
颅咽管瘤是起源于垂体胚胎发育过程中颅颊囊残存的鳞状上皮细胞的良性肿瘤,临床症状主要以视力障碍、颅内压增高及下丘脑垂体内分泌紊乱为主,表现为视力下降、头痛、恶心、生长迟缓、性腺功能低下等。尽管颅咽管瘤被视为一种良性肿瘤,但由于瘤体毗邻下丘脑、垂体柄、视交叉等重要结构,且具有明显复发倾向,同时治疗后可能引起一系列并发症如腺垂体功能减退症、尿崩症、下丘脑性肥胖等,严重影响患者术后的生活质量,也给外科治疗及术后下丘脑垂体功能管理带来了巨大挑战。本文通过对1例临床诊断的颅咽管瘤经2次手术治疗和术后放射治疗后垂体内分泌功能紊乱的临床特点进行分析,结合国内外研究进展探讨及时有效的诊治思路和诊疗方法。
版权归中华医学会所有。
未经授权,不得转载、摘编本刊文章,不得使用本刊的版式设计。
除非特别声明,本刊刊出的所有文章不代表中华医学会和本刊编委会的观点。
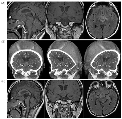
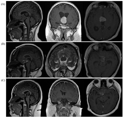
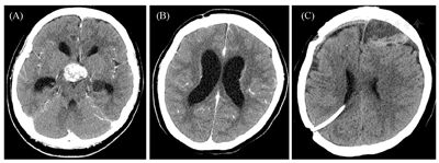
患者女性,22岁,因"头痛伴停经1年余,发现血糖升高7个月"之主诉于2018年1月入住本科。1年前因"头痛伴停经"诊断为"颅咽管瘤",10个月前在国外医院检查,晨8∶00血皮质醇14.0 μg/dl(参考范围5.0~28.0 μg/dl,下同)、促甲状腺激素(TSH)2.62 μIU/ml(0.5~4.5 μIU/ml)、FT4 0.9 ng/dl(0.8~1.8 ng/dl),行头颅磁共振(MRI)三维重建检查,诊断为"颅咽管瘤",行"经鼻蝶窦肿瘤切除术"联合"头颅穿孔减压术+去除肿瘤囊性部分"治疗,手术病理示:"乳头型颅咽管瘤(BRAF V600E突变阳性)",术后出现腺垂体功能减退、视野缺损及尿崩症等一系列相关并发症,分别给予"氢化可的松、左甲状腺素钠、去氨加压素"等药物治疗,临床症状好转(图1)。8个月前再次因"头痛"在另一国外医院诊断为"脑积水",给予"脑室腹腔分流置管术"治疗(图2)。7个月前出现精神差、偶有幻觉、短时记忆受损,复查发现"颅内肿瘤增大",于国外当地医院行放射治疗30次(放疗累积总剂量为54 Gy),为防治"脑水肿"给予口服"地塞米松4~8 mg/d"2月余,逐渐出现食欲增大、血糖增高,多次监测空腹血糖>8 mmol/L(3.9~6.1 mmol/L),伴体重增加、嗜睡、少动,未予药物治疗。4个月前再次复查"颅内肿瘤体积增大",于国外医院行"开颅肿瘤切除术"(图3),术后停用"地塞米松",改为"泼尼松40 mg/d"治疗,逐渐减量;治疗过程中逐渐出现肥胖,体重共增加约50 kg,腹部及四肢皮肤出现宽大紫纹,监测血糖升高,空腹血糖最高达15~16 mmol/L,自服"二甲双胍1.0 g/d",未规范治疗。


注:(A)术前核磁共振成像(MRI);(B)术前MRI三维重建;(C)术后MRI


注:(A)、(B)术后脑积水改变;(C)脑室腹腔分流置管术后


注:(A)术前;(B)术后;(C)术后3个月
体温36.1℃,脉搏118次/min,呼吸21次/min,血压120/74 mmHg(1 mmHg=0.133 kPa),身高163 cm,体重112.5 kg,体重指数42.3 kg/m2。体型肥胖,颜面部及眼睑水肿,双眼颞侧偏盲,右眼仅剩光感,眼球外展受限,嗅觉减退。满月脸,多血质面容,皮肤菲薄,毳毛增多,水牛背,四肢、腹部及背部皮肤可见宽大紫纹,腋毛缺如。腹膨隆,阴毛稀疏。双下肢无水肿。四肢肌张力、肌力正常,病理征阴性。
