
介绍一种新的Bentall术后冠状动脉吻合口残余动脉瘤手术处理方法。
2011年3月至2012年12月,北京安贞医院心脏外科中心6例Bentall术后冠状动脉吻合口残余动脉瘤(CT显示左右冠状动脉开口金鱼眼样表现)的患者,均在低温体外循环下行同心圆环形补片法隔绝手术。剪一圆形补片,直径略大于动脉瘤口径,补片中心剪一圆形孔,孔径大小相当于冠状动脉开口;用4/0 prolene连续缝合将补片外缘与动脉瘤外缘(即初次手术人工血管开口)相吻合,用5/0 prolene连续缝合将补片内孔缘与冠状动脉口相吻合。
6例患者均无术后并发症及死亡,所有患者顺利康复出院,术后随访2年,复查残余动脉瘤完全消除(CT显示"金鱼眼"征消失)。
同心圆环形补片法能够较为有效地去除冠状动脉吻合口残余动脉瘤,术后早期并发症发生率及病死率明显减低,并且随访期疗效均确切满意。
版权归中华医学会所有。
未经授权,不得转载、摘编本刊文章,不得使用本刊的版式设计。
除非特别声明,本刊刊出的所有文章不代表中华医学会和本刊编委会的观点。
冠状动脉吻合口残余动脉瘤是Bentall手术后严重并发症之一,术后数月至数年间均可发病[1],Milano等[2]报道随访至(49±19)个月时发病率为6%。一旦吻合口残余动脉瘤发生破裂即导致致死性大出血。虽然初次手术时可以采取一定措施预防,但冠状动脉吻合口动脉瘤一经确诊,仍需低温体外循环下再次手术治疗[3]。再次手术常需再次行改良Cabro手术、加行冠状动脉旁路移植术等方法,手术费时且技术难度大,术后并发症多[4]。为改进手术技术操作,我们对6例Bentall术后冠状动脉吻合口残余动脉瘤患者实施了同心圆环形补片法隔绝手术,效果良好,报道如下。
本研究为回顾性分析。2011年3月至2012年12月,北京安贞医院心脏外科中心6例Bentall术后并发冠状动脉吻合口残余动脉瘤患者实施了同心圆环形补片隔绝手术。所有患者均为术后随诊复查CT血管造影(CTA)显示冠状动脉开口处残余动脉瘤(CT显示左右冠状动脉开口金鱼眼样表现,"金鱼眼"征),距初次主动脉夹层手术时间5~10年,平均8.1年。男4例,女2例,平均年龄(43±15)岁,马方综合征3例(表1)。

Bentall术后并发冠状动脉吻合口残余动脉瘤患者临床资料
Bentall术后并发冠状动脉吻合口残余动脉瘤患者临床资料
| 编号 | 性别 | 年龄(岁) | 瘤体位置 | 瘤体直径(mm) | 合并症 |
|---|---|---|---|---|---|
| 1 | 男 | 19 | 左侧冠脉 | 44 | 马方综合征 |
| 2 | 女 | 55 | 左侧冠脉 | 46 | 高血压 |
| 3 | 男 | 46 | 右侧冠脉 | 15 | 高血压 |
| 4 | 男 | 40 | 双侧冠脉 | 13、28 | 马方综合征 |
| 5 | 男 | 62 | 右侧冠脉 | 33 | 高血压 |
| 6 | 女 | 36 | 双侧冠脉 | 31、50 | 马方综合征;胸降主动脉覆膜支架植入术后 |
6例患者均在低温体外循环下行同心圆环形补片法隔绝手术。股动脉、右房及右上肺动脉插管建立体外循环,心脏停跳后切开升主动脉人工血管,暴露左右冠状动脉吻合口及残余动脉瘤;剪一圆形补片,直径略大于动脉瘤口径,补片中心剪一圆形孔,孔径大小相当于冠状动脉开口;用4/0 prolene连续缝合将补片外缘与动脉瘤外缘(即初次手术人工血管开口)相吻合,用5/0 prolene连续缝合将补片内孔缘与冠状动脉口相吻合。缝合人工血管,仔细排气,脱离体外循环机,鱼精蛋白中和肝素,常规止血关胸。
术后定期复查主动脉CTA,彩色多普勒心脏超声评价心功能状况、瓣膜功能,CTA为观察主动脉移植物及残余夹层的主要影像学检查,CTA检查时间分布在术后1个月内或出院前,术后6、12个月,以后定期每年复查1次。
