
通过观察跖跗关节(Lisfranc关节)损伤的X线、CT及磁共振(MR)表现及分型,提高Lisfranc关节损伤影像学诊断的准确率。
收集上海市第六人民医院2012年11月—2015年11月期间放射科跖跗关节骨折或Lisfranc韧带损伤的患者153例。按照Myerson骨折脱位分型法和Nunley-Vertullo轻度损伤分型法将Lisfranc关节损伤分型和统计分析。
Myerson Ⅰ型/同向性脱位为16例,Myerson Ⅱ型/独立性脱位为100例,MyersonⅢ型/异向性脱位为5例,Lisfranc关节轻度损伤中,Nunley-Vertullo Ⅰ、Ⅱ、Ⅲ型患者分别为7、24、1例。首诊行X线检查阴性的而后由CT或MRI证实的骨折患者占14.9%(18/121)。X线上第1~2跖骨基底部间距>2 mm的占69.4%(84/121);第1~2跖骨间存在小骨片者概率为47.1%(57/121),CT图像上小骨片71.2%(37/52)来源于第2跖骨基底部内缘。MRI韧带撕裂表现为韧带不连续,或正常信号消失,15例患者表现为韧带完全断裂。
X线检查Lisfranc骨折存在一定漏诊率,高度怀疑Lisfranc损伤而X线阴性患者建议行CT或MR检查;对于儿童和青少年,Lisfranc损伤以运动损伤和关节扭伤多见,包括从高处跃下损伤、足球/滑板运动损伤等。第1~2跖骨基底部间距>2 mm的患者或1~2跖骨间存在小骨片者,需高度怀疑Lisfranc关节骨折或Lisfranc韧带的损伤。骨折分型中以MyersonⅡ型最常见,MRI可较佳的显示Lisfranc韧带的损伤。
版权归中华医学会所有。
未经授权,不得转载、摘编本刊文章,不得使用本刊的版式设计。
除非特别声明,本刊刊出的所有文章不代表中华医学会和本刊编委会的观点。
跖跗关节损伤(Lisfranc injury)以Lisfranc外科医生(1787—1847年)名字来命名的[1]。现将其分为高冲击力损伤(即Lisfranc关节骨折脱位),和低冲击力损伤(即Lisfranc关节损伤或扭伤)。儿童Lisfranc关节损伤又称为"Bunk Bed"损伤,因该损伤多见于儿童从高处床上跃下时跖跗关节损伤而得名[2]。虽损伤机制明确,但Lisfranc关节损伤漏诊并不少见,而首诊漏诊导致治疗的延误,促成了关节炎及关节畸形等不良预后,文献中报道Lisfranc关节损伤患者首诊行X线检查时,20%~50%的跖跗关节图像表现为正常[1],随着CT及磁共振(MR)在骨关节损伤中应用的推广,Lisfranc关节损伤的诊断率有所提高,但国内对该关节影像学损伤类型的认知仍不足,因此本研究通过分析Lisfranc关节损伤的影像学表现及征象,旨在提高Lisfranc关节损伤的诊断准确率,为临床的早期治疗提供有力证据。
收集上海市第六人民医院2012年11月—2015年11月3年间放射科Lisfranc关节损伤的患者,参照文献[1,2,3,4]纳入标准为:(1)手术证实,(2)影像学上明确诊断跖跗关节/Lisfranc关节骨折,(3)MRI上显示Lisfranc韧带损伤者。排除标准为:(1)X线或CT图像不清晰,(2)MR图像信噪比差,无法准确评估Lisfranc关节结构。本研究共收集患者153例,其中男99例,平均年龄41.9岁(15~85岁);女54例,平均年龄48.5岁(11~79岁)。X线检查121例,所有图像均包含足正位、内旋30°斜位,其中21例行侧位非负重位,7例行侧位负重位摄片。CT检查131例,MR检查23例,同时行X线及CT检查者103例,同时行X线、CT及MR检查者6例,行X线及MR检查的患者11例,CT及MR者11例。
