
版权归中华医学会所有。
未经授权,不得转载、摘编本刊文章,不得使用本刊的版式设计。
除非特别声明,本刊刊出的所有文章不代表中华医学会和本刊编委会的观点。
脉络膜骨瘤是一种极其少见的骨化良性肿瘤,Gass等人首次报道[1]。该病多发于健康青年女性,典型特征为眼底出现边界清晰、轻微隆起、黄白色或橙色的病变,多位于视乳头周围或黄斑区[2]。本文2例女性患者均累及双眼,现报道如下。
病例1:患者女,36岁,自述外伤后双眼视力下降5年余,多次就诊外院,曾被诊断为双眼视网膜浅脱离、双眼陈旧性视网膜炎、双眼视网膜陈旧性病变、双眼渗出性黄斑病变,曾注射"曲安奈德"治疗,未见好转,2016年5月11日来我院就诊。
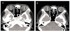
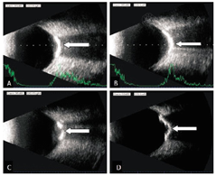
既往5年前头部受过拳击伤,否认全身疾病史及家族史。眼科检查:视力右0.3,矫正无提高,左0.07,矫正无提高;眼压:右19.0 mmHg,左17.8 mmHg。双眼前节正常,散瞳见双眼低,如图1A、图1B。眼部B超检查如图2A、图2B。眼眶CT扫描:双侧眼球后壁见对称性高密度弧形钙化影(箭头所指),较长者直径0.7 cm,最高CT值468 Hu(图3A)。荧光素眼底血管造影(fundus fluorescein angiography,FFA)图4。结合眼底相、B超、眼眶CT及FFA检查,诊断:双眼脉络膜骨瘤。








病例2:患者女,48岁,自述右眼视物不清7年余,左眼10天余,于2016年5月26日来我院就诊。既往8年前头部受过雷击伤,否认全身疾病史及家族史。眼科检查:视力右0.15,-1.00 DC×15→0.25,左数指/30 cm,矫正无提高。双眼前节正常,散瞳见双眼底如图1C、图1D。眼部B超检查如图2C、图2D。眼眶CT扫描:双侧眼环后份及周围局部眼球可见条状高密度钙化影(箭头所指),最高CT值572 Hu(图3B)。双眼FFA如图5,诊断:双眼脉络膜骨瘤。


脉络膜骨瘤是一种罕见的脉络膜骨化良性肿瘤,生长非常缓慢,好发于健康女性患者,男:女=1:4,单眼发病多见,双眼发病者少见并呈现遗传倾向[3],本文2例患者均为女性,双眼累及,临床上较少见。国内资料报道发病年龄为26~39岁,而国外报道为6~43岁[4]。该病病因不明,有学者认为发病原因与炎症、外伤有关,本文2例患者既往头部均受过外伤,故该病的发生、发展是否与此具有相关性,有待探讨。因该病大多发生于女性,也提出激素学说[3],但多数学者认为脉络膜骨瘤是一种先天性迷走瘤,即中胚层组织残留在脉络膜层内,后发展为骨瘤[5]。病变既可围绕视盘生长,也可累及黄斑区[6],患者视力预后取决于病变对视盘和黄斑区的影响、有无视网膜脱离及CNV形成。本文报道的第2例患者右眼发病7年余,视力可行,患者并未重视,但左眼发病10天余,视力降为数指,因病变累及黄斑部。
B超的典型声像特征为近乳头附近可见条形强回声斑,其后方声影明显,降低增益值此强回声斑仍存在,而球壁等正常组织的回声减弱甚至消失[7],但肿瘤回声仍存在。脉络膜骨瘤特征性的CT表现为眼球后极部眼环上呈现弧形或半环状光滑锐利的致密影[8],脉络膜骨瘤行FFA检查早期即有强荧光点出现,强荧光代表肿瘤内异常脉络膜血管,晚期时不规则弥漫斑点状强荧光持续存在[9]。本文2例患者改变与上述相符合。
脉络膜骨瘤可依据眼底表现、B超、眼眶CT及FFA表现做出正确诊断,B超及眼眶CT典型表现具有诊断意义。脉络膜骨瘤是脉络膜占位性病变,呈良性,应与脉络膜黑色素瘤、脉络膜转移癌、脉络膜血管瘤相鉴别,认识本病的临床特点及各种辅助检查特征,可避免误诊为眼内其他肿瘤[10]。
该病可采用氩激光光凝,也可采用多波长激光、光动力疗法或瞳孔温热疗法等治疗,阻止视网膜渗漏、出血,同时也有可能使瘤体脱钙而萎缩[11],当FFA发现脉络膜新生血管时,不仅可进行光凝、PDT或TTT治疗,也可行玻璃体腔内注射抗新生血管药物[12],但疗效不确切。因脉络膜骨瘤是一种发展缓慢的良性肿瘤,故无症状的脉络膜骨瘤可临床观察。本文报道的2例患者,结合B超、眼眶CT特征表现及FFA检查,诊断明确。患者因经济条件有限,未就治上级医院,定期随访视力稳定。





















