
探讨小儿肺炎支原体(MP)相关肺脓肿的临床特点。
回顾性分析2000年1月至2011年6月南京医科大学附属南京儿童医院MP相关肺脓肿4例患儿的病史、临床特点、病原学、肺CT及相关辅助检查等结果。
4例患儿中,男女各2例,年龄3~6岁,均急性起病,剧烈咳嗽,痰少。3例入院时弛张高热,3例肺部有固定中小水泡音。4例血清MP-IgM均≥1∶160、痰荧光半定量(FQ)-MP DNA均阳性;3例血WBC、多形核白细胞(PMN)、CRP、ESR增高,3例支气管肺泡灌洗液FQ-MP DNA阳性、血及胸水FQ-MP DNA阳性各1例,1例痰培养见卡他布兰汉菌;4例入院时影像学检查均提示肺间实质病变,病程5~20 d出现多个大小不等囊状影、液平囊状影、厚壁空洞等组织坏死影像。3例纤维支气管镜下见支气管黏膜充血水肿、黏膜下散在小结节,病变部位支气管黏痰堵塞。4例均在入院3~5 d后体温恢复正常,咳嗽减轻,肺部体征逐渐好转。应用大环内酯类抗生素3~4周后复查胸片示肺炎大部分吸收。随访6~18个月均吸收良好,1例留有左上肺局限肺不张。
MP相关肺脓肿临床较少见,该症持续高热,血WBC、PMN、CRP及ESR明显增高,影像学示大片高密度影,一般剂量红霉素等疗效欠佳。及时予足量大环内酯类抗生素,必要时联用GC、丙种球蛋白,可改善病情,预后较好。
版权归中华医学会所有。
未经授权,不得转载、摘编本刊文章,不得使用本刊的版式设计。
除非特别声明,本刊刊出的所有文章不代表中华医学会和本刊编委会的观点。
肺炎支原体肺炎(MPP)是由肺炎支原体(MP)引起的下呼吸道急性炎症,约占非细菌性肺炎的1/3以上,或肺炎的10%。MP是儿童呼吸道感染尤其是社区获得性非典型肺炎的重要病原。近年来其发病率逐年增高并呈流行趋势,重症及难治性MPP增加。以往国内罕见MP相关肺脓肿报道,现将南京儿童医院2000年1月至2011年6月诊治的4例MP相关肺脓肿总结报告如下。
4例MP相关肺脓肿中男女各2例;年龄3~6岁,平均5岁1个月;于病程5~11 d收住于南京医科大学附属南京儿童医院呼吸科。3例既往体质良好,1例有湿疹和哮喘病史,均无明显贫血、先天性心脏病、佝偻病、营养不良等基础疾病。
患儿均急性起病,病初均有剧烈刺激性咳嗽,有少许白黏痰,后转为淡黄脓痰。3例入院时弛张高热5~10 d,热峰均高于40 ℃。1例发热4 d,热峰38.5 ℃。查体均有呼吸稍促,轻度鼻扇及三凹征。肺病变部位听诊呼吸音减低,3例伴有固定中小水泡音。4例均轻度肝大,肋下2~3 cm,质软,边锐,脾未触及。无杵状指(趾)。1例既往有哮喘患儿出现喘息,肺部闻及广泛呼气相喘鸣音。2例伴有尿蛋白异常,其中1例一过性全身散在红色斑丘疹,伴轻度瘙痒;1例患儿伴胸腔积液。均无呼吸衰竭、心力衰竭等脏器功能衰竭征象。
