
总结腹主动脉瘤腔内修复(EVAR)术后支架感染的诊治经验。
回顾性总结了2000年1月至2015年12月中山大学附属第一医院收治的EVAR术后支架感染病例资料,对感染的原因、临床表现、诊断方法、再次干预方式及和预后进行分析。
收治的患者共有10例EVAR术后支架感染病例,均为男性,年龄45~72岁(平均62.5岁)。其中2例初次EVAR手术于我院进行,占我院同期EVAR手术的0.23%(2/885)。本次发病与EVAR手术间隔0~27个月(平均6.9个月),主要临床表现为反复发热(100%)及腰背部疼痛(40%)。8例患者有明确感染诱因(80.0%),其中腹主动脉瘤肠瘘4例(40%),炎性动脉瘤3例(30%),上呼吸道感染并败血症1例(10%)。9例患者接受了二次手术干预,其中局部清创+引流1例,支架切除+双侧腋动脉-股动脉人工血管旁路1例,支架移除+右侧腋动脉-双侧股动脉人工血管旁路7例。随访2~60个月(平均24.1个月),1例失访,1例术后死于腹主动脉残端破裂(12.5%),7例迄今存活,其中1例解剖外旁路闭塞(12.5%)但无严重下肢缺血。
腹主动脉瘤肠瘘和炎性腹主动脉瘤是本组病例支架感染的主要原因,在充分抗炎治疗的基础上建立解剖外旁路并移除移植物是有效的治疗手段。
版权归中华医学会所有。
未经授权,不得转载、摘编本刊文章,不得使用本刊的版式设计。
除非特别声明,本刊刊出的所有文章不代表中华医学会和本刊编委会的观点。
自腹主动脉瘤腔内修复术(EVAR)问世以来,业内对EVAR术后并发症的探讨主要集中在各型内漏、支架移位、断裂、闭塞等方面。而支架感染由于发病率相对较低,因此人们对其认识较少。近年来随着EVAR手术在各级别医院的不断普及,术后支架感染发生率已经上升到接近1%[1]。EVAR术后支架感染常导致致死性后果,因此需要对其发生和发展进行深入探讨以归纳出合理的防治措施。本研究总结了中山大学院附属第一医院2000年1月至2015年12月期间收治的EVAR术后支架感染的腹主动脉瘤患者资料,对其发病原因、临床表现、诊断方法、治疗手段以及临床结果进行总结,现将结果报道如下。
回顾性分析中山大学院附属第一医院2000年1月至2015年12月期间收治的腹主动脉瘤患者资料,对其中确诊为EVAR术后支架感染的10个病例进行总结分析。本组患者均为男性,平均年龄62.5岁(45~72岁)。既往2例于我院接受过EVAR手术,8例EVAR手术为外院施行;其中择期手术7例,急诊手术3例。本次就诊均以反复发热而抗生素治疗无效为主诉,其中4例患者伴有明显的腰背部疼痛,1例伴有上消化道出血。本次发病距EVAR手术间隔6.9个月(0~27个月)。其他资料详见(表1)。

EVAR术后支架感染病例临床资料
EVAR术后支架感染病例临床资料
| 序号 | 年龄 | 症状 | 与EVAR间隔(月) | 既往诊断 | 支架类型 | 感染源 | 致病菌 | 再干预方式 | 随访时间(月) | 结果 |
|---|---|---|---|---|---|---|---|---|---|---|
| 1 | 70 | 发热、黑便 | 19 | 腹主动脉瘤 | Zenith | AEF | 大肠杆菌 | 支架切除+双侧腋-股动脉旁路 | 60 | 存活 |
| 2 | 62 | 发热、腰背痛 | 12 | 腹主动脉瘤 | Excluder | AEF | 阴性 | 支架切除+腋-双侧股动脉旁路 | 37 | 存活 |
