
版权归中华医学会所有。
未经授权,不得转载、摘编本刊文章,不得使用本刊的版式设计。
除非特别声明,本刊刊出的所有文章不代表中华医学会和本刊编委会的观点。
患者男,22岁。因双眼视力下降伴夜盲6年余,于2017年10月27日来我院就诊。患者自幼肥胖,智力低下。中专学历,辍学在家,目前无固定职业。追问病史,患者出生时双手、双脚均为6指(趾),于2周岁时在当地医院经手术切除第6指(趾)。11周岁时发现左侧隐睾,同年在当地医院进行手术治疗。父母非近亲结婚,患儿为独生子女,足月产,否认吸氧史、家族史。体格检查:体态肥胖,身高175 cm,体重90 kg,体重指数为29.39 kg/m2(正常值为18.5~24.99 kg/m2)。双手指、足趾粗短,外侧均可见长约5 cm手术瘢痕(图1)。心肺无异常,阴茎、睾丸均较同龄人小。


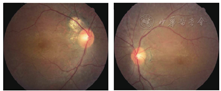
眼科检查:视力:右眼0.05(矫正视力不提高);左眼0.05(矫正视力0.1);散瞳验光:右眼-3.25 DS+0.75 DC×30=0.05;左眼-2.00 DS+0.50 DC×120=0.1;眼压:右眼17.4 mmHg;左眼18.7 mmHg;右眼外斜约15°,未见眼球震颤;双眼睑球结膜无充血;角膜清;前房中深;角膜下沉积物(-);房水闪光(+);双瞳孔等大等圆,直径3 mm左右,直接间接对光反射(+);双眼晶状体透明;双眼玻璃体透明。眼底检查:双眼视乳头颜色蜡黄,杯盘比为0.3,可见视乳头周围萎缩斑;全视网膜血管纤细;周边部视网膜可见散在骨细胞样色素沉着;黄斑中心凹光反射可见(图2)。相干光断层扫描(OCT)检查示:脉络膜、视网膜色素上皮层萎缩,神经上皮层薄变、结构欠清,中心凹视网膜层次损失较旁中心凹部分明显(图3)。荧光素血管造影(FFA)检查示:双眼静脉期可见全视网膜血管纤细,后级部至中周弥漫强荧光点,其间点状色素性荧光遮蔽;黄斑拱环边界欠清。晚期后极强荧光着染(图4)。






实验室检查:血、尿常规,肝、肾功能和血糖均在正常范围内。染色体检查结果,正常核型,46XY。双手双足X线(正侧位),双手第五掌骨近端尺侧骨性突起;双足跗跖关节面骨质形态欠自然,足趾走行欠佳(图5)。遗传学检测,患者携带3种杂合突变:(1)BBS10 c.602G>A;p.C201Y;(2)BBS10 c.539G>A;p.G180E;(3)USH2A c.4397-1G>A。家族史,其父携带杂合突变1(图6)。诊断:双眼Bardet-Biedl综合征。




