
版权归中华医学会所有。
未经授权,不得转载、摘编本刊文章,不得使用本刊的版式设计。
除非特别声明,本刊刊出的所有文章不代表中华医学会和本刊编委会的观点。
在过去的十多年里,能够通过肺循环的左心系统超声造影剂不断被研发并在基础与临床领域得到广泛应用,与此同时各种新型心血管超声造影显像技术不断得到改进和发展。在常规超声心动图及血管超声检查基础上使用超声造影剂已经对临床心血管疾病的精确诊断和治疗产生了巨大影响,其中包括:清楚显示心腔内膜边界明显提高了左心室射血分数(left ventricle ejection fraction,LVEF)测量的准确性,能够有助于正确识别心脏解剖结构,提高冠状动脉疾病及急性冠脉综合征的诊断准确性,快速鉴别急性胸痛,更为有效地诊断动脉瘤类型及评价术后并发症等。
在美国,心血管系统超声造影是心血管病临床诊断和治疗广泛采用的重要超声诊断技术。为了使心血管超声造影检查更为有效规范,美国超声心动图协会(American Society of Echocardiography,ASE)参考大量已经发表的相关文献,结合美国食品药品管理局(Food and Drug Administration,FDA)批准使用新型超声造影剂的规定,分别于2001年、2008年和2014年先后发表了关于造影剂在超声心动图临床应用中的专家共识、超声心动图技师实施超声造影检查指南及其更新指南[1,2,3]。2009年欧洲超声心动图协会(European Associationof Echocardiography,EAE)也发布了基于临床证据的造影超声心动图检查建议并提出了心血管超声造影的实施方案[4]。这些建议或指南的发布极大地推动了心血管超声造影检查的临床应用。
与国际同步,我国左心系统超声造影工作已经开展了十余年。但是由于多种原因,我国心血管超声造影临床工作在数量和技术成熟度等方面与国外应用现状相比较具有较大差距。近年来,超声造影在我国超声心动图临床实践中逐步得到重视,在许多临床医学中心该项技术开始得到临床应用,但是这些临床应用尚存在不标准和规范的问题,影响心血管超声造影技术的广泛临床应用。
为了促进和规范我国心血管超声造影检查的临床应用,使之更为安全有效地为临床心血管疾病诊断和治疗提供支撑,我国心血管超声专家结合国内外相关文献和国外相关指南和共识,根据我国国情起草了中国心血管超声造影检查专家共识。该共识将根据造影剂和超声造影检测技术的基础和临床研究及其应用,不断适时进行更新,以保持共识的先进性、科学性和适用性。
目前,超声心动图临床应用的造影剂包括传统的右心系统造影剂和经肺循环左心系统造影剂。
临床最常用的右心造影剂是振荡无菌生理盐水,仅用于右心系统增强显像。近10年来超声造影剂的研发及应用进展主要是能够通过肺循环的新型左心系统造影剂。这类造影剂微泡具有薄的和可渗透的外壳,通常其内充填在血液里能够扩散和溶解较慢的高分子气体(如:全氟化碳,PFC)。造影剂微泡的结构特点保护了微泡内的气体存留以增加造影剂微泡的显影时间。在静脉内注入后,造影剂微泡随血流迅速通过肺、心腔、心肌及全身血管,对左心功能、冠状动脉或全身外周动脉血液动力学、缺血标志物及肺气交换没有任何不良的临床影响。
目前国际上心血管临床常用的新型造影剂有以下几种:
SonoVue是Bracco公司生产的造影剂。其内充填六氟化硫气体,外包裹膦脂成分,为白色冻干粉末。使用前用5 ml生理盐水稀释,摇荡20 s后,成为乳白色六氟化硫微泡混悬液,其微泡平均直径2.5 μm,浓度为2×108~5×108个/ml。SonoVue是已进入我国,并且是目前唯一进口超声造影剂。
Optison(GE医疗,普林斯顿,新泽西)是PFC外包裹了人血清白蛋白外膜,微泡大小约3.0~4.5 μm,是第一个被美国FDA批准可用于人体左心室心腔造影及心内膜边界识别的经静脉注射造影剂。
Definity(Lantheus医学影像,北比尔里卡,马萨诸塞)获得美国FDA批准可用于左心室心腔造影和心内膜边界识别。Definity是由长链脂和乳化剂两种成分组成的脂质微泡,与PFC气体在一个加压的小瓶内振荡相结合,这种混合物在使用前被激活包裹气体形成微泡。
Luminity实际上为欧洲版的Definity,其内含全氟丙烷,外包裹脂质外膜,微泡大小约1.1~2.5 μm (由Bristol-Myers Squibb公司研发)[4]。
在美国,还有两种造影剂CARDIOsphere(POINT生物医药公司,圣卡洛斯,加利福利亚)和Imagify(Acusphere,沃特镇,马萨诸塞)可应用于评价冠状动脉疾病,其心肌血流灌注的适应证尚处于临床三期研究阶段。已有研究结果发现其临床应用价值不低于核素单光子发射计算机断层成像(single-photon emission computedtomography,SPECT)。这两种试剂均为人工合成的高分子聚合物包裹微泡。CARDIOsphere含白蛋白和聚丙交酯,足够厚度的外壳使微泡在血流中保持稳定,其内有高溶解度的氮气。由于CARDIOspheres的结构特点,亦即:具有相对硬的、脆的外壳和迅速扩散的气体,因此适用于高机械指数(mechanical index,MI)的间歇谐波能量多普勒成像。Imagify具有合成的、可生物降解的聚合物膜包裹着缓慢弥散的气体(十氟丁烷),可提高微泡在血液中的稳定性和持久性,适合于低MI声波成像[2]。
