
探讨总结1例因PICC无症状血栓导致导管拔除困难患者的护理。
通过观察局部与全身情况、心理测试、胸部X线定位、血管超声,运用评判性思维,分析拔管困难的原因;经过积极抗凝及溶栓治疗,间歇拔除导管;拔管后做好延续护理。
实施上述护理措施后,24 h内间歇拔除导管,拔管后3个月随访血管超声,显示血管内血栓完全机化。
临床中遇PICC拔除困难时,不可强行拔管,先分析原因,并实施正确的护理措施,可以提高拔管成功率。
版权归中华医学会所有。
未经授权,不得转载、摘编本刊文章,不得使用本刊的版式设计。
除非特别声明,本刊刊出的所有文章不代表中华医学会和本刊编委会的观点。
PICC为患者提供了一条安全、方便的静脉通路,目前已广泛应用于中、长期静脉输液的患者,尤其是需要多次化疗的肿瘤患者。但是,PICC长期留置也会出现一些并发症,其中PICC相关性血栓、拔管困难是较为严重的并发症。PICC相关性血栓是指导管置入体内后,由于穿刺或导管机械性损伤血管内膜以及患者自身状态等原因,使导管所在的血管内壁或导管附壁形成血凝块[1]。它可以发生在浅静脉和/或深静脉,分有症状性血栓和无症状性血栓,有症状性血栓发生率为0.5%~12.0%[2,3,4,5,6,7],无症状性血栓发生率为24.2%~66.0%[7,8,9]。拔管困难是由于患者心理、体位、导管异位、打结、静脉炎、感染、血栓等因素,导致拔管过程中出现牵拉感或弹性回缩,致使拔管过程不畅,甚至无法拔出,其发生率为0.340%~0.965%[10]。由于肿瘤患者自身的生理因素,如血液呈高凝状态、肿瘤细胞黏附、导管的持续刺激,促使血栓形成,导致血管腔变窄,引起拔管困难。当遇到拔管困难时,不可强行拔除,以免出现导管断裂、血管组织损伤、血栓脱落,甚至肺栓塞等严重后果。2018年8月,我院泌尿外科1例前列腺肿瘤患者治疗结束,拔除PICC时出现拔管困难,现报道如下。
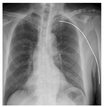
患者,男,64岁,诊断为前列腺癌,既往有高血压、糖尿病病史。入院实验室检查:血常规正常,D-二聚体620 μg/L。2018年3月29日因化疗需要右上臂贵要静脉在超声引导下置入非三向瓣膜单腔4 F PICC(美国昊朗优力捷导管),穿刺、送管均1次成功,导管置入体内45 cm,胸部X线片显示导管尖端位于上腔静脉下段,气管隆突下1椎体。导管留置期间,患者在本院共接受6次静脉化疗(泰素帝、地塞米松联合用药),每次输液前回抽血液通畅,未发现导管内血栓,输液结束10 ml氯化钠注射液脉冲冲管,2 ml肝素氯化钠溶液(浓度10 U/ml)正压封管。治疗间歇期患者在当地医院每7天维护一次,未发生异常情况。2018年8月3日患者完成最后一次化疗,遵医嘱拔管,导管体内留置129 d。护士严格遵守PICC拔管操作流程。拔管初始无阻力,拔出15 cm时突然阻力增大,停止拔管动作,导管回弹,回抽血液通畅,冲洗通畅。胸部X线片显示导管走形及尖端位置见图1。


静脉治疗专科护士根据临床经验,运用评判性思维分析患者拔管困难的原因,通过观察局部与全身情况、心理测试、胸部X线定位、血管超声,排除静脉炎、感染、血管痉挛、导管夹闭综合征、导管异位、打结、纤维蛋白鞘,最终血管超声显示左上肢腋静脉内血栓形成。即刻遵医嘱低分子肝素钙注射液0.4 ml皮下注射每12小时1次,5 000 U/ml尿激酶溶液2 ml直接推注入导管内,抗凝及溶栓治疗13 h后第1次尝试拔管,拔管失败;继续抗凝及溶栓治疗,6 h后第2次尝试拔管,导管顺利拔除,导管外壁未见附着物,未发生导管断裂,遵医嘱继续低分子肝素钙注射液抗凝治疗。2018年8月9日患者抗凝治疗1周,生命体征稳定,左上肢未见红肿、疼痛,血管超声提示左上肢腋静脉内血栓部分机化,医嘱出院。出院后患者继续抗凝治疗3个月,每2周复查血常规、凝血功能及患侧血管超声,期间未发生出血情况,血常规及凝血功能监测均在正常范围。抗凝治疗3个月后血管超声显示左上肢腋静脉内血栓已完全吸收。
