
探讨肾上腺支气管源性囊肿的起源、发病特点、影像学和病理特征以及治疗方法。
结合文献复习,回顾性分析2008年1月—2015年3月南京医科大学附属南京医院(南京市第一医院)泌尿外科收治的3例肾上腺支气管源性囊肿患者的临床资料,其中男1例、女2例,囊肿均为偶然发现,无明显临床表现。CT检查囊肿位于左侧后腹腔肾上腺部位;尿醛固酮稍高。3例患者均在全身麻醉下行腹腔镜肾上腺肿瘤切除术。
3例患者术后均恢复良好,无相关并发症发生,切口愈合佳,痊愈出院。术后病理诊断:肾上腺支气管源性囊肿,其中1例合并囊肿周围炎症。3例患者分别随访6、12、24个月,腹部CT平扫提示囊肿均未复发。
肾上腺支气管源性囊肿较为罕见,误诊率高。CT检查可见肾上腺部位的囊性占位,表现为等密度或高密度,缺乏特异性。肾上腺支气管源性囊肿术前确诊困难,病理学检查为确诊的主要方法;腹腔镜下囊肿切除为现阶段治疗肾上腺支气管源性囊肿的首选方法。
版权归中华医学会所有。
未经授权,不得转载、摘编本刊文章,不得使用本刊的版式设计。
除非特别声明,本刊刊出的所有文章不代表中华医学会和本刊编委会的观点。
支气管源性囊肿是一种先天性疾病,在胚胎发育的3~6周,由原始前肠发育异常所致。超过90%的支气管源性囊肿位于纵隔及肺部,位于肾上腺的支气管源性囊肿十分罕见[1]。2008年1月—2015年3月,南京医科大学附属南京医院(南京市第一医院)泌尿外科收治肾上腺支气管源性囊肿患者3例,现结合文献复习对其临床资料进行回顾性分析,旨在总结该病的诊断、治疗方法以及预后情况。
本组3例患者,均为体检偶然发现,CT检查病变位于左侧后腹腔肾上腺部位。患者均无明显临床表现。入院完善各项检查后,均在全身麻醉下行腹腔镜肾上腺肿瘤切除术。
患者1,男,44岁。"体检发现左肾上腺占位8 d"于2010年6月入院。入院查体:血压120/80 mmHg(1 mmHg=0.133 kPa),无头晕、头痛,无乏力,肾区无叩击痛。CT检查示左侧肾上腺占位,有完整包膜,边缘光滑,大小约7 cm×6.5 cm×6 cm,CT值10 HU;血浆儿茶酚胺、肾素、游离皮质醇、醛固酮未见异常。尿醛固酮18.52 μg/24 h,血钾3.2 mmol/L。临床诊断:左肾上腺占位,畸胎瘤可能。
患者2,女,48岁。因"体检发现左肾上腺占位5年,伴左上腹胀痛1个月"于2015年3月入院。入院检查:血压138/80 mmHg,头颈部无异常,腹软,无压痛,左肾区无压痛,叩击痛(±)。血浆皮质醇、醛固酮、儿茶酚胺正常,血浆醛固酮/肾素活性比值为94.55。CT检查示左肾上腺异常低密度灶,囊壁光滑,囊内密度较周围低,大小约5 cm×3 cm×3 cm,CT值12 HU。临床诊断为左侧肾上腺肿瘤。
患者3,女,48岁。因"咳嗽伴间断低热2个月,体检发现肾上腺肿物3 d",于2008年1月入院。患者2个月前始出现咳嗽伴有低热,间断发作。在当地医院以"肺炎"行抗感染等治疗,短暂好转后再发。入院查体:体温38.2 ℃,左肺下部闻及少量湿罗音。血常规示白细胞计数13.1×109/L,中性粒细胞63%。CT示左侧肾上腺等密度类圆形占位,大小约5.5 cm×3.5 cm×4 cm,CT值为32 HU。临床诊断:左肾上腺肿瘤,左下肺炎。