患儿均检查血常规、CRP、ESR、降钙素原(PCT)、血生化、血支原体抗体(MP-IgM)、肥达反应、体液免疫、细胞免疫、自身抗体及抗中性粒细胞胞质抗体(ANCA)、核菌素纯蛋白衍化物试验(PPD)及结核感染T淋巴细胞斑点试验(T-SPOT.TB)、大小便常规及心电图。均于入院当天行病原学检查,包括血培养、痰培养、痰呼吸道病毒检测,荧光半定量PCR法(FQ-PCR)检测血FQ-EB病毒(EBV) DNA、痰FQ-结核杆菌(TB) DNA及FQ-MP、EBV DNA。3例行纤维支气管镜检查并送检支气管肺泡灌洗液(BALF)培养和FQ-MP、TB DNA检测。1例入院第2天行胸腔穿刺,抽取胸水送检常规、生化、培养、胸水FQ-MP、TB DNA等。均行胸片和(或)16排肺CT扫描。有MP感染肺外表现者予胸腹部B超检查,脑电图及尿蛋白三项检查等。因受实验条件限制,均未作支原体培养。均未行肺功能检查。
入院时3例患儿外周血WBC及多形核白细胞(PMN)增高,CRP、ESR显著增高。治疗2周后复查血常规及CRP均恢复至正常范围。另1例血WBC、PMN及CRP均正常,未检测ESR。
入院当天痰FQ-MP DNA均阳性(>1∶160),3例BALF-FQ-MP DNA阳性(>107 copies/L),例2痰培养见卡他布兰汉菌;胸水FQ-MP DNA阳性(>109 copies/L)。例1血FQ-MP DNA 3.21×107 copies/L。痰涂片均未见菌丝及孢子。痰呼吸道合胞病毒、腺病毒、流感病毒、副流感病毒、人偏肺病毒的抗原检测均阴性。体液及分泌物FQ-TB、EBV DNA检测均阴性。
4例血清MP-IgM≥1∶160,PPD及T-SPOT.TB均阴性,PCT<0.5 μg/L。体液免疫及细胞免疫均基本正常。EB病毒抗体、G试验及GM试验、抗"O"、类风湿因子、肥达反应、自身抗体及ANCA皆阴性。例2合并胸腔积液,送检胸水Rivalta试验阳性,细胞数2600/L、单核细胞0.7、多核细胞0.3、蛋白40.3 g/L、糖4.39 mmol/L、IFN-γ>800 ng/L、LDH 90.2 U/L、腺苷脱氨酶(ADA) 4036 U/L。
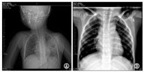
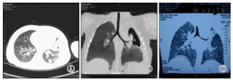
4例X线检查均示肺实质病变。例1,病程11 d CT示右上肺片状高密度影,病程20 d CT示双肺多个大小不等囊状影,右上肺显著。见图1A、图1B;3个月后复查胸片肺炎基本吸收,见图1C。例2,病程15 d肺CT:左侧胸廓略塌陷,左肺上叶大片状密实影,内见液平囊状影,见图2A、图2B;18个月后复查肺CT示左上肺脓肿消失,留有部分肺不张、条索影,见图2C。例3,病程6 d胸片示右上肺大片状高密度影,病程17 d肺CT示右上中肺大片及点状高密度影,右下肺背段多个厚壁空洞,呈簇状沿支气管分布,纵隔淋巴结大,见图3A、图3B。3个月后复查胸片肺炎基本吸收,见图3C。例4,病程5 d胸片示左上肺组织坏死,见图4A。0.5年后复查胸片提示炎症较前明显吸收,见图4B。


注:A:2010-01-16胸片示右上肺片状高密度影;B:2010-01-26 CT示右肺呈蜂窝状;C:2010-03-30胸片示右上肺炎基本吸收


注:A:2010-02-08 CT示左上肺脓肿;B:2010-02-08 CT示左上肺脓肿(冠状位);C:2011-07-18 CT示左上肺部分肺不张、条索影,左下肺代偿性肺气肿


注:A:2010-03-31胸片示右上肺大片状密度增高影;B:2010-04-12肺CT示右下肺背段多个厚壁空洞;C:2010-06-21胸片示右侧肺炎症基本吸收


