
探讨原发泪腺腺样囊性癌的临床特征,组织病理学类型,不同治疗方法和临床预后的关系。
回顾分析原发泪腺腺样囊性癌患者26例的临床及病理资料,女性16例,男性10例;年龄14~67岁,平均37.15岁。
26例腺样囊性癌患者中,实体型组患者平均生存时间26.83个月,非实体型组患者平均生存57.63个月,差异有统计学意义(P <0.05)。T4期组患者平均生存22.16个月,T1~T3期组患者平均生存65.63个月,差异有统计学意义( P <0.05)。肿瘤局部切除或扩大的局部切除+术后放疗组患者的平均生存时间38.93个月,眶内容摘除+术后放疗组患者平均生存时间30.56个月,两组之间生存时间差异无统计学意义( P >0.05)。
泪腺腺样囊性癌中,实体型肿瘤的恶性程度高,T4期及实体型肿瘤的预后较差。对泪腺腺样囊性癌患者的治疗,应根据患者综合条件,而选择合理的的治疗手段。
版权归中华医学会所有。
未经授权,不得转载、摘编本刊文章,不得使用本刊的版式设计。
除非特别声明,本刊刊出的所有文章不代表中华医学会和本刊编委会的观点。
泪腺腺样囊性癌是泪腺恶性上皮性肿瘤中最为常见并且恶性程度最高的肿瘤,其患病率占所有原发眼眶肿瘤的4.8%,占泪腺上皮性肿瘤的29%[1],是一种浸润性强、术后复发率高、预后差的恶性肿瘤[2]。本文收集了经病理证实的泪腺腺样囊性癌26例,以新的第七版美国癌症联合委员会对泪腺腺样囊性癌分级标准为依据,结合其病理分型及不同治疗方式进行了回顾性分析。
收集2002年至2009年天津眼科医院及2009年至2012年,在天津第一中心医院手术并经病理确诊的泪腺腺样囊性癌患者26例,其中男性10例,女性16例,年龄14~67岁,平均37.15岁;左眼14例,右眼12例。记录患者的临床特征、组织病理学类型及分期、治疗方法和术后随访情况。所有患者均为初发病例,未经其他治疗。
依据2005年WHO制定的泪腺腺样囊性癌分型标准,将其组织病理学类型分为:管状型、筛状型和实体型。根据第七版美国癌症联合委员会对泪腺腺样囊性癌分期标准,将其分为四期T1~T4期(表1)。

第七版美国癌症联合委员会对泪腺区腺样囊性癌TNM分级(2009年)
第七版美国癌症联合委员会对泪腺区腺样囊性癌TNM分级(2009年)
| 类别 | 标识 | 界定 |
|---|---|---|
| 原发肿瘤大小 | TX | 原发肿瘤不能确定 |
| T0 | 无原发肿瘤的证据 | |
| T1 | 肿瘤最大径线值<2cm | |
| T2 | 肿瘤最大径线值在2cm至4cm之间 | |
| T3 | 肿瘤最大径线值>4cm | |
| T4 | 肿瘤侵及周边组织、眶骨或眶骨膜 |
T4期与T1~T3期间、实体型与非实体型间、不同手术间的生存时间,采用生存函数估计法检验,以P ≤0.05为差异有统计学意义。
26例患者的临床资料汇总见表2。从中可见,男性10例,女性16例;年龄14~67岁,平均37.15岁;左眼14例,右眼12例;所有患者均为单眼发病。将发病分布在眼别与男女性别间比较,差异无统计学意义(Fisher确切概率法(下同),P>0.05)。

