
回顾分析3例X-连锁肾上腺脑白质营养不良(X-linked adrenoleukodystrophy,X-ALD)患者的临床表现、血生化与影像学检查、基因检测结果及治疗情况,并对肾上腺脑白质营养不良蛋白(adrenoleukodystrophy protein,ALDP)结构进行分析,提高对X-ALD的认识,减少误诊误治。3例患者均为男性,患者1、2为儿童脑型(childhood cerebral ALD, CCALD),患者3为肾上腺脊髓神经病,早期均被误诊。头颅MRI、血液学检查显示了X-ALD的神经系统脱髓鞘、肾上腺皮质功能不全以及极长链脂肪酸的堆积。ABCD1基因测序发现3种新发致病突变[c.910delins22(p.A304delins8)、c.887A>C(p.Y296S)、c.1451_1481del(p.P484fs)],影响ALDP的关键结构,进而致病。患者1、2行造血干细胞移植,术后病情继续进展;患者3病情较稳定。本研究发现了3种新的突变,扩充了X-ALD患者ABCD1基因突变谱;对于X-ALD,应早期识别、早期诊断,减少误诊误治。
版权归中华医学会所有。
未经授权,不得转载、摘编本刊文章,不得使用本刊的版式设计。
除非特别声明,本刊刊出的所有文章不代表中华医学会和本刊编委会的观点。
X-连锁肾上腺脑白质营养不良(X-linked adrenoleukodystrophy, X-ALD)是最常见的过氧化物酶体病,属于X-连锁的隐性遗传病。致病基因ABCD1突变导致其编码的肾上腺脑白质营养不良蛋白(adrenoleukodystrophy protein,ALDP)结构及功能异常,影响极长链脂肪酸(very long chain fatty acids,VLCFAs)进入过氧化物酶体,使得VLCFAs在脑白质及肾上腺等处蓄积,导致中枢神经系统脱髓鞘及肾上腺皮质功能低下。本研究分析总结3例X-ALD患者的诊治经过与分子遗传学特点,以提高临床医生对此病的诊疗水平。
患者1,男,7岁,主诉为肢体抽搐、行走不稳3个月。3个月前患者于奔跑时摔倒后出现肢体抽搐,就诊于当地医院,予抗癫痫治疗,症状缓解。后上述症状仍间断出现,伴全身乏力、纳差、恶心、呕吐,双眼向右侧凝视。查体,血压110/73 mmHg(1 mmHg=0.133 kPa),消瘦,周身皮肤发黑,步态摇摆,双下肢肌力Ⅳ级,病理征(-)。
患者2,男,5岁,主诉为视物模糊5个月,肢体抽搐2个月。5个月前患者无明显诱因出现视物模糊,伴注意力不集中,伴纳差、恶心,就诊于当地医院,诊为"斜视",未治疗。2个月前患者发热后出现抽搐,发呆、反应迟钝、手眼不协调,头颅MRI见双侧额顶枕颞叶异常信号影,考虑X-ALD。ABCD1基因测序:c.887A>C(p.Y296S),诊断为CCALD。1个月前,行造血干细胞移植(haematopoietic stem cell transplantation,HSCT),术后病情进展,出现失语、吞咽困难,双下肢瘫痪。查体,血压108/69 mmHg,消瘦,周身皮肤发黑,双下肢肌力Ⅰ级。
患者3,男,33岁,主诉为双下肢渐进性僵硬无力7年。病初诊为遗传性痉挛性截瘫(hereditary spastic paraplegia,HSP),给予多种维生素联合康复治疗,效果欠佳。查体,血压125/65 mmHg,消瘦,双手背指节皮肤发黑,双下肢痛触觉、振动觉、关节运动觉、位置觉对称性减退,双下肢肌力Ⅲ+级,肌张力增高,立位平衡2级。
3例患者父母均体健,非近亲婚配。患者1、2均无同种疾病家族史。患者3的姨妈于50岁时出现与患者3类似症状。
血生化包括血浆VLCFAs[包括血浆二十六烷酸(C26∶0)、二十四烷酸/二十二烷酸(C24∶0/C22∶0)、二十六烷酸/二十二烷酸(C26∶0/C22∶0)]、8:00血浆促肾上腺皮质激素(ACTH)、8:00血皮质醇(COR)、24 h尿游离皮质醇(UFC)、空腹血糖(FPG)、血钠。影像学检查包括头颅MRI。
经患者监护人知情同意,分别抽取患者及父母和其他亲属外周血(EDTA抗凝)各2 mL,送检ABCD1基因检测,并由此绘制家系图。依据美国医学遗传学学会(ACMG)指南,对突变基因进行致病性判定。
利用Phyre2软件对野生型及3例突变型ALDP的空间结构进行分析。
患者1、2均行HSCT及醋酸氢化可的松、左乙拉西坦治疗;患者3给予醋酸氢化可的松、罗伦佐油(Lorenzo′s oil,LO)治疗。
血生化及影像学检查:3例患者FPG、血钠均正常,血浆VLCFAs、8:00 ACTH增加,8:00 COR及24 h UFC降低(表1)。

