
通过分析Ⅱ型亚历山大病(AxD)患者的临床及头颅MRI特点,提高临床医师对本病的认识,以利于早期识别。
以北京大学第一医院胶质纤维酸性蛋白基因确诊的4例及文献报道的128例Ⅱ型AxD患者为研究对象,对其临床表型及头颅MRI特征进行总结。
1.基因确诊的4例Ⅱ型AxD患者中有2例仅头颅MRI异常但尚无临床症状的成年患者;2例患儿临床表现为下肢运动障碍、锥体束症状、发作性加重、癫痫发作等,其中1例患儿病程中出现球麻痹症状。4例患者头颅MRI均出现异常,但仅1例符合本病典型MRI诊断标准,余3例MRI表现为逐渐出现的延髓及上部颈髓的萎缩或脑干病灶、脑室旁白质异常信号或基底核区异常,其中1例无明显白质异常。2.文献报道的128例Ⅱ型AxD患者:发病年龄为(32±19)岁,主要以球麻痹和/或假性球麻痹(32.48%,38/117例)、下肢运动障碍(31.62%,37/117例)、自主神经功能障碍(13.67%,16/117例)等为发病症状,病程中出现球麻痹和/或假性球麻痹(73.50%,86/117例)、锥体束症状(60.68%,71/117例)、共济失调(51.28%,60/117例)等表现。头颅MRI特点为脑干(主要为延髓)及脊髓部位萎缩或异常信号,小脑齿状核、白质、基底核及丘脑信号异常亦较常见。
Ⅱ型AxD发病较晚,临床表现主要为球麻痹和/或假性球麻痹、下肢运动障碍、锥体束征等,头颅MRI主要表现为脑干(主要为延髓)及脊髓萎缩、异常信号等。
版权归中华医学会所有。
未经授权,不得转载、摘编本刊文章,不得使用本刊的版式设计。
除非特别声明,本刊刊出的所有文章不代表中华医学会和本刊编委会的观点。
亚历山大病(AxD)是由编码星形胶质细胞特有的胶质纤维酸性蛋白(GFAP)的基因突变导致的罕见的常染色体显性遗传性白质脑病[1]。传统分型根据发病年龄及临床表现将AxD分为婴儿型、少年型及成人型[2],本研究依据2011年Prust等[3]提出的分型标准将AxD分为Ⅰ型和Ⅱ型。AxD患者构成比为Ⅰ型60%,Ⅱ型40%。Ⅰ型AxD临床诊断相对容易,而Ⅱ型AxD患者由于其临床及影像的不特异性,不易早期识别。本研究对4例经基因确诊的Ⅱ型AxD患者临床和影像学表现进行描述,并对截至2015年10月文献报道的Ⅱ型AxD病例进行总结,以提高小儿神经科医师对本病的认识,以利于本病早期识别。
以2012年8月至2014年7月北京大学第一医院儿科收治的4例Ⅱ型AxD患者为研究对象,其中2例为儿童患者,2例为成年患者。成年患者均为Ⅰ型AxD患儿(先证者)的母亲,是在对Ⅰ型AxD患儿进行家系分析时发现并诊断的。收集患者病史、体格检查资料及头颅MRI等。对4例Ⅱ型AxD患者进行随访,平均随访时间为首次就诊后2.20年(0.42~4.50年)。随访内容:(1)运动及认知功能进展情况;(2)癫痫发作情况;(3)病程中是否有发作性加重现象及其诱因;(4)是否出现构音障碍、吞咽困难;(5)其他,如精神行为改变等。本研究通过北京大学第一医院临床研究伦理委员会批准,并得到了所有患者家长的知情同意。
对临床诊断的AxD患者应用Sanger测序或靶向捕获二代测序技术检测GFAP基因9个外显子及侧翼区内含子,如发现既往未报道的新突变,则对50例正常对照进行该突变的检测。患者均经GFAP基因测序确诊。
对PubMed数据库、中国知网截至2015年10月报道的AxD进行搜索,关键词设定为"Alexander disease"、"GFAP"。排除标准:(1)未行基因检测或病理检测而不能确诊为AxD的文献;(2)只包含典型Ⅰ型AxD患者的文献;(3)综述或基础研究类文献;(4)不能获得全文或非英语/汉语文献。共收集59篇相关文献,128例Ⅱ型AxD患者,其中我国共有2篇文献报道了2例Ⅱ型AxD患者。将收集到的文献进行分析,包括人口学资料、起病年龄、起病症状、病程中出现的症状、头颅MRI特征等。
