
版权归中华医学会所有。
未经授权,不得转载、摘编本刊文章,不得使用本刊的版式设计。
除非特别声明,本刊刊出的所有文章不代表中华医学会和本刊编委会的观点。
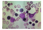
患者女,63岁。因发现HCV RNA阳性8个月,乏力、面黄、目黄十余天入院。患者于8个月前体格检查时发现丙型肝炎病原学阳性,病毒载量升高(1×105 IU/L),分型不详,后规律应用α干扰素300万U隔日一次皮下注射+利巴韦林1 000 mg/d口服,约2个月前常规复查时发现Hb下降,利巴韦林减量至800 mg,1周后复查血常规未见明显改善,Hb下降至80 g/L,停用干扰素及利巴韦林。后未复查血常规,10 d前无明显诱因出现皮肤、巩膜黄染,双下肢乏力,活动后明显,门诊以慢性丙型肝炎、乏力待查收入吉林大学第一医院肝胆胰内科。否认高血压、糖尿病病史,有心脏病史,具体不详,有输血史。否认食物及药物过敏史,否认吸烟、饮酒史。入院体格检查:精神状态欠佳,意识清楚,贫血貌,皮肤、巩膜黄染,血压90/50 mmHg(1 mmHg=0.133 kPa),肺部未闻及明显啰音;腹平软,无明显压痛、反跳痛及肌紧张,肝、脾肋下未及,移动性浊音阴性,双下肢无水肿。实验室检查示,血白细胞计数10.44×109/L,红细胞计数1.09×1012/L,Hb 47.0 g/L,红细胞比容0.136,血小板计数160.0×109/L;ALT47 U/L,AST 115 U/L,TBil 204.0 μmol/L,DBil41.7 μmol/L,间接胆红素162 μmol/L;血肌酐54 μmol/L,尿素氮4.40 μmol/L;抗-HCV阳性;HCV RNA 3.11×106 IU/mL;HCV基因分型1b;甲胎蛋白39.530 μg/L,糖类抗原19-9 54.810 U/mL;网织红细胞比例0.260 2,网织红细胞绝对值0.429 3×1012/L,未成熟网织红细胞比例0.503 0,低荧光网织红细胞比例0.497 0,中荧光网织红细胞比例0.215 0,高荧光网织红细胞比例0.288 0;血清酸化溶血试验阴性;血浆游离Hb 210 mg/L;直接抗人球蛋白试验C3d阳性,直接抗人球蛋白试验IgG阳性;CD3+T淋巴细胞分类0.754;CD4+T淋巴细胞分类0.295;CD8+T淋巴细胞分类0.673;CD4+/CD8+T淋巴细胞比例0.430;维生素B12 258.00 pmol/L;叶酸15.10 μg/L;血清铁40.5 μmo/L,铁蛋白773 μg/L,总铁结合力56.0 μmol/L;HBV、HIV等病原学检查阴性;抗核抗体系列未见异常;抗中性粒细胞抗体筛查试验无异常;抗中性粒细胞抗体确证试验无异常。腹部CT示,肝脏体积缩小,表面不光滑,肝门、肝裂稍宽;门静脉增宽,约1.5 cm;脾脏体积增大,其内未见明显异常密度影;影像诊断,考虑肝硬化、脾略大。骨髓穿刺结果示,①有核细胞增生活跃;②粒细胞系比例降低,占18%,形态无明显改变;③红细胞系比例升高,占69%,有核红细胞无明显形态异常,成熟红细胞大小不等,可见大红细胞、泪滴红细胞、球形红细胞;④淋巴细胞比例、形态正常;⑤全片找到巨核细胞18个,血小板成堆易见;⑥骨髓小粒造血面积正常,未见异常细胞;⑦铁染色,外铁(++),内铁0.51,未见环铁;⑧血片分类,各类细胞形态、比例大致正常,计数100个有核细胞可见1个有核红细胞,成熟红细胞大小不等,可见球形红细胞,占16%,血小板成堆易见。见图1,2。检验诊断:增生性贫血。结合患者病史、症状、体征及辅助检查,临床诊断为肝炎后肝硬化(丙型,代偿期);免疫性溶血性贫血。


给予患者地塞米松40 mg/d口服联合丙种球蛋白0.4 g/kg静脉点滴冲击5 d后,复查Hb 59 g/L,网织红细胞比例0.291 7,网织红细胞绝对值0.405 5×1012/L,未成熟网织红细胞比率0.438 0,低荧光网织红细胞比率0.562 0;中荧光网织红细胞比率0.190 0,高荧光网织红细胞比率0.248 0;ALT 37.5 U/L,AST 66.5 U/L,TBil 110.2 μmol/L,DBil 28.9 μmol/L,间接胆红素81.3 μmol/L;后持续口服激素治疗,6 d后再次复查Hb 58 g/L;ALT 39.6 U/L,AST 50.8 U/L,TBil 87.1 μmol/L,DBil 24.8 μmol/L,间接胆红素62.3 μmol/L。考虑患者虽有间接胆红素下降,但网织红细胞未见下降,Hb未见增高,且激素治疗无效,转入吉林大学第一医院肝胆外科进行腹腔镜脾切除术。
