
版权归中华医学会所有。
未经授权,不得转载、摘编本刊文章,不得使用本刊的版式设计。
除非特别声明,本刊刊出的所有文章不代表中华医学会和本刊编委会的观点。
嗜酸细胞性胃肠炎(eosinophilic gastroenteritis, EG)是以胃肠道组织内存在弥漫性或局限性嗜酸性粒细胞异常浸润为特征的少见病。临床表现呈多样性,可有恶心、呕吐、腹痛、腹泻等,常伴外周血嗜酸性粒细胞升高。现回顾性分析上海华东医院消化内科收治的1例EG患者的病历资料,并探讨其诊断和治疗情况。
患者男,36岁,因腹痛半月余、加重2 d于2016年6月16日就诊于上海华东医院。患者半月余前无明显诱因出现阵发性中上腹痛,伴腹胀、纳差,无发热、呕吐、腹泻。粪便如常。入院前2 d症状加重,疼痛呈持续性。血常规:WBC计数为35.8×109/L,中性粒细胞占0.16,嗜酸性粒细胞占0.71,Hb为137 g/L,PLT计数为224×109/L。患者既往有过敏性哮喘病史,2014年哮喘急性发作时曾行血常规检查,WBC计数为24×109/L,嗜酸性粒细胞占0.63,未经特殊诊治。
入院体格检查示神志清,精神可。皮肤巩膜无黄染,浅表淋巴结未及肿大。心肺听诊无异常。腹平软,中上腹轻压痛,无反跳痛和肌肉收缩痉挛,腹部未扪及包块,肝脾肋下未及,肝区无叩痛,肠鸣音为3~4次/min,振水音阳性,移动性浊音阴性。
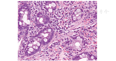
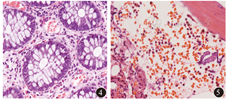
患者入院后完善相关检查,查血常规:WBC计数为36.2×109/L,中性粒细胞占0.145,嗜酸性粒细胞占0.766,淋巴细胞占0.068,Hb为142 g/L,PLT计数为239×109/L,嗜酸性粒细胞计数为27.7×109/L。ESR为8 mm/1 h,CRP为37.6 mg/L,IgE为1 261 kU/L。抗链球菌溶血素O为257 kIU/L,CA125为252.4 kU/L,余肿瘤标志物均在正常范围内。粪便隐血试验弱阳性。肝肾功能、HIV、梅毒抗体、甲状腺功能、风湿因子、抗中性粒细胞胞质抗体、T细胞酶联免疫斑点技术、寄生虫等检查均无异常发现。过敏原检测显示:户尘螨、狗毛皮屑、腰果均阳性,余正常。6月17日胃镜检查结果为浅表萎缩性胃炎伴胃潴留,十二指肠球炎(图1)。病理检查结果示(胃窦)少量浅表黏膜组织炎性反应(图2)。胸部和全腹部增强CT检查示两肺少量炎性改变;食管中下段、胃窦部和部分小肠(以中上腹小肠为主)肠壁水肿增厚,无明显管腔局限性狭窄,注射造影剂后强化均匀;结直肠无明显肠壁增厚和软组织肿块,腹腔少量积液;肝右后叶小囊肿;盆腔少量积液;其余未见明显异常(图3)。6月19日查血常规:WBC计数为36.3×109/L,中性粒细胞计数为8.78×109/L,嗜酸性粒细胞计数为25.7×109/L,淋巴细胞计数为1.31×109/L。6月24日肠镜检查结果显示,结直肠未见明显异常。病理检查结果示升结肠、横结肠、降结肠、乙状结肠和直肠黏膜有轻度淋巴细胞、浆细胞浸润,较多嗜酸性粒细胞浸润,约占炎性细胞的60%,>50个/高倍视野(图4)。6月27日骨髓涂片结果:骨髓有核细胞增生明显活跃,粒细胞与有核红细胞比例偏高,粒系增生活跃,嗜酸性粒细胞占0.58,嗜酸性粒细胞绝对值>1.5×109/L,红系比例减低,巨系增生明显活跃,PLT散在或成簇可见,提示嗜酸性粒细胞增多症(图5)。骨髓活组织检查(以下简称活检)示(髂后上棘)骨髓组织大小为0.4 cm×0.2 cm。结构脂肪和骨小梁存在,造血成分占小梁间隙的10%,粒、红、巨核系存在,未见明显异常改变。6月29日查血常规:WBC计数为27.3×109/L,中性粒细胞计数为2.7×109/L,嗜酸性粒细胞计数为21.38×109/L,淋巴细胞计数为2.48×109/L。免疫组织化学结果显示,CD61(巨核系+),CD20(B淋巴细胞+),CD79a(B淋巴细胞+),CD3(T淋巴细胞+),CD34(-),CD117(-),甘氨酸(+)。7月4日查血常规:WBC计数为9.6×109/L,中性粒细胞计数为5.51×109/L,嗜酸性粒细胞计数为0.61×109/L,淋巴细胞计数为2.66×109/L。抗感染治疗后复查胃镜,示食管息肉、浅表性胃炎伴糜烂、十二指肠球炎。病理检查结果为(胃窦)慢性非萎缩性胃炎、(十二指肠球部)黏膜急慢性炎。








