
探讨骨盆原发尤文氏肉瘤的临床、病理学特征和影像学表现,提高对该病的认识和诊断率。
回顾性分析2008年5月至2016年3月杭州师范大学附属医院、河北医科大学第三医院及河北医科大学第二医院收治并经手术病理证实的13例骨盆原发尤文氏肉瘤的临床、病理及影像学资料,总结其特征。
13例骨盆原发尤文氏肉瘤发病中位年龄17岁。X线、CT表现为溶骨性及混合性骨质破坏,CT示混合型10例,8例肿瘤内骨化为絮状,10例见骨质膨胀性破坏,10例见骨膜反应,其中层状5例,放射状5例。13例均见软组织肿块影,呈等或稍低密度。4例增强扫描不均匀强化。磁共振图像(MRI)示病变T1WI低信号,T2WI混杂高信号,边界模糊,5例见斑片状坏死区,9例见不完整的假包膜,周围软组织局部受侵。4例MRI增强扫描呈不均匀强化。
骨盆尤文氏肉瘤好发于青少年男性,以混合型骨质破坏为主,软组织肿块较大,骨膜反应以层状及放射状为主,多数病例见不完整的假包膜。结合临床及影像学检查,可以对该病做出诊断。
版权归中华医学会所有。
未经授权,不得转载、摘编本刊文章,不得使用本刊的版式设计。
除非特别声明,本刊刊出的所有文章不代表中华医学会和本刊编委会的观点。
尤文氏肉瘤是一种国人较少见原发恶性骨肿瘤,起源于骨髓的间充质性结缔组织,多发生于长管状骨,发生于骨盆者较少,仅占20%[1],国内外文献报道多以个例报道为主,缺乏总结性报道。笔者通过搜集经手术病理证实的13例骨盆原发尤文氏肉瘤的临床、病理及影像学资料,对其进行分析和总结,以提高对其影像改变的认识。
收集杭州师范大学附属医院、河北医科大学第三医院及河北医科大学第二医院3家医院自2008年5月至2016年3月经手术病理证实的13例骨盆原发尤文氏肉瘤的临床、病理及影像学资料,其中男12例、女1例,年龄8~40岁,中位年龄17岁。表现为局部疼痛伴下肢活动受限,3例伴有发热,2例伴有大小便障碍。61.5%的患者发病年龄为11~20岁。病程1个月至2年,6个月以内者占61.5%。病变于左侧髂骨6例,右侧耻骨上支1例,3例累及左侧髂骨和耻骨,1例累及左侧髂骨和骶骨,1例累及骶1、2、3椎体,软组织肿块突入椎管,1例累及骶1、2、3、4椎体,软组织肿块突入椎管。纳入标准:未行任何治疗及有创性检查的骨盆原发尤文氏肉瘤患者,术前均行X平片、CT及磁共振(MR)检查,并最终手术取得病理结果。排除标准:影像学检查前已为术后、放化疗后或有创性检查后,如针吸活检等。
X平片检查采用西门子DR(multix FD)摄片机8例,GE飞天6000X线机5例:55 kV,5 mAs。CT检查采用西门子16排及64层螺旋CT机,管电压120 kV,管电流150 mAs,准直器宽度0.75 mm,层厚为1.0 mm,重建间距为1.0 mm,螺距为0.75,重建矩阵512×512。MR检查采用西门子(Avanto)1.5 T MR扫描仪,常规自旋回波序列SE-T1WI (TR/TE 450 ms/13 ms)、短时间反转恢复序列自旋回波序列STIR-T2WI(TR/TE/TI 4 150 ms/106 ms/150 ms),层厚6.0 mm,层间距0.2 mm。
按照病变部位、骨质破坏、骨膜反应、软组织肿块等方面,由2名主治以上影像医师采用双盲法分析影像征象,诊断不一致时,协商后达成一致。
标本经4%甲醛溶液固定,石蜡包埋,常规切片,HE染色。免疫组化采用EnVision二步法,抗原修复使用高压热修复,并使用全自动免疫组化机进行免疫组化。抗体为CD99、CD56、Ki67、Vim、S-100、NSE、Syn、PAS、CgA。
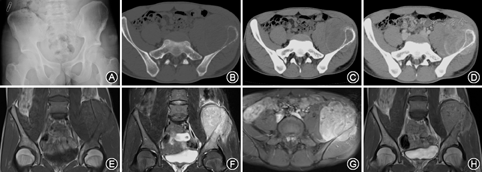
骨质改变:13例中9例表现为单纯溶骨性破坏,4例为混合型(图1A、图2A),其中3例肿瘤内见絮状骨化,1例为针状;4例见骨质膨胀性破坏,2例见骨性分隔,2例见骨皮质中断,6例见局部骨质硬化。3例见骨膜反应。软组织肿块:6例可见。