3例X-ALD患者相关实验室检查结果
3例X-ALD患者相关实验室检查结果
| 血浆VLCFAs | 8:00 ACTH(pg/mL) | 8:00皮质醇(nmol/L) | 24 h尿游离皮质醇(nmol/24 h) | 空腹血糖(mmol/L) | 血钠(nmol/L) | |||
|---|---|---|---|---|---|---|---|---|
| C26∶0(nmol/mL) | C24∶0/C22∶0 | C26∶0/C22∶0 | ||||||
| 患者1 | 4.34 | 1.95 | 0.095 | >1 250 | 51.6 | 42.2 | 4.71 | 143 |
| 患者2 | 3.01 | 1.37 | 0.047 | 836 | 206.0 | 73.3 | 4.52 | 141 |
| 患者3(治疗前) | 2.96 | 1.68 | 0.056 | 891 | 292.0 | 80.6 | 5.10 | 139 |
| 患者3(治疗后) | 1.41 | 0.89 | 0.028 | - | - | - | - | - |
| 正常参考范围 | ≤1.30 | ≤1.39 | ≤0.023 | 10~63 | 279~911 | 100~379 | 3.9~6.1 | 137~147 |
注:VLCFAs:极长链脂肪酸
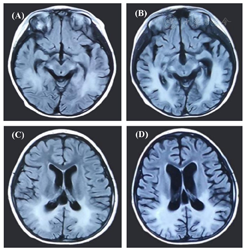
影像学检查:患者1:头颅MRI示脑干、双侧基底节、丘脑、双侧侧脑室后角旁、胼胝体多发异常信号,Loes评分7分。患者2:HSCT前,头颅MRI示病变累及双侧半卵圆中心、侧脑室三角区及枕角周围脑白质及双侧丘脑、胼胝体后部及压部、双侧大脑脚、脑桥及延髓皮质脊髓束区,Loes评分9分;HSCT后头颅MRI示颅内异常信号范围较前增多(图1)。患者3:头颅MRI示双侧侧脑室后角旁可见较对称斑片状异常信号,蝶翼样分布;左额叶可见线样异常信号,Loes评分4分。


注:HSCT:造血干细胞移植;(A)(C)为HSCT治疗前患者2的头颅MRI表现,病变累及双侧半卵圆中心、侧脑室体后周围、侧脑室三角区及枕角周围脑白质及双侧丘脑、胼胝体后部及压部、双侧大脑脚、脑桥及延髓皮质脊髓束区;(B)(D)为HSCT治疗后患者2的头颅MRI表现,颅内异常信号范围较前增多
基因测序及致病性判定:3例患者分别携带ABCD1基因的c.910delins22(p.A304delins8)、c.887A>C(p.Y296S)、c.1451_1481del(p.P484fs)变异,家系部分成员ABCD1基因突变Sanger测序验证及遗传家系图(图2、图3)。3例患者母亲均为相关突变基因携带者,父亲基因型正常。患者3的姨妈基因测序证实为有临床表现的ABCD1基因变异的杂合子。依据ACMG指南[1],上述三种突变依次判定为疑似致病突变、临床意义未明、致病突变(表2)。

3例X-ALD患者突变基因的ACMG指南[1]判定
3例X-ALD患者突变基因的ACMG指南[1]判定
| 突变 | 氨基酸改变 | 外显子 | ACMG | |
|---|---|---|---|---|
| c.910delins22 | p.A304delins8 | 外显子2 | 可疑致病 | PM2_supporting:ESP、EXAC、千人数据库未发现的变异 |
| PM4:插入缺失导致蛋白质长度发生改变 | ||||
| PP1:突变与疾病在家系中共分离 | ||||
| PP3:Mutation Taster预测有害 | ||||
| PP4:临床表型高度符合单基因遗传病—X-ALD | ||||
| c.887A>C | p.Y296S | 外显子1 | 临床意义不明 | PM2_supporting:ESP、EXAC、千人数据库未发现的变异 |
| PM5:同一位点Y296C为已知致病性突变 | ||||
| PP3:Mutation Taster预测有害 | ||||
| PP4:临床表型高度符合单基因遗传病—X-ALD | ||||
| c.1451_1481del | p.P484fs | 外显子5 | 致病 | PVS1:框移突变 |
| PM2_supporting:ESP、EXAC、千人数据库未发现的变异 | ||||
| PP3:Mutation Taster预测有害 | ||||
| PP4:临床表型高度符合单基因遗传病—X-ALD |
注:ACMG:美国医学遗传学学会