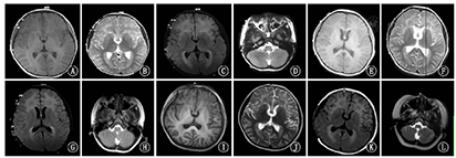
例1,男,初次于北京大学第一医院就诊年龄为9岁。就诊时主要表现:(1)肢体无力。患儿7岁时在感染后10 d出现左下肢无力跛行,5个月后出现右下肢无力,随后出现左手活动不灵,逐渐加重发展至不能独走及独站。(2)躯干肌无力及呼吸肌无力。从平卧位不能自行坐起,不能翻身;呼吸浅促,活动后明显。(3)吞咽困难、饮水呛咳、语音低弱、语速慢,呈进行性加重。(4)尿便障碍。排尿前需等待7~8 min,大便每2~3 d 1次伴粪便干结。(5)阵发性头晕,伴恶心呕吐及困倦。以上症状在整个病程中有波动,感染后加重,感染控制后不能恢复至感染前状态,为进行性加重。就诊时查体:头围54.5 cm,下颌反射(+),微笑时口角右斜,咽反射存在,伸舌左偏。双上肢肌力Ⅳ级,双下肢肌力Ⅲ级,肌张力增高。双侧肱二、三头肌腱反射活跃,双侧膝腱反射亢进,双侧踝阵挛阳性。双侧Hoffmann征(-),双侧Babinski征(+)。既往史:围生期(-),3个月抬头,6个月独坐,1岁说简单话,1.5岁独走,发病前发育基本同同龄儿;4岁时发热抽搐1次,表现为双眼睑眨动,口唇发绀,双上肢屈曲强直,持续时间不详。家族史(-)。末次随访时患儿10岁,四肢痉挛性瘫痪,仍不能独站,可独坐,但坐立时间较短,易疲劳;认知无倒退,吞咽困难、饮水呛咳等表现消失;出现癫痫持续状态1次,不伴发热,表现为睡眠中突然出现双眼上翻、呼之不应,持续约1 h。头颅MRI示前头部皮层下白质、双侧脑室后角旁白质对称性T1加权像(T1WI)低、T2加权像(T2WI)高、T2液体衰减反转恢复序列(T2FLAIR)高信号;7~9岁无明显进展,双侧基底核T2WI及T2FLAIR像信号稍高,延髓可见T2WI高信号,8岁以后更加明显(图1)。GFAP基因测序发现已报道的新生杂合错义突变c.1073C>T(p.Ala358Val)。


注:A~D为7岁时头颅MRI;E~H为8岁时MRI;I~L为9岁时MRI;A、E、I为T1加权像;B、F、J、D、H、L为T2加权像;C、G、K为T2液体衰减反转恢复序列图像 A-D: the brain MRI of patient 1 at 7 years old;E-H:at 8 years old;I-L:at 9 years old;A,E,I:pictures of T1 weighted imaging;B,F,J,D,H,L:T2 weighted imaging;C,G,K:T2 fluid attenuated inversion recovery imaging
例2,男,初次就诊于北京大学第一医院年龄为5岁。就诊时主要症状:(1)癫痫发作,1岁9个月~3岁出现,共4次,表现为头后仰,双眼凝视,口角歪向一侧,四肢强直,最长持续20 min,均伴发热。(2)运动障碍,4岁时出现走路不稳,腿软,不愿行走。上呼吸道感染后下肢运动功能障碍加重,之后可慢慢好转。病程中多次出现发作性加重现象。(3)认知功能无明显倒退。就诊时查体:头围48.5 cm。颅神经(-);运动系统:呈自动体位,肌力、肌张力正常。病理反射(-)。既往史:3个月抬头,8个月独坐,12个月说简单话,15个月独走。家族史(-)。末次随访时患儿5岁7个月,运动功能有所提高,可以跑、跳,但易疲劳;认知功能正常;5岁6个月时癫痫发作1次,不伴发热;尚未出现吞咽困难、饮水呛咳等症状。MRI显示双侧岛叶及基底核T2WI及T2FLAIR稍高信号,4岁与5岁无明显变化;5岁时脑桥近左侧桥小脑角部位新增T2FLAIR高信号病灶(图2)。GFAP基因测序发现尚未报道的新生杂合突变c.262 C>T(p.Arg88Cys)。


