
探讨婴儿期阑尾盲肠多重套叠并急性阑尾炎的临床病理和诊治方法。
回顾性分析1例阑尾盲肠多重套叠并急性阑尾炎8月龄婴儿的临床资料,并通过PubMed、ProQuest、中国知网(CNKI)、万方和维普数据库中检索2016年5月前的报道并复习相关文献资料,对各类儿童阑尾套叠进行系统性综述。
本例阑尾盲肠多重套叠并急性阑尾炎经手术诊断,整复套叠后切除阑尾并经病理证实,术后顺利康复。共检索到215例阑尾套叠中儿童52例,阑尾盲肠套叠136例,仅3例阑尾自身套叠中有2例为儿童;检索到肠套叠并阑尾炎66例,儿童59例,其中小于1岁的患儿27例,回结型肠套叠43例,此外,检索到回肠盲肠型套叠7例和盲肠盲肠型套叠并阑尾炎1例均为成人患者,所有病例均行手术治疗而痊愈。儿童阑尾盲肠多重套叠并急性阑尾炎者未见报道。
婴儿阑尾盲肠多重套叠并急性阑尾炎罕见,如套叠未导致回盲瓣排空完全梗阻则无典型症状体征,诊断困难,易误、漏诊。因此,对经保守治疗不能解除肠梗阻且不能解释其原因时,只要B型超声提示"同心圆征"或"套筒征"就应果断行手术探查以明确诊断并及时治疗。
版权归中华医学会所有。
未经授权,不得转载、摘编本刊文章,不得使用本刊的版式设计。
除非特别声明,本刊刊出的所有文章不代表中华医学会和本刊编委会的观点。
肠套叠(intussusception)是指某段肠管及其相应系膜套入临近肠管内引起的肠梗阻,通常是近端肠管及其系膜套入远端肠管,极少发生逆行套叠,这是一种临床常见问题。从胃十二指肠到直肠均可发生套叠,以回肠经回盲部套入升结肠的回盲部套叠最为多见,但多为一处套叠[1,2,3]。阑尾套叠、阑尾套入盲肠、盲肠套叠、盲肠套入升结肠等分别单独存在的套叠形式也多见于个案报道并多发生于成人[4,5,6,7,8]。阑尾炎合并肠套叠亦少见,且通常为回结型或回结结型[9,10,11]。阑尾仅为套入的组成部分,发生于婴儿阑尾盲肠多重套叠合并急性阑尾炎者却未见报道。本文报告1例并结合文献复习对该病的临床病理和诊治问题进行讨论。
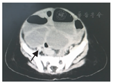
患儿,女,8月龄。因腹泻6 d并腹胀、呕吐1 d以不全性肠梗阻、水盐平衡紊乱收住院。入院前6 d患儿无明显诱因出现腹泻,腹泻物为黄色稀便,每天3~4次,在当地县医院诊断为"肠胃炎" ,予以输液治疗(具体药物不详)但症状无缓解。入院前1 d出现腹胀、呕吐,呕吐物为胃内容物,考虑"肠梗阻"而转来我院。病程中无喂养不当或不洁饮食史,无发热、血便等,食欲不振。体检:T 36.5 ℃,P 130次/min,R 27次/min,体重9 kg。精神萎靡,轻度脱水征,心肺检查未见异常;腹部膨隆,未见胃肠型及蠕动波,腹软,腹部触诊无哭闹,无腹肌紧张,未扪及包块,未引出明显反跳痛,腹中部叩诊呈鼓音;肠鸣音可闻及2次/min,弱而单调,未闻及气过水声;肛门指检未触及包块,退出指套仅粪染无血迹。辅助检查:血常规WBC 12.87×109/L、N 0.68、L 0.25,RBC 4.89×1012/L、Hb 122 g/L、HCT 0.37,PLT 747×109/L,hsCRP>5 mg/L,CRP 20.1 mg/L;电解质K+ 5 mmol/L,Na+ 131 mmol/L,Cl- 91 mmol/L,Mg2+ 1.17 mmol/L,Ca2+ 2.52 mmol/L;肝肾功能正常,大便隐血试验阴性;腹部X线平片、彩色超声及CT平扫均考虑肠梗阻(图1)。入院诊断:婴儿腹泻、轻度脱水、电解质紊乱、急性肠梗阻。


入院后经胃肠减压、补液、补充电解质和营养支持治疗,患儿病情好转,有食欲,哭闹较前减少,精神状态较前有改善,间断有黄色稀便排除。复查腹部X线平片提示肠梗阻治疗后改变影像,与原片对比气液平面数量明显减少。于入院第3天暂停胃肠减压试进食但仍留置胃管,第4天患儿呕吐、腹胀再次出现,复查血常规仅WBC上升(18.01×109/L、N 0.52,L 0.28、RBC 4.7×1012/L、Hb 118 g/L、HCT 0.37),电解质正常,腹部彩色超声提示肠管扩张、右半结肠"同心圆"声像,但腹部未扪及包快,复查大便隐血试验阴性。予禁食等按"肠梗阻"保守治疗继续观察病情变化。患儿仍时有黄色稀便排除,腹胀时显时隐。入院第6天即发病后第12天,患儿腹胀加重,复查腹部彩色超声提示肠管扩张和"同心圆"征仍存在,经保守治疗难以解除梗阻,急诊行剖腹探查术。
