
版权归中华医学会所有。
未经授权,不得转载、摘编本刊文章,不得使用本刊的版式设计。
除非特别声明,本刊刊出的所有文章不代表中华医学会和本刊编委会的观点。
低蛋白血症是临床常见的症状之一,病因包括肝源性、肾源性、结核性、肿瘤性等。低蛋白血症患者血管胶体渗透压降低,发生多浆膜腔积液,会引起全身多处水肿。低蛋白血症的原因多种多样,尤其是当伴随症状较少时,给诊断造成困难。现回顾性分析西安西京消化病医院收治的1例疑难低蛋白血症患者的病历资料,探讨其诊断和治疗情况。
患者男,47岁,为某油田职工,因"腹胀伴双下肢水肿1个月余,加重5 d"于2013年3月17日就诊于西安西京消化病医院消化科。患者于2013年2月无明显诱因出现腹胀,伴双下肢凹陷性水肿,无腹痛,无发热、寒战,无夜间盗汗,无胸闷、心慌、气短等,排便约2~3次/d,呈稀糊状,排尿量少,食欲、食量尚可,体质量无明显变化。既往史、个人史和家族史无特殊。在当地医院行腹部超声检查提示:腹腔积液(少至中量),双侧胸腔积液(少量),肝脏及脾脏大小正常。胃镜检查提示:慢性萎缩性胃炎,幽门管溃疡,糜烂性十二指肠炎。结肠镜检查提示:慢性结肠炎(以左半结肠为主)。肝功能检查提示:白蛋白为17 g/L,余未见明显异常。血常规、肾功能、尿常规、心脏多普勒超声检查、肾脏超声检查和自身抗体系列等均正常。当地医院考虑多浆膜腔积液原因待查,给予利尿、补充白蛋白、营养支持等治疗,患者腹胀及双下肢水肿症状仍进行性加重。入院体格检查:体温为36.8 ℃,脉搏为100次/min,呼吸频率为18次/min,血压为108/76 mmHg(1 mmHg=0.133 kPa)。患者全身皮肤及巩膜未见黄染,全身浅表淋巴结未触及肿大;双肺底呼吸音消失,第7肋以下叩诊浊音;全腹无压痛及反跳痛;腹部移动性浊音阳性。患者双下肢重度凹陷性水肿,腰骶部及阴囊轻度水肿;上肢及下肢可触及多发的大小不等的皮下结节,质韧,活动度稍差,无明显触痛;见图1。


粪便隐血试验阳性。3次粪便培养均阴性。肝功能:白蛋白为15 g/L,总蛋白为34 g/L,ALT、AST、胆红素等均正常。肿瘤标志物:CA125为87.51 kU/L,AFP、CEA、CA19-9均正常。甲状腺功能:总三碘甲状腺原氨酸(total triiodothyronine,TT3)、总甲状腺素(total thyroxine,TT4)、游离三碘甲状腺原氨酸(free triiodothyronine,FT3)、游离甲状腺素(free thyroxine,FT4)均轻度降低,促甲状腺素(thyroid stimulating hormone,TSH)正常。PPD试验阴性,血清及腹水结核感染T细胞斑点试验(T-SPOT)阴性,腹水呈乳糜性,腹水结核PCR阴性,腹水细胞病理未查见癌细胞。血常规、尿常规、肾功能、24 h尿蛋白定量、离子5项(钾、钠、氯、总钙、二氧化碳)、心电图、心脏多普勒超声检查、自身抗体系列、ESR、门静脉系统血管多普勒超声检查均未见明显异常。腹部超声检查:①腹盆腔积液(中至大量);②脾囊肿可能,肝、胆、胰、双肾、膀胱、输尿管、前列腺均未见明显异常;③腹膜无增厚。胸腹部增强CT(图2):①肠系膜见大小不等的多个肿大淋巴结,最大者长径约2.4 cm,中腹部局部肠管增厚,淋巴瘤?不除外IBD,建议结合肠镜检查;结肠扩张积气,腹盆腔积液,睾丸鞘膜积液。②肝右叶近肝顶有小条索状低密度影,多系局部肝内胆管扩张;脾上极囊性低密度灶,考虑良性病变,脾内囊肿可能;胆囊炎,胆囊窝及腹膜后有稍肿大淋巴结。③双侧胸腔积液并双肺下叶膨胀不全,右肺中叶及左肺上叶舌段有少许渗出。


