
版权归中华医学会所有。
未经授权,不得转载、摘编本刊文章,不得使用本刊的版式设计。
除非特别声明,本刊刊出的所有文章不代表中华医学会和本刊编委会的观点。
内源性高胰岛素性低血糖是内源性低血糖的常见原因,主要包括以餐后低血糖为主要表现的反应性低血糖和以空腹低血糖为主要表现的胰岛素瘤。但是,小部分胰岛素瘤也可以餐后低血糖为主要表现。本文报道1例主要以餐后低血糖为突出表现的胰岛素瘤,希望能帮助临床医师进一步认识、识别和治疗低血糖症。
患者女性,62岁,因"发作性头晕、乏力4个月"于2019年4月入住北京协和医院内分泌科。患者2019年1月午餐前(距上一餐4 h)、活动时出现头晕、乏力,伴心慌,未测血糖,进食少量主食,数分钟后缓解。之后2个月患者反复于劳累后出现头晕、胡言乱语、下肢乏力,伴心慌,均在午餐或晚餐前发生,进食后数分钟可缓解,每月发作约3~4次。2019年3月患者上述症状发作较前频繁,半个月内发作3~4次,伴记忆力下降,发作时测指尖血糖2.4 mmol/L,为系统诊治,本科门诊以"低血糖症原因待查、反应性低血糖?"收住入院。起病以来,患者饮食、睡眠可,食欲可,近半年体重下降5 kg(现在55 kg)。既往体健。体格检查:体重指数22 kg/m2,心、肺、腹(-)。入院后当日睡前测指尖血糖2.8 mmol/L(晚餐后3.5 h),静脉血糖2.8 mmol/L,胰岛素4.2 μIU/ml,C肽1.40 ng/ml,胰岛素原(PINS)739 pg/ml。肝肾功能正常,HbA1C 5.1%,抗胰岛素抗体(IAA)阴性。监测空腹血糖波动于4.1~5.3 mmol/L。口服葡萄糖耐量试验(OGTT)结果见表1(因出现低血糖,4 h时终止)。

口服葡萄糖耐量试验
口服葡萄糖耐量试验
| 时间 | 血糖(mmol/L) | 胰岛素(μIU/ml) | C肽(ng/ml) | 胰岛素原(pg/ml) |
|---|---|---|---|---|
| 0 min | 4.30 | 4.40 | 0.79 | 253.0 |
| 30 min | 7.80 | 22.46 | 2.82 | 400.2 |
| 60 min | 6.00 | 18.83 | 3.18 | 424.6 |
| 120 min | 6.30 | 20.80 | 3.21 | 497.9 |
| 180 min | 5.60 | 11.41 | 2.59 | 465.5 |
| 240 min | 1.40 | 8.79 | 2.03 | 426.3 |
注:空腹正常值参考范围:胰岛素5.2~17.2 μIU/ml,C肽0.8~4.2 ng/ml,胰岛素原30~180 pg/ml
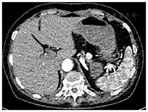
多发性内分泌腺瘤病(MEN)检测:甲状旁腺素(PTH)、胃泌素(Gastrin)阴性,垂体前叶功能正常。胰腺增强CT+灌注:胰体部可见类圆形软组织密度结节影,局部突出胰腺轮廓外,大小约14 mm×11 mm,增强后明显强化,灌注较胰体部正常胰腺组织升高,考虑胰岛素瘤可能大(图1);68Ga-exendin-4 PET/CT:胰体摄取异常增高灶(胰体,大小1.1 cm×1.0 cm,SUVmax 6.4,平均值4.2),为胰升糖素样肽1受体(GLP-1R)过度表达,考虑胰岛素瘤(图2)。




患者转普外科行腹腔镜胰岛素瘤摘除术,术中见胰颈部约1 cm结节,予完整切除。标本送冰冻病理报告:神经内分泌肿瘤。石蜡病理:胰腺神经内分泌肿瘤(NET G1,最大径1.5 cm,核分裂<1个/10HF)。免疫组化:嗜铬粒蛋白A(CgA,+),胃泌素(gastrin,-),胰升糖素(glucagon,-),胰岛素(insulin,+),Ki-67(index 1%),生长抑素(somatostatin,-),突触素(Syn,+),地中海伴精神发育迟滞综合征基因(ARRX,+),CD34(血管+),α-1抗胰糜蛋白酶(AACT,-),α-1抗胰蛋白酶(AAT,-),β-连环蛋白(β-catenin,膜+)。结合免疫组化及临床考虑胰岛素瘤。
