
版权归中华医学会所有。
未经授权,不得转载、摘编本刊文章,不得使用本刊的版式设计。
除非特别声明,本刊刊出的所有文章不代表中华医学会和本刊编委会的观点。
患者男性,49岁,主因"全身酸痛4个月"入院。4个月前,患者无明显诱因出现全身酸痛,以颈肩部、双上肢为著,无发热、咳嗽、盗汗、关节肿痛。自行服用NSAIDs类药物,疼痛无改善。1个月前于当地医院查:血红蛋白89 g/L;血钙2.15 mmol/L(白蛋白38 g/L,经白蛋白校正后血钙2.19 mmol/L),血磷1.12 mmol/L,碱性磷酸酶(ALP)1 985 U/L(正常参考范围45~125,下同);骨扫描:中轴骨、四肢长骨多发放射摄取异常增强,呈现"超级显像"。予唑来膦酸4 mg静脉输液,症状无明显缓解。为进一步诊治收入我科。患病以来,精神差,食欲可,睡眠不佳,大小便正常,体重下降3 kg,身高无变矮。既往体健;吸烟史20余年,20支/天;家族史:1兄诊断"直肠癌"。
入院查体:体温36.5℃,血压100/60 mmHg(1 mmHg=0.133 kPa),心率88次/min,体重指数26.2 kg/m2,神志清楚,营养良好,甲状腺不大,心肺腹查体未见异常;四肢肌肉和骨骼压痛(-);骨骼无畸形,胸11、胸12棘突处压痛(+)。
辅助检查:血常规:白细胞4.18×109/L,血红蛋白94 g/L,血小板189×109/L,网织红细胞2.45%;尿便常规正常;肝肾功能:丙氨酸转氨酶11 U/L,门冬氨酸氨基转移酶22 U/L,γ-谷氨酰胺转肽酶24 U/L,乳酸脱氢酶199 U/L(0~250),肌酐55 μmol/L,血钾4.2 mmol/L,血钠140 mmol/L;血沉38 mm/h,超敏C反应蛋白0.62 mg/L。骨代谢相关指标:血钙2.10 mmol/L(2.13~2.70),血磷0.88 mmol/L(0.81~1.45),ALP 1 366 U/L(45~125),血镁0.88 mmol/L(0.70~1.10),肌酸激酶49 U/L(24~195);24 h尿钙0.32 mmol,24 h尿磷16.38 mmol;PTH 144.0 pg/ml(12.0~65.0);β-CTX 4.61 ng/ml(0.26~0.51),25-(OH)维生素D3 12.7 ng/ml;骨密度(Z值):L1-L4为2.4,全髋为-0.6;X线片:部分胸腰椎椎体、骨盆骨质密度不均(图1);骨扫描:全身骨骼多发代谢摄取异常增强,呈"超级骨显像"(图2a)。


注:a:腰椎骨密度明显增加;b:骨盆骨质密度不均匀;c:头颅板障欠规则,骨质密度尚均匀


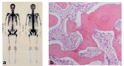
注:a:1位49岁男性患者的骨扫描,表现为全身弥漫性骨代谢异常活跃,呈"超级骨显像";b:患者第2次右髂后上棘骨髓穿刺活检病理:腺癌骨转移,在骨组织间可见成堆条索状的腺癌细胞浸润(×100)
肿瘤抗原:总前列腺特异性抗原1.04 ng/ml(0~4.00),游离前列腺特异性抗原0.37 ng/ml(0~0.93),CA199、CEA、AFP、NSE等肿瘤标记物指标均正常;血尿免疫固定电泳、尿轻链均正常。胸部CT:双肺间质改变,左侧支气管扩张;前列腺超声:前列腺稍大伴钙化。PET-CT显像:全身骨骼呈现弥漫性高代谢,其他脏器未见明显代谢增高病灶。第1次行左髂前上棘骨髓穿刺:未见明显异常。第2次行右髂后上棘骨髓穿刺活检:骨髓干抽,无法完成骨髓涂片;取骨髓活检,病理提示"转移性腺癌(图2b),免疫组化AE1/AE3(+)、CDX-2(+)、CEA(+)、CK20(+)、CK7(+)、PSA(-)、TTF-1(-)。"进一步行胃肠镜检查,未发现消化道肿瘤病灶。目前根据病理结果进行化疗。