骨质改变:13例中3例表现为单纯溶骨性破坏,10例为混合型,其中8例肿瘤内絮状骨化,2例为针状,骨化较少;10例见骨质膨胀性破坏,3例见骨性分隔,12例见骨皮质中断,11例见局部骨质硬化。骨膜反应:10例可见,其中5例为层状并见Codman三角,5例为放射状。软组织肿块:13例均可见,呈等或稍低密度,其中5例边界较清晰,4例周围软组织受压。5例见不完整的骨包壳(图1B,图1C,图1D、图2B,图2C,图2D)。4例增强扫描后不均匀强化(图1D、图2D)。
骨质改变:13例中均见明显骨质破坏,T1WI为低信号,T2WI为混杂高信号,骨髓水肿,边界模糊。肿瘤内骨化显示欠清。骨膜反应:显示模糊,2例见放射状骨膜反应,5例见层状骨膜反应,T1WI及T2WI均为低信号。软组织肿块:13例均可见,病变范围大于CT和X线平片,T1WI呈等或低信号,T2WI呈混杂高信号,其中5例见斑片长T1长T2信号区(病理为液化坏死),8例软组织肿块边缘清晰,9例肿块边缘见不完整的线样低信号(病理为假包膜),周围软组织局部受侵(图1E、图1F,图2E、图2F)。10例见软组织肿块周围水肿信号。4例MRI增强扫描后不均匀强化(图1G,图2G、图2H)。
大体标本5~15 cm,肿瘤软、脆,呈粉红或灰白色伴有骨质破坏及软组织肿块,5例可见液化坏死区,呈半流体状。9例可见不完整假包膜。镜下可见均匀一致的小圆形未分化肿瘤细胞,胞质少,细胞边界不清,胞核圆形,染色质呈斑点状(图1H)。免疫组化CD99(+)13例,CD56(+)、PAS(+)、Vim(+)各11例,Ki-67(+)10例,S-100(+)、NSE(+)各5例、Syn(+)3例、CgA(+)2例。
尤文氏肉瘤好发于15岁左右的男性,男女比例1.3~1.5∶1[1]。长管状骨多发,骨盆的病变以髂骨居多,病程较短,早期以间歇性疼痛为主,后期为持续性疼痛,常有不规则发热、贫血、白细胞增高及血沉增快[2,3]。尤文氏肉瘤属于骨小细胞恶性肿瘤中的一种,肿瘤最大径常为5~10 cm,骨外部分常大于骨内部分,质软、脆,常见出血和坏死。光镜下由小圆形细胞构成,细胞核圆或卵圆、小梭形,染色质细腻,胞质稀少,瘤细胞可排列成岛状,围绕血管排列或假菊形团样结构,HE切片难与其他骨小圆形细胞恶性肿瘤鉴别时,需依靠免疫组化或分子生物学检查,其CD99、FLI-1、神经元特异性烯醇化酶(NSE)、波形蛋白等阳性有助于诊断。分子基因水平,其特征为随机性的染色体易位,即t(11;22)(q24;q12)互相倒置,编码致癌溶解蛋白和转录因子EWS/FLI [4,5]。
以溶骨型及混合型为主,硬化型少见。病理基础为肿瘤沿髓腔和哈佛氏管扩散,侵犯并穿透骨膜致骨膜翘起[6]。早期骨质破坏不明显,可只有少量层状骨膜反应,随着病变进展,溶骨性破坏增多,可形成骨皮质缺损及大量骨膜反应,长骨呈"葱皮样",扁骨呈不规则层状。本组病例骨膜反应呈不规则层状及放射状。长骨常呈梭形膨胀,为持续性的骨膜反应所致,扁骨呈边缘膨胀、内部溶骨性骨质破坏。尤文氏肉瘤细胞无成骨性,骨质硬化是由于反应骨形成和坏死灶内骨样组织沉积。病变软组织肿块与骨破坏范围不呈比例,增强扫描肿块呈不同程度的强化[7,8]。
MRI可准确显示病变范围,肿瘤T1WI为低信号,T2WI为混杂高信号,增强扫描不均匀强化[9]。肿块多呈浸润性生长,当有假包膜存在时,边界可以较清晰[6,10]。本组9例见不完整的假包膜,假包膜为肿瘤生长时挤压肿瘤周边组织形成,由内层富含胶原纤维和纤维母细胞的压缩区与外层富含新生毛细血管和炎症细胞的反应区构成,其形成机制还不清楚。
骨盆骨肉瘤:好发年龄40岁,表现为不同程度骨质破坏及硬化,骨膜反应以放射状为主,肿瘤骨为团状或云絮状,病理常以普通型骨肉瘤为主,小细胞骨肉瘤酷似尤文氏肉瘤,但间质中含肿瘤样骨[11,12]。骨盆软骨肉瘤:好发于40~70岁。混合型骨质破坏,伴有不同程度边缘或肿瘤组织钙化,骨膜反应少见[13]。组织学鉴别为肿瘤内含有软骨岛,其内细胞S-100表达阳性。恶性淋巴瘤:好发年龄40岁,生长缓慢,多筛孔样或虫蚀样骨质破坏,骨膜反应较轻[14]。组织学上淋巴瘤细胞较大,核仁明显,胞质边界较清楚。LCA、CD20多阳性,CD99阴性。
总之,骨盆尤文氏肉瘤的临床、病理、免疫组化及影像学表现具有一定的特征性,正确的术前诊断有利于治疗方案的选择。





