取脐上偏右横切口入腹,有中等量淡黄色清亮腹水溢出,小肠明显扩张,肠系膜淋巴结多发肿大,回盲部明显水肿,回盲部肠套叠但回肠未套入,为盲肠套叠,向盲肠盲端手法整复盲肠套叠肠管,解套后见阑尾充血水肿有脓苔,纤维素粘连于盲肠,松解纤维粘连后见阑尾套入盲肠并予以整复,但发现阑尾自身套叠,套头进入盲肠,经肠外整复退套困难,遂将手指经肠外突入盲肠腔内推挤阑尾套头整复套叠,解套后见阑尾套叠的鞘部破裂,除套叠的鞘部呈白色外均未见明显阑尾组织缺血的征象,阑尾大小约5.0 cm×1.5 cm。术中诊断为阑尾盲肠多重套叠并不全性肠梗阻、急性阑尾炎,即套叠方式为"阑尾套入阑尾-阑尾套入盲肠-盲肠套入盲肠" (图2)。行阑尾切除、肠梗阻内减压术,肠内容物通过回盲部顺利,冲洗腹腔后关腹结束手术,术毕扩肛指套亦无血染。


检索PubMed、ProQuest、中国知网(CNKI)、万方和维普数据库。按检索关键词"肠套叠(intussusception)、阑尾套叠及肠套叠并阑尾炎(appendiceal intussusception、intussusception and appendicitis)、婴儿(infant)"等检索无本例相关条目报道。去除关键词"婴儿(infant)"后扩大范围检索。检索截止日期2016年5月。病例纳入标准:①经手术诊断阑尾套叠及肠套叠并阑尾炎并经病理证实;②扩大检索范围,患者无年龄限制;③对同一作者、医院、研究所、数据库重复报道病例不重复计算。
术后常规治疗。患儿术后24 h解黄色稀便,36 h后开始进食,恢复顺利,切口一期愈合,术后6 d治愈出院。术中采集腹水培养无细菌生长,术后病理检查报告为急性化脓性阑尾炎。出院诊断:婴儿腹泻、阑尾盲肠多重套叠并急性化脓性阑尾炎、不全性肠梗阻、轻度脱水和电解质紊乱。
检索出"阑尾套叠" 215例。其中,女性146例,儿童52例。在明确记录套叠形式的文献中,阑尾盲肠套叠者为136例;阑尾自身套叠者3例,其中2例为儿童。术前有右下腹疼痛者168例,伴肠梗阻表现者2例且均为成人。所有病例均行手术治疗,1例行常规阑尾切除及盲肠壁修补术,2例未能整复者作全阑尾及盲肠部分切除术,余均行阑尾切除术,术后均痊愈出院。
检索出"肠套叠并阑尾炎" 66例,男性42例,儿童59例,其中小于1岁的患儿27例。有明确记录套叠形式的病例中,65%(43/66)为回结型肠套叠,其中儿童32例。病理检查报告为单纯性阑尾炎38例中儿童36例,化脓性阑尾炎20例中18例为儿童,急性坏疽性阑尾炎3例中儿童2例,慢性阑尾炎3例均为婴幼儿,阑尾粘液囊肿2例均为成人。临床多表现为腹痛或哭闹、呕吐。在肠套叠复位后6例行回盲部固定术,全组病例均行阑尾切除术,患者均痊愈出院,无手术并发症。
检索到回肠盲肠型肠套叠7例和盲肠盲肠型肠套叠并阑尾炎1例均为成人。儿童阑尾盲肠多重套叠并急性阑尾炎者未见报道。
肠套叠可发生于任何年龄,急性肠梗阻是共同的临床表现,但不同年龄患者的临床特点存在差异,或表现出相应年龄的特征。急性肠套叠最常发生于儿童,尤以4~10月龄婴儿多见,男略多于女[12]。以阵发性哭闹、果酱色大便和腹部腊肠样包块为其特征性表现,常无明确原因[13]。4月龄以下小婴儿肠套叠发病率不高,往往起病急且病情进展迅速,易发生肠坏死[14]。发生于年龄大于2岁以上者则多为继发性肠套叠,尤其成年人、老年人肠套叠常在原发病变基础上发生[15]。但临床表现多不典型,诊断较困难[16]。部分可通过影像技术和内诊镜检查诊断,部分仍需术中才能诊断。甚至有文献报道,在右半结肠切除术后的病理解剖中才明确盲肠套叠的诊断[4]。
