
探讨奇异性骨旁骨软骨瘤样增生(BPOP)的临床病理特征、诊断及鉴别诊断方法。
收集3例BPOP,对其临床表现、影像学特征及病理组织学形态进行观察和分析,并复习相关文献。
3例患者中,女性1例,男性2例,年龄24~53岁,平均年龄40岁,病变分别位于左桡骨远端、左小指内侧和右侧尺骨冠状突。显微镜下观察均由分化成熟的软骨、骨以及纤维组织构成,3种成分无规律排列,具有特征性的"蓝骨"和软骨细胞的不典型性。
BPOP是一种罕见的骨软骨瘤样增生病变,其诊断及鉴别诊断主要依据影像学和病理形态学特征。
版权归中华医学会所有。
未经授权,不得转载、摘编本刊文章,不得使用本刊的版式设计。
除非特别声明,本刊刊出的所有文章不代表中华医学会和本刊编委会的观点。
奇异性骨旁骨软骨瘤样增生(bizarre parosteal osteochodromatous proliferation,BPOP)也称为Nora病(Nora lesion,NL),是一种罕见的良性增生性病变,主要发生于手足部小骨的骨旁。BPOP由Nora等[1]于1983年首次描述,迄今仅有200余例报道,国内仅见极少数个案报道。BPOP具有特征性的影像学和组织病理学表现,如对其认识不够,极易误诊为骨的其他肿瘤和瘤样病变。我们收集3例BPOP病例,分析其临床及影像学特点、组织病理形态学特征,探讨其诊断和鉴别诊断要点,并结合文献复习报道如下。
收集2013年5月至2015年2月3例诊断为BPOP患者的临床资料,其中1例为上海瑞金医院会诊病例,2例为泰州市人民医院病例。3例患者中,女性1例,男性2例,年龄24~53岁,平均年龄40岁,病变分别位于左桡骨远端、左小指内侧和右侧尺骨冠状突,病灶大小分别为2.0 cm×1.5 cm×1.5 cm、1.0 cm×1.0 cm×0.6 cm、3.0 cm×2.0 cm×1.0 cm。
所有病变标本均经4%中性甲醛溶液固定,酸性脱钙液脱钙处理,脱钙后置于脱酸液脱酸1 h,流水冲洗10 min,常规脱水后石蜡包埋,4 μm厚切片,HE染色,光学显微镜观察。
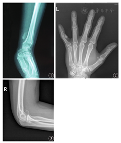
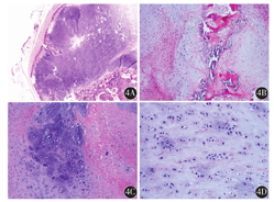
3例患者术后分别随访39、28、18个月均未复发和转移。X线检查显示:3例均为单发性肿块,表现为附着骨皮质表面的不规则、不均匀钙化或骨化病变,边界清晰,宿主骨骨皮质连续完整,病变与附着骨骨髓腔无延续(图1、图2、图3)。大体检查:送检物均为破碎组织,内含骨及软骨组织。光学显微镜下观察:3例病变镜下特征类似,均由分化成熟的软骨、骨以及纤维组织混合构成,三种成分的排列无规律;软骨细胞丰富,细胞具有轻度异型性,核增大,可见核仁与少量双核细胞;软骨化骨成分和软骨岛与骨小梁之间的纤维组织均分化成熟,缺乏细胞学异型性;3例病变组织中均见特征性"蓝骨"成分(图4)。




4A:病灶边界清楚×40;4B:病灶由分化成熟的骨、软骨和纤维组织混杂组成×100;4C:特征性的"蓝骨" ×200;4D:软骨细胞具有轻度异型性,见少量双核细胞×400
