
本文报道1例以皮肤变黑、浮肿为主诉的原发性肾上腺皮质功能减退(Addison病)中年男性患者,同时合并高促性腺激素性性腺功能减退、甲状旁腺功能减退和亚临床甲状腺功能减退,此外患者还有皮肤增厚、多毛和多浆膜腔积液。经检查发现M蛋白和VEGF水平升高,进一步明确诊断为POEMS综合征。其肾上腺CT提示肾上腺正常。对于成年起病的多内分泌腺体功能异常,除了考虑自身免疫性多腺体综合征(APS)以外,也需要考虑到POEMS综合征的可能性。
版权归中华医学会所有。
未经授权,不得转载、摘编本刊文章,不得使用本刊的版式设计。
除非特别声明,本刊刊出的所有文章不代表中华医学会和本刊编委会的观点。
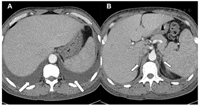
患者男性,49岁,主因"皮肤变黑、浮肿4年"于2017年12月就诊。2014年患者无明显诱因出现全身肤色变黑伴双下肢浮肿,浮肿逐渐蔓延至全身,尿量较前减少,每日尿量约900 ml。无发热、盗汗、咳嗽、咳痰,无胸闷、憋气,无尿中泡沫、尿色改变,未诊治。2016年7月外院查血常规白细胞4.83×109/L、中性粒细胞48.9%、血红蛋白148 g/L、血小板186×109/L。尿常规尿潜血(),蛋白(-)。血沉16 mm/h。ANA+dsDNA(-),抗ENA(-)。2017年3月外院查血白蛋白34.6 g/L、校正后血Ca2+ 2.12 mmol/L、Na+ 143.3 mmol/L、肌酐81 μmol/L(正常参考范围30~110,下同)。2017年4月来我院进一步检查:清晨血总皮质醇6.09 μg/dl(4.0~22.3)、血浆ACTH 127.0 pg/ml(0~46)、24 h尿游离皮质醇17.78 μg/24 h(12.3~103.5)。甲状腺功能FT3 1.92~2.82 pg/ml(1.80~4.10)、FT4 0.864~0.980 ng/dl(0.81~1.89)、TSH 5.873~7.896 mIU/L(0.38~4.34)、TPO-Ab、TG-Ab阴性。性激素5项LH 12.71 IU/L(1.24~8.62)、FSH 14.21 IU/L(1.27~19.26)、睾酮1.65 ng/ml(1.75~7.81)、雌二醇54.00 pg/ml(<47.00)、孕酮0.37 ng/ml(0.10~0.84)。空腹血糖4.9 mmol/L、血清Na+ 141 mmol/L、K+ 4.0 mmol/L、白蛋白32~35 g/L、校正后血Ca2+ 1.84~2.08 mmol/L(2.13~2.70)、磷1.48~1.60 mmol/L(0.81~1.45)、PTH 67.1 pg/ml(12.0~68.0)、25-羟维生素D3 9.8 ng/ml(8.0~50.0)。肾上腺CT平扫+增强示双侧肾上腺大小形态密度未见明显异常,脾大,肝周及脾周积液,双侧胸腔积液(图1)。考虑原发性肾上腺皮质功能减退(Addison病),自身免疫多腺体综合征(APS)不除外,予氢化可的松20 mg/次,1次/d治疗1个月后复查清晨血浆ACTH 143.0 pg/ml。期间患者出现食欲下降,性功能减退表现。2017年7月因反复咳嗽于当地住院检查胸部CT示右侧胸腔积液,进行胸腔穿刺检查,胸水常规:淡黄色,无凝块,白细胞130×106/L、中性粒细胞55%、淋巴细胞45%、红细胞8 000×106/L。胸水生化:总蛋白37.8 g/L(0.0~25.0)、葡萄糖5.9 mmol/L(3.89~6.11)、腺苷脱氨酶2.78 U/L(0~25)。胸水结核菌涂片(-)。予喹诺酮类抗生素治疗后症状稍减轻,2017年8月再次因咳嗽就诊呼吸科后建议进一步除外结核感染。2017年10月复查清晨血总皮质醇4.8 μg/dl、血浆ACTH 81.4 pg/ml、硫酸脱氢表雄酮42.0 μg/dl(70~495)、PTH 63.1 pg/ml、校正后游离钙1.06 mmol/L(1.08~1.28)、空腹血糖4.8 mmol/L、餐后2 h血糖7.0 mmol/L,IgG4正常。发病以来患者精神、体力可,近4个月出现胸闷、憋气,夜间不能平卧,大便每天1次,尿量偏少,每日约800~900 ml。体重变化不大。否认肢体麻木、出汗异常、排尿及排便困难和起立后头晕。既往体健。个人史和家族史无特殊。