德国西门子DR机拍摄并传输图像至影像归档和通信系统(picture archiving and communication systems, PACS),X线检查方法为足部非负重正位、非负重内旋30°斜位,部分患者行非负重或负重位侧位摄片。
德国西门子64排或美国GE16排多层螺旋CT机行足部扫描,扫描时足处于中立位,定位像从足尖至踝上,扫描范围23~26 cm,同时行5 mm厚层扫描及2 mm薄层扫描,获得薄层横断位后,以第2跖骨的基底部同楔骨形成的关节为基础,行足冠状位、矢状位二维图像重建;行足三维立体图像重建。
使用Siemens Magnetom Verio 3.0 T磁共振扫描仪,选择8通道膝关节Siemens knee coil线圈,扫描时足处于中立位,扫描视野(FOV)为22~25 cm,扫描层厚3 mm,扫描间隙0.3 mm,扫描序列包括足冠状位、横断位快速自旋回波法成像(turbo spin echo, TSE)-T1WI;重复时间(TR)450~750 ms,回波时间(TE)20~50 ms,足冠状位TSE-T2WI脂肪抑制序列(TR 2 700~5 000 ms,TE 50~100 ms),足矢状位TSE-PDWI脂肪抑制序列(TR 3 000~5 000 ms,TE 30~50 ms),足横断位TSE-T2WI脂肪抑制序列(TR 3 000~5 000 ms,TE 50~100 ms)。
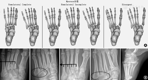
Lisfranc关节骨折脱位患者按Myerson分型[3],(1)Myerson Ⅰ型/同向性脱位分为:①全内侧移位,②全外侧移位;(2)Myerson Ⅱ型/独立性脱位分为:①M1(第1跖骨)内侧移位,②M2~M5(第2~5跖骨)部分骨外侧移位,③M2~M5全外侧移位;(3)MyersonⅢ型/异向性脱位分为:①M1内移、M2~M5部分骨外移,②M1内移,M2~M5全外移,轻度损伤按Nunley-Vertullo分型,Myerson分型(121例),其中Ⅰ1~3型分别为0、16、0例,Ⅱ1~3型分别为14、73、13例,Ⅲ1~2型分别为2、3例。Nunley-Vertullo分型(32例),其中Ⅰ型(M1~2≤2 mm)7例,Ⅱ型[5 mm≥(M1~2)>2 mm]24例,Ⅲ型[(M1~2)>5 mm且足弓塌陷]1例[4]。
采用单盲法,将收集的图像编号后,由未参加收集样本、未得知研究内容的两名骨关节诊断医师(工作经验5年以上)分别对X线、CT、MR图像进行依次观察诊断,观察内容包括骨折部位、有无脱位及脱位方向、足弓情况、足踝韧带损伤等情况,结果记录并整理,两者有异议处经商讨后统一,最后以正常Lisfranc关节形态及排列(图1)做对照,根据Myerson分型和Nunley-Vertullo分型[1]将损伤分型。统计学分析使用SPSS 17.0,描述性分析采用
±s表示,均值的比较采用单因素方差分析,率的比较采用χ2检验,对X线、CT、MR间差异及内部差异进行分析,双侧P<0.05为差异有统计学意义。


54例跖骨存在背侧移位,10例跖侧移位,2例部分骨背侧移位,部分骨跖侧移位,87例无移位。<18岁的儿童或青少年患者为8例,平均年龄16(11~18)岁,其中Myerson型损伤占4例,Nunley-Vertullo型损伤占4例。