患者为中青年男性,反复腹痛半月余,结合外周血嗜酸性粒细胞明显升高,肠镜和骨髓活检结果提示嗜酸性粒细胞浸润,并且嗜酸性粒细胞计数>20个/高倍视野,故考虑EG可能性大。
入院后根据检查结果予禁食、胃肠减压、抑酸等对症治疗和补液支持。考虑消化道感染不能除外,予头孢米诺钠联合奥硝唑氯化钠注射液抗感染治疗6 d。排除活动性感染等禁忌证后,于6月30日开始行甲泼尼龙40 mg/d静脉滴注治疗,并于7月4日开始调整为口服甲泼尼龙12 mg,2次/d,患者腹痛症状明显好转。患者外周血WBC、中性粒细胞、嗜酸性粒细胞和淋巴细胞水平呈下降趋势,于7月6日出院,继续随访中。
患者为青年男性,因"腹痛"入院,入院当天行胃镜检查,结果示浅表萎缩性胃炎伴胃潴留、十二指肠球炎。行禁食、胃肠减压、抑酸等治疗后症状缓解。根据实验室检查,首先考虑EG,但明确诊断需依靠病理检查结果。故进一步行肠镜检查,肠镜下未见明显异常,同时多点取活检以获得病理依据。6 d后复查胃镜,结果示食管下端黏膜条索状糜烂,贲门光整,胃窦黏膜光滑、充血、水肿。十二指肠球部和球降交界处黏膜充血、水肿,余未见异常。诊断结论为浅表性胃炎伴糜烂、十二指肠球炎。综上,患者内镜下表现相对无特异性,主要表现为黏膜充血、水肿、糜烂,以及十二指肠球部肠腔狭窄,已行多点活检,具体诊断有赖于病理检查明确。
该患者行CT检查,示食管中下段、胃窦部和部分小肠(中上腹小肠为主)肠壁水肿增厚,无明显管腔局限性狭窄。结直肠无明显肠壁增厚和软组织肿块,腹腔少量积液。EG患者的影像学改变通常是多变且非特异性的,甚至有部分患者缺乏相关影像学方面的表现。淋巴瘤、肉芽肿和IBD患者影像学也可表现为胃肠壁结节样改变和不规则增厚、跳跃性改变[1]。EG如果累及肌层、胃窦和幽门局部可能造成胃窦部远端狭窄和胃潴留。发生在小肠段可引起黏膜皱襞增厚、小肠扩张。病变位于结肠部分时可观察到明显的黏膜褶皱增厚。该患者目前外周血嗜酸性粒细胞和IgE明显升高,考虑EG可能性大,建议行胃肠镜活检明确诊断。
患者入院后第1次胃镜病理检查结果示(胃窦)少量浅表黏膜组织,并无特异性表现,但根据患者临床表现和实验室检查,仍高度怀疑EG。故进一步行肠镜病理检查,结果示升结肠、横结肠、降结肠、乙状结肠和直肠黏膜有轻度淋巴细胞、浆细胞浸润,有较多嗜酸性粒细胞浸润,约占炎性细胞的60%,>50个/高倍视野。同时骨髓涂片示骨髓有核细胞增生明显活跃,粒红比偏高,粒系增生活跃,嗜酸性粒细胞占0.58,比例增高,嗜酸性粒细胞绝对值>1.5×109/L,红系比例减低,巨系增生明显活跃,PLT散在或成簇可见,提示嗜酸性粒细胞增多症。骨髓活检示(髂后上棘)骨髓组织大小为0.4 cm×0.2 cm。结构脂肪和骨小梁存在,造血成分占小梁间隙的10%,粒、红、巨核系存在,未见明显异常改变。免疫组织化学示CD61(巨核系+),CD20(B淋巴细胞+),CD79a(B淋巴细胞+),CD3(T淋巴细胞+),CD34(-),CD117(-),甘氨酸(+)。患者肠镜和骨髓活检均提示嗜酸性粒细胞浸润,并且嗜酸性粒细胞计数>20个/高倍视野,故考虑EG可能性大[2]。由于部分患者的黏膜病变可呈不连续散在分布,所以内镜下应行多点活检,包括正常与非正常黏膜,以求提高诊断准确率。而对于活检阴性者,临床高度怀疑EG时也不应排除诊断。