| 3 | 47 | 发热 | 0 | 炎性腹主动脉瘤 | Endurant | 炎性动脉瘤 | 阴性 | 支架切除+腋-双侧股动脉旁路 | 22 | 存活 |
| 4 | 55 | 发热 | 3 | 腹主动脉瘤 | Endurant | 未知 | 金黄色葡萄球菌 | 支架切除+腋-双侧股动脉旁路 | 20 | 存活 |
| 5 | 66 | 发热、腰背痛 | 6 | 腹主动脉瘤破裂 | Endurant | 败血症 | 金黄色葡萄球菌 | 支架切除+腋-双侧股动脉旁路 | 18 | 存活 |
| 6 | 45 | 发热、腰背痛 | 0 | 炎性腹主动脉瘤破裂 | Excluder | 炎性动脉瘤 | 猪沙门氏杆菌 | 支架切除+腋-双侧股动脉旁路 | 24 | 存活 |
| 7 | 72 | 发热 | 2 | 腹主动脉瘤 | Excluder | 未知 | 金黄色葡萄球菌 | 支架切除+腋-双侧股动脉旁路 | 24 | 存活 |
| 8 | 71 | 发热 | 0 | 腹主动脉瘤 | Endurant | AEF | 阴性 | 无 | 无 | 失访 |
| 9 | 68 | 发热 | 27 | 腹主动脉瘤 | Endurant | AEF | 阴性 | 支架切除+腋-双侧股动脉旁路 | 10 | 死亡 |
| 10 | 69 | 发热、腰背痛 | 0 | 炎性腹主动脉瘤破裂 | Endurant | 炎性动脉瘤 | 阴性 | 清创、引流 | 2 | 失访 |
注:EVAR:腹主动脉瘤腔内修复术;AEF:腹主动脉瘤肠瘘
2.方法:(1)诊断:主要根据既往EVAR手术史、临床表现、实验室及影像学检查结果进行诊断。辅助检查手段主要包括增强CT扫描、连续血液白细胞计数和血液细菌培养。部分诊断困难的病例进行腹主动脉瘤腔穿刺活检+细菌培养,疑似腹主动脉瘤肠瘘(AEF)的患者接受胃肠镜检查。(2)术前抗炎治疗:一旦疑似支架感染即开始抗炎治疗,有明确致病菌者根据药敏结果选用敏感的抗生素,未能明确病原菌者联合使用广谱抗菌药物治疗,直到发热消失、连续3次血液细菌培养阴性。(3)二次手术治疗:如无急性大出血等紧急手术指征,二次手术均在足量、联合抗生素治疗4~6周之后,连续3次血液培养阴性、连续3 d血液白细胞计数正常后进行。手术在全身麻醉下一期完成,具体内容包括建立解剖外旁路、移除感染支架、创面清创引流。(4)术后药物治疗:术后继续静脉注射敏感抗生素或联合使用广谱抗菌药物进行抗炎治疗,2~3周后改为口服抗菌药物并持续4~12周。接受解剖外旁路的患者口服氯吡格雷75 mg(赛诺菲安万特,杭州)及拜阿司匹林100 mg(Bayer Bitterfeld GmbH,德国)1次/d进行抗血小板治疗。(5)随访:患者于术后1、2、3、6、9、12个月进行门诊随访,此后每年随访1次。每次随访均进行白细胞计数及血管彩色多普勒超声检查,有异常发现者进行增强CT检查。
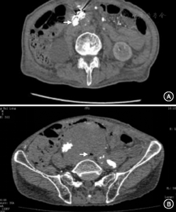
入院时8例患者血液白细胞计数增加,2例血液白细胞计数始终在正常范围。3例血液细菌培养阳性,其余病例多次培养均为阴性结果。增强CT检查发现9例患者腹主动脉瘤周围呈现明显的炎症征象,其中6例瘤囊内出现气泡影(图1),伴有Ⅰ型和Ⅱ型内漏各1例;1例患者多次增强CT检查未显示异常。2例行腹主动脉瘤腔穿刺,其中1例吸出黏稠黄色脓液,另1例抽吸液细菌培养阳性。3例患者接受小肠镜检查,确诊1例AEF。