全身麻醉。取右侧卧位,于脐上横行切开皮肤约1 cm,气腹成功后,监视下分别于左腋前线平脐、左锁骨中线肋缘下、左腋中线12肋缘下置入12 mm、5 mm、5 mm Trocar,置入相应腹腔镜器械。在左肾上极侧面、结肠脾区上方、脾脏下方所形成的三角区用超声刀打开腹膜并推向内侧,保留左肾周筋膜,打开肾周筋膜向内下方分离。在肾上腺区探查:患者1见左肾上腺肿瘤位于左肾上极,呈囊性,分离囊肿,见囊肿壁与肾上腺组织粘连,分离困难;切开囊肿,见囊壁增厚,内有脓性液体流出,切除部分囊壁及肾上腺。患者2,见左肾上极内侧肿瘤,呈囊状改变,有包膜,分离并完整切除肿瘤,剖开见白色胶冻样组织。患者3,见左肾上极侧面、结肠脾区上方、脾脏下方囊性占位,与周围组织粘连并见明显炎性渗出;囊肿壁增厚,内有脓性、胶冻样液体流出,清除脓液;向下分离至脾脏后方,膈肌下缘,仍见囊壁组织,行囊肿壁切除术。3例患者术毕检查创面无活动性出血,常规关闭腹腔。术后将切除标本送病理检查。
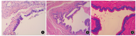
3例患者手术顺利,手术用时分别为75 min、2 h、2 h,出血量为150、100、200 mL。3例患者术后均恢复良好,无相关并发症发生,切口均一期愈合,痊愈出院。(1)患者1术后病理报告:少量肾上腺组织;囊壁组织为纤维结缔组织,其中衬覆纤毛柱状上皮,间有杯状细胞;组织内可见混合腺体、软骨组织;肾上腺皮质增生,支气管源性囊肿(图1)。术后随访12个月,腹部CT检查囊肿无复发。(2)患者2病理报告:囊壁组织为大量纤维结缔组织,内部衬覆假复层纤毛柱状上皮,可见杯状细胞;支气管源性囊肿(图2)。术后随访6个月,腹部CT检查囊肿未见复发。(3)患者3术后病理报告:组织囊壁切缘呈囊性,纤维结缔组织内衬假复层纤毛柱状上皮,上皮内见杯状细胞,上皮下有基底膜,大量炎性细胞浸润,组织中可见少量软骨及肌组织;支气管源性囊肿伴炎症(图3)。术后随访24个月,腹部CT检查囊肿未见复发。


支气管源性囊肿的形成机制目前尚不明确,比较公认的是Sumiyoshi等[2]提出的胚芽脱落移位假说:在胚芽发育早期,胸腔和腹腔为一个整体;在胚芽第5周左右开始形成原始气管、支气管树,此时部分不正常胚芽脱落、移位;第6周时横隔将胸腔和腹腔分隔开,而脱落移位至尾侧的胚芽则发育成腹膜后囊肿;由于胚胎发育时原始前肠和中肠有自左向右的逆时针转位,脱落的胚芽未随之向右移动,故绝大多数腹膜后支气管源性囊肿位于左侧。本组3例患者,病变均位于左侧后腹腔肾上腺部位,符合上述规律。另外还有分离不全假说、潜能分化假说、异常分化假说等。
支气管源性囊肿可发生于任何年龄,发病率为1/42 000~1/68 000[3,4,5]。多发于肺、纵隔,其次为横隔、胃壁、甲状腺、皮下、喉部等,亦有位于心包、颅内、脊柱的报道[6,7]。腹膜后支气管源性囊肿罕见,发病率约占肿瘤发病的0.03 %[8]。82%腹膜后支气管源性囊肿位于胃后三角,毗邻横隔膜、脾静脉,中线偏左[9]。亦有双侧腹膜后支气管源性囊肿的报道[10,11]。