早期的超声造影采用超声谐波技术,其基本原理是超声换能器发射超声波的声压变化使声场中的微泡产生大小变化的谐振,微泡在声压高时压缩变小变硬,声压低时扩张变大变软,其反射回波含有多个倍增频率的非线性信号。超声造影谐波成像接受微泡的高频谐波信号,是最早的较为简单的造影成像方法。
目前,造影谐波成像已很少单独使用,因为它会被组织谐波信号干扰。其他不同的超声造影成像技术如脉冲反转或脉冲振幅调制技术都是基于不同的信号处理技术来增强检测微泡的非线性谐波信号,抑制从组织和组织运动产生的线性和(或)非线性回波信号[5]。
非线性回波信号强度除与微泡特性有关外,主要取决于声场中声强或MI大小[6]。超声成像仪器显示的MI被用于估测峰值声压强度,其定义为:声场峰值负压(MPa)除以超声波发射频率(MHz)的平方根。虽然超声仪器显示的MI代表整幅图像的声强,但实际上它随着声场内的深度和横向位置不同而改变。在MI>0.1时使用标准心脏探头,大多数的造影剂微泡均可产生较强的非线性回声信号。
MI强度分级定义:超低MI,MI<0.2;低MI,MI<0.3;中等MI,MI 0.3~0.5;高MI,MI>0.5。
使用较高MI成像能增加检测微泡信号的敏感性,提高信噪比,减少伪像,因此有利于观察心室结构、室壁运动及其血流灌注[7],其缺点是左心室心腔造影和心内膜边界识别成像时间短暂。当采用高MI造成微泡破坏时,在超声心动图上微泡破坏的部位显示为明亮信号变化。使用低MI成像可实时观察室壁运动,实时超低MI成像能同时增强微泡左心室心腔造影及心肌血流的显影,但较低MI成像检测微泡的敏感性相对降低。
高MI破坏微泡后,再使用低MI成像可实时显示心肌造影剂回声强度动态变化过程[8],这一现象可用于定性及定量分析心肌微血管血流灌注。虽然心肌血流灌注成像并非现有超声造影剂的适应证,但超低MI超声造影成像技术已被用于多项心肌血流灌注的临床研究,在部分医学中心已被应用于心肌血流灌注状态的观察。
其他的心血管超声造影成像技术还包括:间歇触发成像(用心电图触发间断采集造影图像,因为帧频低,不能实时观察室壁运动情况)和能量多普勒超声成像技术(常用于检测血流量的变化)。
常用的各种超声造影成像的技术特点见表1。

超声造影技术
超声造影技术
| 成像模式 | 其他常用名 | MI |
|---|---|---|
| 谐波能量多普勒 | 谐波彩色能量成像;能量谐波成像 | 高 |
| 谐波成像 | - | 高 |
| 超谐波成像 | 1.5倍谐波成像 | 高 |
| 脉冲反转 | 时相反转;相干对比成像;脉冲相减法 | 高/低 |
| 脉冲反转多普勒 | 能量脉冲反转 | 低 |
| 振幅调制 | 能量调制 | 低 |
| 时相和振幅调制 | 对比脉冲序列 | 低 |
注:MI为机械指数,"-"代表无
脉冲反转多普勒成像(GE医疗系统)是一项组织信号消除技术,其通过向心室腔内和心肌发送交替极性的多个脉冲波来克服组织运动伪影。虽然脉冲反转多普勒通过只接收偶次谐波就提供了出色的组织抑制和高分辨率成像,但是该项技术具有显著的造影信号衰减弱点,尤其在通过心尖声窗观测基底节段心肌血流灌注时衰减现象尤为明显。
功率调制(飞利浦医疗系统)是一项提高超低MI(MI:0.05~0.20)信噪比的技术。该技术也是一种多脉冲消除技术,只有该项技术的各脉冲功率或幅度是可变的。低功率脉冲产生线性回声,而稍高功率脉冲同时从组织中产生线性回声和从微泡中产生非线性回声。从两个不同的脉冲所获得的线性回声(放大的低功率脉冲和小幅高功率脉冲)可以彼此消减,该方法只检测到由超声造影微泡产生的非线性回声。
对比脉冲序列(西门子医疗系统)是脉冲间的相位和幅度调制相结合的多脉冲技术,能够增强低MI条件下微泡非线性信号并抵消组织线性信号。各个具体脉冲序列的造影对比成像在超低MI(<0.2)条件下均可用于评估左心室心腔造影并能提供高空间分辨率的实时心肌血流灌注造影成像。对比脉冲序列与超低MI谐波成像相比,能提供更好的组织抑制并增强微泡对比度。
并非所有超声设备均具有实时超低MI成像软件。如不具备时可使用低MI(<0.3)谐波成像进行替代。超声医师在开展心血管造影检查之前应当先向超声厂商技术和临床应用专家学习如何更有效地使用不同心血管超声造影成像软件,以及在不同MI条件下如何优化超声造影成像。
采用不同的超声造影成像技术进行心血管超声造影具有各自的优缺点。使用高MI(0.8~1.0)间歇成像方式时,多采用能量多普勒谐波技术造影成像,其优点是能敏感检测微泡信号,但缺点是不能同时评价室壁运动。使用超低或低MI(0.1~0.3)模式多为连续实时造影成像,其优点是可同时评价室壁运动,但检测微泡信号的敏感性降低。
目前常用的右心系统造影剂是振荡无菌生理盐水注射液,其产生的气泡直径较大不能进入肺微循环,因此仅用于检查目的为诊断或排除肺内或心内右向左分流相关疾病,如卵圆孔未闭、肺动静脉瘘、肝肺综合征、永存左上腔静脉、术后残余分流或侧支等[9,10]。右心系统造影剂可用于经胸超声心动图和经食管超声心动图检查,常规筛查右向左分流使用前者,但后者敏感性更高[11]。具体操作方法如下:
(1)检测前获得临床医师认同,应向患者做详尽解释,获得签署知情同意书。
