
版权归中华医学会所有。
未经授权,不得转载、摘编本刊文章,不得使用本刊的版式设计。
除非特别声明,本刊刊出的所有文章不代表中华医学会和本刊编委会的观点。
囊性包虫病(CE)是一种世界范围内广泛分布的人畜共患病。对肝腹腔CE进行经皮穿刺刮吸引流(PPDC)治疗,具有较好疗效。但部分患者PPDC治疗后由于残腔较大,合并胆瘘,带管引流时间较长,因此,易出现残腔感染等并发症,因此,作者拟采用PPDC治疗后负压引流,观察治疗效果,现将结果报道如下。
2013年1月至2014年1月,在解放军第四医院,以行PPDC治疗的35例确诊CE患者作为负压引流组观察对象。其中男21例,女14例;年龄范围为14~49岁;CE2型25例,CE3a型3例,CE3b型4例,CE4型3例。包虫囊肿直径范围为5 ~ 24 cm。病变位于肝右叶19例,肝左叶4例,两叶均有的4例,腹腔8例。合并囊腔感染的6例。另以2012年1月至2013年12月,在解放军第四医院行PPDC治疗,术后常规引流(接引流袋引流)的33例确诊CE患者作为对照组。
术前30 min给予抗过敏药物及杜非合剂。局麻生效后通过B超引导,用多功能套管穿刺针进行PPDC治疗。术中抽出包虫囊液及囊皮最多8 000 ml,术后予以常规或负压引流。引流液少于20 ml/d后,拔除引流管。观察术后带管引流时间、术后残腔并发症(感染、积液)的发生率。
用SPSS 21.0软件,组间比较采用t检验。
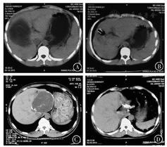
负压引流组35人,带管时间为(34.48 ± 12.46)d,明显少于对照组[33人,(54.27 ± 35.18)d,t=3.127,P< 0.05]。拨管时间负压引流组为7 d至3个月,对照组为7 d至5个月。与引流前比较,负压引流后患者残腔明显缩小(图1),且无残腔积液及感染,而对照组残腔积液及感染发生率分别为21%(7/33)、12%(4/33)。


A:CE3a型包虫病穿刺前CT影像图;B:CE3a型包虫病穿刺后负压引流CT影像图;C:CE4型包虫病穿刺前CT影像图;D:CE4型包虫病穿刺后负压引流CT影像图;CE:囊型包虫病
CE是由细粒棘球蚴寄生于人体而引起的一种人畜共患病。既往认为手术治疗是其唯一的治疗方法,后来发现阿苯达唑单独应用可杀灭虫体,治愈部分包虫病。随着穿刺及药物治疗的发展,目前认为,对于CE的手术治疗应谨慎选择,并发症型包虫病是其首要选择。
既往对于肝腹腔CE患者,无论作为治疗还是诊断,穿刺几乎都列为禁忌。主要原因有:穿刺有使囊液漏入体腔引起过敏性休克乃至死亡的可能;穿刺不能取出内囊、子囊及寄生虫本体;囊腔长期存留易致感染;残留的原头蚴及生发囊有形成新囊可能;穿刺可能导致体腔原头蚴扩散种植。另一方面,经皮穿刺也无法解决包虫囊腔胆瘘及其他并发症问题。20世纪80年代经过基础试验及相关器械改进,使包虫病的PPDC疗法,达到了与手术相似的目标:既可清理包虫内囊,又可引流囊腔。穿刺过程仅个别病例出现明显过敏反应,经治疗后未出现严重并发症。但对于囊腔较大的CE患者,通常合并有胆瘘,虽然穿刺术后能通过持续引流逐步痊愈。但长期带管及继发残腔积液、残腔感染、残腔脓肿等给患者工作与生活带来了诸多不便。为此,作者借鉴近年来兴起的封闭负压引流技术对穿刺后包虫残腔行持续负压引流治疗,通过观察发现,引流液消失时间明显缩短,残腔感染数明显减少。其原因可能为:①局部血液量增加促进创伤愈合;②创周水肿减轻,血管通透性增加,促使局部炎性物质水平下降促进创伤愈合;③促进肉芽组织生长;④提高慢性创面创周组织中某些细胞因子的表达,促进创面愈合;⑤抑制胶原和明胶的降解,促进创面愈合;⑥促进包虫残腔缩小闭合。因此,可认为残腔负压引流治疗是治疗包虫病残腔的一种较好方法。





