(1)常规生化检查。肝功能:谷丙转氨酶(ALT)66 U/L(7~40 U/L)、谷草转氨酶(AST)54 U/L(13~35 U/L)、γ谷氨酰胺转肽酶(GGT)153 ng/ml(7~45 ng/ml);血电解质:钾2.92~3.78 mmol/L(3.5~5.5 mmol/L)、钠133~148 mmol/L(135~145 mmol/L);血脂:总胆固醇4.94 mmol/L(3.1~5.69 mmol/L)、三酰甘油3.31 mmol/L(0.56~1.47 mmol/L)、低密度脂蛋白胆固醇3.30 mmol/L(2.07~3.10 mmol/L)、高密度脂蛋白胆固醇0.56 mmol/L(1.29~1.55 mmol/L);随机血糖20 mmol/L、HbA1C 8.2%。(2)下丘脑-垂体功能检查。肾上腺轴:ACTH<1.0 pg/ml(7.2~63.3 pg/ml),皮质醇节律为8∶00时4.71 μg/dl(5.0~28.0 μg/dl)、16∶00时5.87 μg/dl;甲状腺轴:TSH<0.07 μIU/ml(0.25~5.0 μIU/ml)、T3 1.84 ng/ml(0.78~2.20 ng/ml)、T4 8.48 ng/ml(4.2~13.5 ng/ml)、FT4 12.7 ng/ml(9.05~25.5 ng/ml)、FT3 8.38 ng/ml(2.91~9.08 ng/ml);性腺轴:黄体生成素(LH)<0.1 mIU/ml(1.0~11.4 mIU/ml)、卵泡刺激素(FSH)<0.1 mIU/ml(1.7~7.7 mIU/ml)、雌二醇<18.4 pmol/L(161~774 pmol/L)、孕酮0.16 nmol/L(5.3~86 nmol/L)、催乳素32.92 ng/ml(4.79~23.3 ng/ml)、睾酮<0.087 nmol/L(0.22~2.9 nmol/L)、硫酸脱氢表雄酮0.416 μmol/L(0.96~6.95 μmol/L)。莫氏试验(昼夜尿比重试验):总尿量2 235 ml、夜尿量820 ml、最高尿比重1.014、夜尿尿比重1.002。
头颅计算机断层扫描(CT)示:额骨骨瓣形成,鞍区右侧点状致密影及少许高密度影,系术后改变;两侧额部硬膜下及左侧额部硬膜外血肿吸收期改变,右侧脑室引流管影;两侧筛窦、蝶窦炎症。垂体MRI示:鞍区结构紊乱,信号不均,部分强化,垂体柄显示欠清,考虑系术后改变,视交叉未见受压;鞍底骨质信号不完整,左侧蝶窦内可见强化,考虑双侧蝶窦炎;左侧额顶部硬膜下血肿可能。胸部CT示:左肺下叶外基底段纤维条索影,上腔静脉置管。腹部B超示:脂肪肝。骨密度测定示:低骨量。
颅咽管瘤是起源于垂体胚胎发育过程中颅颊囊残存的鳞状上皮细胞的良性肿瘤,通常生长于鞍区,并与下丘脑、视交叉、垂体柄位置关系密切。发病率约为0.5~2/100万人每年,是儿童最常见的颅内肿瘤,约30%~50%患者在儿童或青少年时期首次发现,占儿童颅脑肿瘤的5%~10%,占所有颅脑肿瘤的1%~3%[1,2,3,4]。颅咽管瘤可以发生在任何年龄,却有2个明显的分布高峰,分别为5~14岁及50~74岁,且与性别和种族无关[3,5]。
颅咽管瘤是世界卫生组织(WHO)病理学分类的Ⅰ级肿瘤(WHO Ⅰo),组织学上为良性,生存率高达91%[6]。通常分为造釉细胞型颅咽管瘤(adamantinomatous craniopharyngioma)和乳头型颅咽管瘤(papillary craniopharyn-giomas),造釉细胞型多见于年轻患者,乳头型多见于成年和老年患者[7]。研究发现,95%~100%乳头型颅咽管瘤有致癌基因BRAF(V600E)突变,92%~96%造釉细胞型颅咽管瘤有致癌基因β-catenin(CTNNB1)突变,为通过基因测序诊断颅咽管瘤提供可能[8]。按照颅咽管瘤与鞍隔的关系,可分为:鞍内、鞍上、鞍内鞍上、非典型部位肿瘤。颅咽管瘤因肿瘤大小、位置和向周围延伸程度不同而临床表现不同。