(2)按护理程序建立左(或右)前臂静脉通路,或评估现有的静脉通路并确认正常。将三通管与静脉导管相连并固定。
(3)将9 ml 0.9%生理盐水与1 ml空气(或同时抽取血液1 ml)混合于10 ml注射器中。将其与三通管一端相连,并在三通管另一端连接一空的10 ml注射器。
(4)连通2个注射器,在两个注射器之间快速来回推注液体直至完全浑浊(不透明)。
(5)在进行注射前应告知超声检查医师。打开其中一个开关将振荡的混合液体快速向静脉内推注。可抬高患者手臂,以促进混合盐溶液迅速进入右心系统。
(6)使用组织谐波成像观察二维超声心动图的增强效果,采集静息状态心尖四腔切面(或胸骨旁四腔切面、剑下四腔切面)。若需要嘱患者做Valsalva动作或咳嗽以增强造影效果。
(7)根据需要重复相关步骤。
(8)造影完成后根据情况决定是否中断或继续保留静脉通路。
当怀疑患者有永存左位上腔静脉或无顶冠状静脉窦时应分别在左右两个手臂注射造影剂进行检查。
典型的心内分流(经房间隔或室间隔)通常在右心房造影微泡显影后前三个心动周期就能观察到左心系统造影微泡显影,而肺动静脉瘘在右心房造影微泡显影后至少5个心动周期才能观察到左心系统造影微泡显像。但左心系统显像可能在肺动静脉分流呈高输出状态下提前出现。
如果房间隔持续向右心房方向膨出,由于此时缺损可能闭合,则造影可能出现假阴性结果。若出现假阴性,但仍怀疑卵圆孔未闭存在,应再次注射血液-盐水-空气混合液或者适时的Valsalva动作或咳嗽以确保结果是真阴性。
图像采集持续时间应从造影剂在右心房出现后开始,并持续至少10个心动周期。
经肺循环的新型造影剂主要用于左心系统及血管超声造影,是近年来发展最快、基础研究和临床应用最广泛和深入的领域,其成像技术及对仪器设备的要求远较右心系统造影复杂。
目前左心系统超声造影方法在国内外虽然没有完全统一的标准,但总的原则及检查流程是类似的。本共识结合美国和欧洲超声心动图协会相关指南或共识[3,4],以及我国不同临床中心超声造影技术使用情况,建议左心系统超声造影实施方法如下。
低MI实时显像造影超声心动图检查流程:
(1)检测前首先明确使用造影剂的适应证和禁忌证。
(2)应向患者做详尽解释,获得签署的知情同意书。建立静脉通道(同前述),按不同造影剂相应要求准备好造影剂备用,造影剂及其注射准备工作应于检测前数分钟或基础超声检查时进行。
(3)常规超声心动图检查,优化图像参数。
(4)激活超声设备低MI(MI<0.3)或超低MI(MI<0.2)实时超声造影检查模式。
(5)将聚焦点置于二尖瓣环水平,调节增益使图像有轻的噪音背景,调节扇区大小和深度,保持图像帧频>25 Hz。
(6)团注造影剂SonoVue或Optison、Luminity 0.2~0.3 ml,Definity稀释液0.5 ml(1瓶加入8.5 ml无菌生理盐水),随后用5 ml生理盐水于20 s以上缓慢推入;或采用特殊微量输入泵输入造影剂SonoVue 0.8~0.9 ml/min,可手工振荡输入泵以保持微泡均匀分布。
(7A)团注造影剂后左心室显像通常需要30 s,在心尖切面观察左心室从心尖至心底造影剂显像是否均匀。当左心室中段和基底段出现声衰减或声影时,应减慢团注或输入速度,使用或提升高能超声波发射的"闪烁"效应破坏微泡。当左心室显像满意且无声衰减时采集图像,采集的连续动态图像至少应包括1个完整心动周期的心尖四腔心、两腔心和三腔心切面。
(7B)输入造影剂后至少需要30 s左心室才开始显像,当左心室显像满意且无声衰减时采集图像,采集的连续动态图像至少应包括1个完整心动周期的心尖四腔心、两腔心和三腔心切面。
(8)造影完成后根据不同患者临床诊断和治疗情况中断或保留静脉通路。
可采用实时显像方法和触发显像方法。
实时显像方法:在输入造影剂同时,采集动态图像,采集的连续动态图像包括:2个心动周期、随后触发的高能量"闪烁"图像(通常为3~7帧,MI 0.9)及15个心动周期的再灌注图像。
触发显像方法:于左心室收缩末期触发使用低能量显像,触发比例为1∶1。高能量"闪烁"方法与实时显像方法相同。记录图像应该包括一个完整心动周期的实时图像以观察室壁运动。高能量"闪烁"图像随后几帧图像因心肌造影剂显像消失,心内膜边界显示非常清楚,有利于观察室壁运动及LVEF测量。仔细观察及记录心肌造影剂再充盈过程,可应用于定性和定量观测心肌微循环灌注。
高能量触发显像造影超声心动图检查流程:
(1)检测前首先明确使用造影剂的适应证和禁忌证。
(2)应向患者做详尽解释,获得签署的同意书。建立静脉通道(同前述),按不同造影剂相应要求准备好造影剂备用。
(3)获取标准2DE显像,并优化图像参数。
(4)激活低MI实时造影检查模式。
(5)将聚焦置于二尖瓣环水平,调节增益使图像有轻的噪声背景,调节扇区大小和深度,保持图像帧频>25 Hz。
(6)将触发点调节于左心室收缩末期,避免T波上升支。每次触发至少显示连续4个心动周期图像供观察分析。
(7)建议输入造影剂SonoVue 0.9 ml/min,或Luminity 1滴/s。如条件具备,建议采用特殊微量输入泵并手工振荡输入泵以保持微泡均匀。目前中国绝大部分医疗机构尚无输入造影剂的专用微量泵,建议采用缓慢推注的方式输入造影剂。
