
总结1例血友病性关节炎合并丙肝患者同期行单侧髋、膝关节置换术患者的围手术期护理经验。
2018年8月,兰州大学第一医院收治1例血友病性关节炎合并丙肝患者,对患者做好健康宣教、功能锻炼、检查评估等术前准备,同期行单侧髋、膝关节置换术。术后加强切口及导管管理,积极预防并发症,在做好疼痛管理及安全的凝血因子活性条件下指导患者进行功能康复锻炼;整个围手术期注重凝血因子替代治疗的护理。
经过精心护理,患者住院期间未发生严重并发症,出院前影像学检查假体位置及力线满意。
通过本例患者围手术期护理证明,上述护理措施对同期行单侧髋、膝关节置换术的血友病性关节炎合并丙肝患者是有效的。
版权归中华医学会所有。
未经授权,不得转载、摘编本刊文章,不得使用本刊的版式设计。
除非特别声明,本刊刊出的所有文章不代表中华医学会和本刊编委会的观点。
血友病(Hemophilia)是一种凝血功能障碍性疾病,临床上最常见的是血友病A(Hemophilia A)和血友病B(Hemophilia B),分别是由于凝血Ⅷ因子(FⅧ)和凝血Ⅸ因子(FⅨ)缺乏所致。关节是血友病最常见的出血部位[1],关节腔反复出血诱发炎症,最终导致血友病性关节炎(hemophilic arthritis HA)。血友病性关节炎可累及一个或多个关节,以膝、踝等负重关节及肘关节最为常见[2],髋关节的发生率比上述关节少,一旦发生就可能致残[3],血友病性关节炎晚期表现为关节挛缩畸形、活动受限,严重影响生命质量[4,5]。替代治疗是指通过输注缺乏的凝血因子将凝血因子活性提高到止血或预防出血的水平,在凝血因子替代治疗的保护下进行人工关节置换是晚期血友病性关节炎有效的治疗手段,可显著缓解疼痛和有效改善关节功能[6],但手术及术后并发症风险比非血友病患者要高[7]。非血友病患者同期行髋、膝关节置换术的病例报道较多[8,9],对多关节病变的血友病患者是否行同期多关节置换手术,因对手术风险和获益没有达成共识,尚存在争议,相关的病例报道也较为少见[3]。2018年8月,我院收治1例血友病(A型)性关节炎合并丙肝患者,在凝血Ⅷ因子替代治疗下,在全麻下同期行"右侧全髋关节置换术+右侧全膝关节置换术",患者围手术期未发生严重并发症,髋、膝关节疼痛明显减轻,出院后2个月随访功能恢复良好,现报道如下。
患者,女,49岁,体质量69 kg,体质量指数(BMI)25.8 kg/m2,因"双下肢活动受限,双髋、双膝部疼痛21年,并进行性加重半年"入院,患者28岁时出现无明显诱因的双下肢活动障碍,双髋、双膝部肿痛,就诊于当地医院,行相关检查后诊断为"血友病A型",给予补充凝血Ⅷ因子制剂,症状明显好转,此后反复出现全身多关节肿痛,每次均给予补充凝血Ⅷ因子制剂。1年前当地医院检查抗-HCV(+),近半年来感双髋、双膝部疼痛,活动受限,以右侧为著,并进行性加重,于2018年8月7日收住我院骨科。根据病史、症状、体征及实验室检查,诊断为:血友病A型;血友病性关节炎;丙型肝炎。专科查体:左侧髋关节活动内收15°、外展20°、外旋10°、内旋15°、屈曲90°;右髋关节活动内收、外展各10°、内外旋各5°、屈曲70°,右下肢呈屈曲、外旋畸形位,双膝关节屈曲障碍。