术后2个月随访:患者未再出现低血糖反应,监测空腹及餐后血糖4~6 mmol/L。
胰岛素瘤为内源性高胰岛素血症引起低血糖最常见的原因之一。既往研究认为胰岛素瘤多以空腹低血糖为突出表现。以餐后低血糖为主要表现者多为反应性低血糖。对于以餐后低血糖为主要表现的胰岛素瘤患者,应注意与反应性低血糖鉴别。反应性低血糖多发生于餐后4 h内,由于高胰岛素血症及胰岛素高峰延迟,多见于糖耐量受损、2型糖尿病早期及上消化道手术引起的倾倒综合征等疾病。治疗与胰岛素瘤完全不同。此患者主要以餐后低血糖为突出表现,门诊考虑反应性低血糖可能性大。患者既往无胃肠道手术史,不支持倾倒综合征,入院查OGTT、HbA1C不符合糖耐量受损、2型糖尿病诊断。另外,胰岛素自身免疫综合征、非胰岛素瘤性胰源性低血糖综合征(noninsulinoma pancreatogenous hypoglycemia syndrome,NIPHS)也可表现为餐后低血糖。患者IAA阴性,不支持胰岛素自身免疫综合征。对于NIPHS,低血糖发作期的生化检查类似于胰岛素瘤,与胰岛素瘤的主要鉴别点为其影像定位检查为阴性,其最终确诊需依赖病理诊断[1]。Kandaswamy等[2]总结NIPHS的病理诊断标准包括胰岛细胞肥大(核大、深染、多形性)、胰岛数目增多、β细胞与分泌胰升糖素细胞比例增大。
完善患者低血糖症的定位诊断:胰腺灌注CT示胰体部类圆形软组织密度结节影,大小约14 mm×11 mm,增强后明显强化,灌注较胰体部正常胰腺组织升高,68Ga-exendin-4 PET/CT病灶位置与胰腺灌注CT相符,考虑单发胰岛素瘤。
目前国内主要表现为餐后低血糖的胰岛素瘤的相关病例报道少见,在万方、维普、中国知网以餐后低血糖、胰岛素瘤为关键词搜索,均未发现相关报道,但是国外已有类似患者报道。Hohmeier等[3]发现胰岛素瘤患者对葡萄糖反应性的不同特征可能取决于葡萄糖转运蛋白2(Glut-2)和葡萄糖激酶的表达水平。梅奥诊所相关研究显示[4],表现为餐后低血糖的胰岛素瘤患者,与餐后晚期暴发分泌胰岛素有关,且发生餐后低血糖的胰岛素瘤发病率有增高趋势(从2%升至10%),对214例胰岛素瘤患者进行回顾研究发现,6%的患者为餐后低血糖,73%的患者仅在空腹状态出现低血糖症状,21%的患者可同时表现为空腹与餐后低血糖。胰岛素分泌可分为3种类型[5]:(1)胰岛素自主分泌型,为最常见的胰岛素瘤分泌模式,空腹低血糖明显;(2)分泌峰不充分型,空腹血糖偏低,服糖后晚期分泌峰低;(3)晚期暴发分泌型,空腹血糖多不低,服糖后晚期低血糖。故对可疑的患者要进行低血糖时胰岛素、C肽、胰岛素原检测。此患者服糖后4 h出现低血糖,考虑为晚期暴发分泌型。肿瘤切除后未再出现低血糖症状,监测血糖正常,术后病理显示:胰岛素瘤。表现为空腹低血糖或餐后低血糖的胰岛素瘤患者免疫组化、Glut-2、葡萄糖激酶是否不同,有待进一步研究。
另外,胰岛素瘤低血糖患者一般都有体重增加,此患者近半年体重减轻5 kg。针对此患者体重减轻的问题,考虑原因可能如下:(1)此患者出现低血糖症状共4个月,前3个月发生次数少,加餐次数少。后1个月患者约每半个月发作3~4次,总体加餐次数及加餐量相对较少。可能是此患者体重未上升的主要原因。同时也说明了以餐后低血糖为主要表现的胰岛素瘤自主性不强,非持续不断分泌,故低血糖次数较少。(2)入院后完善了血常规、肝肾功能、肿瘤指标等检查,未发现其他引起体重减轻的系统性疾病。(3)患者2019年4月26日入院,入院前半年为2018年11月,所称体重为穿棉衣时体重,入院时为春季,所称体重为仅穿单病员服体重。以上考虑为此患者体重减轻的主要原因。
既往认为胰岛素瘤患者多数表现为空腹低血糖。此病例报道1例主要以餐后低血糖为突出表现的胰岛素瘤,希望引起临床医生关注此类患者。对于以餐后低血糖为主要发病特点的患者,并不能除外胰岛素瘤,应完善低血糖的定性定位检查,以防漏诊。
所有作者均声明不存在利益冲突





