(8)输入造影剂后至少需要30 s左心室开始显像,图像采集前应确认左心室显像满意且无声衰减,如有声衰减则减慢造影剂输入速度;当收缩功能正常或降低的心尖段或中段显示不满意时则加快输入速度。
(9)采集动态图像包括:2个心动周期、随后触发的高MI"闪烁"图像(通常3~7帧,MI 0.9)及15个心动周期的超低或低MI再灌注图像。连续动态图像采集至少应包括上述完整心动周期的心尖四腔心、两腔心和三腔心切面。
(10)造影完成后根据不同患者诊断和治疗情况中断或保留静脉通路。
造影剂静脉注入速度应缓慢,且造影后需要监测生命体征(血压、心率、心律、呼吸)、心电图、有无过敏反应,甚至经皮血氧饱和度约30 min。实验室需要配备相应的急救药物和设备。重度肺动脉高压及高度敏感人群禁用造影剂。
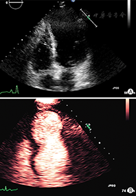
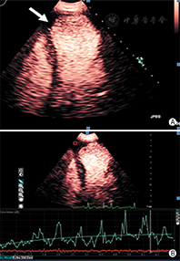
距离探头最近区域和聚焦区域的造影剂微泡破裂严重。如果是实时观察左室影像,由于气泡的破坏可观察到无造影剂增强或心尖区涡流。近场涡流成因是多因素的,主要成因是MI设置过高或注射造影剂剂量不足。通过及时注入新制备的造影剂进入心室腔补充或代替被破坏掉的造影剂的方法可以使涡流伪像消失;如果血流缓慢,新注入的造影剂未能及时充分替代被破坏的造影剂,则在流速最低的区域或高MI时,还会有涡流伪像。生理原因引起的心尖部血流速度超低(严重左心功能不全或心尖部大的室壁瘤)也是涡流伪像的常见原因(图1)。


是由于大量的造影剂充满在图像的近场及感兴趣区域。主要成因是单位时间内注射了过量的造影剂(注射速度太快或造影剂浓度太高)。随着时间的推移,造影剂在心室腔的浓度将渐渐减少,等待衰减伪像平息后即可继续获取图像。衰减还可能出现在左室胸骨旁长轴观切面,右室处造影剂气泡的破坏形成阴影笼罩在左室上方,影响了对左室的观察。心尖长轴切面的三腔心切面可以作为更好的观察切面。
大量多中心、双盲、对照研究证实造影剂用于左心室心腔造影提高了在静息、运动或药物负荷状态下超声心动图定性和定量评价左心室结构和功能的可行性、准确性、重复性[3,4,12,13,14]。使用造影有利于识别和鉴别心腔内占位病变,如肿瘤和血栓;提高了右室和大血管的显示能力;用于评估瓣膜功能时增强多普勒信号。超声造影剂已经有效地应用于急诊科、ICU、介入心脏病房、手术室的超声心动图检查。超声心动图实验室合理有效使用超声造影剂,将优化检查程序,提高最终的临床诊断和治疗成本效益,并可能进一步改善心血管病患者的治疗效果。
清晰地显示左心室心内膜边界是准确评价左心室功能的关键。国外临床试验表明,常规超声心动图检查时70%~90%的心血管超声图像不佳(图像质量不佳定义:在任何一个心尖长轴标准切面有2个或2个以上的连续心肌节段的心内膜结构不能清晰显示),通过使用造影剂后可明显提高诊断图像的解剖结构分辨率[15,16,17](图2)。在心脏解剖结构和功能异常状态判断存在疑问时也可考虑使用超声造影剂。当静息状态不能满意获得常规超声心动图图像时,造影剂用于左心室心腔造影尤其有帮助,这常见于肥胖、有肺部疾患、病情危重或接受呼吸机护理的患者。如果在这些患者中优化了换能器频率、扇扫宽度、图像深度和聚焦位置,心脏超声图像质量仍不理想,应当考虑使用造影剂。负荷超声心动图检查达峰值负荷时图像质量不理想的情况常较明显,此时使用造影剂将明显提高图像质量、增强判断信心和诊断准确性。此外使用造影剂将明显提高有经验和无经验医师解释图像的重复性和准确性[18,19,20]。


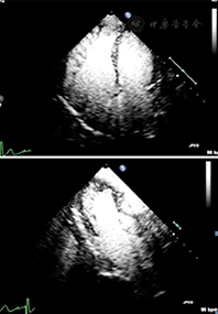
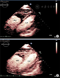
LVEF的准确测量对心血管疾病患者的治疗极为重要,对预测心肌梗死后及血运重建后充血性心力衰竭患者的不良事件具有重要价值。超声心动图是目前唯一能够床旁提供实时动态连续心脏解剖结构和功能动态评估的可视化医学影像技术方法,与其他影像技术相比,具有无电离辐射、容易获取、便携和成本相对较低的优势。已有研究发现常规的非增强超声心动图测量的LVEF与公认的金标准相比有显著差异,观察者间一致性低,因此严重影响了常规超声心动图心功能测量的实用性和可靠性。最近的一些研究表明,造影超声心动图测量左心室容积和LVEF与核素显像、MRI、CT有着良好的相关性,并且提高了观察者间的一致性及医师诊断信心[21,22,23](图3)。


在临床需要精确定量评估左心室容积和LVEF的情况时,如需要进行动态左心室功能评估(接受化疗、已知心脏衰竭患者在临床状态变化时的重新评估、心肌梗列后重构、心脏移植、瓣膜反流患者瓣膜置换术的时机确定、评价是否应当安置心内装置等),可以考虑使用造影检查[24]。
在左心室完全显影且无心尖部造影剂显影漩涡及基底段衰减现象时才能进行节段室壁运动分析和测量LVEF。当缓慢造影剂弹丸给药出现心尖造影剂漩涡现象时,使用实时超低MI成像、提高造影剂输注速度或将聚焦置于心尖部可获得图像改善。
造影剂在明确左心室心尖的异常、心肌死梗后并发症和心内占位病变时具有关键性作用。
①左心室心尖异常:通常难以清晰界定左心室心尖的结构异常。超声造影成像使心尖部心内膜的边界能够清晰识别,可以帮助心尖部解剖结构和功能异常的诊断。