注:A:腹腔积液,肝周、脾周均可见积液(箭头所指);B:双侧肾上腺大小形态基本正常(箭头所指)
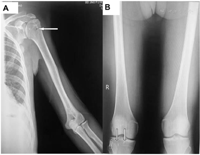
体格检查:血压130/80 mmHg(1 mmHg=0.133 kPa),体重指数26.12 kg/m2,营养中等,神志清楚。颜面、双手及双上臂皮肤变黑、增厚,双上臂多毛表现(图2)。双眼睑水肿,颈部及后背可见散在皮赘。甲状腺不大,双肺呼吸音低,右侧为著。心率80次/min,律齐,各瓣膜听诊区未闻及杂音。腹膨隆,肝肋下5 cm,脾肋下6 cm。移动性浊音阴性。四肢皮肤多毛,双侧乳晕色素沉着。双下肢可凹性水肿。下肢浅感觉正常,双侧膝腱反射对称。影像学资料:心脏彩超示全心增大,轻度二尖瓣关闭不全,轻度三尖瓣关闭不全,左室舒张功能减低,升主动脉增宽,中度肺高压,主肺动脉增宽,少量心包积液。X线片示左侧肱骨头、右侧股骨内侧髁、右侧胫骨头及右侧股骨干骺端高密度影(图3A、图3B)。


注:A:治疗前患者外貌改变:颜面皮肤变黑、增厚,舌体无色素沉着(A1);双手及双上臂浮肿、皮肤变黑、增厚,双上臂多毛(B1);B:治疗3个月后体重下降15 kg,面部皮肤增厚、浮肿明显缓解(A2);双手及双上臂浮肿缓解、皮肤增厚缓解(B2)


注:左侧肱骨头(A)和右侧胫骨头(B)显示高密度影(箭头所指),提示骨质硬化改变
因胸腔积液和皮肤增厚进一步查血清免疫固定电泳:IgA λ型M蛋白阳性,尿免疫固定电泳:尿游离λ型M蛋白阳性。骨髓穿刺:增生活跃,粒∶红=3∶1。粒系和红系各阶段比例及形态大致正常。红细胞形态正常。淋巴细胞及单核细胞比例形态正常。浆细胞比例2%(0~1.2),形态正常。巨核细胞和血小板不少。未见其他异常细胞及寄生虫。血VEGF水平为1 631 ng/L(正常中位数304 ng/L[1])。
本例患者临床表现皮肤变黑、浮肿,清晨血总皮质醇<5 μg/dl,血浆ACTH>2倍正常上限,24 h尿游离皮质醇正常低限,支持Addison病的诊断。患者同时存在亚临床甲状腺功能减退症、高促性腺激素性性腺功能减退和甲状旁腺功能减退,这与文献报道一致[2],同时患者存在浮肿,多毛、皮肤增厚,肝脾肿大,多发淋巴结肿大及骨硬化性损害等多种表现,进一步检查本例患者血尿λ型M蛋白阳性,骨髓穿刺检查提示浆细胞增多,血清血管内皮生长因子(VEGF)水平升高,根据疾病一元论,并经血液科会诊,支持诊断为POEMS综合征。
诊断POEMS综合征后,予氢化可的松10 mg/次,2次/d,左甲状腺素钠50 μg/次,1次/日进行替代治疗,血液科会诊后加用地塞米松40 mg每周1次,来那度胺25 mg 1次/日(第1~21天)。治疗3个月后复查体重下降15 kg,面部、上肢皮肤增厚、浮肿情况明显缓解(图2)。查体肝脏由肋下5 cm缩小至肋下1.5 cm,脾由肋下6 cm缩小至肋下未及。复查结果中除了IgA水平下降,M蛋白转阴以外,在未加用维生素D和补钙治疗的情况下,血钙水平也有明显提升,血磷水平降至正常(表1)。提示甲状旁腺功能减退症有好转,空腹血糖水平仍为4.4~5.1 mmol/L。而甲状腺功能因已加用左甲状腺素钠片故尚不能判断是否好转,此次随诊后左甲状腺素钠片已经停用,其他内分泌激素的指标目前仍在随访中。

治疗前后患者主要实验室指标变化
治疗前后患者主要实验室指标变化