2例患者未发现明显诱因,其余8例患者存在可能的感染源。其中4例发现AEF(1例为小肠镜检查确诊)(图2);3例EVAR术前即有发热表现,并且增强CT显示瘤体不规则、瘤壁增厚、瘤体周围呈现明显炎性反应等炎性腹主动脉瘤特征,再次手术过程中也给予了证实(图3);1例此次发病前有明确的上呼吸道感染及败血症病史。




5例患者通过血液和瘤腔内容物细菌培养确定致病菌,其中金黄色葡萄球菌3例、猪沙门杆菌1例,大肠杆菌1例。其余5例未能发现致病菌。
1例患者放弃二次手术,1例因耐受力较差故仅行清创引流术,7例行腋动脉——双侧股动脉人工血管旁路+支架切除+清创术,1例行双侧腋动脉——股动脉人工血管旁路+支架切除+清创术,手术均为Ⅰ期完成并获得成功。手术步骤为先建立解剖外人工血管旁路,然后经腹部正中切口显露腹主动脉,于肾动脉开口上方或膈下水平临时阻断腹主动脉,纵行切开瘤体前壁并取出支架,二次手术中移除支架后发现腹主动脉瘤右侧壁溃疡(图2A),清理后显示空肠中段2 cm直径瘘口(图2B),随后将阻断钳移至肾动脉水平以下,并以3-0及4-0尼龙线双重连续缝合腹主动脉残端以及髂动脉残端。尽量清除瘤壁组织及瘤腔内容物,缝扎腰动脉开口。由于可用材料有限,本组病例均采用解剖外人工血管旁路来重建下肢血运(图4)。创面以0.5%碘伏溶液反复浸泡3次,每次10 min,随后以大量生理盐水冲洗创面并留置思华龙引流管。
5.临床结果:9例接受二次手术的患者均康复出院,术后平均住院时间15.2(9~22)d。术后平均随访24.1(2~60)个月,1例失访,1例术后死于腹主动脉残端破裂(12.5%),7例长期存活。随访期间1例于术后4个月发现腋-股动脉旁路闭塞但无严重下肢缺血症状(12.5%)。未出现人工血管再次感染等其他严重并发症。
EVAR术后支架感染临床罕见,预后极差,必须给予足够的重视。支架感染最常出现在术后1~3年[1,2],而最近一宗报道称61%的支架感染出现在EVAR术后3个月之内,可能得益于增强CT在随访中的常规应用[3]。本组病例全部发生于术后3年内,其中仅有2例EVAR手术于我院进行,占我院同期EVAR手术的0.23%(2/885),支架感染出现的时间及发病率与报道相符合。
Laser等[2]认为EVAR术后支架感染来源于术中无菌操作不严格导致的早期细菌污染和术后由于阑尾炎、肾盂肾炎等炎性疾病蔓延造成的后期感染。Murphy等[3]也述及67%的病例存在其他部位的潜在感染病灶。本组1例患者EVAR术后因上呼吸道感染导致败血症,最终引起支架感染;另1例患者在外院接受EVAR手术后即出现持续高热但未发现其他感染诱因,可能与术中无菌操作不严格有关。
另外一个公认的支架感染原因是原发性和继发性AEF。前者如果缺乏"先兆性消化道出血"等典型症状,往往无法在EVAR术中发现;后者则被认为是EVAR术后腹主动脉瘤体对肠管的长期压迫和侵蚀所致[4,5],而这又与EVAR术后各种内漏引起的瘤体持续增大密切相关[6]。本组病例中确诊4例AEF,占全组病例的40%,其中合并Ⅰ型和Ⅱ型内漏各1例,提示应该对EVAR术后持续存在的内漏进行积极干预。
