
版权归中华医学会所有。
未经授权,不得转载、摘编本刊文章,不得使用本刊的版式设计。
除非特别声明,本刊刊出的所有文章不代表中华医学会和本刊编委会的观点。
肠结核(intestinal tuberculosis)是由结核分枝杆菌侵犯肠道引起的慢性特异性感染,以回盲部多见[1]。发展中国家如印度、中国等均是结核病的高发区,而肠结核又是常见的肺外结核病[2],近几年结核的发病率呈逐渐增高趋势。目前,计算机断层扫描小肠造影(computer tomography enterography,CTE)已成为小肠疾病的首要检查方法[3]。传统的X线小肠造影检查作为CTE的补充,可动态观察小肠蠕动,能较好显示黏膜病变。磁共振小肠造影(magnetic resonance enterography,MRE)与CTE原理相同,同时MRI检查的无创、无辐射、软组织对比分辨率高、多层面成像、造影剂安全等优点,有助于小肠MRE检查的普及,特别是可作为儿童小肠检查的首选[4]。
病变主要发生于回盲部,也可发生于回盲瓣、邻近右半结肠和末端回肠。Zhao等[5]对47例肠结核患者的CTE特点进行了回顾性分析,发现虽然空肠、横结肠、左半结肠和直肠也有受累,但80%以上病灶都发生于回盲瓣、邻近右半结肠和末端回肠。增厚肠壁呈环形对称性增厚,即增厚肠管的系膜缘和游离缘均增厚。这与肠结核的典型溃疡特点有关,肠结核多为环绕肠壁一周的环形溃疡,因此肠壁表现为环形对称性增厚。增厚肠壁黏膜欠光整,可见凹凸不平,提示溃疡;有的黏膜呈结节状改变,提示增生性肉芽肿。
急性期由于黏膜下水肿,因此肠壁呈分层强化,可以分为2层,也可分为3层,表现为黏膜层伴或不伴浆膜层异常强化,呈高密度,黏膜下层由于水肿而呈现低密度。慢性期,黏膜下层由于纤维脂肪增生,肠管趋于均匀一致强化,分层征象不显著。
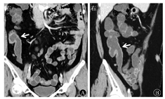
回盲瓣挛缩变形表现为回盲瓣位置抬高上提,这与病变修复过程中的纤维组织增生和瘢痕收缩有关。回盲瓣固定开口表现为受累回盲瓣呈"鱼嘴样"张开,并持续开放,形态固定不动(图1)。刘小伟等[6]对122例肠结核患者内镜下表现进行研究,结果发现50.8%的患者表现为受累回盲瓣固定开口。Zhao等[5]对141例CD患者和47例肠结核患者的CTE表现进行了鉴别诊断,并对有意义的单变量指标进行了Logistic回归分析,建立了数学回归方程,发现回盲瓣挛缩变形和固定开口这2个征象的特异度较高,分别为94.3%和97.9%。


为肠系膜淋巴结炎性增生的表现。增大的淋巴结主要分布在右结肠动脉旁,长径肿胀程度高于短径,因此肿大的淋巴结呈椭圆形,淋巴结也可呈环形强化,也可伴钙化,环形强化提示淋巴结干酪样坏死。其中,淋巴结环形强化诊断肠结核的特异度高达100%[5]。程利等[7]对69例肠结核患者的小肠影像学特征进行分析,发现16例患者的肠系膜淋巴结肿大,但未发现干酪样坏死和钙化淋巴结,在影像学上诊断肠结核较为困难。
为结核分枝杆菌播散至腹膜的表现,常提示结核性腹膜炎,并伴有腹水。增厚的腹膜和肠系膜增强扫描异常强化,伴有干酪样坏死时,呈环形强化改变。肠系膜增厚常导致肠管互相粘连,形成"团状"改变。不累及腹膜时,慢性期肠管周围可由于纤维脂肪增生而使肠管间距增宽。
当溃疡穿透至浆膜层时,可形成肠管周围脓肿,表现为肠管周围环形异常强化灶,中央呈液化坏死改变,并可见气泡。瘘管表现为肠管与邻近肌组织形成的管道样结构,管道内壁通常异常强化,并可见气体、液体等肠道内容物影。肠腔狭窄时,可引起肠梗阻,表现为狭窄近端肠管积气、积液扩张,伴有气液平面。肠外并发症在肠结核中较为少见,当出现肠外并发症时,在排除CD后,要考虑是否为肠结核[5]。