| 时间 | 白蛋白校正后血钙(mmol/L) | 血磷(mmol/L) | PTH(pg/ml) | 25-羟维生素D3(ng/ml) | β-CTX(ng/ml) | IgA Ⅰ型M蛋白 | IgA(g/L) |
|---|---|---|---|---|---|---|---|
| 治疗前 | 1.84 | 1.60 | 71.9 | 9.8 | 1.61 | 阳性 | 1.58 |
| 治疗3个月后 | 2.18 | 1.41 | 67.7 | 15.8 | 1.31 | 阴性 | 1.18 |
| 参考范围 | 2.13-2.70 | 0.81-1.45 | 12.0-68.0 | 8.0-50.0 | 0.26-0.512 | 阴性 | 0.7-4.0 |
本患者首发症状为肤色变黑,之后经过垂体-肾上腺激素检查后,明确诊断为Addison病。成人Addison病可根据肾上腺的形态来进行病因分类。如肾上腺CT提示有占位或增粗,需要考虑肾上腺结核、先天性肾上腺皮质增生症(CAH)、肾上腺出血、肾上腺淋巴瘤、肾上腺转移瘤以及感染性或自身免疫性炎症的早期。如肾上腺形态为萎缩或偏细,需要考虑的病因有APS、各种儿童期起病的涉及类固醇激素合成的遗传性疾病如肾上腺脑白质营养不良、DAX-1基因缺陷等,还有各种炎症感染的后期,长期服用抑制肾上腺皮质激素合成的药物如酮康唑等。本例患者既往体健,肾上腺CT提示肾上腺大小形态基本正常,未见肾上腺增大、占位、钙化点、萎缩等表现,无结核、HIV感染证据,否认抗真菌类药物应用史等。关于患者低钙血症的原因,因25-羟维生素D3水平明显偏低,可能会引起PTH水平升高,但患者血磷水平高于正常值,不支持因为缺乏维生素D引起的继发性PTH水平升高。而在血钙<1.88 mmol/L大时,血PTH应有5~10倍的增加,而该患者血钙最低1.84 mmol/L,血磷水平高于正常值,PTH仅有轻微的升高,提示存在甲状旁腺功能减退症[2]。因此结合患者同时存在高促性腺激素性性腺功能减退,甲旁减,亚临床甲减,首先需要考虑APS。但患者无白色念珠菌感染史,TPO-Ab和TG-Ab阴性,诊断APS的证据有欠缺。在检查过程中,还发现患者存在多浆膜腔积液、浮肿、皮肤增厚多毛等特殊改变,并不能用APS来解释全貌,需要考虑其他累及多系统的疾病,尤其是POEMS综合征。
POEMS综合征是一种罕见的克隆性浆细胞疾病,其患病率为0.3/10万[3]。1938年,有文献报道了1例发生感觉运动周围神经病、皮肤色素沉着、脑脊液蛋白升高以及孤立性浆细胞瘤的患者。随着后续病例的报告,1980年开始使用"POEMS"综合征来命名这种疾病,主要表现为多发性神经病(P,Polyneuropathy)、脏器肿大(O,Organomegaly)、内分泌病变(E,Endocrinopathy)、M蛋白(M,M protein)和皮肤改变(S,Skin changes)[4]。此外患者还会出现胸腔积液、骨质硬化、Castleman病、视乳头水肿、血小板增多、肢端水肿、腹水、红细胞增多症、疲劳和杵状指等其他症状。由于临床表现多样,异质性强,临床上易被误诊或漏诊。本中心潘慧等[5]曾报道过确诊的12例POEMS患者中有9例次曾被误诊。该病通常发生于40~60岁,发病年龄中位数为51岁(30~83岁),63%的患者为男性[4]。其病理生理改变为血清M蛋白和VEGF水平的升高[6]。该患者除了M蛋白水平升高以外,测定VEGF水平为1 631 ng/L,根据本中心血液科的研究,正常对照组血清VEGF水平为304 ng/L(n=28),POEMS综合征组患者血清VEGF中位水平为3 503 ng/L(n=104),当选取血清VEGF>1 200 ng/L作为诊断标准时,其诊断POEMS综合征的特异性和敏感性分别为90.2%和83.7%[1]。故本例患者的VEGF水平明显升高也是支持POEMS综合征的依据之一。