术前白细胞计数5.70×109/L,红细胞计数1.80×1012/L,血红蛋白71.0 g/L,红细胞比容0.218 L/L,血小板计数158.0×109/L;手术过程顺利,切除后脾脏大小13.0 cm×10.0 cm×5.5 cm,术后继续应用地塞米松40 mg/d,术后6 h复查血白细胞计数10.58×109/L,红细胞计数2.65×1012/L,Hb 100.0 g/L,红细胞比容0.295,血小板计数155.0×109/L;术后第4天血白细胞计数6.88×109/L,红细胞计数3.05×1012/L,Hb 112.0 g/L,红细胞比容0.330,血小板计数192.0×109/L。网织红细胞百分比0.568,网织红细胞绝对值0.170 0×1012/L,未成熟网织红细胞比率0.360,低荧光网织红细胞比率0.964,中荧光网织红细胞比率0.360,高荧光网织红细胞比率0.000;考虑患者血常规恢复明显,开始应用索非布韦400 mg+雷迪帕韦90 mg每日一次口服抗病毒治疗,术后15 d复查血白细胞计数6.64×109/L,红细胞计数3.17×1012/L,Hb 110.0 g/L,红细胞比容0.325,血小板计数264.0×109/L。患者乏力等临床症状明显改善,生命体征平稳。现随访中。
溶血性贫血是由于红细胞破坏速率增加(包括红细胞本身的内在缺陷、红细胞外部因素异常等),超过骨髓造血代偿能力而发生的贫血。通过溶血发生的场所不同可以分为血管内溶血和血管外溶血。HCV感染患者发生溶血性贫血原因通常有两个:①HCV感染本身所致的自身免疫性溶血性贫血,为丙型肝炎患者较为罕见的肝外表现[1],目前仅有5例报道,通常临床表现为贫血,红系增生,胆红素及乳酸脱氢酶增高,同时伴有结合珠蛋白下降,最终通过直接抗人球蛋白试验确诊;②较为常见,为干扰素和利巴韦林治疗后导致的药物所致免疫性溶血性贫血,具体机制尚未完全明了,可能为利巴韦林通过细胞膜-核苷载体进入红细胞被活化为三磷酸盐,导致红细胞内三磷酸盐富集,使细胞抗氧化防御屏障受损,并最终使红细胞收到氧化损伤以致细胞破裂而发生血管内溶血[2,3,4]。同时利巴韦林也可导致红细胞Na-K泵活性降低,而导致细胞能量代谢异常和细胞膜氧化受损,从而使受损红细胞在通过网状内皮系统时容易破裂,加速血管外溶血[3]。而干扰素本身亦可诱导自身抗体的产生而使患者发生溶血性贫血[5]。无论哪种原因,均通过去除诱因(当考虑患者贫血为利巴韦林所致时,通常通过利巴韦林减量或停药,血常规可以恢复),应用糖皮质激素+免疫抑制剂(环孢素、环磷酰胺等),以及成分输血等进行治疗。而丙型肝炎患者发生溶血性贫血后应用激素及丙种球蛋白不恢复,最后需进行脾脏切除术患者在临床极为少见。
本例患者为老年女性,规律进行干扰素+利巴韦林抗病毒治疗,半年后出现乏力等贫血症状,就诊于当地医院后发现Hb降低,考虑为利巴韦林所致,给予利巴韦林减量及停药,但患者停药后症状无缓解,持续性加重。经过相应检查,考虑患者溶血性贫血诊断明确。因患者有明确用药史,进行骨穿排除了骨髓造血系统异常、抗核抗体系列检查正常排除了系统性红斑狼疮等自身免疫性疾病,影像学检查排除了恶性肿瘤,故该患者溶血性贫血首要原因为干扰素及利巴韦林所致;其次,患者进行药物治疗后半年方出现贫血,而利巴韦林减量1周,停用干扰素及利巴韦林2个月Hb下降仍进行性加重,HCV载量增高,故考虑在患者疾病发展过程中,不除外存在HCV造成的溶血性贫血。予激素+丙种球蛋白联合治疗。但治疗后网织红细胞计数未见下降,Hb未见增高,临床症状无改善,故建议进行脾脏切除术。手术后患者贫血纠正,网织红细胞计数下降,间接胆红素正常,考虑溶血性贫血治愈。
此病治疗难点在于丙型肝炎患者应用激素治疗后,存在病毒复制增加从而导致肝功能衰竭等疾病可能,同时在患者积极给予激素+丙种球蛋白治疗无反应时,其一般状态极差,此时进行手术风险极大;但如果患者溶血性贫血不被纠正,其生命已受到严重威胁。故反复与患者家属沟通,详细交代病情,征得同意后,通过肝胆内科、血液科、肝胆外科等多学科通力合作,最终成功治愈患者,为丙型肝炎患者发生溶血性贫血的治疗提供了临床经验。





















