
版权归中华医学会所有。
未经授权,不得转载、摘编本刊文章,不得使用本刊的版式设计。
除非特别声明,本刊刊出的所有文章不代表中华医学会和本刊编委会的观点。
Fahr病又称特发性家族性脑血管亚铁钙沉着症,是一种罕见的神经退行性疾病[1],1930年由德国神经病理学家Karl Theodor Fahr首先报道1例。该病多有遗传性,常为常染色体显性遗传,一些常染色体基因突变,如SLC20A2的突变也会导致Fahr病。临床伴有双手雷诺现象者非常罕见,遵义医学院附属医院近期收治该病患者1例,现将其诊治过程报道如下。
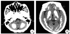
患者女性,46岁,因"肢体不灵活7年,加重伴记忆力下降1年"在2016年4月28日收治于遵义医学院附属医院神经内科。患者2009年无明显诱因被家属发现步态异常,不影响生活,未予重视,无特殊处理;2015年上述症状加重,伴记忆力下降、吐词欠清晰及姿势异常,不能胜任工作,于我院就诊,予药物治疗,症状无明显好转。2016年3月4日就诊于我科门诊行头颅CT示双侧大小脑多发钙化灶(图1),查甲状旁腺激素、甲状腺功能无异常,甲状腺球蛋白抗体:997.9 IU/mL(正常值为0~115 IU/mL)。患者为明确诊断复诊于重庆医科大学附属第一医院,复查头颅CT结果同我院,电解质及降钙素无异常(排除甲状旁腺减退症及假性甲状旁腺减退症)。患者既往体健,近期未患感冒。患者父亲75岁时出现记忆力下降、肢体活动障碍,未行相关检查,78岁时因肺部疾病去世。入院体检:心肺腹查体无明显异常,甲状腺轻度增大,双手掌指关节以远皮肤粗糙、泛红、皮温异常(图2),全身未见皮脂腺纤维素瘤及牛奶咖啡斑(排除结节性硬化症),双足内收、背伸畸形。入院神经系统体检:吐词欠清晰,记忆力下降,左侧轻度面舌瘫,双上肢肌力5-级,双下肢肌力4+级,四肢肌张力稍增高,右侧Oppenheim征、Pussep征、Chaddock征均阳性,余无明显阳性体征。入院后查双上肢血管超声提示双侧尺动脉管径偏细,左侧流速减低,右侧锁骨下动脉内中膜增厚。诊断"Fahr病"。予抗胆碱能及健脑药物等对症支持治疗。


A:双侧小脑半球对称性钙化灶;B:双侧额颞枕叶、基底节区、背侧丘脑对称性钙化灶


Fahr病病因不明,特点是双侧对称的特发广泛纹状体-苍白球-齿状核钙化。患者可能出现不同的临床表现,其中最常见的是运动障碍、认知功能障碍及共济失调。头颅CT为首选的影像检查方法[1]。目前Fahr病的诊断标准包括:(1)双侧基底节钙化;(2)进行性神经系统或神经精神症状;(3)患者通常40~50岁(也可能提早)出现症状;(4)没有生化异常和临床表现表明存在线粒体疾病、代谢性疾病或其他全身性疾病;(5)钙化并不是由于感染、外伤或中毒原因所致;(6)具有基底节钙化的家族遗传史。若有家族遗传史,满足前2条诊断标准即可[2]。雷诺现象是指通常在寒冷环境中或紧张情绪时,患者的双手和双足的微血管和小血管发生阵发性收缩,导致手指和足趾皮肤苍白和紫绀。继发性雷诺现象的诊断标准为:(1)基础疾病的症状和体征;(2)周期性的血管痉挛导致皮肤苍白和紫绀;(3)异常的甲襞微循环;(4)抗核抗体试验阳性;(5)红细胞沉降率的升高;(6)手指或脚趾有凹陷性的皮肤疤痕或溃疡或坏疽[3]。该患者双手远端皮肤颜色粗糙、泛红、皮温异常,且诉冬季明显,伴冷痛感,Fahr的发病机制即为亚铁钙在脑血管管壁的沉着,从宏观上讲,该病患者的外周血管也有可能并发亚铁钙的沉着,如之前所报道,Fahr病患者合并有主动脉到髂总动脉的钙化[4]。同时患者的双上肢血管超声提示:双侧尺动脉管径偏细,左侧流速减低,右侧锁骨下动脉内中膜增厚。故该患者可诊断为Fahr病伴雷诺现象。目前,对Fahr病无特异性治疗,主要是对症治疗,引起锥体外系症状可酌情应用抗帕金森病药物及控制手足徐动症药物,精神症状可用抗精神病药物。在理论上未被证实的方法有使用螯合剂和抗氧化剂和钙拮抗剂。金属结合蛋白和金属螯合剂(如硫钼酸铵,这是一种铜螯合剂)在理论上已被建议作为治疗选择之一[5]。本例患者父亲有可疑Fahr病病史,但未到医院就诊明确诊断,且因病过世,不能追踪其家族史,同时因条件有限,该患者未检查是否带有Fahr病相关基因的突变,较为遗憾。





