A〜D :4岁时头颅MRI;E〜H :5岁时MRI ;A、E :T1加权像;B、F:T2加权像;C、D、G、H:T2液体衰减反转恢复序列图像A-D:the brain MRI from patient 2 at 4 years old; E-H:at 5 years old; A and E were pictures of T1 weighted imaging; B and F were T2 weighted imaging;C, D, G and H were T2 fluid attenuated inversion recovery imaging
例3,女,32岁。29岁时由于其女儿(先证者)因"反复惊厥发作,发育迟滞"诊断为Ⅰ型AxD患儿,进行基因测序时发现先证者GFAP杂合突变(c.236G>A, p.Arg79His)遗传自母亲。其自幼智力运动发育正常,末次随访时无运动认知倒退,无癫痫发作、构音障碍、饮水呛咳、吞咽困难等表现。头颅MRI(29岁)示双侧脑室前后角旁深部白质T1WI低信号、T2WI高信号、T2FLAIR高信号,右侧枕叶皮层下白质小片状异常信号,延髓和颈髓上段较细、胼胝体体部薄(图3)。


注:A~C分别为T1加权像、T2加权像及T2液体衰减反转恢复序列图像轴位;D为T1加权像矢状位 A-C:Axial T1 weighted imaging,T2 weighted imaging and T2 fluid attenuated inversion recovery imaging showed signal abnormalities;D:sagittal T1 weighted imaging
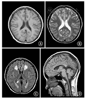
例4,女,31岁,尚未出现临床症状。28岁时由于其女儿诊断为Ⅰ型AxD患儿,基因检测发现GFAP杂合突变(c.1154 C>A,p.Ser385Tyr)来源于母亲。其头颅MRI(31岁)示双侧脑室前后角旁白质对称性T1WI低、T2WI高、T2FLAIR高信号,小脑白质T2FLAIR点片状高信号,延髓、颈髓较细,胼胝体体部较薄(图4)。


注:A、B分别为T1加权像及T2加权像轴位;C、D为T2液体衰减反转恢复序列图像轴位;E为T2WI矢状位 A,B:Axial T1 weighted imaging,T2 weighted imaging;C,D:T2 fluid attenuated inversion recovery imaging;E:sagittal T2WI
128例患者中,国内报道仅2例。男69例,女59例;发病年龄(32±19)岁(3~64岁)。首发症状主要包括球麻痹症状(32.48%,38/117例,包括吞咽困难、饮水呛咳、构音障碍等)、下肢运动障碍(31.62%,37/117例)、自主神经功能障碍(13.67%,16/117例,包括直立性低血压、严重便秘等)等,少数患者以精神异常(循环型情感性情绪障碍、烦躁易怒等)、共济失调、头痛、复视、呃逆等为起病症状。存活患者末次随访年龄为(39±18)岁(6~72岁)。