Lisfranc关节损伤患者的初诊X线漏总诊率为14.9%(18/121),其中99例Myerson型损伤漏诊率为7.1%(7/99),而漏诊的7例患者均发生在Myerson Ⅱ型患者中;另外22例Nunley-Vertullo型损伤中漏诊率为50%(11/22),两者比较差异有统计学意义(P=0.016)。骨折脱位者正位上表现为M2基底部榫眼样凹槽结构消失,M2基底部变浅,M1~M5的一根或多根向内侧或外侧移位(图2),Ⅰ型13.1%(13/99),Ⅱ型82.8%(82/99),Ⅲ型占4.1%(4/99)。99例患者中M2外移位占75.8%(75/99),关节间隙>2 mm者(图3)占67.7%(67/99),平均为2.0~18.5(4.6±2.5)mm,其余患者间距<2 mm。99例患者中第1跖骨基底部与第2跖骨基底部间存在小骨片/小斑片征(Fleck)者(图3)为47.5%(47/99),行足侧位负重或非负重X线可显示M1~M5中的一根或多根相对于楔骨的背或跖侧移位,99例患者中44.4%(44/99)存在背侧移位,6.1%(6/99)为跖侧移位,跖骨侧脱位可导致X线图像上Myerson分型的不典型,50例移位者中累及M2基底部者占90%(45/50)。22例Nunley-Vertullo型损伤患者中Nunley-Vertullo Ⅰ型为5例,Ⅱ型为16例,Ⅲ型为1例,17例患者M1~M2间隙增大2 mm,平均为2.3~6.2(4.0±1.1)mm,间隙间存在小骨片患者占45.5%(10/22),只有1例患者即Ⅲ型者存在M2背侧移位,余未见背侧或跖侧移位。本组中<18岁患者,6例患者行X线检查,但仅2例可观察到骨折线穿过骺线同时累及骨骺与干骺端,2例患者M1~M2间距>2 mm,2例患者Fleck征阳性。




Lisfranc关节骨折在CT图像上检出率为100%,骨折累及第2~4跖骨(M2~M4)基底部的患者占63.4%(83/131),累及M2基底部者占87.8%(115/131),M2外侧脱位者占64.1%(84/131)。57例X线片上存在Fleck征,其中52例行CT检查,CT图像上的小骨片71.2%(37/52)来源于M2基底部内缘,23.1%(12/52)来源于M1基底部外缘,5.8%(3/52)来源于内侧楔骨外缘。以M2的基底部同楔骨形成的关节轴线重建的冠状位及矢状位可清晰显示榫眼关节的结构、Fleck骨片来源、关节脱位方向。足弓扁平的患者在CT横断位上可观察到M1~M5排列的弓桥样结构消失,显示以M2骨基底部为基础的排列紊乱。此外,CT三维重建观察到背侧脱位和半脱位患者37.4%(49/131),跖侧脱位和半脱位患者7.6%(10/131)(图4),M1~M5中部分跖侧脱位,部分背侧脱位患者1.5%(2/131)(图4)。


MR检查者23例,MR图像上可清晰观察Lisfranc复合体韧带,包括C1(第1楔骨)与M2(第2跖骨)间韧带(经典Lisfranc韧带)及其他跖骨间韧带。冠状位T1WI、T2WI脂肪抑制序列显示Lisfranc韧带骨间束全长最佳,2例表现为Ⅰ度损伤,表现为信号异常但无断裂;12例Ⅱ度损伤,即为韧带部分撕裂;9例为韧带完全撕裂,表现为:(1)韧带信号的中断、或韧带信号的消失,(2)韧带周围水肿,或正常韧带信号区域被水肿区域取代(图5I)。横断位T1WI和T2WI脂肪抑制序列显示经典Lisfranc韧带三束,背侧束损伤者15例,骨间束损伤者23例,跖侧束损伤者12例,三束共同损伤者7例,背侧+骨间束损伤者15例,跖侧+骨间束损伤者11例。合并跖骨间其他韧带损伤者11例,均伴有M2~M3跖骨间韧带损伤(图5J、图5K)。T1WI横断位可清晰观察中足足弓,正常中足横弓呈"拱桥样"结构,6例表现为"拱桥样"结构消失,中足横弓塌陷。T2图像上跖骨基底部骨折主要表现为骨髓水肿及周围软组织肿胀,此征象导致骨折线不清晰及周围骨片显示不清,T1WI更有助于显示骨折线,但骨折线及碎骨片的显示明显不如CT三维成像。8例儿童和青少年患者,4例Lisfranc关节损伤通过MR诊断,儿童足部MR上可检查X线及CT上不可见的隐匿性骨折,主要表现为M1和M2、C1和C2骨髓水肿,Lisfranc韧带损伤征象同成人相似(图5E,图5F,图5G)。


