及翻修手术的评估。且相较MR,CT所需的拍摄时间短,可最大限度地减少在拍摄时由于患者活动而导致的图像伪影。作为手术规划的重要影像学工具,CT扫描三维重建可测量Cam型骨性凸起的体积,从而预测术中所见的盂唇撕裂程度,降低髋关节镜手术翻修率[53]。CT扫描三维重建的图像还可通过三维模拟软件虚拟髋关节活动进行术前规划,预测机械撞击的活动范围和位置[54]。此外,CT也是术后评估翻修手术的标准方法(图5)。FAI关节镜手术失败的最常见原因是骨软骨成形术矫正不足[55]。在一项包含50例关节镜手术治疗失败患者的研究中,45例仍有残余畸形,且CT扫描三维重建测量的大部分未矫正的骨软骨位于1点半的位置[53]。而这一位置在标准骨盆正位和Dunn位X线片中难以捕捉[55]。


CT还对髋关节的关节外撞击具有一定的诊断价值。髋关节外撞击常常造成患者非特异性的髋关节疼痛,常因与FAI相似的临床表现而延误诊断。相较FAI,髋关节外撞击的解剖特点更难以被量化,常见的髋关节外撞击主要分为三种类型:坐骨股骨撞击(ischiofemoral impingement,IFI)、髂前下棘撞击(subspine impingement,SSI)、大转子骨盆撞击(greater trochanteric impingement,GTPI)。
IFI在1977年首次被Johnson等[56]报告,由于坐骨股骨距离变窄,即坐骨结节与股骨小转子之间的距离缩小,压迫走行于其中的股方肌,导致出现肌肉水肿、萎缩,典型的临床表现为伸髋、内收及外旋时出现臀部的疼痛,可放射至大腿内侧[57,58,59]。导致IFI的常见解剖学因素包括深髋、髋关节外翻及股骨前倾角增大等,均可通过CT评估。
SSI是在屈髋内收内旋的过程中,增生的髂前下棘与股骨颈的前方以及邻近的软组织发生异常接触,导致疼痛和活动受限,并发生髋臼盂唇、髋关节前方关节囊及股直肌等软组织损伤[60,61]。通过CT可观察SSI患者髂前下棘形态而进行评估,Hetsroni等[62]2013年通过CT扫描三维重建图像将髂前下棘分为三种解剖类型:Ⅰ型,髂前下棘的下极与髋臼缘之间的髂骨壁光滑,无凸起;Ⅱ型,髂前下棘的下极与髋臼缘之间的髂骨壁有凸起并延伸至髋臼缘水平,或髂前下棘正好位于髋臼缘水平;Ⅲ型,髂前下棘的下极超过髋臼缘水平,甚至形成向下的骨刺形状。Ⅰ、Ⅱ、Ⅲ型髂前下棘的髋关节平均屈曲范围分别为120°、107°和93°,髋关节内旋受限分别为21°、11°、8°;Ⅱ、Ⅲ型的髂前下棘与髋关节屈曲和内旋减少相关。因此,对延伸至或低于髋臼边缘的髂前下棘类型可考虑通过手术进行髂前下棘减压。
GTPI是在髋关节伸髋及外展时发生大转子和髂骨之间的异常接触。临床表现通常为髋关节外侧或后方疼痛。患者就医时可能主诉髋关节伸髋或外展受限或疼痛。髋关节通常伴有股骨近端畸形,如股骨颈短缩、大转子上移、髋内翻导致外侧撞击,髋外翻和股骨前倾角过大导致的后方撞击[63,64,65,66]。这些在X线及CT影像上都能观察到相应骨骼畸形表现,并需排除其他病变。
X线片虽然是诊断FAI的重要放射学手段,但由于受到骨盆倾斜和二维成像的制约,以X线片评估髋臼后倾较为复杂,若用来作为评估手术干预的唯一指标则可靠性仍有待商榷。而CT可通过对髋关节断层扫描,进一步生成髋关节三维图像,更加直观、准确地评估FAI形态,因此在评估FAI和(或)髋臼发育不良患者方面具有显著优势。CT的缺点为患者较X线片接受更多辐射暴露,且对软组织显影能力较弱,难以评估引起疼痛和撞击的软组织原因。因此,患者往往需要额外的MR检查以获得进一步评估。
MR影像对FAI患者的术前评估及手术规划尤其重要。MR具有无辐射、多方位、多角度、多参数成像的优点,并且具有较高的软组织分辨力,不仅可观察骨质形态及骨髓的细微变化,还可以观察髋臼盂唇和软骨损伤。正常盂唇在MR影像上应表现为三角形、低信号、边缘光滑的结构,若盂唇的三角形结构形态不规则或出现高信号,提示盂唇损伤。MR可作为早期FAI病变的检查方法,是目前诊断盂唇损伤的基础。MRA通常比普通MRI更准确地评估盂唇和关节软骨病变,但因其有创性,临床上常被3.0 T MRI所替代,因此MRA只用于临床高度怀疑FAI但3.0 T MRI结果正常的患者[67]。
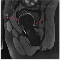
值得注意的是,单髋MRI较双髋MRI分辨率更高,便于观察盂唇结构,临床中更推荐摄单髋MRI片(图6)。读片时应注意髋关节各部分结构的位置,若采取髋臼定位法则以髋臼横韧带的中点是6点钟方向、前方为3点钟方向、上方为12点方向、后方为9点方向。MRI图像中的斜矢状位主要观察前盂唇和后盂唇,该位置是观察盂唇损伤最主要的位置,即1点到4点和11点到7点钟方向;冠状位主要用于观察外上盂唇,即9点到2点方向。