位于腹膜后的支气管源性囊肿一般无特殊临床表现,可出现腰痛、腹痛、咳嗽、恶心、呕吐、发热等,多因囊肿增大压迫周围组织或感染所致。Dogget等[12]报道1例腹膜后支气管源性囊肿,其症状与嗜铬细胞瘤类似,血浆儿茶酚胺升高,切除囊肿后血浆儿茶酚胺降至正常水平,分析原因可能为囊肿压迫肾上腺导致肾上腺激素分泌异常所致。本组3例均为体检发现,并无特异性临床症状,入院后肾上腺激素检查中,患者1尿醛固酮水平偏高,患者2血浆醛固酮/肾素活性比值为94.55。患者2入院前伴有上腹部痛,术后症状消失,但并不能确定腹痛为囊肿压迫所致。患者3伴有发热,术后病理证实囊肿伴感染,经抗感染治疗症状消失。
由于本病无特异性临床症状,早期诊断困难。CT检查可见肾上腺低密度或等密度囊性占位,须与肾上腺髓样脂肪瘤、后腹膜神经源性肿瘤、胰尾囊肿等鉴别[13]。CT和MRI是目前公认的诊断该病较有价值的手段。CT可见边界清楚的类圆形肿物,内部密度常较边缘低,亦可为等密度,少数病例可为高密度改变;因支气管源性囊肿可分泌较多蛋白质,故MRI中T1WI可呈高信号及更短的TlWI弛豫时间,而长T2WI是该病较具特征性的影像学表现[14,15]。Jiang等[16]报道,在甲状腺肿瘤患者行131I检查时意外发现后腹腔支气管源性囊肿对131I的异常摄取。Maly等[17]认为,位于后腹腔的支气管源性囊肿可采用超声内镜引导下细针穿刺活检确诊。但病理检查与囊性畸胎瘤鉴别较困难,囊性畸胎瘤具有内胚层衍生的中胚层和外胚层支气管及其他结构,而支气管源性囊肿也可出现外胚层分化,并且该囊肿内也可能含有横纹肌、鳞状细胞的分化。因此,Onol等[18]提出,理论上仅凭单纯病理切片并不能完全排除囊性畸胎瘤可能,在巨检及镜检不能提供更多证据的情况下,需进行免疫组织化学检测进一步明确诊断。本组3例,病理标本较好地保留了支气管源性囊肿外观的完整性及组织结构特征,结合巨检及病理切片,确诊为支气管源性囊肿。。
儿童因胸腔、腹腔较小,患支气管源性囊肿时容易出现临床症状,故应该积极手术治疗,避免影响其纵隔内脏系统的发育[19]。对于成年支气管源性囊肿的治疗方法目前尚存争议。Obando等[20]认为,由超声内镜引导下细针穿刺活检确诊为支气管源性囊肿的患者没有必要再行手术切除。由于国外已有支气管源性囊肿恶变的报道[21], 因而如患者存在临床症状或不能排除恶性变时,应积极采取手术治疗。而大多数学者倾向于无论是否有症状,都应手术切除支气管源性囊肿[22,23,24]。由于肾上腺支气管源性囊肿往往位置较深,毗邻肾上腺、脾脏等,残留囊壁组织有复发、恶变风险,开腹手术切除时较易损伤周围脏器且难以完整切除,故腹腔镜手术较开放手术具有成功率高、并发症少、患者恢复快等明显的优势,可作为治疗肾上腺支气管囊肿的首选。本组3例患者均行腹腔镜手术治疗,患者预后较好,随访期间未见复发。
总之,虽然肾上腺支气管源性囊肿极为罕见且术前难以明确诊断,但是随着近年来对其研究的不断深入以及腹腔镜技术的不断发展,肾上腺支气管源性囊肿的诊断及治疗将不再是困扰临床工作者的难题。





















