
版权归中华医学会所有。
未经授权,不得转载、摘编本刊文章,不得使用本刊的版式设计。
除非特别声明,本刊刊出的所有文章不代表中华医学会和本刊编委会的观点。
患者女,48岁。因无明显诱因下左眼闪光频繁并视力下降,视物变暗3 d,于2012年8月21日就诊中山大学附属中山眼科中心门诊。既往无眼部疾病史,长期精神压力大,失眠3~4年后自然缓解,发病前半月有失眠现象,易怒。无特殊饮食习惯,无特殊嗜好,无药物过敏史,爱人孩子身体健康,家族中无类似眼病史,无遗传性疾病史。眼部检查:VOD 1.2,VOS 0.6,矫正不应。双眼压均14 mmHg,角膜清亮,前房深4CT,房水清,晶状体玻璃体未见混浊,眼底检查未见异常。在门诊陆续完善OCT检查显示左眼IS/OS光带模糊,mf-ERG显示右眼后极部反应正常,左眼后边极部反应平坦,左眼视野检查显示与mf-ERG相应区域的视野缺损,FFA正常(图1)。初步诊断为左眼急性区域性隐匿性外层视网膜病变(acute zonal occult outer retinopathy,AZOOR),给予复方血栓通胶囊、疏血通注射液等改善眼部微循环治疗1周,患者自觉视力好转,VOD 1.5,VOS 0.8。左眼发病后的第13天给予激素甲基泼尼松片48 mg 1次/d晨服,每4 d减量4 mg。激素治疗第二天,患者右眼出现左眼类似症状,视物变暗伴轻度视力下降,VOD 0.9,VOS 1.0;激素继续治疗5 d,患者自觉双眼视野更暗,VOD 0.9,VOS 1.2;激素治疗的第13 d,患者VOD 1.0,VOS 1.2,但患者因双眼仍视物发暗明显,要求住院并拒绝激素治疗。住院期间仍给予苦碟子注射液、复方血栓通胶囊、昊畅等药物治疗,并完善三大常规、凝血四项、肝功三项、血脂、术前四项(乙肝、丙肝、艾滋病、梅毒),心电图,胸片,颅脑MRI检查,各项检查均无异常发现。同时复查OCT、mf-ERG、中心30°视野、色觉、VEP及FFA检查,住院药物治疗11 d后患者自觉视物变暗症状改善,视力提高出院,出院时双眼视力1.5。


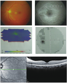
眼底照相:未见异常,FFA检查:显示视网膜血管及各象限视网膜未见异常荧光。mfERG:显示后极部反应平坦,中心30°视野检查:除上方区域外,其余区域视野缺损,OCT检查:IS/OS中心凹处光带缺如,其周围光带模糊不清。
1993年Gass首先报道了51例90只眼的单眼或双眼一个或多个区域的急性视网膜功能障碍综合征,患者主要表现为闪光感,一个或多个区域的急性视野缺损,视力下降而眼底检查无异常表现[1,2]。近年,随着高分辨率OCT的发展,发现该类患者在OCT上可显示IS/OS连接层的不规则或中断,更进一步揭示了是由于光感受器外节的变性导致视野的损害[3,4,5]。因此称为急性区域性隐匿性外层视网膜病变(AZOOR)。由于发病率低,眼底检查通常无阳性体征,急性起病的AZOOR多容易被误诊为球后视神经炎,颅内占位性疾病及癌症相关性视网膜疾病,甚至被漏诊[2,9,10,11]。
Gass随诊的病例中有39例双眼发病,占76%[2]。本例患者左眼发病间隔18d后右眼也出现了与左眼相同症状,双眼OCT显示IS/OS光带模糊不清(图2)。结合患者的症状和辅助检查结果,我们考虑该患者诊断为双眼AZOOR。


Gass在对AZOOR的随访观察指出有数个患者既往有MEWDS的病史,但他没有直接观察到MEWDS[2]。Fine回顾性分析3例既往诊断为MEWDS患者,临床进程、荧光素血管造影、自发荧光、视野及视觉电生理检查符合AZOOR的诊断,他认为这两种疾病可能分享共同的遗传易感性和(或)致病因素[5]。Jampol等[8]指出没有观察到MEWDS病例与AZOOR病例重合或MEWDS发展成为AZOOR的病例,认为MEWDS患者有其特征性的表现与预后。MEWDS的病灶主要分布于视网膜深层或视网膜色素上皮水平。不似AZOOR,MEWDS眼底是有可见病灶的,其表现为视网膜下的多发白色或黄白色点状病灶,大小为100~500 μm,边界模糊,主要分布于后极部,黄斑区较少受点状病灶累及,但常有颗粒样的色素改变。点状病灶持续数周后消退,多不留痕迹,视力常自行恢复。MEWDS的FFA也表现为病灶对应处的强荧光,呈花冠状排列,晚期病灶染色,视盘强荧光。
AZOOR的发病机制尚不明确,自适应光学激光扫描检眼镜(AOSLO)的应用肯定了AZOOR患者的光感受器损害主要为视锥细胞的损害[6,7]。从本例患者的症状分析,患者出现视力下降、闪光感、视物发暗等症状,符合锥细胞功能受累的特征,视锥细胞在视网膜黄斑区域密度最高,黄斑外锥细胞密度逐渐减少。AZOOR患者的症状主要与黄斑区的锥细胞功能受损有关。这与AOSLO在AZOOR患者中所观察到的主要损害是锥细胞是一致的。Fujiwara等[9]发现AZOOR患者眼底后极部还存在自发荧光的异常,表明AZOOR的发病过程有明确RPE损害也是参与其中的。这种损害也可能是由于光感受器细胞死亡导致的不同程度的免疫炎性反应有关。
目前还没有针对AZOOR特异性的治疗方案。Gass对急性视力丧失AZOOR患者口服或静脉注射糖皮质激素,发现与非激素治疗组无差异[2]。另有文献中提及AZOOR患者长期误诊为球后视神经炎的患者在反复激素治疗后症状未获得任何改善[9]。Kitakawa等[12]对一例诊断为AZOOR的42岁日本女性,使用激素冲击治疗,视力得到较大提高,视野的平均偏差值改善。而此患者在进行左眼激素治疗的第二天,右眼发病,视力轻度下降,视野缺损较前明显。而在停用激素治疗的一段时间内,给予改善眼部微循环等对症支持治疗,患者视野视力均较稳定。我们在接诊本例患者之初尚未明确诊断时,即左眼发病后的第13 d,曾给予患者甲泼尼松片48 mg 1次/d,但在激素治疗第二天,患者右眼出现左眼相同症状,继续使用激素治疗,5 d后患者自觉双眼视野更暗并持续加重,我们在激素治疗的第13 d停用激素,并给予改善眼部微循环等对症支持治疗,患者自觉症状明显好转,出院时双眼视力1.5,对此我们很难分析激素治疗是否有效还是疾病本身的病程使然。尽管人们尝试包括激素,免疫抑制剂,抗生素等药物应用于AZOOR患者,但目前仍还没有确切有效的治疗方法[13]。
AZOOR在人群中的发病率并不高,Gass在对51例90只眼的病例随访中观察AZOOR多为散发病例,发病人群中高加索人居多,占发病人数的39%,亚洲人发病率低[2]。AZOOR是否存在地域、人种差异,饮食习惯,精神压力在其发病机制是否存在一定作用,还需进一步的深入研究。





















