
双侧岩下窦静脉插管取血(bilateral inferior petrosal sinus sampling, BIPSS)及去氨加压素(DDAVP)兴奋试验是库欣病诊断的金标准。但有少数库欣病患者BIPSS呈假阴性结果,临床上易被误诊为异位ACTH综合征。本文报告1例BIPSS假阴性的库欣病病例,并复习文献,以提高临床医师对ACTH依赖性库欣综合征的鉴别诊断及治疗水平。
版权归中华医学会所有。
未经授权,不得转载、摘编本刊文章,不得使用本刊的版式设计。
除非特别声明,本刊刊出的所有文章不代表中华医学会和本刊编委会的观点。
患者男性,32岁,因"脸变圆、皮肤紫纹、血压升高2年"于2020年9月入住北京协和医院内分泌科。患者2018年起出现脸变圆,伴腹围增大、体重增加,腹部、腋窝及大腿皮肤出现宽大紫纹,皮肤磕碰后易出现瘀斑,破溃伤口不易愈合。同期发现持续性血压升高,血压最高达170/110 mmHg(1 mmHg=0.133 kPa)。2019年5月起出现四肢乏力。2019年9月受凉后出现肺部感染,抗生素治疗后好转。2019年11月运动时转腰后出现右季肋区疼痛,后胸CT示右侧第8、9肋及左侧第2肋陈旧性骨折。为系统诊治,以"库欣综合征"收住入院。起病以来,患者精神、睡眠差,食欲好,体重增加10 kg(现79 kg),体力差。既往体健。体格检查:血压159/112 mmHg,体重指数25.8 kg/m2,腰围95 cm,向心性肥胖,四肢不细,脸圆,锁骨上脂肪垫、水牛背(+),腹部、腋窝、大腿内侧可见宽大紫纹,皮肤稍薄,心、肺、腹(-),四肢肌力V级,双下肢轻度可凹性水肿。
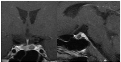
入院后查血清总皮质醇节律,8:00为37.8 μg/dL,0:00为36.57 μg/dL,24 h尿游离皮质醇(24hUFC)688.0 μg。考虑血皮质醇节律消失,24hUFC明显升高。过夜小剂量地塞米松抑制试验:服药后血皮质醇(8:00)34.1 μg/dL,考虑血皮质醇不被抑制,支持库欣综合征。血浆促肾上腺皮质激素(ACTH)8:00为122.0 pg/mL,符合ACTH依赖性库欣综合征。经典大剂量地塞米松抑制试验:对照日24hUFC 398.2 μg,血皮质醇37.4 μg/dL;服药后24hUFC 76.7 μg(抑制率80.7%),血皮质醇27.8 μg/dL(抑制率25.6%)。垂体动态+增强MRI:垂体左翼稍低强化灶(6.4 mm×4.7 mm×6.0 mm),考虑垂体微腺瘤可能(图1)。外周去氨加压素(DDAVP)兴奋试验结果见表1,用药后血皮质醇峰值达基线1.30倍,血ACTH达基线5.59倍。双侧岩下窦静脉取血(BIPSS)及DDAVP兴奋试验结果见表2,基线岩下窦(IPS)∶外周(P)最大值为1.385,刺激后IPS∶P最大值为1.702。

本例患者外周DDAVP兴奋试验结果
本例患者外周DDAVP兴奋试验结果
| 时间 | 血皮质醇(μg/dL) | 血ACTH(pg/mL) |
|---|---|---|
| 0 min | 29.4 | 52.4 |
| 15 min | 32.9 | 270.0 |
| 30 min | 36.7 | 293.0 |
| 45 min | 38.1 | 264.0 |
| 60 min | 37.2 | 231.0 |
| 90 min | 33.6 | 148.0 |
| 120 min | 30.1 | 89.1 |
注:DDAVP:去氨加压素

本例患者BIPSS+DDAVP兴奋试验结果
本例患者BIPSS+DDAVP兴奋试验结果
| 时间 | 外周ACTH(pg/mL) | 左岩下ACTH(pg/mL) | 右岩下ACTH(pg/mL) | 左岩下∶外周 | 右岩下∶外周 |
|---|---|---|---|---|---|