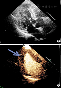
②左心室心尖肥厚:7%肥厚型心肌病为心尖明显肥厚。常规超声心动图检查因不能完整清晰显示心尖,将使15%心尖肥厚型心肌病漏诊。当怀疑是心尖肥厚型心肌病而不能被明确或排除时,应该进行心脏造影检查(图4)。心尖肥厚型心肌病左心室心腔轮廓的典型造影表现为左心室腔呈"铲子样" (spade-like)的外观,心尖部室壁明显增厚(图5);在心尖肥厚型心肌病中肥厚的心尖部造影剂灌注通常是相对减少的,与心腔内的高强度造影剂形成明显的对比[25]。




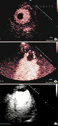
③左心室心肌致密化不全:心肌致密化不全是一种罕见的、但是越来越多地被临床认识的疾病,可导致心力衰竭、心律失常、血栓栓塞事件和死亡。室壁由增厚的运动减弱的两层心肌组成:较薄的致密化心外膜下心肌和较厚的非致密化心内膜下心肌。当怀疑左心室致密化不全,但传统的二维超声成像不能清晰显示窦隙状非致密化心肌时,造影超声心动图检查可显示突入左心室腔肌小梁之间的血池内有造影剂填充[26,27,28](图6,图7)。采用MI 0.3~0.5谐波成像,有助于更清楚显示肌小梁间隐窝。目前,孤立性左心致密化不全的诊断标准尚未统一,但通过超声造影显示非致密化心肌厚度与致密化心肌厚度比值> 2时有助于该病的确诊。




④左心室心尖血栓:心尖是左心室血栓最常见发有助于明确诊断,可用实时超低MI灌注成像以及高MI"闪烁"成像鉴别血栓与肿瘤。如无实时超低MI成像软件,可使用低MI谐波成像。血栓显示为典型的心腔内充盈缺损,血栓内无造影剂回声[29,30,31] (图8)。偶尔,心腔内血栓呈白色强回声,如果造影显像使用灰度显示,血栓高强度回声可能混入白色不透明的左心室血池中而影响识别,此时使用能量谐波多普勒成像可能更有利于血栓的识别。


⑤左心室心尖室壁瘤:左心室室壁瘤是心肌梗死后常见的并发症,表现为局部室壁变薄、不运动或运动消失以及心尖扩张。应激性心肌病(或Tako-Tsubo)常表现左心室中段至心尖段心肌收缩降低以及明显扩张,但是该病与冠心病不同,即心肌造影超声心动图(myocardial contrast echocardiography,MCE)显示受累心肌节段延迟显影但峰值强度良好,且缺血心肌的范围与冠脉供血区不一致,这些特征有别于冠心病所致室壁瘤。常规超声心动图检查时,如果心尖未完全显示,可能漏诊心尖室壁瘤。使用造影剂可清晰显示室壁瘤特征(图9),并可发现其他相关异常如心尖血栓等。


⑥心肌梗死并发症:左心室假性室壁瘤、游离壁破裂和心肌梗死后室间隔缺损将造成患者生命危险。这些并发症通过常规超声心动图有可能被检测到。但多数情况下,如解剖和(或)位置关系以及临床条件限制(仰卧位和重症病房气管插管)等,不能获得满意图像将使诊断困难。此时造影对确定或排除这些诊断至关重要[32]。使用造影剂可以区分假性室壁瘤和真性室壁瘤。假性室壁瘤基底部缩窄,呈瓶颈样结构,瘤体内于心脏收缩期可见造影剂充盈增强。
⑦其他心腔的异常:尽管振荡后的生理盐水造影剂可用于显示右心腔的异常,但这种造影剂的持续时间短。当需要持续增强右室心内膜边界,如显示右心室形态的各种异常时,包括发育不良综合征、肿瘤、血栓和区分正常结构的变异,可使用新型造影剂。造影剂能更清晰地显示心房的解剖特征,尤其是左心耳的解剖特征,对鉴别血栓、伪像、浓密自发超声显像或正常解剖结构有很大帮助[24,33]。
心脏内占位病变常是心内肿瘤和血栓的标志。当常规超声检查图像不清而怀疑心内占位病变时,静注造影剂可以明确或排除诊断,并可显示占位病变的组织特征(图10)。以恒定速度静滴造影剂达到稳定的浓度,用低MI或高MI成像方法来评估占位病变的灌注特性。定性(目测法)和定量(视频密度检测软件分析)可以观察肿瘤和相邻心肌组织之间灌注灰度差异。高度血管化或大多数恶性的肿瘤有异常丰富、扩张的新生血管,造影后明显增强[12,34,35,36,37](图11)。间质肿瘤(如黏液瘤)血供差则表现为灌注降低(图12),血栓则无造影显像。建议在发现心腔内占位病变时常规应用超声造影剂进行心脏造影。






当多普勒信号微弱或因多种原因多普勒血流检查困难,而准确评估血流速度对临床疾病防治决策很重要时,使用造影剂被证明是很有价值的。使用造影剂后主动脉狭窄的峰值速度增高。三尖瓣反流速度常用于评估肺动脉收缩压,可通过振荡后无菌生理盐水或新型造影剂增强血流信号。由于多普勒检测造影剂的阈值远小于二维成像,注入造影剂后应首先进行二维成像,然后进行多普勒显像。最明显的多普勒信号增强常在注射造影剂开始时获得。必须注意避免信号太强,导致高估流速。可通过减低多普勒增益(降低20%或更低)来避免这种太强信号,以获得清晰的没有频谱边缘轮廓失真的多普勒频谱。
负荷超声心动图是通过对比分析静息状态和负荷状态下局部室壁运动、腔室大小、左心功能来诊断冠状动脉疾病,该技术具有较高的敏感性和特异性[38,39,40,41,42]。负荷超声心动图结果也可用于判断患者的心血管疾病预后[43,44]。负荷超声心动图是基于对比观察静息和负荷状态时左心室节段心肌的收缩功能状态及其变化来检测和评价冠心病的,因此心内膜边界完整清晰的显示对证实或排除局部心室壁心肌运动和室壁增厚异常非常必要。