临床表现主要以颅内压增高症状、视力视野障碍及垂体功能低下为主,多以颅内压增高如头痛、恶心或视力视野缺损为首发症状,表现为头痛、恶心、视力下降、生长迟缓、性腺功能低下等。颅咽管瘤可因肿瘤占位效应压迫周围正常组织而产生多种非特异性症状,包括内分泌功能障碍、视觉障碍及生长发育障碍等[3]。
尽管颅咽管瘤被视为一种良性肿瘤,但由于瘤体毗邻下丘脑、垂体柄、视交叉等重要结构,可以出现严重的并发症,且具有明显复发倾向,使颅咽管瘤的治疗成为巨大挑战[9]。
颅咽管瘤最常见的治疗是手术治疗和放射治疗,首选治疗方式是手术治疗,通过手术尽可能切除肿瘤组织,缓解肿瘤占位效应引起的压迫症状。手术方案包括肿瘤全切术(gross total resection)和次全切除术(subtotal resection)联合辅助放射治疗(radiation therapy),手术入路包括翼点入路、前纵裂入路、经胼胝体入路、额下入路、经皮层脑室入路等,临床医生需根据肿瘤的位置、生长方式、大小等综合评估[3,4,10]。颅咽管瘤手术方案的选择至关重要,主要取决于肿瘤的位置,如果肿瘤局限,首选肿瘤全切术,手术过程中尽量保护下丘脑和视交叉;如果肿瘤向周边延伸如侵入下丘脑结构,则推荐保守切除联合辅助放射治疗以保护下丘脑和视交叉[3,11]。术后可出现垂体前叶功能减退、尿崩症、视力障碍、下丘脑肥胖等并发症[9]。最新的meta分析示:颅咽管瘤全切术、次全切除术联合术后放疗和次全切除术这3种治疗的术后复发率分别为17%、27%和45%[12];与次全切除术相比,全切术后全垂体功能减退症、下丘脑肥胖的发生率明显增高[9]。因此目前仍然推荐次全切除术联合放射治疗以最大限度地保护下丘脑垂体功能[3]。鼻内镜手术入路(endoscopic endonasal approach)也是常用的颅咽管瘤的治疗方法,常用于鞍下颅咽管瘤的治疗,对于大部分鞍上或鞍内颅咽管瘤效果欠佳[13]。然而鼻内镜手术入路治疗较传统经颅手术有很多优势,如创伤小、疼痛轻、愈合快、可视化操作、保护周围的神经血管结构、垂体功能减退发生率低、缩短住院日、并发症少等[10]。其次是放射治疗,放射治疗适用于颅咽管瘤患者保守切除术后残余病灶的清扫、不能耐受手术治疗的患者、手术治疗可能造成严重功能损害的患者以及术后复发患者[3]。对外科手术患者包括全切术和次全切除术患者,术后放射治疗是一种安全有效的、高性价比的治疗[4]。目前颅咽管瘤的治疗方案无论是手术治疗还是放射治疗,都存在很大的挑战,因为都有可能引起垂体功能减退和视觉障碍等一系列的并发症。
本病例有典型的颅咽管瘤的症状和影像学表现,术前头颅CT和MRI表现为鞍区以实性为主的囊实性中心病灶,诊断为"颅咽管瘤",经历了第1次手术治疗(图1),手术方式选择了"经鼻蝶窦肿瘤切除术"加"头颅穿孔减压术",主要的目的是为了尽可能地保护下丘脑、垂体和视交叉等重要结构功能,然而术后复查发现鞍区肿瘤未完全清除(图1C)。术后3个月"颅咽管瘤复发",行放射治疗;术后半年再次复查"颅内肿瘤体积增大",进行第2次手术治疗,手术方式选择了"开颅肿瘤切除术"(图3)。临床医生需根据肿瘤的位置、大小、生长方式以及与周围结构的毗邻关系等综合评估,以选择手术方式[3,4]。