实验室检查:(1)术前出凝血:凝血酶原时间(prothrombin time,PT)11.5 s,活化部分凝血活酶时间(activated partial thromboplastin time, APTT)107.6 s,凝血Ⅷ因子活性(FⅧ:C):2.5%;(2)凝血Ⅷ因子活性+APTT纠正试验:APTT(患者)103.0 s,APTT(正常)31.4 s,APTT(混合)37.5 s,APTT(1 h)40.6 s,APTT(2 h)42.4 s;(3)术前感染八项:抗-HCV(+),HCV-RNA3.38×107 IU/ml。影像学检查:双下肢不等长,右侧771 mm、左侧784 mm,右侧股骨头形态失常,局部骨质密度增高,双侧股骨外上髁变尖,双膝关节面不光整,关节间隙狭窄,双踝关节面粗糙,右侧股骨头形态失常,局部骨密度增高,腔隙狭窄;双侧髋关节、膝关节、踝关节骨关节病。
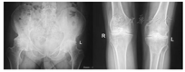
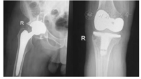
临床诊断为血友病性关节炎,双髋及双膝关节均有关节置换适应证,但右侧髋、膝关节病变较左侧严重,在完善相关检查,无心肺等手术禁忌证后,于全麻下行"右侧全髋关节置换术+右侧全膝关节置换术"。术前3 d静脉输注凝血Ⅷ因子2 000 IU/次,每12小时输注1次;术前2 h静脉输注凝血Ⅷ因子3 000 IU,术前30 min急查PT13.8 s,APTT 31.3 s,凝血Ⅷ因子活性(FⅧ:C)108.6%;术前30 min静脉输注联合术中局部应用氨甲环酸减少出血及输血,术中动态监测凝血Ⅷ因子活性保持在80%以上,术中出血900 ml,输全血600 ml。术后持续监测凝血Ⅷ因子活性,按需输注凝血Ⅷ因子,同时给予抗感染、止血、止痛等对症治疗。术后第32天影像学检查提示右侧人工髋、膝关节位置正常,关节对位良好,结构完整。手术前后影像学检查见图1、图2。术后第34天出院。




1.术前准备。(1)健康宣教。患者此次需接受同期"右侧全髋关节置换术+右侧全膝关节置换术",因手术风险大、治疗费用高,患者心理压力较大,而且对手术预后缺乏信心,存在紧张、偶尔坐立不安、唉声叹气、生闷气、情绪低落等负性情绪。通过图谱、视频资料等形式对患者及家属讲解拟手术方法及疗效,消除患者对手术的恐惧感,增加战胜疾病的信心;告诉患者凝血因子替代治疗是安全渡过围手术期的重要保障,术后通过预防并发症及加强功能锻炼可以提高生命质量,以此增强手术及术后锻炼的依从性;同营养科、血液科制订营养计划,给予高热量、高蛋白、少油腻、易消化饮食;嘱患者做好保暖,避免受凉感冒;血友病患者因长期输注血制品,是血液相关传染病的高危人群,本例患者抗-HCV(+),HCV-RNA为3.38×107 IU/ml,因此还需做好丙型肝炎的健康教育,对患者的分泌物、排泄物及使用过的物品做好消毒处理,避免交叉感染。(2)术前功能锻炼。指导患者进行缩唇呼吸、腹式呼吸等深呼吸训练,同时配合做有效咳嗽练习,咳嗽时应短促有力,利于排痰及预防肺部感染;指导患者行踝关节泵式往复运动预防术后下肢深静脉血栓。(3)术前检查及评估。积极完善血生化及血常规、凝血因子活性和抑制物筛查、术前感染八项、心肺功能等术前检查;评估患者膝关节功能、髋关节功能、日常生活活动能力。