然而,左心室壁节段性运动异常判断具有主观性,很多患者因素(如体型和肺部疾病)将影响图像质量,导致心内膜显示不清,在负荷超声检查时这一现象更为明显。
负荷状态时,使用造影剂能明显改善左心室心内膜边界识别,准确评估心室容量和LVEF,清晰辨别室壁运动异常,提高重复性和诊断信心。在静息或负荷状态时,当两个以上左心室壁节段心内膜显示不清时,可使用造影剂,其不仅能准确判断节段室壁运动,且可同时定性或定量观测节段心肌血流灌注。目前,多巴酚丁胺负荷超声心动图(dobutamine stress echocardiography,DSE)结合心肌造影超声心动图应用较多,大量研究已证实其具有良好的安全性[45,46,47,48,49]。具体实施流程可参考图13。


与造影超声心动图评价左心室心腔造影不同,心肌血流灌注观测通常要求首先发射超声脉冲破坏观测心肌区域内所有的超声微泡,然后观察微泡再灌注来间接反映心肌的血流灌注状态,目前可半定量和定量分析心肌血流灌注图像[50,51](图14)。尽管国内外相关政府管理机构尚未批准任何一种造影剂用于心肌血流灌注显像,但美国部分临床医疗中心已将MCE设立为临床检查观测内容[3]。


心肌血容量90%位于毛细血管内,心肌血流灌注是指毛细血管内的血液流动情况,心肌造影强度-时间变化规律与红细胞流速和毛细血管容量有关。心肌内造影剂回声视频密度信号强度可反映心肌内微泡浓度。持续输入造影剂时,当心肌内造影剂浓度达到最大饱和时的信号强度即反映毛细血管血容量,微泡的灌注速度反映心肌血流速度。心肌内微泡在高MI脉冲照射破坏后反射信号消失,此后微泡随血流再次灌注心肌,正常时通常5 s内灌注信号最强达到平台期。通过高MI间断显像或低MI持续实时显像可观察造影剂显像密度和速度。任何影响血流速度和血流量的因素均可表现为灌注达峰时间延长或(和)灌注稀疏,甚至缺失。静息状态,正常心肌血流再灌注在5个心动周期内出现造影剂显像。负荷超声则在2个心动周期内出现显像。MCE检测冠状动脉疾病的可视化基础是观测心肌造影剂显像延迟和浓度降低[52]。
大量研究表明MCE和SPECT检测冠状动脉疾病的敏感性和特异性相似[53]。结合文献其总的敏感性和特异性分别为81%和83%。MCE较DSE对室壁运动异常预测稳定性冠心病事件更有价值[54]。
目前急性冠脉综合征的诊断依据是病史、心电图和心肌损伤标记物异常,但这些单一指标在急诊患者中仅检测出约30%的急性冠脉综合征患者。一项大规模多中心研究[55]显示对急性胸痛患者的危险分层,MCE的价值高于临床、心电图和心肌损伤标记物,与SPECT相似。相对于其他影像技术MCE能独特地在床旁实时同步观测心肌室壁解剖结构及其运动状态和心肌血流灌注,较SPECT更具优势。已有研究表明:胸痛患者如室壁运动及心肌血流灌注均正常,其预后非常良好。当有心血管高危因素时,急性胸痛患者12 h肌钙蛋白阴性,且心电图不能诊断急性冠脉综合征时,可进行负荷MCE检查,如果结果阴性则预示患者预后良好[56]。微血管完整性是维持功能异常的节段心肌存活的前提。现有动物实验及临床研究揭示:MCE预测缺血心肌功能恢复的价值与心脏MRI相似[57]。
多巴酚丁胺引起心肌收缩除依赖微血管完整性外,还与心肌血流储备有关,因此,DSE检测冬眠心肌的敏感性不如MCE直接检测血流灌注高。MCE可用于进一步评价对DSE无反应的心肌存活性。国内外研究结果显示急性心肌梗死后再灌注评价方法中,仅MCE心肌内造影显像是心肌血流灌注的独立预测因子[58]。MCE预测心肌存活性敏感性与SPECT相似,但特异性更高[59]。因此,随着研究的不断深入,MCE将逐步成为床旁评价心肌存活性的一线影像检查技术。
MCE在冠心病及并发症的诊断及防治策略中发挥重要的作用,也逐渐被临床医师认识和接受,为促进MCE在该领域的应用更为有效和规范,欧洲超声心动图协会提出了MCE在急性心肌梗死后治疗决策制定时的使用流程[4,60](图15,图16)。




心肌造影显像,特别是心外膜血管增强显像能帮助准确判断室壁厚度变化率及室壁运动。造影超声心动图是准确测量左心室容积和LVEF的理想方法,区分心肌及心腔最好在高能量"闪烁"后的造影图像上观察。手动勾画造影图像心内膜边界能简单快速获得心室容积和LVEF,因此造影超声心动图检查应常规测量LVEF。
虽然越来越多的证据显示心肌血流灌注评价定量分析有益,但目前仍以视觉观察分析为主。正常心肌血流灌注表现为"闪烁"后静息状态约5 s时出现,负荷状态下约2 s内出现。如果某节段造影剂强度较相邻节段降低应考虑该节段心肌血流灌注减少。如相邻2个室壁节段造影剂强度均降低则诊断心肌血流灌注减少更有价值(图17,图18)。心肌血流灌注降低通常最早出现于心内膜下心肌。心外膜下心肌造影剂强度降低的特异性不高。整个室壁心肌包括心内膜和心外膜心肌。造影剂显像缺失需与声衰减伪像或肋骨声影鉴别,特别在左心室侧壁和前壁基底段造影剂缺失判断较困难。静息及负荷状态下固定的心肌血流灌注缺损是可见的。可逆转的心肌血流灌注缺损最好在"闪烁"后早期的几个心动周期内观察,其表现为心内膜下心肌增强稀疏、再灌注时间延迟及缺损面积减少。评价心肌血流灌注时应避免输入造影剂浓度过高或过低而出现假阴性和假阳性。