患者为中年男性,以全身疼痛为主要表现,生化检查为血钙轻度降低,血磷正常,血ALP明显升高,PTH轻度升高,24 h尿钙偏低,骨密度(DXA)检查示腰椎骨密度水平明显升高,骨扫描呈现"超级骨显像"。ALP水平明显升高,为成骨性骨代谢异常的重要指标。由于大量骨形成增加,钙质进入骨骼,导致血钙降低,血PTH继发性升高,尿钙排泄减少。上述结果提示,患者存在弥漫性的以成骨为主的代谢异常,但潜在的发病机制尚不明确。
ALP显著升高是本例患者的主要临床特点之一。ALP分为肝源性及骨源性。本患者肝功能正常,因此考虑为骨源性高ALP血症。常见病因如下:(1)Paget骨病(又称为"变形性骨炎"):以颅骨、躯干骨、下肢长骨等部位的局灶性或多发性编织骨形成为主要表现[1],ALP显著升高,双膦酸盐类药物治疗有效[2]。而本患者为全身弥漫性骨代谢显著增加,骨骼X线片未显示局部或多灶性骨骼膨大和变形,因此可除外该诊断。(2)骨软化症:由于维生素D缺乏、血钙磷不足、酸碱失衡等多种原因导致类骨质矿化障碍,临床表现以骨痛、骨骼变形、肌无力、非暴力性骨折为主,影像学可见骨小梁模糊、椎体双凹变形、假骨折线等。本患者骨骼矿化正常,腰椎骨密度增加,不符合骨软化的表现。(3)多发性骨髓瘤:因浆细胞肿瘤性增殖产生单克隆免疫球蛋白而导致广泛溶骨性骨质破坏,临床表现主要为贫血、骨痛、高钙血症、体重减轻等[3]。本患者虽高度怀疑此诊断,但血钙偏低、血免疫固定电泳未见单克隆免疫球蛋白、多次骨髓穿刺未发现浆细胞增多,均不支持此诊断。(4)恶性肿瘤成骨性骨转移:肿瘤骨转移通常发生在肋骨和脊柱。骨扫描可见多发性局灶性(肋骨和椎体)放射浓聚病灶。但对本例患者,骨扫描显示"超级骨显像",全身骨骼弥漫高代谢信号,这与典型的骨转移表现存在显著差异。并且,PET-CT显像和各种肿瘤指标阴性,均未能提示原发的恶性肿瘤病灶。临床医生希望通过活检取得病理,但因病变全身弥漫,因此难以确定活检部位。最终通过多次骨髓活检,病理诊断为"腺癌骨转移"。
本患者的另一临床特点为"超级骨显像"。超级骨显像是指骨骼较软组织摄取明显增高。这种情况可出现于恶性肿瘤骨转移、代谢性骨病(Paget病、原发性甲状旁腺功能亢进症等)、血液系统疾病(白血病、淋巴瘤、骨髓纤维化等)、甲状腺功能亢进症、骨纤维异常增殖症等。这提示临床医生,对超级骨显像患者,需对上述疾病进行细致、全面的鉴别诊断。
恶性肿瘤骨转移分为溶骨性骨转移和成骨性骨转移,以溶骨性骨转移常见[4]。肺癌、甲状腺癌、肾癌、乳腺癌、多发性骨髓瘤等,通常发生溶骨性骨转移。成骨性骨转移非常少见,文献报道有前列腺癌、乳腺癌、类癌、小细胞肺癌、恶性胶质瘤、胸腺瘤等[5],其中以前列腺癌骨转移最为多见[6]。消化道腺癌引起成骨性骨转移很少见,仅有数十例报告[5,7,8],往往和预后不良有关。有学者认为,成骨性骨转移的机制,与肿瘤分泌肽内皮素(ET)[9]、血小板衍生因子(PDGF)[10]等因子(体液因素)刺激骨形成和成骨细胞增殖相关,而并非肿瘤细胞直接转移至骨骼所致。该发病机制可以解释"全身弥漫性骨代谢异常"。但本患者的骨髓活检为腺癌骨转移提供了直接证据,提示肿瘤弥漫性骨转移也可导致"全身超级骨显像"表现。因此,当临床怀疑肿瘤转移所致的弥漫性骨代谢异常时,应行多次多部位的骨髓穿刺或骨骼活检,寻找肿瘤转移的证据。
治疗方面,患者目前已根据病理结果进行胃肠道腺癌化疗。研究表明,双膦酸盐类药物可使前列腺癌骨转移患者骨痛减轻、骨折发生风险降低[10,11,12,13]。但对于消化道腺癌导致成骨性骨转移患者的治疗效果,尚无明确定论。
综上所述,恶性肿瘤骨转移,在骨扫描中不仅可表现为"多部位局灶性的放射性浓聚",还可表现为"弥漫性的放射性浓聚"。对"超级骨显像"伴有ALP明显升高、血钙降低的患者,需高度警惕恶性肿瘤成骨性骨转移。多部位、多次的病理活检,是明确诊断的重要手段。





