注:A:2010-04-30胸片示左上肺炎、肺脓肿;B:2010-11-22胸片示左上肺炎、肺脓肿基本吸收
3例患儿支气管黏膜充血水肿,部分支气管黏膜检散在分布小结节,病变部位支气管开口处淡黄色黏稠痰液堵塞,见图5。


注:A:右主支气管开口大量淡黄色黏稠痰液;B:右上支气管黏稠痰液正被吸出
入院前在诊断肺炎后,4例患儿均经青霉素类及头孢菌素类双联或碳青霉烯类抗生素抗感染2~7 d,病情无改善。3例换用红霉素[1例口服,2例静脉滴注,20 mg/(kg·d)]联合头孢菌素抗感染治疗3~4 d,仍无明显疗效。入院后,4例均选用红霉素[35~40 mg/(kg·d),静脉滴注+口服]抗感染9~13 d,后改为阿奇霉素[10 mg/(kg·d)]口服序贯治疗,口服3 d停4 d为1个疗程,应用大环内酯类抗生素总疗程3~4周。入院当天因不能除外细菌感染均联合第3代头孢菌素抗感染治疗,入院后经病原学检查明确为单纯MP感染的患儿及时停用头孢菌素类抗生素,1例合并细菌感染的患儿持续静脉滴注头孢菌素7~10 d停药。例1、例2、例3因持续高热等全身炎性反应重,静脉滴注GC 5~7 d[例1应用地塞米松0.4 mg/(kg·d),余2例应用甲泼尼龙1.5 mg/(kg·d)],例2应用静脉滴注亚胺培南、西司他丁、丙种球蛋白400 mg/(kg·d)、持续3 d。例1因喘息明显,予静脉滴注氨茶碱及气泵吸入布地奈德等平喘治疗。
4例患儿经上述治疗后均于3~5 d体温恢复正常,咳嗽减轻,肺部体征逐渐好转。应用大环内酯类抗生素治疗后复查胸片示肺炎大部分吸收好转。目前随访6~18个月,均预后较好,无慢性咳嗽及反复喘息症状,肺部听诊无阳性体征,复查胸片或CT示肺炎均已吸收。仅例2仍有左上肺局限肺不张,左下肺代偿性肺气肿。未见支气管扩张、闭塞性毛细支气管炎等并发症。
MP是小儿社区获得性呼吸系统感染的重要病原,冬、春季多发,与室内活动增加及密切接触有关。多经急性期患者口、鼻分泌物通过经空气飞沫传播,潜伏期2~3周,发病率以学龄期及学龄前期儿童最高。MPP的发病机制,过去主要倾向于呼吸道上皮细胞黏附、免疫学发病机制和直接侵入学说,近些年发现MP可释放细胞毒素、损害呼吸道上皮及引起宿主细胞凋亡。儿童典型MPP临床症状重、体征轻、肺部影像学改变明显,病理改变以间质性病变为主,重症可见弥散性肺泡坏死和透明膜形成。MPP预后一般良好。近年来MPP发病率逐年增高并呈流行趋势,好发年龄提前[3],重症及难治性MPP报道逐年增加[4,5],严重者可并发肺组织坏死,出现坏死性肺炎(NP)。MP相关NP(或肺脓肿)并不少见。俞珍惜等[5]报道,101例重症MPP中18.8%(19/101例)并NP/肺脓肿。
肺脓肿是NP的一种。NP是病理学名称,尚无统一的定义[6]。目前认为NP是由各种因素导致的肺实质坏死性病变,形成包含液化坏死物的脓腔。临床常见的NP主要是由化脓性细菌引起的严重侵袭性肺炎并发症,大的空洞命名为肺脓肿,直径<2 cm的多发肺内脓腔定义为NP或肺坏疽。病理检查为本病的确诊依据之一,但因取材困难及家长的配合度等问题,开展困难,主要通过影像学检查诊断。支原体类微生物主要引起变态反应性损伤[7],但无明显组织侵袭性肺炎链球菌等可明确引起肺组织坏死,推测MP可能导致肺组织坏死。通过PubMed及万方数据库检索国内外文献,共有6篇6例文献报道[8,9,10,11,12,13],其中儿科病例3例,证明MP可能是唯一致病原或主要病原体之一,MP感染相关肺组织坏死客观存在。