2.凝血因子替代治疗及输血的护理。(1)替代治疗。对于血友病性关节炎患者来说,通过替代疗法将凝血因子活性提高到止血水平,是进行手术及术后康复的基础[10]。入院后查凝血Ⅷ因子活性为2.5%,遵医嘱于术前3 d每12小时输注凝血Ⅷ因子1次,术前2 h静注凝血Ⅷ因子3 000 IU,术前30 min急查凝血Ⅷ因子活性为108.6%,确保手术时凝血Ⅷ因子活性在80%~100%。术后每日监测凝血Ⅷ因子活性及血红蛋白,以便及时调整凝血Ⅷ因子输注量、间隔时间和及时发现抑制物。凝血Ⅷ因子补充量根据以下公式计算:凝血Ⅷ因子的补充量=体质量(kg)×(期望值-实测值)×0.5[10],使凝血Ⅷ因子活性在术后1~3 d、4~6 d、1~2周分别保持在60%~80%、40%~60%、30%~50%[11]。(2)输血的护理。输注凝血因子时实行双人查对,现配现输,输注时注意观察患者有无皮肤潮红、心率加快、发热、出冷汗等不良反应,并备肾上腺素、地塞米松等预防过敏反应;输血制品前对血液的性状、颜色及血型予以仔细核对,输注时遵守由慢到快的原则。患者术后第5天红细胞压积27.3%,红细胞平均血红蛋白浓度32.6 g/L,血红蛋白89 g/L,遵医嘱输注红细胞悬液2 U,输注时先将滴速调为15滴/min,观察15 min患者无畏寒、发热等输血反应后将滴速调整为50滴/min,输注30 min、1 h、输血结束及结束后1 h分别进行观察及评估,患者未出现输血反应。(3)静脉通道的选择。患者外周粗直血管较少,且皮肤褶皱较多,为减少反复穿刺引起出血及感染,使用静脉留置针输注时遵循由小到大、由远心端至近心端的原则选择穿刺部位,另外,输注结束后用5~10 ml 0.9%氯化钠正压封管。
3.术后体位管理及病情观察。回病房后保持患肢外展中立位,两腿中间放一软枕防止患肢内旋,膝关节下垫软垫,抬高双下肢至约心脏水平以促进静脉、淋巴的回流,注意观察肢体血运、温度、感觉异常;建立翻身卡,每2小时翻身1次。翻身时在双下肢间放置软枕,利用翻身毛巾调整好体位后托住术侧髋膝部,采取双人翻身;持续心电监护,低流量吸氧,2 L/min;密切观察生命体征变化,每30分钟测量1次血压、呼吸、体温,记录液体出入量及血氧饱和度;定期检查电解质、肝功能及腹部B超。
4.疼痛管理。用视觉模拟评分表(Visual Analogue Scale,VAS)进行持续疼痛评分,了解患者当前疼痛程度。患者入院后VAS评分2~3分,通过疼痛宣教、听音乐、聊天谈心等方式分散患者的注意力,以减轻疼痛。术后采用超前镇痛及多模式镇痛,手术结束前安装静脉自控镇痛泵,教会患者根据疼痛情况按压控制装置的方法,初始给药速度设定为1 ml/h,维持时间为48 h;术后第2天遵医嘱口服氨酚羟考酮5 mg,2次/d。同时帮助患者调整患肢位置、间断冰敷患侧关节以减轻疼痛,夜间休息时使用关节支具保持患侧髋、膝关节制动。我们在此例患者的疼痛管理中,除医护人员对患者做好个体化疼痛宣教外,还引入同伴教育支持作为疼痛健康教育的有益补充,得到患者认可。经过上述疼痛管理,患者术后VAS评分在2~4分。
5.术后并发症的预防护理。(1)导管管理。导管管理包括预防导管滑脱及导管相关性并发症。导管滑脱是常见的护理不良事件,多发生在术后24 h内[12]。廖庆萍等[13]对某医院护理不良事件的分析研究显示,导管滑脱发生率连续3年位列护理不良事件的前5位,占比均在10%左右。患者术后带回髋膝关节引流管、尿管、输液管,增加了导管滑脱风险。