本例肠套叠经手术才明确诊断,也是在术中才逐渐明确多种套叠形式与阑尾炎同时存在,为阑尾自身套叠、阑尾套入盲肠和盲肠自身套叠等多重套叠形式。有文献报道仅阑尾肠套叠即阑尾套入盲肠的发病率不到0.01%[6,7,17,18]。而对于阑尾自身套叠或盲肠自身套叠或二者同时发生却未见明确发病率统计报告。本例回盲部多重套叠与阑尾炎同时存在,开腹后仅能作出肠套叠的诊断,具体病变和套叠形式是在肠套叠整复过程中才逐个显现,最终在整复了阑尾盲肠套叠、分离阑尾炎症粘连并辨认清楚阑尾根部后才能确认阑尾自身套叠的诊断。
阑尾套叠是一种少见病[19]。在可查到的中英文资料中,全球报道仅215例,多见于成年女性,儿童仅占总数的25%(54/215)。多继发于阑尾或盲肠的基础疾病,如阑尾黏液囊肿、错构瘤、子宫内膜异位症、阑尾先天性扩张畸形等[20,21,22,23]。多表现为阑尾套入盲肠的套叠形式,较少见于阑尾自身套叠或2种套叠形式同时存在的复杂型套叠。其中阑尾自身套叠仅报道3例[23,24]。尽管也可见阑尾炎与阑尾自身套叠同时存在的报道,但绝大多数患者并不具备典型肠套叠的特征表现,而是变化多样,如阑尾炎的表现、肠套叠的表现或反复发作右髂窝疼痛等,对不伴发肠套叠或炎症的单纯阑尾自身套叠者非手术不易获得诊断,因而常被误诊[25]。对于同时存在肠套叠或阑尾炎症者,即便B型超声、CT扫描可有提示,也往往以肠套叠或阑尾炎作为主要诊断而漏诊阑尾套叠,常需在术中才得以确诊[26,27]。本例无肠套叠或阑尾炎的典型表现,仅表现为低位不全性肠梗阻,系经保守治疗不能解除梗阻和2次B型超声提示"同心圆征" ,通过剖腹探查才得以诊断,这在文献中未见类似报道。
在术后回顾本例术前腹部CT表现,阑尾腔清晰可见(图1箭头所示),结合对入院后病情变化的观察和手术所见,本例应是在非侵袭性肠炎的基础上发生阑尾自身套叠,尽管发生阑尾套叠的机制不清楚,但发生炎症后阑尾壁水肿和管腔变狭小,先发生阑尾炎再套叠的可能性极小,在阑尾套叠的基础上继发阑尾急性化脓性感染符合阑尾炎发生的病因和病理基础。阑尾炎发生后,由于炎症渗出导致局部粘连诱发阑尾盲肠套叠即阑尾套入盲肠,随着套头向盲肠的深入而发生盲肠套叠,这一病理变化的发生才使腹部彩色超声能探及"同心圆征" ,但也使炎症的阑尾得以局部包裹,减少了炎症对腹腔和全身的影响,血液中仅WBC升高而其分类均无明显升高,腹水清亮且经培养无细菌生长。由于局部炎症的加重和对局部的刺激,导致回盲部水肿,加之同时存在盲肠套叠才影响回盲瓣的排空而引起不全性肠梗阻。因此,患儿前后两阶段病程中引起肠梗阻的原因是不同的,为初期的麻痹性和后期的机械性肠梗阻。
婴幼儿由腹泻导致脱水、内环境紊乱和肠梗阻较为常见。本例在我院治疗初期也被认为是这样一种病理生理过程,但治疗后肠梗阻未真正解除时就不能以腹泻、电解质紊乱来解释,只能另寻原因。尽管本例处在肠套叠的高发年龄段,但婴儿阑尾炎发生率低,整个处置过程中患儿均无血便、发热,除WBC升高外,多次大便隐血试验均阴性,腹部未触及包块且仅表现为不全性肠梗阻,腹部体征和全身表现均不支持阑尾炎或肠套叠甚至是多重套叠的诊断,这给疾病的诊断及病情判断增加了难度。本例尽管发生了阑尾套叠的鞘部破裂,但因阑尾套入盲肠后得到包裹而未出现腹膜炎和SIRS的表现,且由于从阑尾到盲肠管腔逐渐增大,是从小到大套入,短时间内不易发生肠(黏膜)坏死而排出果酱色大便,同时由于套入部仅到达盲肠,并未导致回盲瓣的排空完全受阻,因而也无完全性机械性肠梗阻的表现。
有作者认为对于缺乏典型临床表现的患儿应尽早行腹部B型超声检查,如发现"同心圆征"应考虑肠套叠的存在[28]。有作者甚至认为在B型超声发现同心圆征后也可采取有限条件的保守治疗,无好转时再行手术治疗[29]。本例尽管在入院后第4天腹部彩色超声提示同心圆声像,但有时水肿增厚的肠壁也会表现为类似超声声像,因而未行探查。直到入院第6天因腹胀再次加重复查腹部彩色超声仍提示同心圆声像,才果断行剖腹探查,使患儿得以及时诊断和治疗。
总之,婴儿阑尾盲肠多重套叠并急性阑尾炎极为罕见,对回盲瓣未完全梗阻者因症状体征不典型导致诊断困难,不仅易误诊也易漏诊。因此,对经保守治疗不能解除肠梗阻且不能解释其原因时,只要B型超声提示"同心圆征"或"套筒征"就应果断行手术探查以明确诊断并使病情得以及时治疗。
无





