| 0 min | 192 | 266 | 245 | 1.385 | 1.276 |
| 3 min | 224 | 310 | 272 | 1.384 | 1.214 |
| 5 min | 232 | 395 | 292 | 1.702 | 1.259 |
| 10 min | 311 | 389 | 322 | 1.251 | 1.035 |
注:BIPSS:双侧岩下窦静脉取血;DDAVP:去氨加压素


合并症诊治方面:患者高血压明确、入院查血钾3.6 mmol/L,予以硝苯地平、厄贝沙坦、酒石酸美托洛尔(倍他乐克)、螺内酯及间断口服补钾治疗,监测血压120~150/70~100 mmHg,血钾4.0~4.9 mmol/L。骨密度:股骨颈0.754 g/cm2,Z-score -1.9;全髋关节0.687 g/cm2,Z-score -2.3;腰椎1-4为0.859 g/cm2,Z-score -2.8,考虑骨量减低,胸腰椎侧位未见明显异常。CD4阳性T淋巴细胞绝对值160个/μL,胸部CT平扫未见异常,予以磺胺口服预防性抗感染治疗;低密度脂蛋白胆固醇3.68 mmol/L,余脂代谢指标未见异常;空腹及餐后血糖、糖化血红蛋白、糖化白蛋白正常;超声心动图、泌尿系超声均未见明显异常。
其他垂体前叶功能评估方面,生长激素0.2 ng/mL,胰岛素样生长因子Ⅰ(IGF-Ⅰ) 239 ng/mL。孕酮1.16 ng/mL,睾酮1.59 ng/mL,催乳素21.8 ng/mL,卵泡刺激素5.02 IU/L,黄体生成素3.21 IU/L,雌二醇16 pg/mL,硫酸脱氢表雄酮678 μg/dL,游离甲状腺素1.14 ng/dL,促甲状腺素(TSH)0.770 μIU/mL,游离三碘甲状腺原氨酸2.29 pg/mL。考虑其他垂体前叶功能大致正常。
多发性内分泌腺瘤病(MEN)筛查方面:患者无其他MEN组分临床表现,血降钙素、血去甲肾上腺素、血间羟去甲肾上腺素、胃泌素、胰升糖素水平均正常,甲状旁腺素116.4 pg/mL,25-羟维生素D 15.3 ng/mL,血钙2.30 mmol/L,24 h尿钙3.36 mmol,考虑继发性甲状旁腺功能亢进与维生素D缺乏相关。
BIPSS及促肾上腺皮质激素释放激素(CRH)兴奋试验在库欣综合征诊断中的应用最早于1991年由Oldfield等[1]总结,该研究对246例病理确诊的库欣综合征(包括215例库欣病)患者进行了BIPSS,并发现其中205例库欣病患者岩下窦(IPS)与外周(P)ACTH比值≥2.0,即该切点对库欣病诊断的灵敏度为95%、特异度为100%。而231例行BIPSS及CRH兴奋试验的库欣综合征患者中,203例库欣病患者IPS∶P均达≥3,即该切点对库欣病诊断的灵敏度、特异度均为100%。
目前国内指南推荐BIPSS及CRH或DDAVP兴奋试验作为库欣病确诊的金标准,并沿用了IPS∶P基线≥2或刺激后≥3为诊断切点[2]。而北京协和医院一项纳入250例ACTH依赖性库欣综合征患者的研究则发现,应用上述切点诊断库欣病的灵敏度为87.2%,特异度为96.5%。如将诊断库欣病的IPS∶P切点降至基线≥1.4或刺激后≥2.8,库欣病诊断的灵敏度将提高至94.7%(基线)和97.8%(刺激后),同时特异度仍为100%。其中,对于MRI表现为直径>6 mm的病灶、双侧岩下窦基线ACTH存在梯度(比值>1.4)、及优势侧岩下窦ACTH峰值超过1 250 pg/mL的患者,基线IPS∶P≥1.4即可确诊库欣病,无需再行兴奋试验[3]。