及时对患者及家属进行导管安全教育,告知每一根导管的作用及注意事项;在床头放置红色"防止管路滑脱"标识;密切关注切口敷料是否在位,有无渗血、渗液及脱落,保持负压引流管、尿管、输液管等各种管路通畅,负压吸引器置于低于切口30 cm的位置,以保证彻底引流;观察并准确记录引流液的性质、颜色和引流量,若出现短时间内引流出大量新鲜血,应考虑止血不良或凝血Ⅷ因子不足。患者髋关节术后24 h内引流出淡红色血性液体150 ml,24~48 h内引流出淡红色血性液体30 ml,48 h后拔除引流管;膝关节术后24 h内引流出淡红色液体40 ml,24 h后拔除引流管。(2)切口护理。血友病患者切口周围易形成血肿,增加了感染风险[7],尤其是凝血因子抑制物阳性的患者术后伤口感染的可能性更高[14]。Mortazavi等[15]报道103例血友病膝关节置换术患者发生2例伤口感染,感染率为1.9%,Teo等[16]报道905例非血友病全膝关节置换术患者切口感染率为0.66%,远远低于血友病患者。因此,切口护理的重点在于防止感染、预防出血及形成血肿,促进伤口愈合。①保持切口及周围清洁干燥,每日换药1次,观察切口有无红、肿、热、痛;②给予患者充分的营养支持及静脉滴注维生素C增强机体抵抗力;③保持引流管通畅,密切观察引流量变化并给予早期拔管。本例患者经采取上述护理措施,术后髋、膝部切口均未出现感染,Ⅰ期愈合。(3)假体脱位及松动的预防。假体脱位和松动是关节置换术后常见并发症[17],孙远新[18]报道行髋关节置换术的患者脱位发生率为4.4%,一旦发生假体脱位或松动,将严重影响疗效和患者的生命质量。虽然没有证据表明血友病与假体脱位具有相关性[7],但血友病患者发生假体松动的概率比非血友病患者要高[7,17],假体松动除了与合并丙型肝炎病毒及出血有关外[19],与假体的选择也有一定关系,非骨水泥假体的松动率明显低于骨水泥假体[11,17]。本例患者髋关节使用生物型假体,膝关节使用骨水泥假体,预防假体脱位和松动仍然是术后护理工作的重点之一。①给患者讲解术后易发生关节假体脱位、松动的原因,要做好自我保护和体位护理,避免髋膝关节过度屈曲和内收外旋,提高护理用具使用、翻身技术、床上便盆使用及床头柜位置放置的正确率;②加强观察患肢形态变化及长度测量,认真倾听患者主诉,及时了解手术部位的肿、痛等不适。患者术后第32天影像学检查提示右侧人工髋、膝关节位置正常,关节对位良好,结构完整,出院后2个月来院随访,亦未出现髋、膝人工关节脱位及松动。(4)下肢深静脉血栓的预防。专家共识[7]及潘佳飞等[20]均指出血友病患者在接受骨科大手术时具有相对低的血栓风险,但并不意味着不会发生血栓,董玉雷等[21]报道1例行右侧髋关节置换的血友病性关节炎患者术后第13天出现左下肢深静脉血栓。对于血友病患者行骨科手术后血栓的预防措施,目前尚无定论,Peng等[22]通过对98例行髋、膝关节置换的血友病性关节炎患者静脉血栓事件的回顾性研究认为,术后不需要进行药物预防,高彦文等[23]认为术后通过早期主动踝泵训练、静脉足底泵、间断气压治疗等基本预防和物理预防措施可有效预防下肢静脉血栓。我们主要采取以下措施预防:①动态监测凝血Ⅷ因子活性、APTT、D-二聚体及行下肢深静脉B超检查,并遵医嘱按时输注凝血Ⅷ因子;②使用静脉足底泵,抬高患肢,术后6 h开始指导患者行主动踝泵练习,密切关注下肢皮温、色泽变化等。患者至出院未并发下肢深静脉血栓。