本组4例均为学龄前期儿童,主要于2010年发病;均急性起病,3例高热、中毒症状重,部分患儿伴MP感染肺外表现,肺部影像学示大片实变影,并分别于病程第5-20天出现肺组织坏死,血清MP-IgM、痰及BALF-FQ-MP DNA阳性,PCT阴性,证实MP感染,经大剂量β-内酰胺类抗生素1周以上治疗仍进展为肺组织坏死(2例文献报道患者,病程1周后开始大环内酯类抗生素治疗),足量应用红霉素等大环内酯类抗生素后病情逐渐改善,提示MP在肺组织坏死形成中起重要作用。MP-IgM效价高,BALF及痰等FQ-MP DNA copies高,3例患儿弛张高热,WBC、PMN、CRP及ESR显著增高,与俞珍惜等[5]报道一致,提示患儿肺炎严重,可能为MP相关肺脓肿的高危因素。
MP相关肺脓肿的形成机制不明,本组4例发病年龄偏小及肺炎严重的原因,可能与小年龄段儿童体质增强,MP毒力增强及感染次数增多相关[3]。除经典MP致病机制外,可能机制:(1)MP的细胞毒性,Kannan等[14]在实验中发现,MP相关致病因子MPN372可作为细胞毒素直接损伤细胞。(2)MP耐药性:MP耐药机制主要为23S rRNA转肽酶区域基因突变或甲基化及病原体对大环内酯类抗生素的主动外排和修饰、失活等机制可致MP出现耐药;Leonardi等[12]发现MP具有形成生物膜的能力,生物膜形成后可增强MP的生存能力及抗菌药物的抵抗力。(3)MP感染后可能形成局部肺血管栓塞,导致肺组织破坏、液化,类似肺脓肿形成[15]。(4)本研究4例均发病于2010年,可能与MP特殊基因型有关[16]。(5)合并其他病原体感染如腺病毒、金黄色葡萄球菌、厌氧菌、肠科杆菌等。1例呼吸道分泌物培养出卡他布兰汉菌,卡他布兰汉菌为上呼吸道的正常菌群,当机体免疫力低下时,可发展为致病菌感染。该患儿体质好,PCT阴性,起病1周β-内酰胺类抗生素疗效欠佳,且未检索到卡他布兰汉菌相关肺脓肿的报道。故不支持卡他布兰汉菌作为患儿肺部感染的病原体。
本组4例皆使用大剂量红霉素、克拉霉素,其中3例加用GC及丙种球蛋白,长期随访预后较好。因此,对学龄前及学龄期儿童呼吸系统感染,常规β-内酰胺类抗生素治疗3~5 d效果欠佳,应考虑MP感染。小儿MP感染常用大环内酯类抗生素为红霉素和阿奇霉素、罗红霉素、克拉霉素等,应早期、足量治疗,如怀疑出现耐药,或为重症MPP,考虑到儿科用药的局限性可增加剂量,可加用利福平、丙种球蛋白等[17,18]。病情重、变态反应明显者,可酌情选用GC。
综上,MP相关肺脓肿并不少见,但MP是否能单独导致组织坏死尚待进一步研究。持续高热,血WBC、PMN、CRP及ESR明显增高,影像学检查示大片高密度影,一般剂量红霉素等大环内酯类抗生素疗效欠佳,提示需注意坏死性MPP/肺脓肿的可能。合并其他病原体感染可能促进肺组织坏死形成。增大红霉素剂量,必要时联用GC、丙种球蛋白,可使病情改善。

