①多浆膜腔积液原因待查;②低蛋白血症。
针对低蛋白血症和多浆膜腔积液的常见原因进行排查。①肝硬化:患者既往无乙型肝炎、丙型肝炎和自身免疫性肝炎等病史,此次查肝功能仅白蛋白15 g/L,总蛋白34 g/L,余未见异常,腹部超声检查提示肝脏未见明显异常。②结核:患者PPD试验、血清T-SPOT、腹水T-SPOT和结核PCR均阴性。③肿瘤:腹水中未找到癌细胞,胸腹部增强CT显示胸、腹、盆腔广泛积液,肠系膜、腹膜后有多个肿大淋巴结,中腹部局部肠管明显增厚,血清肿瘤标志物CA125为87.51 kU/L,AFP、CEA、CA19-9均正常。④心源性:心脏多普勒超声检查、心电图均正常。⑤肾源性:肾功能、尿常规、24 h尿蛋白定量、肾脏多普勒超声检查均正常。⑥巴德-吉亚利综合征:门静脉系统血管多普勒超声检查未见异常。⑦结缔组织病:自身抗体系列未见明显异常。⑧内分泌系统疾病:TT3、TT4、FT3、FT4均轻度降低,TSH正常,请内分泌科会诊后考虑为全身状态差引起的继发性改变。两次抽取腹水,腹水均呈乳白色微混状态,乳糜试验阳性。腹水常规提示WBC计数为100×106/L,中性粒细胞占0.32,淋巴细胞占0.66。腹水生物化学检查提示:总蛋白为3.3 g/L,白蛋白为1.5 g/L,葡萄糖为5.5 mmol/L;腹水CA125为223 kU/L。粪便隐血试验阳性。考虑患者为乳糜性腹水,需排除是否存在淋巴管阻塞,遂行淋巴管核素显像,提示淋巴回流通畅,未见明显淋巴回流受阻或漏出表现。
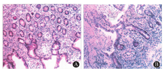
结合患者各项实验室检查结果,低蛋白血症原因暂不考虑肝源性、肾源性、心源性、巴德-吉亚利综合征、结缔组织病和内分泌系统疾病,同时考虑患者外院胃镜检查提示幽门管溃疡和糜烂性十二指肠炎,结肠镜检查提示慢性结肠炎,西安西京消化病医院腹部CT提示肠系膜及腹膜后肿大淋巴结、中腹部局部肠管明显增厚,因此考虑低蛋白血症与肠道病变丢失蛋白质有关,或肿瘤性疾病消耗所致。遂于2013年3月22日(入院后第5天)行小肠镜检查(图3),提示十二指肠球部以下广泛黏膜充血、水肿,有散在片状糜烂及白苔,表面粗糙;空肠中上段距离屈式韧带约50~120 cm、中下段180 cm以远呈节段性病变加重,水肿明显,有弥漫大片状糜烂相互融合,表面覆较厚黄白苔,有散在陈旧性出血。病理活组织检查(图4)提示,黏膜慢性炎急性活动伴缺血糜烂及溃疡,建议结合临床排除CD。




患者诊断尚未明确,病情却逐渐进展。入院后每天给予20 g白蛋白输注,同时给予利尿、维持水电解质平衡,以及充分营养支持治疗,并于小肠镜检查后加用美沙拉秦缓释片(4 g/d)治疗近2周后,复查血清白蛋白为13.4 g/L,且患者腹胀逐渐加重,伴胸闷、气短,并发展为全身水肿(颜面部、腰骶部、阴囊、双下肢重度凹陷性水肿,胸腔及腹腔积液增加,并出现心包积液),排便次数增至5~6次/d,同时出现发热,体温最高达38 ℃,血常规检查提示WBC及中性粒细胞占比均正常。
考虑患者低蛋白血症的病因难以确定,故请影像科、内分泌科、检验科、病理科、皮肤科等进行会诊,认为目前蛋白质仍主要从肠道丢失,诊断蛋白质丢失性肠病可成立,但原因仍不能完全明确;治疗上建议给予要素饮食,并将白蛋白提高至30 g/d输注,同时考虑患者暂无明显感染征象,且肠道渗出严重,建议加用氢化可的松琥珀酸钠300 mg/d静脉滴注,以减轻肠道渗出。按上述方案治疗3 d后,患者颜面部、腰骶部和双下肢水肿明显好转,排便次数明显减少(1次/d),双侧胸腔积液明显减少,腹部移动性浊音阴性,同时白蛋白和总蛋白水平均稳步上升。