6.功能康复锻炼。术后功能康复锻炼是关节置换治疗血友病性关节炎的重要组成部分,是改善关节功能、提高生命质量的重要途径[24],由于血友病患者常常关节周围肌肉挛缩、关节畸形,功能康复锻炼难度大[25],功能康复锻炼须在康复师的指导下进行,并遵循个性化和循序渐进的原则[7]。对于无抑制物的血友病A型血友病性关节炎患者术后功能锻炼的时机,专家共识[7]推荐在术后24 h开始,锻炼应在凝血因子替代治疗保护下进行,高娜等[26]认为输注凝血因子后6 h内凝血因子活性在40%以上,这一阶段是功能锻炼的安全期,据此我们制订了个性化的三阶段康复锻炼计划。(1)早期训练(术当日):手术当日患者麻醉完全消退后为患者按摩股四头肌和腓肠肌,指导患者活动双侧足趾及踝关节,并抬臀每2小时1次;术后6 h抬高床头,指导患者行踝泵运动,以及深呼吸、咳嗽训练。(2)中期训练(手术次日至1周):术后次日晨查凝血Ⅷ因子活性(FⅧ:C)为116.5%,继续上述训练,膝部引流管拔除后指导行患肢股四头肌等长收缩训练,健肢等张收缩训练等肌力训练,上述训练项目10次/组,10组/d,通过训练促进血液循环,预防静脉血栓的形成,同时可避免肌肉萎缩,利于关节功能恢复;术后48 h髋部引流管拔除后指导继续上述训练的同时行臀肌等长收缩训练,10次/组,10组/d,利于预防肌肉萎缩;术后第4天晨查凝血Ⅷ因子活性(FⅧ:C)为91.6%。指导患者在床上做髋、膝关节主动屈伸锻炼,并按摩下肢肌肉3~4次/d,目的是提高肌力,为离床活动及负重奠定基础;术后5 d开始指导患者进行上下床、离床坐及站立等体位转移练习。离床坐30 min后扶助行器辅助站立3 min,患者感觉无头晕、恶心,扶助行器在病房内缓步行走5 m,此后逐渐延长离床坐、站立时间,加大行走距离。(3)后期训练(术后第2周开始):持续监测凝血Ⅷ因子活性在45%~65%。继续股四头肌、踝泵及髋膝关节的主动屈曲训练,重点进行助行器辅助站立、拄拐行走及步态训练。在康复师的指导下,经过上述三阶段康复锻炼,患者术后18 d时能独立坐起,可扶助行器下床活动;术后第32天影像学检查人工髋、膝关节位置良好,于术后第34天出院。
7.出院指导及随访。作为延续性护理的一部分,家庭康复训练对改善血友病性关节炎患者关节功能,提高生命质量至关重要[27]。嘱出院后继续进行髋、膝关节功能锻炼,避免盘腿、坐矮板凳,右下肢内旋动作,防止髋膝关节脱位,在日常生活中要注意避免摔倒;禁用抑制血小板功能的药物。出院后2个月患者来院随访,右髋关节内收、外展均20°、内外旋15°、屈曲110°;右膝关节屈曲活动度为5°~110°。
经采取科学、规范的围手术期护理,本例患者切口Ⅰ期愈合,未发生下肢静脉血栓、人工关节脱位及松动等并发症,术后第18天可扶助行器下床活动,术后第34天出院,出院前影像学检查髋、膝关节假体位置及力线满意,出院后2个月随访右下肢功能恢复良好。人工关节置换可有效缓解血友病性关节炎患者的疼痛,改善关节功能,但同期行髋、膝双关节置换手术创伤大、风险高,增加了围手术期护理难度。凝血因子替代治疗是进行手术和术后康复的必要条件,是整个围手术期护理的重点。术后要加强病情观察,住院期间积极采取措施预防切口感染、导管滑脱、下肢深静脉血栓、假体脱落及松动等并发症的发生,在疼痛耐受和安全的凝血因子活性条件下指导患者积极进行科学的功能康复锻炼。出院后要定期回访,根据患者康复情况进行健康指导,最大限度的提高患者生命质量。
所有作者均声明不存在利益冲突





