目前广泛应用的诊断标准为2007年Dispenzieri等[6]根据回顾性研究所提出,其中包括以下几项。(1)强制性主要标准:①多发性神经病变;②单克隆浆细胞增殖异常。(2)主要标准:①硬化性骨病;②Castleman病;③血VEGF水平升高。(3)次要标准:①脏器肿大(脾、肝或淋巴结肿大);②水肿(肢体水肿、胸腔积液或腹水);③内分泌病变(肾上腺、甲状腺、垂体、性腺、甲状旁腺或胰腺);④皮肤改变(色素沉着、多毛症、血管瘤、多血质);⑤视乳头水肿;⑥血小板增多症或红细胞增多症。诊断需要满足2条强制性主要标准、至少1条主要标准以及至少1条次要标准。本例患者骨髓检查提示浆细胞增殖,符合1条强制性主要标准;同时存在硬化性骨病,VEGF水平明显升高,符合2条主要标准;此外还伴随Addison病合并多个内分泌腺体功能异常、水肿、M蛋白阳性、多毛、皮肤增厚、浆膜腔积液、肝脾大、多发淋巴结肿大等多项符合次要标准的表现,但不存在多发性神经病变的强制性主要标准,似乎不满足上述诊断标准。但是该诊断标准是对99例POEMS综合征患者的回顾性分析之后提出的,更倾向于诊断的特异性[7]。推测本例患者处于POEMS综合征早期进展阶段,可能尚未表现出神经病变的临床症状,因此多科会诊后支持诊断为POEMS综合征,故该患者Addison病因为POEMS综合征导致。
POEMS综合征常累及全身多个系统,其中内分泌异常是其重要特征。有报道[4,8]提示累及内分泌腺体异常的比例为67%~84%。性腺功能减退是最常见的内分泌异常,男性中超过70%有性腺功能减退[8];其次67%~71%存在甲状腺功能减退症[9,10];16%~60%的患者就诊时肾上腺-垂体轴异常[4,9];3%~36%的患者有糖尿病[7];27%~33%的患者有低钙血症[8,9]。但国内外有关以Addison病为首发表现的POEMS综合征报道较少。Ghandi等[8]分析了64例POEMS综合征患者,27例进行垂体-肾上腺评估的患者中13例(48%)血ACTH水平升高,这些患者中6例(67%)确诊为肾上腺皮质功能减退。Li等[9]分析了99例POEMS综合征患者,55例完善垂体-肾上腺激素检测,33例(60%)血ACTH水平升高,10例(18%)24 h尿游离皮质醇降低,5例(9%)血皮质醇降低。胡萍等[11]回顾分析了23例POEMS综合征患者中17例完善了肾上腺轴检查,其中8例(47%)为肾上腺皮质功能减退。提示Addison病在POEMS综合征中并不少见。在成人Addison病的病因鉴别诊断中,肾上腺影像学可以作为一个重要鉴别手段,但罕有提及POEMS综合征患者肾上腺影像学特点,于楠等[12]曾报道过1例POEMS综合征引起亚临床肾上腺皮质功能减退患者双侧肾上腺影像学未见异常,与本例患者相似。
POEMS综合征全身性治疗以包括糖皮质激素的联合治疗为主,如美法仑联合地塞米松(MDex)[12]、沙利度胺联合地塞米松[13]、来那度胺联合地塞米松[14]等,还有应用硼替佐米等[15]和自体造血干细胞移植(ASCT)。POEMS综合征患者如能及时诊治,预后较好。回顾性研究表明治疗后5年和10年生存率分别为84%和77%[16]。本例患者给予地塞米松和来那度胺治疗约3个月,浮肿及皮肤增厚完全缓解(图2),查体肝脾肿大减轻,IgA水平下降,M蛋白转阴以外,甲状旁腺功能减退症也有好转,其他内分泌激素的指标目前仍在随访中。
POEMS综合征是一种发病率低,常累及全身多系统,临床表现多样的疾病,早期极易被误诊或漏诊。如能及时诊治,治疗效果较好,改善患者的长期预后。本例患者是以Addison病为首发表现,同时合并多个内分泌腺体功能异常,临床表现与APS重叠,但考虑到患者同时存在内分泌腺体以外的多系统受累,最终通过检查诊断为POEMS综合征,提示对于不典型的疑诊APS的患者,如肾上腺无明显萎缩表现,需要进行全面的多系统检查以最终明确病因,才能采取合适的对因治疗。

