伴随着患者临床症状的好转,仔细体格检查却发现患者四肢皮下结节此消彼长(图5)。多学科专家建议行皮下结节穿刺活组织检查术,病理检查(图6A)显示淋巴细胞、浆细胞浸润,部分细胞异型性明显,可见核分裂象;进一步免疫组织化学检查(图6B、图6C、图6D)提示CD3、CD56、CD8、穿孔素(perforin)、颗粒酶B(granzyme B)均阳性,CD4阴性,EB病毒编码的小RNA(Epstein-Barr virus-encoded small RNA,EBER)原位杂交阳性,Ki-67增殖指数约为50%,考虑诊断为结外(鼻型)NK/T细胞淋巴瘤。诊断明确后患者转血液科治疗。




消化内科陈敏主治医师:患者为中年男性,病程短;主要临床表现为腹胀、双下肢水肿;体格检查可见双下肢、腰骶部和阴囊水肿,胸腔及腹腔积液相关体征,以及四肢皮下结节。肝功能检查提示ALT、AST正常,白蛋白明显降低,肝脏超声检查和CT检查均未见明显异常,患者既往无慢性肝病病史,考虑肝脏合成功能正常;尿常规、肾功能、24 h尿蛋白定量均正常,考虑未从尿液中丢失蛋白质;血清T-SPOT、腹水T-SPOT、腹水结核PCR和PPD试验等均阴性,既往无肺结核等病史,起病时无低热、夜间盗汗等结核中毒症状,基本排除结核所致多浆膜腔积液;胸腹部增强CT未见明确实体肿瘤,但腹水及血清CA125均升高,且肠系膜及腹膜后有多个肿大淋巴结,不能完全排除肿瘤消耗蛋白质所致的低蛋白血症,同时中腹部局部肠管明显增厚,外院胃镜及结肠镜检查可见胃肠道溃疡或炎性反应改变,故不能除外蛋白质由肠道病变途径丢失;自身抗体系列、ESR等正常,暂无结缔组织病证据;门静脉系统血管多普勒超声检查正常,暂无巴德-吉亚利综合征证据;患者起病以来饮食尚可,不存在摄入不足导致的低蛋白血症。综上所述,患者的多浆膜腔积液多考虑由低蛋白血症诱发,而低蛋白血症不考虑由摄入不足、合成障碍、尿液丢失等引起,而考虑由肠道病变丢失或肿瘤性疾病消耗所致的可能性大,故建议完善小肠镜检查,进一步探查小肠情况。
放射科杨勇副主任医师:患者腹部CT提示,肠系膜见大小不等多个肿大淋巴结,最大者长径约2.4 cm,中腹部局部肠管增厚,淋巴瘤?不除外IBD,建议结合肠镜检查。结肠扩张积气,腹盆腔积液。睾丸鞘膜积液。肝右叶近肝顶有小条索状低密度影,多系局部肝内胆管扩张;脾上极囊性低密度灶考虑良性病变,脾内囊肿可能;胆囊炎;胆囊窝及腹膜后稍肿大淋巴结。双侧胸腔积液并双肺下叶膨胀不全,右肺中叶及左肺上叶舌段有少许渗出。根据CT与患者症状和体征表现,①肠系膜淋巴结结核:患者血清T-SPOT及腹水T-SPOT检查均为阴性,暂不考虑此诊断。②肠系膜淋巴瘤:需结合患者小肠镜等检查进一步排查。③ IBD:可因慢性炎性反应出现肠系膜淋巴结炎性反应性增生,亦需结合内镜进行诊断。
内分泌科张南雁副主任医师:仔细追问患者病史,患者诉其为某油田职工,曾在当地医院行甲状腺功能检查,提示正常;入院后查甲状腺功能,提示TT3、TT4、FT3、FT4均轻度降低,TSH正常。患者甲状腺功能逐渐下降,考虑与患者全身整体状况迅速下降有关,甲状腺功能改变为继发性改变,可不给予处理,以纠正低蛋白血症为主。与内分泌科有关的肿瘤为血管活性肠肽瘤(vasosctive intestinal polypeptidoma,VIP瘤),主要表现为水样腹泻和顽固性低钾血症[1],根据此患者表现,暂不考虑VIP瘤。患者低蛋白血症仍应多考虑由肠道丢失蛋白质或其他肿瘤消耗蛋白质所致,建议进一步行相关检查,同时适当控制饮食。