炎性动脉瘤也可能是导致EVAR术后支架感染的原因之一,既往文献报道罕有谈及。本组病例中有3例在EVAR术前就存在发热、血液白细胞计数增高以及瘤壁增厚、瘤体不规则、瘤体边界模糊等CT征象,高度怀疑炎性动脉瘤,3例均在EVAR术后住院期间即出现发热症状,在再次手术过程中也证实了这一判断(图3)。对于疑似炎性动脉瘤的患者,不宜首选EVAR手术,即便在紧急情况下为挽救生命而被迫进行腔内治疗,也应及时进行后续的清创、引流等彻底处理。
支架感染的诊断较为困难,仅凭非特异性的腰背痛、发热等临床表现无法做出正确诊断。在典型临床表现和血液白细胞计数增加等证据的基础上,增强CT扫描能够提供较多的信息,包括主动脉周围的炎症迹象如脂肪垫消失、瘤壁增厚伴强化、瘤体周围液体集聚、瘤腔内气泡影等,对确定诊断有较大帮助。本组6例患者通过增强CT检查发现瘤囊内气泡影以及其他炎症征象而确立支架感染的诊断,准确率达60%。对于无法通过上述手段明确诊断的患者,最直接的办法是B超引导下进行瘤囊穿刺,对穿刺物进行常规检查和细菌培养。本组有2例患者通过这一办法确立了诊断。
血液细菌培养是疑似支架感染患者的常规检查项目,但只有约50%~68%可以得到阳性结果,最常见的致病菌是葡萄球菌和大肠杆菌,其中金黄色葡萄球菌检出概率约为23%~88%[1,7,8]。本组病例虽然都能观察到支架周围脓液或典型炎症反应的存在,但是只有5例血液或组织细菌培养阳性(50%),其中金黄色葡萄球菌3例,猪沙门氏杆菌1例,大肠杆菌1例,这可能与大多数患者转来我院之前已经使用了大量抗生素有关。
由于细菌定殖在瘤壁与支架之间密闭的瘤腔内,单纯抗炎治疗无法彻底消灭感染灶。抗炎治疗的主要目的是促使炎症局限,为手术创造条件;其次是促使手术创面炎症的消散。抗炎治疗应尽早开始,并且持续到手术治疗后至少4~6周。有人认为对于高危患者应终生给予口服抗菌素[3,8]。但终生抗炎将带来菌群失调、机会致病菌感染概率增加等风险。本组病例在围手术期经静脉给予抗菌药物,出院后改用口服抗生素4~12周,随访期间未见移植物再次感染,表明接受了彻底清创手术的病例未必需要终生抗炎治疗。
由于支架感染患者多数存在严重的消耗症状,有学者建议采用穿刺引流、抗生素灌洗以及长期抗炎等保守治疗[9],但有报道称接受保守治疗患者的死亡率高达33%~70%[10]。目前通过二次手术切除感染的支架并重建血流通路仍然是最为广泛接受的办法[11]。本组接受二次手术的患者中仅1例死于术后并发症,死亡率远低于保守治疗。
重建下肢血供的常用方法包括解剖外人工血管旁路和原位重建。解剖外旁路因无需经过感染创面,所以发生再次感染的可能性相对较小,此外具有创伤小、材料简单、可分期进行等优点,一直以来都是处理腹主动脉移植物感染的理想术式,但同时也存在远期通畅率低的缺点因此有人更青睐于原位重建[5,12]。多数人认为应该根据患者的具体情况、能够利用的材料以及术者的技术特长等进行合理的术式选择[3,8]。由于可用材料有限,本组病例均采用解剖外人工血管旁路来重建下肢血运(图4)随访期间解剖外旁路通畅率达87.5%。
本组资料表明,EVAR术后支架感染与多种因素有关。除了对术中无菌操作、AEF、炎性动脉瘤、其他部位炎症性疾病保持足够的警惕外,对于已经发生支架感染的患者,在足量抗炎治疗的基础上建立解剖外人工血管旁路并移除感染的支架是有效的治疗手段。





