通常分析心肌血流灌注前应观察相应室壁厚度变化率及室壁运动变化情况。静息状态下出现心肌血流灌注缺损可能由心肌缺血、心肌纤维瘢痕或超声伪像所致,超声伪像通常出现在左心室侧壁和前壁基底段,因具有典型的声衰减或声影及正常局部室壁增厚率而容易识别;当节段心肌血流灌注正常而室壁运动降低或消失则应考虑心肌顿抑;当节段心肌血流灌注和室壁运动均降低时则应考虑心肌冬眠。
当节段心肌血流灌注和室壁运动均一致性正常或异常则判断心肌正常或异常的准确性高。对冠状动脉造影证实有冠脉狭窄的患者进行造影负荷超声心动图检查,当显示狭窄冠脉供血节段心肌血流灌注和室壁运动均正常时,则患者不需要冠脉介入治疗;当节段心肌血流灌注异常伴室壁运动异常或负荷时新出现运动异常,提示供血冠脉狭窄引起了供血降低。当心肌血流灌注正常,但室壁运动异常或负荷时新出现运动异常则提示心肌病。
动脉粥样硬化斑块是脑卒中和冠心病心肌梗死的病理生理基础,判断斑块的稳定性对于指导临床治疗和预测心血管事件风险非常重要。血管超声造影可用于区分动脉是完全闭塞还是重度狭窄,这对临床治疗具有非常重要的价值。通过显示斑块内滋养血管对于斑块的易损评估方法尚在研究。
血管超声造影能增加检测血管病理改变的准确性,包括主动脉和大血管的夹层、动脉粥样斑块、内中膜厚度和探测管壁滋养血管[61,62,63]。
尽管经食管超声心动图是检测主动脉夹层的首选诊断方法,当怀疑主动脉夹层而经胸超声心动图检查内膜显示困难或难以区分伪像和内膜时,需要使用血管超声造影检查[13]。造影可帮助区分主动脉或大动脉夹层的真假腔,识别夹层的入口和出口,及夹层延伸到主动脉分支(头臂动脉、锁骨下动脉、腹腔动脉、或肾动脉)的范围。当动脉内有内膜样超声伪像时,造影后主动脉显示均匀一致的强化。血管超声造影检查时,应避免造影剂大剂量的团注或注射速度过快,以免导致图像衰减。
外伤、心导管术或其他侵入性血管手术可出现动脉假性动脉瘤。当因各种因素评价动脉损伤困难时,使用超声造影剂可协助快速评估假性动脉瘤大小和程度,及时指导治疗[64]。
动脉夹层或动脉瘤支架置入术后可出现内漏等血管并发症,超声造影可判断是否有内漏,并有助于对内漏进行分型[65]。
超声心动图通过准确诊断或排除急性冠脉综合征、预测早期和晚期心脏事件以及对急诊科胸痛患者的早期分流发挥重要作用。超声心动图的主要优点是能够对急诊科的胸痛患者进行整体和局部的心肌功能评估。与临床和心电图相比,异常的超声心动图结果是更强的预后评价指标。而室壁运动正常患者出现主要心血管事件的发生率(非致死性急性心肌梗死或总死亡率)仅为0.4%。当急诊胸痛患者左心室局部室壁运动评估困难时则建议使用超声造影,此时还可同时评估心肌血流灌注。如果同时出现心肌功能和血流灌注异常,则早期心血管事件发生的风险比增加。疑似急性冠脉综合征患者使用造影剂后,应该监测心脏和血氧(单极导联心电图和脉搏血氧饱和度)30 min[66,67,68]。
超声心动图是重症监护病房诊断心血管疾病的首选检查,在床旁就可快速评价心脏重要的结构、功能、血流动力学变化。但经胸超声心动图受多种因素影响:机械通气所致的过度充气、肺疾患、皮下气肿、手术切口、胸腔引流导管和绷带等使心内膜的分辨十分困难。使用超声造影剂有利于准确评估ICU患者整体和局部心功能。研究显示那些成像技术困难的患者给予造影剂具有最好的成本效益。肺动脉高压和心肺情况不稳定的患者,使用超声造影剂后要求用单导联心电图和脉搏血氧饱和度监测30 min[69,70,71]。
国外研究报告放射造影剂的副作用平均发生率约为15%。在337 647例的大宗日本人群研究中发现:所有离子型造影剂的副作用发生率为12.66%,非离子型造影剂的副作用发生率为3.13%。离子型造影剂的严重副作用发生率为0.2%,非离子型造影剂为0.04%。造影剂特异质反应及物理-化学反应以轻、中度为主,重度发生率已明显减少。离子型造影剂注射死亡率为1∶3 000,而非离子型造影剂为1∶250 000[77]。
超声造影剂应用于心脏造影的安全性也受到国内外学者的高度关注。美国圣路加医学中心分析了2005年1月至2007年10月间18 671例接受超声心动图检查的住院患者资料[78],其中6 196例使用造影剂。分析结果显示与未使用造影剂组相比,造影剂组尽管病情更严重,但超声心动图检查后24 h内的死亡率相同。6 196例使用Definity造影剂的患者造影后24 h内有26例死亡,死亡率为0.42%;而12 475例未用造影剂的患者超声心动图检查后24 h内有46例死亡,死亡率0.37%,两组死亡率无统计学差异。并且没有一例在1 h内死亡,也没有一例发生急性过敏应。全美医院数据库资料回顾性分析了2002年1月至2007年10月间的4 300 966例住院患者超声心动图检查资料[79],其中有58 254例使用了超声造影剂。检查后24 h内的死亡率,用和未用造影剂组分别为1.06%和1.08%(P=0.61)。校正其他因素后,用造影剂组患者的死亡率比未用造影剂组降低24%。