检验科刘家云主任医师:患者多浆膜腔积液考虑,①患者无结核中毒症状,血清及腹水T-SPOT阴性(此检测特异性高,故阴性基本可排除结核可能[2]),目前不考虑结核所致;②患者腹水及血清CA125升高,不能除外肿瘤所致,建议动态观察CA125指标变化。
消化内科梁树辉副主任医师:患者进一步行小肠镜检查提示,十二指肠球部以下广泛黏膜充血、水肿,有散在片状糜烂及白苔,表面粗糙。空肠中上段距离屈式韧带约50~120 cm、中下段180 cm以远呈节段性病变加重,水肿明显,有弥漫大片状糜烂相互融合,表面覆较厚黄白苔,有散在陈旧性出血。活组织病理检查提示:黏膜慢性炎急性活动伴缺血糜烂及溃疡,建议结合临床除外CD。结合患者小肠镜下表现,考虑肠道存在较重炎性反应,蛋白质由肠道丢失的可能性大,但内镜下表现并非CD的典型表现。
病理科李增山主任医师:患者空肠中上段组织在光学显微镜下可见肠黏膜脱落,整体黏膜结构无明显变化,考虑急性损伤;根据光学显微镜下表现,可见单个淋巴管扩张,数量较少,不考虑淋巴管扩张症。总体来看,患者光学显微镜下表现以急性黏膜损伤改变为主,可结合临床排查CD,但CD可能性较小。同时目前暂无淋巴瘤等肿瘤证据。
消化内科时永全主任医师:患者为中年男性,追问病史,既往10余年间断排便次数增多,约2~3次/d,起病前血清白蛋白正常。此次起病后排便次数逐渐增至5~6次/d,并出现腹胀、双下肢水肿等症状,血清白蛋白逐渐下降,出现多浆膜腔积液。综合考虑,多浆膜腔积液原因为低蛋白血症。患者肝脏合成功能正常,考虑低蛋白血症由丢失引起,小肠镜检查提示肠道多发充血水肿、糜烂、溃疡表现,考虑蛋白质由肠道病变丢失所致。肠道病变考虑感染性和非感染性。感染性中,①细菌性:患者血常规连续检查未见异常,无明显发热等表现,粪便培养阴性,不考虑细菌感染性肠炎。②出血坏死性肠炎:患者无便血、脓性便等症状,小肠镜及结肠镜下表现亦未见明确出血坏死灶,故不考虑此诊断。③病毒性:患者内镜下及病理表现为急性黏膜损伤,血清及组织学无病毒感染证据,暂不考虑病毒感染。④特异性感染:丝虫病、贾第鞭毛虫感染等,目前暂无相关临床证据。非感染性中,①潜在慢性IBD:患者出现临床症状时间短,内镜下及病理表现均不典型,可继续观察随访,若考虑IBD,则患者四肢皮下结节不除外IBD肠外表现。②肿瘤性:如淋巴瘤,但目前病理无证据。综合考虑,目前肠道病变原因尚不完全明确,但蛋白质丢失性肠病诊断可成立。建议:①给予患者补充白蛋白后血清白蛋白无明显上升,考虑肠道炎性反应渗出丢失蛋白质严重,目前无明确感染征象,建议加用静脉糖皮质激素冲击治疗,以减轻肠道炎性反应渗出;②加大白蛋白用量;③给予要素饮食;④行皮下结节活组织检查。
皮肤科王素娜主治医师:患者体格检查可见四肢有数个皮下结节,最大径为3~5 cm,质硬且与周围组织无粘连。患者经糖皮质激素治疗后,低蛋白血症及多浆膜腔积液症状均有改善,但皮下结节此消彼长,建议行皮下结节活组织检查。