Lisfranc关节为中足与前足的重要分界和连接。从功能和解剖结构来看,Lisfranc关节关节面连线为"S型",被分为"三柱",内柱为C1-M1相关节,中柱为C2-C3-M2-M3相关节,外住为Cu-M4-M5相关节,M1-M5基底部横弓似"罗马拱桥",此弓主要靠M2基底部维持,故此M2又称为"基石"(key stone),X线足正位成像上,M2插入M1、C1-3、M3构成的"榫眼"样凹槽中,此结构称为榫眼关节(mortise joint),M2与M1基底部高度相距1 cm,M2与M3基底部高度相距0.5 cm[5,6],而M1~M2基底部水平距离应<2 mm(图1),凹槽的深度对关节稳定性亦起到重要作用,Mortise关节凹槽的变浅是Lisfranc关节损伤的危险因素之一[7]。
X线摄片检查中,99例Myerson型损伤漏诊率为7.1%(7/99),但所有的漏诊都发生在Myerson Ⅱ型中。另外,本研究共收集了32例Nunley损伤分型的患者,其中22例行X线检查,漏诊率可达50%(11/22),而且Ⅰ~Ⅲ型损伤都有漏诊的存在,该概率远远大于骨折伴脱位患者的7.1%,两者差异有统计学意义,X线上骨折脱位与轻微损伤的总漏诊率为14.9%(18/121),文献中报道的初诊X线检查漏诊率为25%~50%[1]。
131例患者行CT检查的患者中,无论是Myerson分型或Nunley分型者均存在Lisfranc关节构成骨的骨折,而且以累及M2基底部最多见,占87.8%,此外累及M2~M4跖骨基底部者占63.4%,CT可观察到X线上看不到的微小骨折,文献报道CT可检测出X线上50%观察不到的骨折[1],而MR仅可检测出X线上25%观察不到的骨折。此外,CT上可确诊X线上Fleck征小骨片来源,本研究中,小骨片多来源于M2基底部内缘。
MR以其对软组织显像优势以及多层面显像优势,可检测出X射线与CT上不可见的Lisfranc韧带损伤。在本研究中23例MR检查者均伴有骨间束损伤,而不像Nunley等[4]描述的先累及背侧束和背侧关节囊,随着损伤的加重,再累及骨间束,最后累及跖侧束。本研究发现11例患者在无背侧束损伤的情况下,出现骨间束+跖侧束的损伤。除C1~M2间韧带损伤,Lisfranc关节损伤可伴有M2~M5跖骨间韧带损伤,其中伴M2~M3韧带损伤占47.8%(11/23)。
儿童Lisfranc关节损伤又称为"Bunk Bed"损伤(双层床骨折)[2],Jonhson[2]研究表明该病好发于3~6岁儿童群体,其描述的16例患者中,全部伴有M1基底部骨折,仅有1例合并M2基底部骨折,并指出M1损伤可合并Lisfranc韧带损伤,Lisfranc韧带损伤常合并M2基底部的撕脱骨折,X线上Lisfranc关节损伤无脱位时容易漏诊,这时负重与非负重正位前后对照、双足对照有利于病变的检出,X线正位片上M1~2跖骨基底部间距增宽为该关节损伤的可靠征象,MR可检测出Lisfranc韧带的损伤及隐匿性骨折(图5E,图5F,图5G),M1基底部累及骺线导致愈合畸形,余骨基底部无骺线,则多见创伤性跖跗关节炎。
Lisfranc关节损伤X线存在一定的漏诊率,对于临床上怀疑Lisfranc关节损伤,而X线表现阴性时,需行CT或MR检查,CT可较佳探测骨质损伤情况,MR可较佳显示Lisfranc韧带损伤。X线上M1~M2>2 mm、M1~M2间存在小骨片时,为Lisfranc关节损伤的可靠征象。

























