
• 图片精粹 •
黄斑区椭圆体带节段性缺失及恢复
中华眼科杂志, 2015,51(8)
: 607-607. DOI: 10.3760/cma.j.issn.0412-4081.2015.08.012
引用本文:
杨煜生,
杨天舒,
田青,
等.
黄斑区椭圆体带节段性缺失及恢复
[J]
. 中华眼科杂志, 2015, 51(8)
: 607-607.
DOI: 10.3760/cma.j.issn.0412-4081.2015.08.012.
扫 描 看 全 文
正文
作者信息
基金 0 关键词 0
English Abstract
评论
阅读 0 评论 0
相关资源
引用 | 论文 | 视频
版权归中华医学会所有。
未经授权,不得转载、摘编本刊文章,不得使用本刊的版式设计。
除非特别声明,本刊刊出的所有文章不代表中华医学会和本刊编委会的观点。
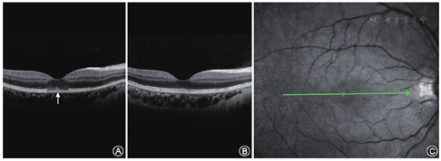
患者女性,20岁。因右眼视力下降,于2013年12月6日就诊于河南省南阳市眼科医院。眼部检查:视力右眼为0.6(-3.50 DS),左眼为1.0(-3.50 DS);双眼屈光间质清晰;眼底检查除右眼黄斑区中心凹反光稍暗外,其余正常。视野及电生理检查均无异常。OCT检查结果见精粹图片1。诊断:右眼黄斑中心凹椭圆体带节段性缺失。经全身应用神经支持剂、维生素及改善微循环药物治疗,于2014年1月13日复诊。患者自觉症状消失,右眼矫正视力为1.0,OCT检查结果见精粹图片1。

点击查看大图
精粹图片1
右眼黄斑中心凹椭圆体带节段性缺失患者相干光断层成像术检查图像A示右眼黄斑中心凹处色素上皮前椭圆体带节段性缺失(箭头);B示右眼黄斑区缺失的椭圆体带已恢复正常;C示右眼相干光断层成像术在眼底的扫描位置和方向(箭头)

点击查看大图
精粹图片1
右眼黄斑中心凹椭圆体带节段性缺失患者相干光断层成像术检查图像A示右眼黄斑中心凹处色素上皮前椭圆体带节段性缺失(箭头);B示右眼黄斑区缺失的椭圆体带已恢复正常;C示右眼相干光断层成像术在眼底的扫描位置和方向(箭头)





