26例原发泪腺腺样囊性癌的临床病理特点
26例原发泪腺腺样囊性癌的临床病理特点
| 病例 | 性别 | 年龄 | 部位 | 病理分期 | 病理分型 | 手术方式 | 随访时间(月) | 状态 |
|---|---|---|---|---|---|---|---|---|
| 1 | 女 | 44 | 左 | T1 | 筛状型 | L+R | 23 | + |
| 2 | 男 | 14 | 左 | T1 | 实体型 | L+R | 16 | + |
| 3 | 女 | 32 | 右 | T2 | 混合型 | L+R | 63 | - |
| 4 | 女 | 17 | 右 | T2 | 管状型 | L+R | 29 | + |
| 5 | 男 | 29 | 左 | T2 | 实体型 | L+R | 54 | - |
| 6 | 女 | 57 | 右 | T3 | 实体型 | E+R | 76 | - |
| 7 | 男 | 20 | 左 | T3 | 混合型 | L+R | 61 | + |
| 8 | 女 | 51 | 左 | T4 | 实体型 | E+R | 15 | - |
| 9 | 男 | 67 | 右 | T4 | 实体型 | L+R | 22 | - |
| 10 | 女 | 63 | 左 | T4 | 实体型 | E+R | 18 | - |
| 11 | 女 | 28 | 右 | T4 | 实体型 | E+R | 14 | - |
| 12 | 女 | 26 | 右 | T4 | 混合型 | L+R | 28 | + |
| 13 | 男 | 59 | 左 | T4 | 实体型 | L+R | 32 | - |
| 14 | 男 | 17 | 右 | T4 | 混合型 | E+R | 20 | + |
| 15 | 女 | 37 | 左 | T4 | 实体型 | E+R | 12 | - |
| 16 | 男 | 29 | 左 | T4 | 实体型 | L+R | 34 | - |
| 17 | 女 | 33 | 左 | T4 | 实体型 | E+R | 11 | - |
| 18 | 女 | 42 | 右 | T4 | 混合型 | L+R | 29 | + |
| 19 | 女 | 36 | 左 | T4 | 实体型 | L+R | 27 | - |
| 20 | 男 | 54 | 右 | T4 | 实体型 | L+R | 6 | + |
| 21 | 男 | 14 | 右 | T4 | 实体型 | L+R | 16 | - |
| 22 | 女 | 20 | 左 | T4 | 混合型 | E+R | 11 | + |
| 23 | 女 | 60 | 左 | T4 | 实体型 | L+R | 21 | - |
| 24 | 男 | 53 | 右 | T4 | 实体型 | L+R | 17 | - |
| 25 | 女 | 29 | 左 | T4 | 实体型 | E+R | 8 | + |
| 26 | 女 | 35 | 右 | T4 | 混合型 | E+R | 20 | - |
注:L+R:局部切除或扩大的局部切除+术后放疗;E+R:眶内容摘除+术后放疗;+:患者存活;-:患者死亡
临床表现:眼球突出22例,占84.62%;疼痛15例,占57.69%;复视9例,占34.62%;视力下降8例,占30.77%。腺样囊性癌各临床表现在男女性别间比较,差异无统计学意义(P>0.05)(表3)。

26例原发泪腺腺样囊性癌临床特征与性别关系
26例原发泪腺腺样囊性癌临床特征与性别关系
| 男 | 女 | P值(Fisher确切概率法) | ||
|---|---|---|---|---|
| 例数 | 10 | 16 | ||
| 眼别 | 0.536 | |||
| 左眼 | 5 | 9 | ||
| 右眼 | 5 | 7 | ||
| 临床症状 | ||||
| 疼痛 | 7 | 8 | 0.227 | |
| 眼球突出 | 8 | 14 | 0.504 | |
| 复视 | 4 | 5 | 0.483 | |
| 视力下降 | 4 | 4 | 0.352 | |
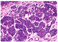
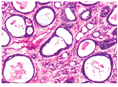
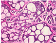
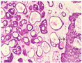
本研究中,实体型17例,占65.38%;混合型7例,占26.92%;管状型及筛状型各1例,各占3.85%(图4,图5,图6,图7)。从平均生存时间角度比较,实体型组患者26.83个月,非实体型组57.63个月,实体型组患者生存时间较非实体型组短(P<0.05),见图2。










本组病例依据最新第七版美国癌症联合委员会对泪腺区腺样囊性癌分级:T1期2例(7.69%),T2期3例(11.54%),T3期2例(7.69%),T4期19例(73.07%);T4期组患者平均生存时间22.16个月,T1~T3期组患者则为65.63个月,可见T4期组患者的生存时间较T1~T3期组短(P<0.05)(图1)。


本研究中,行肿瘤局部切除或扩大的局部切除+术后放疗患者16例,行眶内容摘除+术后放疗患者10例(见表4)。肿瘤局部切除或扩大的局部切除+术后放疗组患者的平均生存时间38.93个月,眶内容摘除+术后放疗组患者则为30.56个月,两组间生存时间差异无统计学意义(P>0.05)(图3)。