BPOP最常累及手足近端小骨。近年来文献陆续报道了发生于其他部位的BPOP,包括桡骨、尺骨、腓骨、股骨、胫骨,肱骨、颅骨、颧骨、上颌骨、下颚骨及鼻骨等,但均极为罕见[2,3,4,5,6,7,8]。目前国内报道不足20例,可能与缺乏对本病的认识有关[9,10,11]。BPOP患者年龄范围较广,从8岁到73岁均可发生,但发病高峰为20~40岁,无明显性别差异。病灶体积通常较小,直径常<3 cm,病史较长,生长缓慢,1/3的患者存在外伤史,临床上可表现为不同程度的局部隆起与疼痛,部分患者可伴有病变外周皮肤充血以及红斑,也有皮肤溃疡与坏疽的相关报道[12]。BPOP具有较高复发率,约50%的病例术后复发,但鲜见恶变或转移的报道,目前普遍认同局部手术扩大切除是其主要治疗手段[13]。Mors等[2]报道,充分的手术切缘或术中冷冻快速病理证实手术切缘阴性可以显著降低术后复发率,当然术后长期随访是必要的。本组3例BPOP中1例发生于指骨表面,2例发生于长骨表面,均接受了局部扩大切除手术,3例术后分别随访18、28、39个月均无复发,目前仍在进一步随访中。
BPOP具有独特的影像学和组织学特征,影像学上表现为骨表面境界清楚、质地不均的钙化性肿块,突入周围软组织内,无宿主骨皮质破坏及骨髓腔延续。组织学主要特征:病变由骨、软骨以及纤维三种成分杂乱构成,通常可观察到位于肿块表面的软骨帽。软骨成分不仅富于细胞,而且细胞常较大并伴有轻度异型性(故名"奇异性" ),这也是该病易误诊的重要原因之一。在脱钙后的HE切片中,通常发现蓝染骨或软骨基质,即特征性"蓝骨" ,"蓝骨"成分是诊断BPOP的主要组织学依据之一[14]。
BPOP作为一种罕见的骨软骨瘤性增生性病变,需要注意与下列疾病鉴别。(1)骨软骨瘤:骨软骨瘤多发于长骨干骺端,而罕见于短骨,影像学表现为骨小梁与宿主骨的髓质骨延续。组织学多显示特征性的分层结构,即外层为纤维膜,中层为分化成熟的透明软骨帽,内层为成熟的板层骨(软骨化骨),而缺乏BPOP的特征性"蓝骨"成分。(2)骨外软骨瘤:骨外软骨瘤也多发于手足部指趾骨旁,具有明显的软骨和软骨化骨,呈分叶状、结节状排列,但缺乏BPOP的纤维成分及特征性"蓝骨" 。(3)甲下外生性骨疣:甲下外生性骨疣是一种累及指(趾)甲床的骨软骨瘤样增生,最常累及拇趾,多继发于外伤后,患者疼痛明显,常继发感染并形成溃疡。影像学上表现为骨表面外生性骨性肿块,病变直径通常<1 cm,病变与宿主骨髓腔不连续。光学显微镜下显示由外到内依次为纤维膜、纤维软骨、梁状软骨化骨,梁状骨之间为疏松排列的纤维细胞,无BPOP特征性的"蓝骨" 。(4)骨化性肌炎:骨化性肌炎多位于骨旁软组织内,是局部的、自限性修复性疾病,最常见的部位是肘关节、大腿、膝关节、肩关节及臀部,而极少位于手足部,临床常有明确的创伤史。X线表现为特征性的分层状"蛋壳"样骨化;光学显微镜下显示病灶周边为成熟骨小梁而中央为增生活跃的纤维组织和骨样组织,病变中罕见软骨成分,也无BPOP的特征性"蓝骨" 。(5)软骨肉瘤:软骨肉瘤与BPOP在发病部位、临床表现、影像学特征及组织学形态上均具有显著差别,前者是最常见的骨原发性恶性肿瘤之一,绝大多数患者年龄>50岁,极少发生于手足短骨,影像学表现为溶骨性骨质破坏,常伴有骨旁软组织侵犯。光学显微镜下最显著的组织学特征是肿瘤侵袭骨皮质或在骨松质中渗透,而无BPOP纤维及"蓝骨"成分。(6)骨膜软骨肉瘤:骨膜软骨肉瘤是极为罕见的软骨肉瘤亚型,常发生于长骨骨干或由局部骨软骨瘤恶变而来。除影像学显示骨皮质侵犯、破坏外,光学显微镜下显示恶性细胞形态学特点,异型骨母细胞及成纤维细胞侵袭周边组织为其特征性表现。
总之,BPOP是一种罕见的良性骨软骨瘤性增生性病变,可能因其软骨细胞的异型性和诊断经验不足而误诊。当遇到骨旁成骨、成纤维、成软骨病变时,应仔细观察梭形细胞、软骨细胞有无异型性,是否出现特征的形态学表现("蓝骨" )等,是否有侵犯行为等,并密切结合临床和影像学结果可有效避免误诊。
无





