在MRI图像中可直接观察到FAI所致的软骨和盂唇损伤。盂唇损伤在MRA图像中常用Czerny等[68]于1996年提出的分型,将盂唇损伤分为三期:Ⅰ期盂唇损伤图像表示为盂唇内高信号未到达关节面或关节囊面;Ⅱ期盂唇损伤时,盂唇内的高信号到达关节面;而Ⅲ期盂唇的损伤表现为盂唇与髋臼缘的分离。2021年的一项研究将盂唇损伤分为盂唇变性、盂唇-软骨分离、盂唇骨化、盂唇撕裂等类型[69]。而关于髋关节软骨损伤,该研究将软骨损伤分为三个等级[69]:Ⅰ级,正常软骨;Ⅱ级,除软骨全层丢失之外的任何软骨损伤;Ⅲ级,全层软骨丢失。
Cam型FAI因近髋臼边缘的股骨头颈交界处增大,髋臼和股骨的不正常接触会导致髋臼盂唇和软骨结构的分层和损伤;Pincer型FAI因髋臼边缘过度覆盖股骨头,髋臼边缘持续负重会导致慢性退行性改变,如髋臼上方盂唇退变、髋臼盂唇边缘骨化等[70]。Ganz等[1]研究发现Cam型FAI软骨损伤较深,髋臼唇撕裂广泛,而Pincer型FAI软骨损伤常局限于局部边缘区域。
同时,MRI可清晰显示股骨或髋臼的其他病变,如股骨颈疝窝、盂唇旁囊肿、髋关节圆韧带损伤、色素沉着绒毛结节性滑膜炎等,股骨颈疝窝被认为是股骨头颈交界处与髋臼边缘反复机械接触的结果。Leunig等[71]的回顾性研究显示FAI患者的髋关节X线片中33%存在股骨颈疝窝,MRI表现为股骨颈前上方皮质下方的T2WI中或高信号灶,边界清晰,周围出现骨髓水肿[72]。盂唇旁囊肿的病理机制是股骨头与髋臼的不匹配导致关节内压力增加,迫使滑液通过病理性盂唇进入关节周围软组织,MRI可表现为圆形或卵圆形囊性肿块,T1WI呈中低信号、T2WI呈高信号,是髋臼盂唇撕裂的间接征象[73,74]。MRI对髋关节圆韧带损伤具有重要诊断价值,髋关节圆韧带连接股骨头及髋臼,是重要的关节稳定结构[75]。正常的圆韧带在各个序列上都表现为连续且均匀的低信号。Cerezal等[76]将圆韧带的损伤分为五种类型:(1)部分撕裂,表现为异常的韧带内部信号强度增高和韧带形态学改变,以及韧带局灶性部分连续性丧失;(2)完全撕裂,表现为韧带不连续,呈波浪形或松弛的轮廓,T2WI呈高信号;(3)退行性变,圆韧带在T1WI和T2WI上信号增高,形态不规则,有时需结合患者病史来协同判断;(4)股骨头撕脱性骨折,在T2WI或压脂像呈撕脱骨折及轻度骨髓水肿;(5)先天性圆韧带缺失,即在核磁图像上显示圆韧带完全缺失。色素沉着绒毛结节性滑膜炎(pigmented villonodular synovitis,PVNS),又称为腱鞘巨细胞瘤,是一种较少见的、良性的、有局部侵袭性的滑膜增生性病变,累及患者的关节、滑囊或者腱鞘,可发生于全身各个关节,膝关节最常见,其次为髋关节,患者表现为关节的疼痛、肿胀和活动受限,滑膜切除术是对该病的有效治疗方法[77,78,79,80]。MRI可通过确定PVNS病变位置辅助诊断和治疗前评估,同时也是用于治疗后早、晚期评估疗效和判断是否复发的最精确影像学方法,一般表现为关节内积液和弥漫性滑膜增厚。关节积液在T2WI上为高信号,滑膜增厚并伴有骨侵犯,在T1WI上表现为低信号,在T2WI上信号不均一[78]。结节状的滑膜组织内含铁血黄素沉积是PVNS的特征性表现,在T1WI和T2WI均呈低信号[81]。
影像学评估对成年人FAI的诊断而言至关重要,医生需要通过合适的影像学图像明确造成髋关节疼痛的原因。其中有症状者首先需通过X线片评估髋关节的大体骨骼形态和可能的病理损伤机制。通过骨盆正位、假斜位、Dunn位等X线片发现引起髋部疼痛的细微病理变化,而在评估各种角度的X线片时,需要判断拍摄角度是否符合标准。角度不准确可影响指标测量和影像学征象的判断。而后通过CT和MRI来进一步评估髋臼和股骨的三维形态及盂唇等软组织的形态和损伤情况。其中CT不仅可识别更多的骨骼形态学细节,还可在CT图像上测量X线片上能测得的角度数据。而且CT还可在术前对患者髋关节进行骨形态学的精细建模,但其缺点在于对患者髋关节部位生殖系统区域的放射暴露。MRI相较X线、CT提供了更详细的关节软组织结构信息,通过MRI可评估髋臼盂唇、软骨、肌肉和肌腱等结构。
临床中医生需通过利用各种影像学技术,全面评估患者的髋关节情况。值得注意的是,在进行FAI的影像学诊断时影像学诊断结果只是FAI诊断的一部分,最终诊断需综合考虑患者病史、临床表现和影像学结果。





