消化内科吴开春主任医师:患者经静脉糖皮质激素治疗后低蛋白血症明显改善,但皮下结节此消彼长,最终皮下结节活组织病理检查证实为结外(鼻型)NK/T细胞淋巴瘤,在血液科治疗1个月后复查小肠镜,镜下变化亦很大(十二指肠球部以下至空肠下段黏膜呈弥漫性分布的白色斑点改变,绒毛受累变短,空肠节段性或散在大片状黏膜充血明显,使黏膜发红,约在空肠中段见一处2~3 cm黏膜凹陷,底覆薄苔,另有散在小片状糜烂和红色瘢痕形成);活组织病理检查亦证实为鼻型NK/T细胞淋巴瘤。该患者为疑难低蛋白血症,最初起病时临床表现单一,增加了诊断的困难。需仔细观察细节变化,最终先由皮下结节变化获得了淋巴瘤的病理学证据,随着病情发展,于小肠病变处亦获得了淋巴瘤的病理学证据。回顾分析,考虑患者乳糜性腹水的原因为淋巴瘤侵犯淋巴结,导致淋巴结阻塞、破坏,进而引起淋巴液外漏所致。
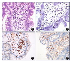
1个月后患者再次复查小肠镜(图7)提示:十二指肠球部以下至空肠下段黏膜有弥漫性分布的白色斑点改变,绒毛受累变短,空肠节段性或散在大片状黏膜充血明显,使黏膜发红,约在空肠中段见一处2~3 cm的黏膜凹陷,底覆薄苔,另见散在小片状糜烂和红色瘢痕形成;活组织病理检查(图8A)提示,(空肠、十二指肠)黏膜慢性炎,有较多淋巴样组织浸润,免疫组织化学检查(图8B、图8C、图8D)结果符合结外(鼻型)NK/T细胞淋巴瘤。




患者低蛋白血症病因最终明确为非霍奇金淋巴瘤:结外(鼻型)NK/T细胞淋巴瘤Ⅳ期B。之后患者在血液科住院治疗,随访至今已有3年,在血液科前后给予MESA方案(甲氨蝶呤、依托泊苷、地塞米松、培门冬酶)和ESHAP方案(依托泊苷、甲泼尼松、阿糖胞苷、顺铂)等多种化学治疗方案,并进行过造血干细胞移植,随访期间消化道无明显症状,但皮下结节反复复发,至截稿患者仍存活。
本例患者病情复杂、诊断疑难,先后经过多次多科室会诊讨论。该患者诊断疑难之处在于病程短、起病时临床表现较为单一,主要为低蛋白血症所致多浆膜腔积液,而常见的低蛋白血症原因(包括肝脏合成功能障碍、摄入不足、尿液丢失蛋白质、实体肿瘤消耗蛋白质、结核等特殊感染性疾病消耗蛋白质等)均不存在,给初始的诊断和治疗带来一定挑战。而且患者经过补充白蛋白等对症支持治疗后,低蛋白血症未见明显改善,临床症状反而呈进行性加重,疾病进展迅速。后经多学科综合讨论,结合患者小肠镜检查结果,虽肠道病变原因尚不明确,但肠道炎性反应存在,考虑蛋白质主要由肠道病变丢失,蛋白质丢失性肠病诊断可成立。故在肠道病变诊断未能完全明确的情况下,建议加用静脉糖皮质激素冲击治疗,减轻肠道渗出,减少蛋白质丢失,该治疗措施收效明显,患者血清白蛋白及总蛋白逐渐升高,多浆膜腔积液逐渐减少。此时,多学科讨论中又关注到患者细微之处的变化,即临床症状好转,但原有的皮下结节此消彼长,正是这一细微变化促使必须进行皮下结节活组织检查,最终获得NK/T细胞淋巴瘤的病理组织学证据。
结外NK/T细胞淋巴瘤约占非霍奇金淋巴瘤的2%~10%。恶性细胞大部分来源于成熟的NK细胞,少部分来源于NK样T细胞,因此称之为NK/T细胞淋巴瘤。多数病例原发于鼻腔和咽喉部以上的部位,少数病例原发于皮肤、胃肠道、肺等,具有病程进展较快、对放射治疗和化学治疗不敏感、易复发和预后差等特点[3]。
此病例的诊治经验:①对于病情复杂的患者需要多学科协作诊治,该患者的诊治过程中有消化内科、影像科、内分泌科、检验科、皮肤科、血液科等多个科室参与;②在诊治过程中,要将患者作为一个整体综合分析,如该患者的系统性疾病主要表现于肠道、皮肤,不能因患者在消化科住院就只关注消化系统相关表现;③抓住细节的变化,该患者在治疗过程中出现了皮下结节的变化,最终于皮下结节处最先获取病理学证据。





