肠结核的MRE表现与CTE表现类似,但由于磁共振较高的软组织分辨率,对黏膜溃疡和干酪样坏死淋巴结的显示较好[8,9,10,11,12,13]。
病变可以仅累及回盲部,也可以回盲瓣为中心,累及邻近右半结肠和末端回肠。肠壁多为连续性增厚,累及的肠段范围较广。肠壁多为环形增厚,系膜缘和游离缘均受累,少数见盲肠内侧偏心性增厚。急性期,增厚的肠壁在T2单次激发快速自旋回波序列(T2 single-shot fast spin-echo,T2SSFSE)和稳态快速成像序列(fast imaging employing steady state acquisition,FIESTA)上呈分层改变,黏膜层和浆膜层呈低信号,黏膜下层水肿,呈高信号。典型的溃疡在FIESTA上显示清晰,表现为线样高信号。黏膜亦可呈结节状溃疡增生改变。慢性期,肠壁在T2SSFSE序列上呈均匀一致低信号,分层征象不显著[5]。
表现为受累肠段增强扫描较正常肠段强化增加,可呈分层强化改变,表现为黏膜层和浆膜层异常强化,呈高信号,黏膜下层水肿,强化减弱而呈低信号。慢性期,肠壁呈均匀一致中等强化,提示纤维组织增生。
与CTE表现一致,表现为回盲瓣位置上提,呈"鱼嘴样"张开,在MRI动态增强上呈持续开放状态,为慢性期回盲瓣的典型表现。
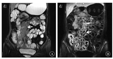
增强扫描增生肿大淋巴结呈环形强化改变,为结核最为特异性的表现,且较CT显示更清晰[14](图2)。


增厚的腹膜和肠系膜在FIESTA序列上呈低信号,增强扫描异常强化。
①多发小溃疡,表现为管腔轮廓不光滑呈毛刺状。各种形态、大小不同的溃疡,点状、袋状、全周性形成"面"状,可见瘢痕带。②肠管痉挛性狭窄,严重时出现"跳跃征"。以形成全周性狭窄为主,常继发近端肠管的明显扩张。③黏膜皱襞增粗紊乱,表现为黏膜皱襞增粗,钡剂涂布不良。④瘘管形成,溃疡穿破可形成瘘管,钡剂排泄到瘘管时有造影剂外溢现象[15]。
①肠管内肉芽组织增生,表现为管腔不规则狭窄,此时小肠排泄迟缓,通过障碍。肉芽组织过多时,表现为多发小息肉样充盈缺损。②肠管狭窄挛缩,表现为回盲部位置升高远离髂窝。③回盲瓣变形,表现为回盲瓣肥大,瓣口张开,与盲肠呈直线改变。
CD和肠结核是在临床工作中必须要鉴别的2种疾病。有研究指出二者的相互误诊率可达50%~70%[16,17,18,19,20,21,22,23]。CD可发生于消化道任何部位,以末端回肠和邻近右半结肠多见。病变肠管呈节段性、跳跃性分布,早期肠管多累及系膜缘,慢性期系膜缘缩短,游离缘呈假性憩室改变,肠管呈非对称性增厚改变,与肠结核表现明显不同。活动期常表现为肠系膜淋巴结增生肿大,但未见干酪样坏死和钙化,腹水也少见。当透壁性炎性反应穿透浆膜层时,肠管周围出现渗出、蜂窝织炎、脓肿,肠腔明显狭窄时形成肠梗阻,肠外表现较肠结核多见。Zhao等[5]研究发现淋巴结分布在右结肠动脉引流区、回盲瓣挛缩变形、回盲瓣固定开口,以及淋巴结中央坏死提示肠结核,而左半结肠受累、肠管非对称性受累、脓肿和梳状征则提示CD。
小肠淋巴瘤好发于末端回肠,肠壁多表现为浸润性增厚,增强扫描肠壁不见分层,肠腔不狭窄,呈典型的"动脉瘤样"扩张改变,肠管周围淋巴结肿大,常融合成团,包绕肠系膜血管,形成"夹心面包"征[24]。而肠结核好发于回盲瓣和邻近右半结肠和末端回肠,增强扫描由于黏膜下水肿肠壁常呈分层改变,肠腔可狭窄甚至肠梗阻,肠管周围淋巴结肿大常伴有环形强化和钙化。
总之,肠结核的影像学表现为多形性、多样性和多变性,典型的影像学表现诊断不难,不典型的影像学表现易误诊为小肠CD和T细胞淋巴瘤。因此,需要密切结合临床病史、实验室检查,提高疾病诊断准确率。





