随病程进展,病程中逐渐出现:球麻痹症状(73.50%,86/117例)、锥体束征(60.68%,71/117例)、共济失调(51.28%,60/117例)、步态异常(48.72%,57/117例)、眼球震颤(37.61%,44/117例)、自主神经功能异常(32.48%)、睡眠障碍(20.51%,24/117例)、腭肌阵挛(18.80%,22/117例)、认知功能倒退(18.80%,22/117例)、精神行为异常(13.67%,16/117例)、以及癫痫发作(11.97%,22/117例)等。少数患者病程中出现发作性加重现象(6.03%,7/117例),仅2例(1.71%)患者发病前发育迟滞,2例(1.71%)患者头围较大。11例(9.40%)患者在末次随访时尚无异常临床表现,随访时年龄为(36.40±20.84)岁(7~72岁),其中10例患者因家系中其他成员诊断为AxD而行基因检测时发现GFAP基因突变,1例患者由于前列腺癌术前行头颅MRI时发现异常而诊断本病。21例(17.95%,21/117例)患者死亡,死亡年龄为(40.62±19.23)岁。
(1)大脑白质:约2/3的患者脑白质受累,多数患者仅表现为散在的点片状异常信号,常常累及脑室旁白质,有的形成"脑室旁花环"或"环脑室旁线" 。少数患儿白质病变可不对称、还可伴有钙化等。(2)脑干:大部分Ⅱ型AxD患者脑干区域会出现萎缩或信号异常,脑干萎缩中以延髓最为常见,其次为脑桥、中脑萎缩。信号异常可分布于脑干背侧,亦可分布于腹侧,形状可呈点片状或呈线形环绕脑干,部分患儿也可出现脑桥等部位的强化。(3)脊髓:脊髓萎缩较常见,萎缩可局限于上颈髓,亦可累及胸段甚至全段脊髓,部分患儿出现"蝌蚪萎缩" ,即脑干与脊髓因萎缩程度不一造成的形如蝌蚪样的萎缩。部分患儿脊髓还会出现局灶性信号异常或强化。(4)小脑:约1/2的患者出现小脑齿状核部位信号异常,少数患者出现小脑萎缩。(5)基底核和/或丘脑:约1/5的患者出现基底核和/或丘脑信号异常,多数为双侧对称性。
AxD是一种罕见的遗传性白质脑病,由GFAP基因突变导致,多数(>95%)患儿可以检测到GFAP基因突变[13]。
Prust等[3]根据临床表现及头颅MRI特点将AxD分为2个类型:Ⅰ型AxD患儿主要特点为发病相对早(通常<4岁),发育迟缓,头围大,癫痫发作,发作性加重多见,头颅MRI符合典型改变;Ⅱ型AxD通常发病晚,临床特点为自主功能异常、眼球运动障碍、腭肌肌阵挛及延髓症状等,头颅MRI常不典型。本研究依照Prust提出的分型标准,将本4例患者归为Ⅱ型。但患者亦有不典型之处:例1起病晚、头围正常、延髓症状等特点符合Ⅱ型AxD,但其MRI为比较典型的Ⅰ型特点,发作性加重亦多见于Ⅰ型;例2临床表现及头颅MRI均不典型,但发作性加重特点突出;例3与患者4尚未发病,仅有头颅MRI异常。提示Ⅰ型与Ⅱ型AxD患者确实存在交叉,不能将这2个类型截然分开。
Ⅱ型AxD患者临床特点:(1)起病年龄较晚,多数>4岁,年龄跨度大。例1和例2起病年龄分别为7岁和4岁,而例3(32岁)与例4(31岁)尚未出现临床症状。文献中报道的Ⅱ型患者发病年龄为(32±19)岁,最小起病年龄仅为3岁[29],最大为69岁[21]。文献报道的128例患者中尚无神经系统临床症状者中最大年龄为72岁,该患者因前列腺癌手术术前进行头颅MRI检查时发现异常,经基因诊断确诊为本病[9]。本组例3与例4均因其女儿临床诊断为Ⅰ型AxD,在家系分析时发现先证者的突变遗传于各自母亲。2例母亲头颅MRI均发现异常,头颅MRI先于临床出现异常,其对Ⅱ型AxD患者的诊断具有重要意义。