颅咽管瘤是常见的鞍区良性肿瘤,长期的并发症主要是由肿瘤本身压迫或治疗如手术、放疗等引起的垂体功能减退、下丘脑损伤、视觉和神经功能障碍[1]。垂体功能减退在颅咽管瘤患者中最常见,可以发生在术前、术中和(或)术后,对长期预后和术后的生活质量影响最大[6]。最新研究显示,全切术后1个月,只有9.2%患者保留垂体柄,术后垂体功能正常;14%患者出现部分垂体功能不全,44%患者出现全垂体功能减退,25.5%患者出现术后尿崩症,54%~100%患者GH缺乏[5,14]。本病例术前评估下丘脑-垂体-甲状腺轴,下丘脑-垂体-肾上腺轴功能正常,第1次"经鼻蝶窦肿瘤切除术"术后及后续的手术治疗和放射治疗过程中出现腺垂体功能减退、视野缺损、尿崩症、脑积水及下丘脑肥胖等一系列垂体功能相关并发症。此次入本院后充分评估垂体肾上腺轴、甲状腺轴、性腺轴激素分泌情况,提示肾上腺轴、甲状腺轴及性腺轴功能减退,给予"氢化可的松,左甲状腺素钠"替代治疗;给予"雌孕激素合剂"行人工周期替代治疗,患者腺垂体功能减退情况得到明显改善。
颅咽管瘤手术治疗过程中对下丘脑、垂体和垂体后叶的牵拉和损伤会导致不同程度的中枢性尿崩症。颅咽管瘤初诊时17%~27%患者存在尿崩症,术后80%~100%患者出现短暂性尿崩症,40%~93%发生永久性尿崩症[3,15,16]。10年随访研究发现,垂体功能不全长期持续存在,术后尿崩症的发生率由34%增至66%,严重影响患者的生活质量[17]。术后中枢性尿崩症导致大量水分从肾脏流失,部分患者伴有渴感中枢受损,将导致低血容量性高钠血症[18]。若补液过多过快,易出现低钠血症。高钠血症可引起脑细胞皱缩,而低钠血症通过引起脑细胞水肿而造成神经系统损害,轻者可有恶心、呕吐、头痛及抽搐等,重者出现嗜睡、昏迷等意识障碍,甚至死亡。电解质紊乱是颅咽管瘤全切术后常见的并发症之一,术后应常规动态监测尿量和电解质水平,根据电解质紊乱类型及时纠正。积极治疗术后尿崩症,维持水和电解质平衡,尽量恢复垂体和下丘脑功能。本病例第1次"经鼻蝶窦肿瘤切除术"术后即出现尿崩症,入本院后测血电解质:钾2.92~3.78 mmol/L(3.5~5.3 mmol/L)、钠133~148 mmol/L(135~145 mmol/L);莫氏试验(昼夜尿比重试验)示夜尿增多,低比重尿,提示肾小管浓缩稀释功能下降,需长期服用"去氨加压素"治疗。
颅咽管瘤本身或经手术、放射治疗累及下丘脑结构损伤或能量调节通路障碍时会出现食欲亢进、体重增加、肥胖、行为异常、昼夜节律改变、内环境失衡、口渴中枢失衡、心率、体温和(或)血压调节失衡,导致下丘脑综合征(hypothalamic syndrome)[3,17]。下丘脑肥胖(hypothalamic obesity)是下丘脑功能损伤的重要标志之一,体重增加明显是下丘脑肥胖的预测指标之一,发生多延后于其他症状,严重的肥胖进一步引起糖脂代谢紊乱,严重影响患者的生存率和长期生存质量[3]。下丘脑肥胖的发病机制是多因素的,非常复杂,下丘脑腹内侧核损伤引起的体重增加直接导致食欲旺盛、体力活动减少、基础代谢率降低、植物神经功能失调、垂体前叶激素缺乏和失眠等[17]。10年随访研究发现,下丘脑肥胖的发生率由4%增至45%,垂体功能不全长期持续存在,术后尿崩症的发生率由34%增至66%,可能是下丘脑肥胖的潜在标志之一[17]。传统的生活方式干预对下丘脑肥胖的治疗效果非常有限,下丘脑性肥胖的治疗仍是临床治疗的难点,目前尚缺乏针对下丘脑综合征和下丘脑肥胖有效又可以接受的治疗方法,下丘脑肥胖的治疗还有待进一步探索和证实。