注:(A)家系1; (B)家系2; (C)家系3


注:(A)患者1,c.910delins22(p.A304delins8); (B)患者1母亲(杂合突变); (C)患者1妹妹(杂合突变); (D)患者3,c.1451_1481del(p.P484fs); (E)患者3母亲(杂合突变); (F)患者3姨妈(有临床表现的杂合突变)
ALDP空间结构分析:利用Phyre2软件对ALDP的空间结构进行预测,ALDP野生型具有61%的α螺旋和7%的β折叠。患者1的突变型ALDP(p.A304delins8)α螺旋增多至64%,β折叠不变。患者2的突变型ALDP(p.Y296S)α螺旋和β折叠比例同野生型。患者3的突变型ALDP(p.P484fs)α螺旋增至69%,β折叠降至2%(图4)。


注:ALDP:肾上腺脑白质营养不良蛋白;蛋白质链被显示为一个光滑的骨架,随机线圈以绿色显示,α螺旋显示为红色,β折叠显示为黄色箭;(A)ALDP野生型具有61%的α螺旋和7%的β折叠;(B)ALDP-p.A304delins8(突变型)具有64%的α螺旋和7%的β折叠;(C)ALDP-p.Y296S(突变型)具有61%的α螺旋和7%的β折叠;(D)ALDP-p.P484fs(突变型)具有69%的α螺旋和2%的β折叠
治疗及随访:3例患者食欲均有所改善。患者1于移植后3个月死亡;患者2移植后神经系统病变进展;患者3目前病情稳定,复查血浆VLCFAs水平下降(表1)。
X-ALD临床上可分脑型(cerebral ALD,CALD)、肾上腺脊髓神经病(adrenomyeloneuropathy, AMN)、单纯Addison型、女性杂合子型,其中以CALD及AMN最常见,分别占45%和35%[2]。CALD又分为儿童脑型(CCALD)、青少年脑型(adolescent cerebral ALD,AdolCALD)、成人脑型(adult cerebral ALD, ACALD)3型。该病目前尚无特效治疗,现有治疗包括饮食疗法、激素替代、HSCT等。
CCALD最为严重[3],多于3~8岁发病,临床表现特异性差,易误诊。如情绪行为异常易误诊为多动症,抽搐易误诊为原发性癫痫。AMN多见于20~40岁男性,表现为渐进性下肢痉挛性截瘫、共济障碍和性功能障碍等[4],痉挛性截瘫者易误诊为HSP[5]。本研究中患者1、2均为CCALD,病初曾被误诊为"原发性癫痫"和"斜视"。患者3为AMN,被误诊为"HSP"达7年。以上足见X-ALD误诊之常见,临床医生必须提高认识。
X-ALD致病基因ABCD1编码过氧化物酶体膜蛋白ALDP[6]。ALDP负责VLCFAs的跨膜转运[7]。ALDP具有两个核心结构域:N端跨膜结构域(transmembrane domain, TMD)和C端核苷酸结合结构域(nucleotide binding domain, NBD)。TMD的EAA-like序列控制VLCFAs转运[8]。NBD通过结合和水解ATP为VLCFAs转运供能[9,10],其中Walker A、Walker B序列是结合ATP的关键序列[8],C序列介导NBD与TMD的相互作用[11]。ALDP具体分子结构模型及部分区域功能见图5[8]。


