
探究超广角荧光素眼底血管造影(ultra-widefield fluorescein angiography,UW-FA)的临床应用价值,比较UWFA与55°荧光素眼底血管造影(FFA)分别适用的眼底体征。
回顾性分析2014年12月至2016年1月期间在中山大学中山眼科中心行海德堡UWFA及55°FFA的患者124例248只眼,对比分析UWFA和55°FFA所能显示的视网膜范围及对不同眼底病变的显示情况。
超广角镜头一次可观察到150°眼底,单张UWFA图片的成像面积是单张55°FFA图片的3.2倍,配合患者的眼球转动,超广角镜头能更好地显示远周部视网膜,特别是能显示55°镜头难以拍摄到的鼻侧及下方远周部视网膜,五方位UWFA图片即可显示完整眼底。超广角镜头更适合拍摄累及周边视网膜的眼底病变,如视网膜周边变性、血管渗漏、无灌注区、微血管瘤、新生血管等;但其对后极部病灶细节的展现存在一定的不足。
与传统55°FFA相比,UWFA能更好地显示远周部视网膜,简便高效地诊断及监测累及远周部视网膜眼底病变;55°FFA能更好地显示后极部病灶。在进行FFA检查时应根据不同的病变特征,个性化灵活选择镜头。
版权归中华医学会所有。
未经授权,不得转载、摘编本刊文章,不得使用本刊的版式设计。
除非特别声明,本刊刊出的所有文章不代表中华医学会和本刊编委会的观点。
荧光素眼底血管造影(FFA)技术自1961年诞生以来[1]一直是观察视网膜脉络膜血管病变的重要手段。然而传统的FFA单张图像仅能呈现30°~60°的视网膜。新近出现的非接触式超广角荧光素眼底血管造影(ultra-widefield fluorescein angiography,UW-FA)技术使单张UWFA图像可显示150°~200°的视网膜,为显示周边部视网膜提供了理想的检查手段。目前临床应用最广泛的UWFA设备是英国欧堡公司的全景激光扫描眼底成像系统(Optos P200Tx)及德国海德堡公司的超广角镜头。与前者相比,海德堡超广角成像系统最大优势在于其超广角镜头可安装在原有的Spectralis HRA或HRA2机身上,根据观察需要可与55°及30°镜头交换使用。然而,目前国内外对海德堡超广角系统成像功能及特点报道甚少[2,3,4]。本文回顾了同时使用海德堡超广角镜头和海德堡55°镜头进行荧光素眼底血管造影的124例患者248只眼的临床资料,对比分析了海德堡UW-FA和55°FFA所能显示的视网膜范围及对不同眼底病变的显示情况,评估了海德堡UWFA对不同眼底疾病的筛查、诊断及随访价值。
回顾性病例分析。2014年12月至2016年1月在我院眼底血管造影检查室行海德堡UWFA和55°FFA的患者124例248只眼纳入研究。其中,女性67例134只眼,男性57例114只眼;年龄15~66岁,平均年龄(42±15)岁。纳入的病种包括视网膜静脉阻塞(16只眼)、视网膜血管炎(5只眼)、中间葡萄膜炎(10只眼)、糖尿病视网膜病变(diabetic retinopathy,DR)(44只眼)、家族性渗出性玻璃体视网膜病变(familial exudative vitreoretinopathy,FE-VR)(12只眼)、视网膜周边变性(7只眼)、高度近视(28只眼)、中心性浆液性脉络膜视网膜病变(10只眼)、湿性老年性黄斑变性(2只眼)、前部缺血性视神经病变(2只眼)、点状内层脉络膜病变(2只眼)、飞蚊症(80只眼)、患眼对侧健眼(30只眼)。本研究通过医院伦理委员会的审核与批准。
检查设备为德国海德堡公司Spectralis HRA加超广角镜头及55°镜头,文中所提到的UWFA均指海德堡UWFA。进行此项检查的患者均于托吡卡胺去氧肾上腺素散瞳后,行5 ml 10%荧光素钠肘前静脉注射,拍摄早期(10~30 s)、中期(3~5 min)和晚期(10~15 min)图像。根据病情需要选择镜头拍摄早期图像,中期及晚期图像则两种镜头(超广角镜头及55°镜头)均使用。UWFA及55°FFA均行9方位(后极部、上方、颞上方、颞侧、颞下方、下方、鼻下方、鼻侧及鼻上方)照相。周边视网膜定义为涡静脉壶腹部连线到锯齿缘之间的环形区域[5]。
使用Adobe® Photoshop® C5(Adobe Systems Inc,CA,USA)测量单张FFA图片显示的视网膜面积及无灌注区面积,面积单位为像素。
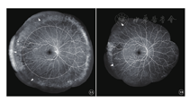
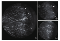