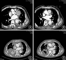
6例患者平均体外循环时间(107±17)min,阻断时间(14±5)min。所有患者无术后并发症发生,均顺利康复出院,平均术后随访24(12~60)个月,术后复查主动脉CTA,冠状动脉开口恢复正常形态,残余瘤体完全消失("金鱼眼"征消失,图1)。


Bentall手术由Bentall和De Bono[5]最早于1968年报道,目前已成为治疗主动脉根部瘤和A型主动脉夹层合并主动脉瓣关闭不全的标准术式[6]。由于A型主动脉夹层本身动脉壁术后病变进展或者马方综合征患者先天的主动脉壁发育缺陷薄弱的原因,冠状动脉开口移植至人工血管后,其冠状动脉吻合口在术后有可能形成类似金鱼眼样的残余动脉瘤,是Bentall术后较为严重的并发症,远期破裂会导致患者突然猝死,也是再次手术的主要原因之一[7,8]。本组6例患者中马方综合征3例,多宗报道已经证实马方综合征是二次主动脉手术的危险因素。尽管在初次手术时,许多术者采用"领子"技术、"纽扣"技术等改良方法,希望尽量减少这种情况,但远期结果还有待提高[9,10,11]。
Bentall术后冠状动脉吻合口残余动脉瘤一经确诊必须及时处理,以预防致死性破裂。超声引导下经皮向瘤体内注射栓塞剂或介入封堵漏口的方法目前已被用于治疗冠状动脉瘤,但它们存在瘤体破裂及损伤动脉壁的风险[12,13]。多数学者认为,低温体外循环下再次外科手术是治疗冠状动脉吻合口残余动脉瘤的主要方法[7,14]。接受此类手术的患者多合并马方综合征或A型主动脉夹层,动脉壁脆弱。二次手术患者先前手术造成的组织粘连,增加手术难度和风险、延长手术时间。对于需再次正中开胸的患者,术前应仔细阅读主动脉CTA,明确先前手术是否造成胸骨与心脏或血管的紧密粘连,术中开胸前要先行游离股动静脉以备紧急插管使用。对于人工血管同胸骨粘连紧密的患者,可在胸骨角附近行胸部T型切口,避免开胸时误伤人工血管。
此类患者以往再次手术改良Cabro手术,加行冠状动脉旁路移植术等方法相对手术时间长,术后并发症发生率及住院死亡率较高,有学者报道此类再次手术的院内死亡率为8%[4]。而且以往单纯缝合或者垫片加固漏口的方法,未覆盖冠状动脉吻合口全周,不能有效去除病变主动脉壁进展的危险因素,故有极大再次发生主动脉瘤风险,远期效果欠佳。
A型主动脉夹层本身动脉壁薄弱和术后残余瘤壁组织病变进展是吻合口残余动脉瘤形成的主要原因。既往在主动脉根部重建上,部分术者为冠状动脉吻合便利,采用类似于"城门洞"式方法,使得冠状动脉吻合口有可能残余病变的主动脉壁组织,增加了远期残余动脉瘤的风险。本组6例患者发生冠状动脉吻合口残余动脉瘤距上次手术5~10年,平均8.1年。临床实践中,笔者体会A型夹层初次手术时,行冠状动脉口腔内吻合既减少了残余动脉瘤的可能,又降低了冠状动脉吻合口扭曲的风险。此6例患者应用同心圆环形补片隔绝手术,应用同心圆涤纶补片对冠状动脉开口全周进行加固,加固了冠状动脉开口部位薄弱动脉壁组织,最大限度地减轻了冠状动脉开口所承受血流压力,同时增加了冠状动脉开口周围一定区域内动脉壁的强度,有效弥补了此类患者动脉壁先天或后天的薄弱环节。本手术较以往手术而言,操作简便易于术中实施,吻合口缝合牢靠,能够有效减少局部撕裂出血,手术止血时间缩短,术后并发症相应较少。6例患者平均体外循环时间(107±17)min,阻断时间(14±5)min。术后患者均无并发症发生,顺利康复出院。术后1年随访复查主动脉CTA,残余动脉瘤消除满意("金鱼眼"征消失)。总之,同心圆补片法能够较为有效地去除冠状动脉吻合口残余动脉瘤,术后早期并发症发生率及死亡率明显降低,并且随访期疗效均确切满意。





