注:ALDP:肾上腺脑白质营养不良蛋白;TMD:跨膜结构域;NBD:核苷酸结合结构域;ALD:肾上腺脑白质营养不良;转运蛋白的3个关键区域在图中用蓝色标出;(1)含有保守氨基酸的第1环(Loop 1),在Loop 1区的TMD1的起始处有一个保守的氨基酸,它可能协助ALDP正确定位[9]; (2)在TMD(包含氨基酸94~386)的第4和第5α螺旋之间存在亲水的Glu-Ala-Ala(EAA-like)序列,该序列控制着ABC转运体中各种底物的运输[9]; (3)NBD(包含氨基酸474~700),由C序列分隔的Walker A(包含氨基酸507~520)和Walker B(包含氨基酸617~632),分别含有一个保守的精氨酸(ALD蛋白中的R518)和天冬氨酸(ALD蛋白中的D629),通过Mg2+结合ATP[9]; C序列可能通过(EAA-like)序列介导与TMD的相互作用[12];错义突变(在56%的ALD病例中发生)用黄色表示发生一次,红色表示反复发生,频率从2到8次不等
据X-ALD数据库(http://www.x-ald.nl),目前已发现ABCD1基因突变3 151种。其中错义突变62%,移码突变16%,插入/缺失突变4%;47%发生于TMD区突变,34%发生于NBD区[12]。本研究发现的3种ABCD1基因突变(c.910delins22、c.887A>C及c.1451_1481del)于中外文献及X-ALD数据库均未见报道,属新发突变。
患者1携带的ABCD1基因的c.910delins22(p.A304delins8)突变,导致ABCD1第910号鸟嘌呤缺失并插入了另外22个核苷酸,引起ALDP第304位丙氨酸被另外8个氨基酸替代,造成ALDP氨基酸序列改变并延长至第752位终止,空间结构也受到明显的影响。虽然ACMG指南判定其为疑似致病突变,但该突变改变了NBD的Walker A、Walker B和C序列,影响NBD与ATP的结合供能、NBD与TMD的相互作用及VLCFAs转运供能[8,11],结合患者典型临床表现,认为该突变具有致病性。
患者2携带的ABCD1基因的c.887A>C(p.Y296S)突变,使其第887号腺嘌呤突变为胞嘧啶,引起ALDP第296号酪氨酸变为丝氨酸。虽然ACMG指南将其判定为临床意义未明,但该基因突变位点影响的是至关重要的、控制VLCFAs转运的、ALDP的TMD EAA-like序列[8],结合患者典型临床表现,以及该位点另外一个致病突变(Y296C)的文献报道[13],认为其突变具有致病性。
患者3携带的ABCD1基因的c.1451_1481del(p.P484fs)突变,属于新型移码突变,导致ABCD1基因第1451至1481号核苷酸丢失,ALDP自第484位开始改变,在546位提前终止,丢失了近1/4的氨基酸残基,包括NBD的WalkerB和C序列,由此严重影响了ALDP的空间结构,影响了NBD与ATP的结合以及NBD与TMD的相互作用[11],致使VLCFAs无法转运至过氧化物酶体。ACMG指南判定该突变为致病突变。
回顾文献,国内已有不少关于X-ALD的报道,涉及基因突变的多达33篇。与以往的报道不同[14,15],本研究对基因突变带来的ALDP结构改变进行了更加深入的解析,对其功能变化进行了更加准确的判断。研究中3个新发突变均直接影响转运VLCFAs和与ATP结合的关键功能序列,如TMD的EAA-like序列、NBD的Walker A、Walker B和C序列,进而严重影响ALDP功能,并带来相应的临床症状。与此同时,本研究还利用Phyre2软件对野生型及3例突变型ALDP的空间结构进行了预测与比较,其中ALDP-p.Y296S和ALDP-p.P484fs较野生型ALDP的空间结构发生了明显改变,这也为ALDP的功能变化提供了证据。
对于脑型患者,HSCT是早期首选治疗,也是预防X-ALD神经系统脱髓鞘进展的唯一有效方法[16]。在出现神经系统病变之前行HSCT可以阻止神经系统脱髓鞘进而延缓或阻止疾病进展,改善疾病预后[8]。X-ALD患者的头颅MRI表现可以先于或与X-ALD症状同时出现,可作为早期诊断和判断移植时机的重要工具[17]。既往研究显示,影像学Loes评分<9分,移植后生存率约85%;Loes评分≥9分,移植后生存率约40%[18]。而Bladowska等[19]人研究结果显示,Loes评分分别为8和8.5分,HSCT治疗后疾病仍有进展。本研究中患者2移植前Loes评分为9分,移植后临床症状及头颅MRI表现均较前进展,考虑错过了最佳治疗时机。因此,HSCT须尽早进行,以改善疾病预后。
对于AMN型,限定VLCFAs摄入,可以减少VLCFAs的蓄积[20]。van Geel、Moser等[21,22]进行的非盲临床试验发现,LO治疗可以延缓无症状X-ALD患者神经系统病变的进展。Moser等[23]也观察到,对于已经出现神经系统症状的脑型或AMN患者,即便开始LO治疗且C26∶0有所减少,疾病仍会进展。本研究中患者3经LO治疗,随访复查VLCFAs较前降低,神经系统病变无进展,提示LO治疗有效。关于LO的疗效,仍需更多研究明确。
对于肾上腺皮质功能不全者,及时给予糖皮质激素替代,可以预防肾上腺危象的发生;本研究中3例患者均存在肾上腺皮质功能不全,治疗上均给予醋酸氢化可的松替代。
综上,X-ALD是最常见的过氧化物酶体病,临床表现缺乏特异性,极易误诊,临床医生应提高警惕。基因检测技术的普及,使得我们发现更多新发突变,对疾病有了更加深刻的理解。该病目前尚无特效治疗,脑型患者早期诊断并行HSCT治疗,可改善预后,错过时机,疗效不佳。LO疗效仍需进一步观察明确。
所有作者均声明不存在利益冲突





