海德堡超广角镜头一次可观察到150°眼底,配合患者眼球转动可观察到远达锯齿缘的视网膜。图1展示了UWFA和55°FFA拼图所能呈现的视网膜全景情况。UWFA拼图可显示整个视网膜的全貌,上方、颞上、颞侧及颞下可见清晰的锯齿缘,鼻侧及下方虽不易照见锯齿缘,但所照范围已达到视网膜血管的止端(图1A);55°FFA拼图可见颞侧、颞上方锯齿缘,但大部分患者鼻侧视网膜不能照全(图1B)。在不进行视网膜拼图的情况下,五张不同方位(后极部、颞上、颞下、鼻上和鼻下,或后极部、颞侧、上方、鼻侧和下方)的UWFA图片即可显示完整的视网膜(图2)。图2可见UWFA能完整且较为清晰地展现散布于视网膜的新生血管、微血管瘤、视网膜内微血管异常及无灌注等。




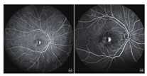
单张UWFA所显示的视网膜面积是55°FFA所显示的视网膜面积的3.2倍(图1)。在对周边视网膜无灌注区的表现上,UWFA能显示更大、更完整的无灌注区。图3A和图3D中UWFA显示的视网膜无灌注区面积分别是图3B和图3E中55°FFA所显示的视网膜无灌注区面积的9.5倍(图3C)和10.1倍(图3F),UWFA所观察的范围已达到血管正常发育的止端,而55°FFA则未能显示更周边的无灌注区。特别对FEVER患者(3D-3F),55°FFA所照范围达不到周边,尚有大片无灌注区不能显示,不能明确血管发育止端到锯齿缘的距离,且无灌注区接近图像边缘,易与伪影混淆;UWFA图片显示出视网膜周边血管走形僵直,末端呈毛刷样改变,伴有渗漏,显示的周边视网膜无灌注区范围远大于55°FFA图片所能显示的范围,锯齿缘清晰可见。在对周边视网膜变性灶的表现上,UWFA显示的病灶更完整,且不失细节。图4中单张UWFA图片显示的视网膜霜样变性病灶需要两张以上的55°FFA图片才能展示完全。该图中视网膜霜样变性表现为低荧光,变性灶累及的血管出现荧光渗漏、着染及微血管瘤,这些病变细节在UWFA和55°FFA上均清晰可见。在对周边视网膜血管渗漏的表现上,UWFA也发挥了成像更完整更周边的优势,如图5中UWFA图片显示的靠近锯齿缘的血管渗漏病灶55°FFA图片不能显示。然而,在对后极部视网膜特别是黄斑区病变的表现上,UW-FA对细节的显示则不及55°FFA。图6中UWFA晚期图片显示的脉络膜新生血管病灶不甚清晰,而55° FFA晚期图片则可清晰展现黄斑区荧光渗漏及窗样缺损的细节。








海德堡UWFA为观察周边部视网膜情况提供了良好的工具。单张UWFA图片显示的病灶需要多张55°FFA才能显示,且UWFA能显示55°FFA所不能显示的更周边的视网膜病变,特别是在显示鼻侧周边视网膜方面具有优势。五张不同方位(后极部、颞上、颞下、鼻上和鼻下,或后极部颞侧、上方、鼻侧和下方)的UWFA图片即可显示完整的视网膜,较之55°FFA的九方位图片采集更快捷,成像更周边,因此在患者配合度相同的情况下,UWFA比55°FFA更易采集到更加全面的视网膜图像,特别适用于不易配合的儿童和老年患者。
UWFA比55°FFA更适合拍摄累及周边视网膜的眼底病变如无灌注区、血管渗漏、微血管瘤、新生血管及视网膜变性等。尤其在对累及视网膜周边的疾病(如中间葡萄膜炎、视网膜血管炎、FEVR等)的监测、随访中具有重要的应用价值,能发现易被55° FFA忽略的周边部视网膜病灶,并对补充视网膜激光光凝有指导意义。如在FEVR患者中,UWFA图片能更加全面、直观地显示视网膜周边血管的僵直走形及毛刷样改变,并可显示血管末端到锯齿缘的距离,其所显示的周边视网膜无灌注区范围远大于相应的55°FFA图片所显示的范围。有学者认为视网膜周边无灌注区是糖尿病黄斑水肿治疗反应的预测因子[6],并与DR的严重程度及病变进展有密切联系[7]。因此,全面、准确地观察视网膜周边无灌注区面积,对DR及糖尿病黄斑水肿的严重程度、治疗反应及预后的评估有重要意义。
在进行UWFA的过程中,我们发现超广角镜头尚存在一些缺点。超广角镜头在显示后极部病灶的细节方面没有55°镜头清晰。超广角成像时,过长的睫毛会投射到图像边缘形成伪影,会对潜在病灶的观察造成干扰。由于超广角镜头体积较大,检查深眼窝患者时存在不便,其较大的体积会妨碍提拉患者眼睑的操作。超广角镜头体积大、质量较重、价格不菲,在造影时需要更高的技巧,且更换镜头时要格外小心。
由此可见,海德堡超广角镜头不与患眼接触,操作简单、高效。UWFA比55°FFA能更好地显示周边视网膜病灶,适用于累及周边视网膜的眼底疾病的诊断及随访,但在后极部视网膜细节的展现上则存在一定的不足。因此,在进行FFA检查时应根据不同的病变特征,个性化灵活选择合适的镜头。





