本病例肥胖的原因比较复杂,患者术后为预防"脑水肿"先后口服"地塞米松4~8 mg/d或氢化可的松40 mg/d"约4个月余,出现血糖升高,满月脸、水牛背、皮肤宽大紫纹等典型"库欣综合征"的临床表现,体重增加约50 kg,分析肥胖的原因,既与外源性糖皮质激素引起的"医源性库欣综合征"有关,也与下丘脑损伤引起的"下丘脑肥胖"相关。颅咽管瘤手术期间及术后应用地塞米松治疗一方面是治疗和预防"脑水肿"发生,另一方面是治疗"肾上腺皮质功能不全",地塞米松治疗引起的体重增加包括短期效应和长期效应,短期效应与地塞米松的剂量和使用疗程长短有关,一般不引起长期的严重肥胖[19]。如何在手术期间及术后规范化使用糖皮质激素治疗,如何避免激素的不良反应,目前仍然存在着争议。
因鞍上颅咽管瘤解剖位置毗邻视交叉,视觉缺陷包括视力和视野缺损很常见,多数患者以视力视野缺损作为首发症状就诊,术后41%~48%患者出现视力视野缺损,术后视觉缺陷的危险因素主要与术前肿瘤和视交叉的解剖位置以及术前严重的视力缺损有关[3,15]。除视觉缺陷外,神经系统后遗症包括癫痫、偏瘫、颅神经损害、脑血管疾病等[3,5]。这些后遗症大多是短暂的,长期神经系统并发症的总患病率为8%,在肿瘤体积较大者可增至36%,约30%可同时出现视觉缺陷和神经系统后遗症[16]。本例患者第1次术后出现左右眼视野缺损,术后视野曾有一过性恢复,第2次术后再次出现双眼颞侧视野缺损,右眼视野缺损面积较前增大,入院后眼科会诊示:双眼视神经萎缩,治疗过程中偶有幻觉、短时记忆受损,提示出现短暂性神经系统后遗症。
颅咽管瘤术后的综合治疗目标包括:垂体激素缺乏的替代补充治疗、下丘脑功能障碍恢复、缓解视力视野障碍、解除颅内压增高症状、抑制肿瘤生长/进展和最大限度地减少急性并发症的发生,降低远期复发率和死亡率[3]。本次入本院后充分评估垂体肾上腺轴、甲状腺轴、性腺轴激素分泌情况,提示肾上腺轴、甲状腺轴、性腺轴及垂体后叶功能减退。入本院后诊断:颅咽管瘤,颅咽管瘤切除术后,腺垂体功能减退症、尿崩症、双眼视神经萎缩;医源性库欣综合征,继发性糖尿病,骨量减少;给予"氢化可的松,左甲状腺素钠"替代治疗;给予"雌孕激素合剂"行人工周期替代治疗;胰岛素强化降糖治疗;碳酸钙、维生素D治疗补充等,用药过程中监测患者临床表现、体重、电解质变化。然而术后垂体功能减退、视觉障碍、下丘脑肥胖以及长期服用糖皮质激素出现的医源性库欣综合征引起的继发性肥胖、糖尿病、感染等严重影响患者的生活质量。
综上,尽管颅咽管瘤病理学分类为良性肿瘤,生存率高,文献报道儿童颅咽管瘤患者20年总体生存率约90%[20]。但由于其毗邻下丘脑、视交叉、垂体柄等重要结构,无论选择何种治疗方式,都无法避免因肿瘤本身或治疗如手术、放射治疗等引起下丘脑结构损伤,进而引起腺垂体功能减退、尿崩症、视觉缺陷及下丘脑肥胖等并发症,严重影响患者的生活质量[3,6]。因此,更多的学者倾向于将颅咽管瘤视为一种常见的慢性病来综合管理[3],术前应准确判断肿瘤的分型,内分泌功能状态,慎重选择手术方式;评估手术方式对下丘脑和垂体的损伤程度,术后内分泌功能状态的变化,根据患者术后内分泌功能的动态变化情况和对激素替代治疗后的反应情况进行个体化治疗。
随着神经外科微创技术及辅助放射治疗的发展,在全科医学及多学科协作诊疗的医学模式下,人们越来越深入地认识到,对于颅咽管瘤患者而言,手术治疗仅仅是治疗过程的第一步,治疗的目标不应仅仅停留在控制肿瘤复发率及提高生存率方面,术后综合管理更是任重道远。术后管理包括内分泌功能管理、生长发育指导、性腺发育治疗、心理疏导和提高患者术后生活质量等。如何最大程度保护下丘脑-垂体功能,减少术后并发症,提高患者生活质量逐渐成为神经外科医生、内分泌科医生和肿瘤科医生共同关注的重点。





