Bardet-Biedl综合征又称为视网膜色素变性-肥胖-多指(趾)畸形综合征,是一种罕见的常染色体隐性遗传疾病,发病率为1/13 500-1/60 000[3]。主要临床表现为:视网膜色素变性、肥胖、多指(趾)畸形、性腺发育不全、智力发育迟缓、肾脏异常[4]。此外,还可伴有其他继发性特征,如白内障/斜视,张力过度,嗅觉障碍,听觉缺陷和先天性巨结肠[5]。
研究认为,BBS是一种以纤毛病变为基础的累及全身多系统的疾病[1]。纤毛的主要功能是进行细胞内外信号传递,影响细胞分裂和分化[6]。目前,已发现21个基因位点与BBS的发病相关[2],其中BBS1和BBS10基因是主要的致病基因[7]。BBS基因编码的BBS蛋白对维持纤毛功能具有重要作用。任何基因异常都会导致其编码的相关蛋白异常,进而影响纤毛功能,导致相关细胞功能障碍,引起BBS多器官功能的异常。该患者遗传学检测结果示携带2种BBS10基因的杂合突变。BBS10是位于染色体12q的外显子基因,编码长度为723个氨基酸的蛋白质[8]。BBS10与BBS6和BBS12组成BBS伴侣蛋白复合物,调节BBS体(BBSome)的组装[7]。研究发现,BBS10基因突变可导致囊性肾病发生[9]。此外,与其他BBS基因突变相比,BBS10可导致更严重的肥胖和胰岛素抵抗[7]。
USH2A基因突变常以常染色体隐性的遗传方式引起Usher综合征(Usher Syndrome,USH),以USH 2型常见[10]。USH 2型的特征在于中至重度感觉神经性听力损失和进行性视网膜色素变性(retinitis pigmentosa,RP)。USH 2A基因编码1 546个氨基酸的蛋白,其具有与包含层粘连蛋白表皮生长因子(LE)的许多基底层蛋白组分和含有纤连蛋白III型的细胞粘附蛋白显著相似的结构域[11]。遗传学检测结果示该患者携带USH2A基因杂合突变,此突变未见文献报道与BBS发病有关,但经过Mutation Taster、Polyphen-2、Sift分析为致病突变。BBS和USH均为综合征型RP,单纯的BBS基因突变导致的BBS及单纯的USH2A基因突变导致的USH均可表现听力障碍。迄今为止,未见文献报道同时具有BBS和USH2A基因突变的BBS患者。该患者无听力异常,此是否提示BBS和USH2A基因同时突变时可能具有与单纯BBS或USH2A基因突变不同的临床表现或致病机制,值得进一步研究。
本病临床表现可累及全身多个系统,其中包括六大主要临床特征:①视网膜色素变性:90%以上的BBS患者会出现视网膜色素变性,多数为非典型视网膜色素变性[5],此变性的主要表现为进行性夜盲、中心视力下降、视野缩小等。患儿3岁时即可出现视网膜电流图异常,而眼底表现尚正常,并多在成年前发展为严重视力障碍,20岁前可能完全失明[12]。②肥胖症:此症状发病率在BBS患者中高达72%~92%[13]。通常出生时患者体重在正常范围内,于儿童期起病,并随年龄增长而加重,可进一步发展导致2型糖尿病发生[5]。研究发现,BBS基因编码的BBS蛋白是瘦素受体运输的重要介质,BBS基因缺失导致瘦素抵抗、瘦素受体功能障碍可能是引起患者肥胖的原因[5]。③多指(趾)畸形:此症状是唯一在出生时即可观察到的症状。69%的BBS患者出现此症状[14],63%~81%患者表现为轴后型(第五指/趾外侧)[15],少数患者表现为轴中型。此外,患者肢体还可出现短指(趾)、并指(趾)等畸形。④性腺发育不全:此症状发生于约59%~98%的BBS患者,男性多于女性[16]。男性患者出生时多有小阴茎、小睾丸,少数患者可出现隐睾。成年后性腺功能减退,大多不育。女性患者表现为性腺发育异常,如子宫、输卵管、卵巢发育不全,尿道口缺如,阴道积水等,但也有部分患者可生育正常健康后代[13]。⑤智力发育迟缓:此症状表现程度不一,可从轻度学习困难到严重智力障碍,并可伴有语言缺陷及行为异常(如情绪不稳、精神异常)等表现。大脑海马区是帮助人类处理长期学习与叙述性记忆的主要区域,而研究发现,BBS患者海马体积较正常偏小[17],这可能与患者智力低下有关。⑥肾脏异常:此症状是引起BBS患者致死的主要原因,发病率为90%~100%[14]。大多数患者常表现为尿液浓缩功能异常,如烦渴、多饮、多尿等,后期可发展为慢性肾脏衰竭。少数患者也可出现肾脏结构异常,如肾囊肿、马蹄肾等。
次要临床特征:①心血管系统疾病:房间隔缺损、动脉导管未闭、高血压等。②牙齿异常:牙列拥挤、高拱形上颚等。③骨骼发育异常:蹼状颈、椎骨和肋骨异常等。④神经系统异常:共计失调、平衡障碍等。⑤消化系统异常:肝纤维化、胆管扩张等。⑥其他:糖尿病、哮喘、贫血等[3]。
BBS诊断主要依赖于其典型的临床特征。Beales[13]提出满足4项主要临床特征或3项主要特征及2项次要特征即可诊断为BBS。该患者具有视网膜色素变性、肥胖、多指(趾)畸形、性腺发育不全、智力发育迟缓5项主要临床特征,即可诊断为BBS。
(1)Laurence-Moon综合征:是一种罕见的常染色体隐性遗传疾病,发病率较BBS低。表现为痉挛性截瘫、远端肌张力减弱,无肥胖和多指(趾)畸形。眼底表现亦非真正的视网膜色素变性,为合并严重进行性脉络膜萎缩的毯层样视网膜色素变性。
(2)Prader-Willi综合征:表现为肥胖、智力障碍、促性腺激素分泌不足、身材矮小等,无视网膜色素变性、多指(趾)畸形、肾脏异常。
(3)以纤毛病变为基础的疾病:①Alstrom综合征:为常染色体隐性遗传。临床表现包括先天性进行性视力减退、进行性感音神经性耳聋、婴儿期肥胖、2型糖尿病、男性性腺发育不全,无多指(趾)畸形和智力障碍。②MORM综合征:又称为智力发育迟缓-躯干型肥胖-视网膜色素变性-小阴茎综合征。视网膜色素变性表现为先天性非进展性视网膜营养不良,无多指(趾)畸形、性腺发育不全、肾脏异常。③Jeune综合征:为常染色体隐性遗传软骨发育异常性疾病。患儿表现为狭长胸廓、肋骨短、长骨短、多指(趾)畸形。部分患儿5岁左右可出现视网膜色素变性、肾囊性变、肝纤维化。④McKusick-Kauffman综合征:为常染色体隐性遗传病。表现为泌尿生殖系统异常、多指(趾)畸形、先天性心脏病,无视网膜色素变性、肥胖等表现。





