1.拔管困难的原因分析。PICC拔除困难的原因很多,主要有心理、体位、导管异位、打结、静脉炎、感染、血栓等。分析该例患者拔管困难的难点在于患者无任何症状,护士需要根据专业知识和临床经验,借助胸部X线片、超声等辅助检查,运用评判性思维分析判断拔管困难的原因。评判性思维是指个体在复杂情景中,能灵活地在反思的基础上加以分析、推理,做出合理的判断,运用已有知识和经验对问题的解决方法进行选择,在面临各种复杂问题及各种选择时,能够正确取舍。(1)排除静脉炎、感染。依据美国静脉输液协会的静脉输液护理操作标准[11]判断,患者未发生静脉炎。PICC相关的感染包括伤口局部感染和导管相关血流感染,患者体温正常,伤口未见红肿、化脓,可以排除。(2)排除血管痉挛和血管收缩。拔管时,一些患者由于精神过度紧张、焦虑、恐惧使交感神经兴奋性增强,引起血管痉挛或血管收缩,导致拔除困难。本例患者出现拔管困难时,妻子陪伴,家庭及社会支持系统好,对医务人员的工作表示肯定,无指责,无抱怨,采用焦虑自评量表(SAS)[12]对患者的心理状态进行评定。SAS主要评定20种症状出现的频度,"1"表示没有或很少时间有,"2"表示有时有,"3"表示大部分时间有,"4"表示绝大部分或全部时间都有,20个项目的各个得分相加,得粗分;用粗分乘以1.25,取整数,得到标准分。标准分<50分为正常,50~59分为轻度焦虑,60~69分为中度焦虑,≥70分为重度焦虑。患者用SAS评定得粗分33分,再乘以1.25得标准分41分,低于50分,判断为正常。(3)排除导管夹闭综合征。导管夹闭综合征指导管经第1肋骨和锁骨之间的狭窄间隙进入锁骨下静脉时,受第1肋骨和锁骨挤压而产生狭窄或夹闭而影响输液,严重时可致导管破损或断裂[13]。茹晚霞等[14]报道了1例PICC因夹闭综合征导致拔管困难的案例。本例患者第1次发生拔管困难时,体内导管长度30 cm,预估导管尖端位于锁骨下静脉,胸部X线定位显示导管尖端位于锁骨下静脉内1/3处,无导管打结。协助患者取平卧位,肩下垫软枕,头颈后仰,锁骨上抬,打开锁骨及第1肋间的夹角,并将置管侧肢体外展90°,拔管失败。协助患者取坐位,身体前倾,肩部内收,置管侧上肢上抬,稍加用力拔出导管7 cm再次受阻,此时体内导管长度23 cm,判断导管尖端位于腋静脉,排除导管夹闭综合征。(4)超声诊断PICC相关性血栓。PICC相关性血栓包括有症状血栓和无症状血栓,其中,无症状血栓占多数,目前已成为关注的焦点。患者无症状、无主诉并不代表没有血栓形成,护士要运用专业知识和临床经验科学地分析,及时行血管超声鉴别排查,早发现、早治疗,防止出现更严重的并发症。本例患者专科护士在排除了其他原因后,利用专业知识和临床经验先予5 000 U/ml的尿激酶溶液2 ml封管,同时建议行血管超声,为患者争取了治疗时间。最终,血管超声证实腋静脉血栓形成。本例患者PICC相关性血栓形成与年龄(64岁)、疾病(肿瘤、糖尿病)、导管留置时间(129 d)等因素有关。
2.PICC相关性血栓的护理。血栓的治疗需要一个较长的过程。住院期间,密切观察生命体征,有无出血情况,听诊肺部有无啰音,询问患者有无胸痛、咳嗽、心悸、咯血等肺栓塞的临床表现,床边备氧气、吸引器,有情况立即报告医生及时处理。每天测量臂围并记录,每周复查血常规、凝血功能和血管超声。协助患者每天饮水1 500~2 000 ml,以降低血液黏稠度。告知患者及家属患肢禁止按摩、热敷,避免剧烈活动和撞击,以免血栓脱落。出院时,告知继续抗凝治疗和多饮水的重要性,每2周复查血常规、凝血功能、血管超声。在患肢肘窝上10 cm处做好标记,为患者建立臂围记录手册,教会患者和家属臂围测量的方法,告知臂围增粗≥2 cm,或出现胸痛、心悸等不适情况及时到医院就诊。出院后前半个月,每3天电话随访,之后每周电话随访。本例患者抗凝治疗3个月,治疗期间无不适主诉,血常规、凝血功能正常,无出血倾向,复查血管超声显示血栓完全机化。
3.拔除PICC的时机与技巧。一旦确诊PICC相关性血栓形成,传统的处理方法是先拔管,然后采用抗凝治疗,但是,拔除PICC前必须通过超声确认是否为漂浮血栓。对于漂浮血栓建议先正规抗凝治疗7~10 d,待血栓消失或稳定后再拔管,否则拔管过程中容易造成血栓脱落甚至导致肺栓塞。对于稳定型血栓可以先拔管,同时抗凝治疗。遇拔管困难时,不可强行拔除或反复试拔,以免出现断管或血栓栓子脱落而危及生命,掌握拔管技巧可以防止断管和拔管失败,是提高拔管成功的关键[15]。本例患者排除其他原因后,积极遵医嘱溶栓、抗凝治疗,13 h尝试拔管,无阻力下拔出导管18 cm,再次受阻,此时导管体内长度5 cm,体外35 cm,回血好,冲洗通畅;继续溶栓、抗凝治疗,6 h后再次尝试拔管,顺利拔除体内的5 cm导管,检查导管完整,无破损,外壁未见血栓附着。本例患者溶栓、抗凝治疗19 h,间歇拔除导管。
护理人员要熟练掌握PICC拔除困难的原因和护理,遇拔管困难时沉着冷静,切忌使用暴力,也不能盲目按摩、热敷,以免出现血栓脱落、肺栓塞等更严重的并发症。对于静脉血栓的高危人群,PICC置入后需预防血栓的发生,拔除PICC前建议超声排除静脉血栓。本例患者具有年龄大,肿瘤合并高血压、糖尿病,是发生静脉血栓的高危人群,提示我们PICC留置期间警惕静脉血栓的发生。
所有作者均声明不存在利益冲突





