现有大量临床和基础研究确认了使用造影剂的安全性[46,78,79,80,81,82,83],这些研究主要针对已知或怀疑冠心病的患者进行静息或负荷超声心动图,某些患者如严重心律失常、肺动脉高压、心脏或肝功能衰竭患者并没有被系统地纳入大型临床试验。虽然所有批准临床使用超声造影剂均有副作用报道,但其通常是罕见和轻微的,可能包括头痛、虚弱、疲劳、心悸、恶心、头晕、口干、嗅觉或味觉改变、呼吸困难、皮肤瘙痒、荨麻疹、背痛、胸痛或皮疹等症状和体征。过敏和潜在的威胁生命的超敏反应极少发生,其中可能包括过敏样的和(或)过敏性反应、休克、支气管痉挛、舌和(或)咽喉肿胀、血氧饱和度下降和意识丧失。
使用Optison和Definity(在美国临床使用的两种造影剂)的禁忌证是已知对造影剂微泡成分过敏、心内分流(除卵圆孔未闭的其他分流)。因此,建议肺小血管病变、重度肺气肿、肺血管炎、肺栓塞史和肺动脉高压患者使用超声造影剂时应谨慎并需要特别监护。
虽然有报道3例死亡病例与使用SonoVue在时间上有关[78],19例患者有严重非致死副反应(发生率0.002%,可能与过敏有关),2004年欧洲药物评审委员会暂时撤回SonoVue应用于心脏的适应证,但通过审查了这些致命的和非致命的严重不良事件后,欧洲药物评审组委员会认为如果排除急性冠脉综合征和不稳定心脏病患者,SonoVue有较好的效益/风险比,可用于心脏造影。
造影剂临床应用时潜在的不良生物效应常引起关注。虽然小动物和细胞试验研究显示在一定极端条件下可能会诱导剂量依赖的生物学效应(如溶血、血小板聚集、细胞膜破坏、小血管破裂和产生异位搏动),但这些试验结果不能外推到临床。大型临床研究用MI≤1.0进行心电触发超声造影成像,结果表明造影剂无引起潜在心律失常的风险。
目前,已知的使用造影剂的禁忌证包括:对全氟丙烷过敏;对血液、血液制品、或白蛋白过敏(只针对于Optison);动脉内注射造影剂(肥厚型心肌病化学消融治疗前靶血管的血流灌注范围确定除外);妊娠。
虽然早期美国FDA禁止在肺动脉高压(程度不确定)或心肺情况不稳定患者使用造影剂,但近年研究显示该类患者使用造影剂是安全的,但应谨慎,应当由临床医师依据临床需要和病患风险决定是否使用造影剂协助诊断。实际应用时,静脉注入速度应缓慢,且造影后需要即刻监测生命体征、心电图和经皮血氧饱和度至造影结束后30 min[52,80,83,84,85,86,87,88]。
超声心动图室首先应在心血管造影相关共识或指南及有关行政法规的框架下,由科室主任负责制定适合自己的超声造影剂使用和检查规范及制度,包括明确的适应证和禁忌证、造影检查操作流程、静脉通道建立、造影剂准备、仪器设备设置优化、图像采集、造影剂副作用观察和监护等。
超声造影检查团队每一成员应熟悉了解不同超声造影剂的理化特点、不同造影显像技术优缺点。根据这些规范及每个患者的具体情况,超声检查医师应该首先确定在常规检查的基础上是否需要进一步超声造影以明确诊断,并向患者主管临床医师沟通,最终确定是否使用造影剂。检查前应向病员或(和)家属沟通,解释造影剂使用原理、适应证和可能潜在风险等,获得患者同意并签署书面同意书。
心血管超声医师应具备执业医师证书及心肺复苏培训证书,具有较丰富的常规超声心动图检查经验,通过参加超声造影相关理论和操作规范化培训并获得结业证书。开展造影前应该通过与超声造影剂生产厂商和超声设备制造商讨论以确保用于超声心动图检查的造影剂适用性和超声设备处于最佳造影设置。心血管超声医师还应加强与各种有关超声造影组织的合作,并与临床相关科室如重症监护室、急诊科、心血管科、神经科和血管外科等充分交流沟通,提高他们对超声造影价值的认识及合理有效地应用。
心血管超声造影室应当配备除颤仪、抢救车和急救药物、氧气和吸引器等抢救药品和器械。
心血管超声造影过程中应当时刻注意造影动态图像的保存和及时归档管理,建议以DICOM图像格式或(和)AVI图像格式保存,避免因存图不当导致的诊断图像和信息遗失。
名誉组长:张运(山东大学齐鲁医院)
组长:尹立雪(四川省人民医院)
副组长(按姓氏笔画顺序排序):邓又斌(华中科技大学同济医学院附属同济医院);任卫东(中国医科大学附属盛京医院);张梅(山东大学齐鲁医院);穆玉明(新疆医科大学第一附属医院)
组员(按姓氏笔画顺序排序):王晶(解放军总医院);朱天刚(北京大学人民医院);刘伊丽(南方医科大学第一临床学院);许迪(南京医科大学第一附属医院);杨娅(首都医科大学附属北京安贞医院);李春梅(四川省人民医院);陈丽君(四川省人民医院);周颖玲(广东省人民医院);郑哲岚(浙江大学附属第一医院浙江省第一医院);查道刚(南方医科大学第一临床学院);修春红(哈尔滨医科大学附属第一医院);郭燕丽(第三军医大学西南医院);唐红(四川大学华西医院);谢明星(华中科技大学同济医学院附属协和医院)
本共识仅仅包括基于专家临床经验和多中心研究结果的观测建议,不是制定医疗实践决定的唯一准则,本共识不应被用作惩戒医师的法规依据。本共识的全部陈述和建议主要基于部分专家的意见,并非全部为科学证实的资料。本共识不包含未表达或隐含的内容,也不能用作超声心动图报告信息的完整性和精确性评判的依据,同时本共识也不保证适用于各种特殊目的。本共识所涉及内容不承担医患双方及任何第三方依据本共识制定及履行过程中的任何决定所产生的任何损失的赔偿责任。本共识也不赋予医患双方依据本共识提供的医疗建议所引发的使用者与患者或使用者与任何其他人构成医患法律纠纷处理的法律地位。




