该患者为青年男性,腹痛进行性加重半月余,既往有过敏性哮喘病史。入院后查血常规提示外周血嗜酸性粒细胞增多,行过敏原检测提示户尘螨、狗毛皮屑、腰果过敏,追问病史,患者有狗毛接触史。进一步行肠镜和骨髓活检提示嗜酸性粒细胞浸润,寄生虫检查为阴性。根据Talley等[3]提出的EG诊断标准:①存在胃肠道症状,尤其是进食特殊食物或药物后;②食管至结肠的病理检查示1个及以上部位可见嗜酸性粒细胞浸润,并有外周血嗜酸性粒细胞升高;③需排除寄生虫感染和消化道以外的嗜酸性粒细胞增多性疾病。故目前高度怀疑EG可能。参照Klein等[4]的研究,EG根据病变浸润深度不同分为3型:①黏膜型,该型最常见,病变主要累及黏膜和黏膜下层,可见大量嗜酸性粒细胞浸润,伴上皮细胞异常,肠绒毛可完全消失,导致缺铁、吸收不良、蛋白质丢失等,以恶心、呕吐、腹痛、腹胀等症状为主要表现。②肌型,该型以浸润肌层为主,胃肠壁增厚,呈结节状,可引起狭窄和梗阻,深层活检发现嗜酸性粒细胞浸润可考虑该诊断。③浆膜型,该型主要累及浆膜,临床表现为腹水、腹膜炎、腹腔积液等症状,浆膜腔积液中可见大量嗜酸性粒细胞。嗜酸性粒细胞浸润可局限于胃肠壁的某一层,也可出现全层浸润。结合该患者病史和检查结果,考虑该疾病3种分型可单独、交替或同时出现。有学者认为嗜酸性粒细胞最先侵犯胃肠道的黏膜层,由于此时症状不明显而常被忽略,随着病情的进展,嗜酸性粒细胞浸润至肌层或浆膜层。
结合患者临床表现、实验室、影像学、内镜、病理等相关检查,考虑诊断为EG。该病的治疗原则为避免接触过敏原,抑制变态反应,稳定肥大细胞,以期达到缓解症状,清除病变的目的,目前主要的治疗方法包括饮食支持、药物治疗和外科手术治疗。饮食治疗主要为立即停用确定或可疑的过敏食物。药物治疗中糖皮质激素是最有效的治疗手段,与其抑制嗜酸性粒细胞活化趋化因子、IL-3、IL-5和粒细胞-巨噬细胞集落刺激因子有关。用药方法为口服泼尼松20~40 mg/d,连续服用1~2周为1个疗程[5],治疗2个月后逐渐减量,治疗效果较好且并发症较少[6]。多数患者的临床症状可在用药后7~14 d缓解,外周血嗜酸性粒细胞水平恢复正常。以腹水为主要临床表现的患者,用药7~10 d腹水可完全消退。该病虽为自限性疾病,但未接受糖皮质激素治疗的患者易复发。对复发患者再次使用糖皮质激素仍可有效缓解症状[7]。对于糖皮质激素治疗后症状不能完全缓解的患者,可联合应用硫唑嘌呤(50~100 mg/d)。有研究显示,大环内酯类抗生素、色苷酸二钠、白三烯受体拮抗剂、抗组胺药物、IgE拮抗剂等对EG有一定治疗作用;对于发生胃肠道狭窄、梗阻并发症的患者,可行内镜下扩张;手术治疗仅为解除消化道梗阻,或怀疑肿瘤存在时进行,要严格掌握手术适应证;术后对症状仍持续或嗜酸性粒细胞仍升高的患者,可小剂量口服泼尼松(2.5~5.0 mg/d)直至完全缓解[8]。
EG可发生于各年龄段,无明显性别差异。目前该病病因一般认为与过敏原引起的变态反应有关[9]。EG临床表现多样,缺乏特异性,与病变累及部位、范围和程度相关。外周血嗜酸性粒细胞增高是EG的重要线索,但却并非必要的诊断条件,需要与寄生虫、恶性肿瘤、嗜酸性粒细胞增多综合征等同时存在胃肠道症状且外周血嗜酸性粒细胞增多的疾病相鉴别。EG的内镜下表现虽无特异性,但内镜下多点取活检对本病的确诊有极其重要的作用。对于食物或药物引起的EG,应及时去除过敏原,糖皮质激素是该病的主要治疗药物,对于无禁忌证的患者,应常规使用糖皮质激素治疗。对于部分停药后复发的患者,糖皮质激素治疗仍然有效。对于糖皮质激素治疗无效或不良反应较重者,可加用或改用其他药物治疗。该病以内科保守治疗为主,仅在内科保守治疗无效时考虑手术治疗。现以多学科讨论的模式对EG的诊断、治疗进行分析,以期得到更多临床同道的关注,推动多学科间合作与研究的进一步发展,获得更高级别的循证医学证据。





