26例原发泪腺腺样囊性癌病理分型与不同手术方式
26例原发泪腺腺样囊性癌病理分型与不同手术方式
| 病理分型 | 手术方式 | 合计 | |
|---|---|---|---|
| L+R | E+R | ||
| 实体型 | 10 | 7 | 17 |
| 非实体型 | 6 | 3 | 9 |
| 合计 | 16 | 10 | 26 |
注:L+R:局部切除或扩大的局部切除+术后放疗;E+R:眶内容摘除+术后放放疗;Fisher确切概率法检验P >0.05
泪腺腺样囊性癌在泪腺恶性上皮性肿瘤中居首位,约占泪腺恶性上皮性肿瘤的50%[3]。该病呈浸润性生长,早期即可沿血管、神经向周围组织蔓延。泪腺腺样囊性癌多见于中青年,女性多见,发病高峰年龄40岁左右[4];其主要临床症状表现为眼球突出、移位,局部疼痛,复视,视力下降等。该肿瘤嗜神经生长,早期侵犯神经及邻近骨膜、骨壁引起疼痛,因此疼痛发生率高[6];因颞上眶缘发生固定,坚实、形状不规则的肿块,可引起眼球突出、移位。本组研究中,患者的平均年龄为37.15岁,男女比为10:16,女性发病率较高,与以往文献报道基本一致[5];疼痛的发生率也较高,为57.69%。有22例患者发生眼球突出、移位,占84.12%。故在临床工作中,凡40岁左右,表现为单侧颞上方肿物,且伴有疼痛感的患者应考虑其腺样囊性癌的可能性。
腺样囊性癌的病理分型多按Perzin的3个亚型分类:管状型、筛状型和实体型。本组研究中,实体型17例,占65.38%,发病率最高;T4期(肿瘤侵及周边组织、眶骨或眶骨膜)肿瘤患者中,实体型14例,占73.68%。有研究表明:实体型(基底细胞样型)恶性程度高。我们的研究与其一致。我们认为,实体型肿瘤之所以恶性程度高可能与其更易侵及周围组织有关。
实体型腺样囊性癌的特点是易于早期复发和早期转移,应用同样的治疗手段,实体型较筛状型和管状型的预后差。Lee等[7]对实体型泪腺腺样囊性癌的观察显示,患者术后平均生存时间为3年,而非实体型患者则为8年,表明实体型患者预后较差。本组实体型患者平均生存时间26.83个月,非实体型患者为57.63个月。排除不同治疗方法对实体型与非实体型患者的影响(表4),实体型患者生存时间较非实体型明显缩短(图2)。由此我们推测,肿瘤的病理学分型是影响患者临床预后的一个关键因素。
依据第七版美国癌症联合委员会对泪腺腺样囊性癌制定的分级标准,将侵及泪腺周边组织、眶骨或眶骨膜的泪腺腺样囊性癌划分为T4期。本研究中T4期肿瘤患者19例,占73.08%。由此看出,泪腺腺样囊性癌恶性度较高,很多患者在发病早期,即可伴有泪腺周围组织的累及。T4期患者平均生存时间22.16个月,T1~T3期患者则为65.63个月,T4期患者的生存时间较T1~T3期明显缩短(图1)。据此我们分析:肿瘤的分级(周边组织、眶骨或眶骨膜是否受累)是影响患者临床预后的另一个关键因素。
对于泪腺的恶性肿瘤,传统的治疗方法是眶内容摘除术,出于保留重要结构和外观的考虑,这种术式往往难于被患者接受[8]。近年来由于放射治疗技术的不断完善,新的放疗设备的不断出现,泪腺区恶性肿瘤的治疗观念也随之发生了一定的转变。术后放疗可以防止因术中切除范围不够造成的肿瘤复发。对于一些年轻的想保证治疗后生存质量的腺样囊性癌患者,可以选择保存器官功能(局部肿瘤切除术或扩大局部切除术+术后放疗)的手术方式。本研究中,肿瘤局部切除或扩大的局部切除+术后放疗患者16例,其平均生存时间38.93个月。眶内容摘除+术后放疗患者10例,其平均生存时间30.56个月。患者的生存时间并未因手术范围的扩大而明显的延长。我们分析其原因可能为:腺样囊性癌多发于中年女性(平均37.15岁)。这部分患者群体对日常生活质量的要求比较高。眶内容摘除手术明显影响了患者的外观,增加了患者的心理负担及负面情绪(尤其对青年女性患者),导致其生活质量大幅度下降。患者沉重的心理负担和消极的负面心理因素可能使其生存时间明显缩短。
总之,对泪腺腺样囊性癌的治疗,应根据患者的年龄、机体状态、肿瘤分期、病理类型等合理选择,以提高患者生存时间。





