(2)首发症状:差异性较大,大多数以下肢运动障碍、球麻痹症状、自主神经功能异常发病,也有部分病人起病时症状缺乏特异性,表现为头痛、内分泌异常、呃逆、复视等。本组2例已发病患儿的首发症状分别为下肢运动障碍与癫痫发作。(3)病程中的主要症状:随病程延长,主要表现为球麻痹症状、锥体束受累症状体征、共济失调等症状。本组中例1于病程中渐出现吞咽困难、饮水呛咳等球麻痹症状,推测为延髓新病灶所致;二便潴留与阵发性眩晕考虑与自主神经功能障碍有关。(4)其他临床特点:与Ⅰ型AxD患者相比,Ⅱ型AxD患者出现癫痫发作(11.97%)、发育里程碑落后(1.71%)、头围大(1.71%)患儿比例较少。发作性加重为Ⅰ型AxD患者常见临床表现[3],本组已发病的2例Ⅱ型患者亦均有发作性加重现象,而在已报道的128例患者中仅有7例(6.03%)有明确的发作性加重现象。推测Ⅱ型患者病程中亦有发作性加重的特点,因为多数报道描述患者运动功能或认知功能为进行性倒退,并未说明倒退有无诱因或缓解,所以使得发作性加重特点在Ⅱ型AxD患者中被忽略。
头颅MRI对AxD的诊断起着重要作用,2014年Graff-Radford等[62]通过对13例Ⅱ型AxD患者进行分析,总结其MRI特点为延髓及脊髓萎缩或信号异常,此外小脑中脚和软脑膜FLAIR信号异常也是重要的诊断线索,部分患儿出现大脑白质异常信号,表现为脑室周围白质T2WI高信号、T1WI低信号。本研究总结了已报道Ⅱ型AxD影像特点发现多数患者头颅MRI出现脑干(尤其是延髓)及脊髓的萎缩,有些患者延髓与脊髓萎缩程度不同呈现"蝌蚪萎缩"的影像特点[36];部分还会出现脑干、小脑齿状核、小脑白质等部位的异常信号,与Ⅰ型AxD患儿前头部为主的对称性脑白质异常不同,有些Ⅱ型AxD患儿因白质或脑干部位出现局灶性信号异常而误诊为肿瘤或多发性硬化[53];少数Ⅱ型AxD患者头颅MRI特点不明显甚至无异常,但Ⅱ型AxD患者头颅MRI亦可随病程进展出现新的病灶或萎缩。本组例1的头颅MRI以前头部受累为主的白质病变,较符合I型AxD患者特点,但MRI随访发现患儿延髓部位出现病灶;例2首次MRI仅表现为基底核区异常,但其头颅MRI亦随病程进展于脑桥出现新的病灶,脑白质病变始终不明显;本组中未发病的2例成年患者均发现脑干及脊髓的萎缩,其中1例有侧脑室旁深部白质对称性异常。Ⅱ型AxD是一种慢性进行性疾病,其临床及影像学都会随着病程的延长而进展。文献报道4例Ⅱ型AxD患者头颅CT发现钙化[51],可能由于头颅MRI在本病诊断中的重要地位使得临床医师忽略了对患者进行头颅CT检查,对本病患者脑中钙化的特点可能认识不足。
因为本病临床变异性较大,且患者头颅MRI特点亦不典型,所以临床上容易造成误诊、漏诊。本组收集的2例已发病患儿病程中出现急性加重与缓解的特点,容易误诊为多发性硬化、系统性红斑狼疮等,但通过其他的临床表现及自身免疫抗体检查可鉴别[10]。
影响AxD发病年龄及病程的因素不仅为GFAP突变类型,还有可能包括与其他基因的相互作用、外界环境等[11]。本研究2例成人患者的女儿均为Ⅰ型AxD患儿,且其女儿突变基因遗传自母亲。同样的突变点引起了完全不同的临床表现也证明了以上假说。
综上所述,Ⅱ型AxD因其临床表型及头颅MRI的差异较大,诊断存在一定难度,易被误诊。其常见特征:发病通常在4岁以后,临床表现为球麻痹症状、锥体束症状、下肢运动障碍及自主神经功能障碍等,头颅MRI以延髓及脊髓的信号异常或萎缩为显著特点,可伴白质、小脑及基底核改变。本病在儿童期更为罕见,早期进行基因检测对于其正确诊断有很大意义。





















