
版权归中华医学会所有。
未经授权,不得转载、摘编本刊文章,不得使用本刊的版式设计。
除非特别声明,本刊刊出的所有文章不代表中华医学会和本刊编委会的观点。
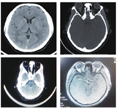
患者女,43岁。头痛3个月加重伴双眼胀痛、视力下降4天于2014年2月24日来我院眼科就诊。患者自述3个月前无明显诱因出现头颈部疼痛,呈跳痛,有时伴恶心,无呕吐,头痛发作前眼前无闪光、暗点等,亦无肢体麻木乏力感,无耳鸣、听力下降。于当地医院给予甘露醇治疗有效,但反复发作。入院眼部检查:双眼视力:0.8,双眼结膜无充血,角膜清亮,瞳孔直径约3 mm。对光反应稍迟钝,RAPD(+)晶状体透明,玻璃体清。双眼底:视乳头色淡红,边界不清,水肿隆起约2~3 D,视网膜静脉迂曲扩张,黄斑中心反光弥散,视网膜平伏(图1)。右眼压:12.5 mmHg,左眼压:11.0 mmHg。患者既往有冠心病史,于2010年在江西省人民医院行冠脉支架术。无糖尿病、高血压,无外伤等病史。血常规检查:血小板计数:580×109。脑脊液压力:250 mm H2O(正常120~180),显微镜及生化检查未见异常。眼底荧光素钠血管造影示:双眼视盘水肿(图2)。颅脑MRI、MRV、CT、眼眶CT均未见明显异常(图3)。全脑血管造影(CTA)示:考虑右侧横窦、乙状窦静脉血栓形成可能性大(图4)。明确诊断为:颅内静脉窦血栓形成,特发性血小板增多症,冠心病。








颅内静脉窦血栓(CVST)形成是由多种原因所致的脑静脉回流受阻的血管性疾病。其病因复杂,发病形式多样,临床表现无特异性,诊断较困难,容易漏诊误诊。CVST可以发生在上矢状窦、横窦、乙状窦等静脉[1,2]。主要症状为头痛,眼部症状等。
CVST引起眼部症状的原因:主要是由于静脉回流受阻,颅内压增高。其中,视盘水肿是眼部最常见的症状。早期的视盘水肿,除引起视网膜出血、水肿或渗出累及黄斑区,否则临床上患者可无任何症状,甚至没有视野改变和视力下降。但如果颅内压增高性视盘水肿持续时间太久,由于视神经纤维受损,也可发生进行性不规则向心性视野缩小,最终由于视神经萎缩导致视力严重下降或失明。
颅内压增高导致视盘水肿机制尚不明确。普遍接受的机制是:视盘水肿是由于视神经的轴浆流运输受到了阻滞之故[3]。长期严重的视盘水肿,其预后较差,因而必须在视盘水肿还没有发展到产生萎缩以前积极进行治疗。如果错过了治疗时机,就很难挽救视力。
脑脊液检查对CVST诊断无特异性,但有助于查找CVST的病因并指导治疗。D-二聚体增高(>500 μg/L)有助于CVST的诊断。数字减影血管造影(DSA)是目前诊断CVST的金标准。治疗以降颅压、防脑疝、抗凝溶栓、抗痫、抗感染、改善微循环为主。抗凝治疗一般要维持3~6个月,治疗期间监测凝血系列。颅内静脉窦血栓形成单侧闭塞或双侧不完全闭塞,其预后较好;而大脑深静脉闭塞、上矢状窦合并横窦堵塞可导致颅内压持续升高,形成脑疝,预后多不佳。因此,对CVST应尽早明确诊断,合理治疗。





