此外,目前也有研究认为外周CRH(DDAVP)兴奋试验可以部分替代BIPSS+CRH(DDAVP)兴奋试验。Frete等[4]在对194例库欣综合征(包括167例库欣病)患者的总结中发现,外周DDAVP试验中,皮质醇升高>18%时,诊断库欣病的灵敏度为89.8%、特异度为70.4%;ACTH升高>33%时,诊断库欣病的灵敏度为85.5%、特异度为77.8%;综合上述切点诊断库欣病的灵敏度为83%、特异度81%、阳性预测值96%。而Qiao等[5]的研究则证实,在108例库欣综合征(包括92例库欣病)患者中,外周DDAVP试验皮质醇升高>16.22%、ACTH升高>44.63%时,对库欣病诊断的灵敏度分别为87.0%和91.1%,特异度分别为87.5%和75.0%;综合上述切点诊断库欣病的灵敏度、特异度分别为83.7%和87.5%,阳性预测值为97.47%。
患者青年男性,慢性病程,有典型库欣综合征症状、体征,血皮质醇昼夜节律消失,过夜小剂量地塞米松抑制试验血皮质醇、24hUFC均不被抑制,ACTH>20 pg/mL,支持ACTH依赖性库欣综合征诊断。垂体动态增强MRI提示垂体左翼微腺瘤(6.4 mm×4.7 mm×6.0 mm)可能。完善BIPSS及DDAVP兴奋试验:基线IPS∶P为1.385,刺激后IPS∶P为1.702,均未达到上述BIPSS诊断库欣病的切点。
对于BIPSS阴性的ACTH依赖性库欣综合征患者,如同时合并垂体腺瘤,需考虑以下鉴别诊断。
首先需考虑异位ACTH综合征合并垂体无功能微腺瘤。异位ACTH综合征合并垂体占位的病例并不少见。北京协和医院曾总结24例异位ACTH综合征患者,发现其中29.2%在垂体MRI上有异常表现,9.5%有直径>6 mm的垂体无功能腺瘤[3]。临床上对异位ACTH综合征和库欣病的鉴别主要依赖临床表现和影像学。与库欣病相比,异位ACTH综合征通常进展较迅速,血皮质醇和24hUFC水平显著升高,多可致严重皮肤紫纹、骨质疏松、顽固性低钾血症、难治性高血压等严重的代谢综合征,而库欣貌、向心性肥胖等表现则相对少见[6]。异位ACTH综合征的常见病灶21%~38.9%为支气管类癌,3.3%~21%为小细胞肺癌,其他少见部位及组织类型还包括肠道神经内分泌肿瘤、甲状腺髓样癌、胸腺类癌、嗜铬细胞瘤和副神经节瘤等。多数异位ACTH综合征可经高分辨CT确诊,而临床和生化特征明确、但影像学阴性的隐性异位ACTH综合征的诊断则有赖于功能性影像学[6]。既往研究认为68Ga-SSTR PET/CT在隐性异位ACTH综合征中诊断的灵敏度可达100%[7],而也有报道称68Ga-SSTR PET/CT诊断异位ACTH综合征的总体灵敏度为64.0%、诊断经组织学确认的病例的灵敏度为76.1%[8]。
其次需考虑BIPSS假阴性的库欣病。北京协和医院曾总结226例库欣病患者,发现1.9%的库欣病患者的BIPSS结果未达到库欣病的诊断切点(即IPS∶P切点基线≥1.4或刺激后≥2.8)[3]。BIPSS假阴性主要与岩下窦静脉血ACTH测量值与真实值不匹配相关。静脉解剖结构变异、岩下窦萎缩等均可能通过影响置管位置导致采集的标本中ACTH水平偏低;肿瘤静脉引流途径变异或位于蝶窦等部位的垂体ACTH瘤则可能使岩下窦静脉血无法正确反映中枢ACTH,产生假阴性结果;非垂体来源的静脉血混入岩下窦也可能造成标本稀释、使ACTH测量值偏低[9]。也有研究提出,同步测量催乳素等其他垂体前叶激素,以对中枢及外周ACTH值进行校正,可一定程度上消除置管位置不准确或非垂体来源静脉血稀释的影响[9,10]。BIPSS假阴性还可能与肿瘤ACTH分侧相关。相比于双侧岩下窦基线ACTH存在梯度(比值>1.4)的库欣病患者,无分侧梯度的患者肿瘤分泌的ACTH可能随静脉血分流至两侧,导致岩下窦ACTH水平无法准确代表肿瘤ACTH的分泌能力,进而造成中枢/外周ACTH梯度低于真实值[11]。周期性库欣病也是BIPSS假阴性的原因之一。周期性库欣综合征由皮质醇周期性分泌增多造成,确诊需至少观察到"三峰两谷"。处于缓解期的周期性库欣病患者ACTH分泌减低甚至处于正常范围内,中枢与外周ACTH梯度显著下降、使BIPSS呈假阴性结果。有创操作引起患者情绪紧张等因素也可能造成试验基线ACTH发生波动,导致ACTH梯度异常[12,13]。此外,BIPSS+DDAVP试验假阴性还可能与瘤组织血管加压素受体表达相关。一项纳入29例库欣病患者的研究表明,患者外周ACTH受DDAVP刺激后升高程度与肿瘤组织V2受体表达强度相关,与V1或V3受体表达无关[14]。而Luque等[15]的体内外试验则证实,DDAVP通过肿瘤组织V3受体刺激肿瘤细胞分泌ACTH。因此,肿瘤表面V2或V3受体低表达的库欣病患者均可能因DDAVP不敏感呈BIPSS+DDAVP试验假阴性。
本患者临床病情相对轻、进展缓慢,24hUFC中度升高,经典大剂量地塞米松抑制试验抑制率达80%,外周DDAVP兴奋试验阳性血皮质醇升高30%、ACTH升高459%,影像学提示垂体占位直径>6 mm,临床考虑库欣病可能。完善68Ga-DOTATATE-PET/CT:垂体区可见高放射性摄取,其内放射性摄取较不均匀,SUVmax约为9.0,考虑垂体腺瘤可能;18F-FDG-PET/CT:垂体区轻度代谢活性,SUVmax6.9,考虑生理性摄取可能;生长抑素受体头部断层融合显像:垂体区生长抑素受体表达轻度增高,考虑非特异性摄取可能。故上述核医学检查均未见可疑异位ACTH综合征病灶,且BIPSS基线IPS∶P虽为阴性,但接近切点,综合考虑库欣病可能性大。
患者行内镜下经鼻蝶窦入路垂体腺瘤切除术+鞍底重建术,术中见垂体左翼稀软、灰白色的肿瘤组织,血供不丰富,部分假包膜,予肿瘤全切,约5 mm×5 mm×3 mm。标本送石蜡病理报告:垂体腺瘤。免疫组化:ACTH(+),GH(-),TSH(-),FSH(-),LH(-),催乳素(-),转录因子T-PIT(+),PIT-1(-),雌激素受体(-),低分子量细胞角蛋白(CAM5.2,+),Ki-67指数(3%),p53(-),多细胞角蛋白(AE1/AE3,+)。结合免疫组化及临床考虑为库欣病诊断明确。
术后复查血皮质醇(8:00)1.8 μg/dL,ACTH(8:00)<5.0 pg/mL,考虑手术成功,予以泼尼松口服10 mg、5 mg bid替代,逐渐减量。术后1个月门诊随访,患者血压较前下降,降压药已停服,复查血皮质醇(8:00)1.2 μg/dL,ACTH(8:00)<5.0 pg/mL,继续予以泼尼松口服10 mg、2.5 mg bid替代。
本例患者考虑为BIPSS假阴性的库欣病。患者垂体占位位于鞍内,岩下窦取血术中可见置管满意(图2),不考虑静脉结构或肿瘤位置变异。患者BIPSS基线ACTH水平在左、右岩下无明显差异,考虑BIPSS假阴性原因可能与肿瘤ACTH分泌无取血分侧差异相关。患者入院时、行BIPSS试验及外周DDAVP兴奋试验时的ACTH水平差异较大,故也有因肿瘤分泌ACTH波动导致的BIPSS假阴性的可能。


既往认为BIPSS及CRH或DDAVP兴奋试验是垂体性库欣综合征定位诊断中敏感性、特异性最高的检查手段。此病例报道1例BIPSS+DDAVP试验假阴性的库欣病患者,希望引起临床医生关注此类患者。BIPSS试验存在假阴性可能。临床上可通过在皮质醇及ACTH水平升高时进行BIPSS以避开周期性库欣综合征缓解期,并可借助血管成像技术识别岩下窦解剖结构、确认置管位置[2,9]。同时可利用催乳素等校正ACTH测量值。对于外周DDAVP兴奋试验阳性、而BIPSS+DDAVP兴奋试验阴性的患者,若临床怀疑库欣病、且无其他证据支持异位ACTH综合征诊断,则需考虑BIPSS试验假阴性的库欣病可能,必要时行手术探查。此外,对于临床表现及影像学高度提示库欣病、而BIPSS试验阴性的患者,如无明确异位ACTH病灶证据,仍推荐行手术探查寻找垂体病灶[9],以防止出现漏诊或行不必要的双侧肾上腺切除术。
所有作者均声明不存在利益冲突





















