
版权归中华医学会所有。
未经授权,不得转载、摘编本刊文章,不得使用本刊的版式设计。
除非特别声明,本刊刊出的所有文章不代表中华医学会和本刊编委会的观点。
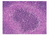
患者女,60岁,因"发热1个月"收治入院。患者于2015年9月28日无明显诱因出现持续发热,最高体温达40.2 ℃,伴有咳嗽、头晕;无寒战;无恶心、呕吐、腹痛、腹泻;无咳痰、咳血、胸闷、气促、胸痛、心悸等不适。至当地医院住院,实验室检查:白细胞计数7.41×109/L,中性粒细胞比例0.720,嗜酸性粒细胞比例0.007,单核细胞比例0.067,淋巴细胞比例0.201,Hb 132.0 g/L,血小板计数157×109/L,C反应蛋白162.2 mg/L。胸部CT示:左肺下叶背段见4.5 mm×5.0 mm结节影,结节内密度欠均匀,边界欠清晰,气管及主支气管通畅,纵隔内见多发小淋巴结影,胸腔内未见积液征象。诊断"急性支气管炎",予头孢克肟2 g,每日2次,地塞米松10 mg每日1次,静脉滴注5 d,体温恢复正常,停药2 d后体温再次升高。2015年10月9日至上海某医院就诊,建议继续抗感染治疗后复查胸部CT。遂回当地医院继续住院治疗,实验室检查:白细胞计数3.22×109/L,中性粒细胞比例0.593,嗜酸性粒细胞比例0.005,单核细胞比例0.059,淋巴细胞比例0.348,C反应蛋白66.7 mg/L。间断应用地塞米松对症治疗,体温仍间断升高。出院后于2015年10月20日再次至上海某医院复查,胸部CT示左肺下叶上段小结节,恶性待排,两肺慢性炎性反应。10月23日再次出现高热,体温最高达40 ℃,10月26日到当地医院住院,实验室检查:白细胞计数6.31×109/L中性粒细胞比例0.759%,嗜酸性粒细胞比例0.003,单核细胞比例0.074,淋巴细胞比例0.162,C反应蛋白28.45 mg/L;尿液、粪便常规正常;血生物化学指标正常;肥达反应阴性;结缔组织病及血管炎系列检查阴性;肿瘤标志物正常。胸腹部CT示左肺下叶背段结节灶,纵隔见多发小淋巴结,胆囊壁增厚。诊断"肺部感染",继续静脉滴注头孢噻肟抗感染治疗,体温38.6 ℃~39.7 ℃。10月29日至上海市另一医院就诊,行全身正电子发射计算机X线断层扫描技术(PET-CT)检查示:全身多处浅表淋巴结肿大,纵隔淋巴结、腹膜后淋巴结肿大,标准摄取值2.7~5.2(图1)。10月30日至上海交通大学附属第一人民医院就诊,以"发热1个月"收住入院。发病以来体质量下降5 kg。入院体格检查:右肘关节处可及肿大淋巴结一枚,2 cm×2 cm,质硬,无活动,有触痛;胸廓对称无畸形,胸骨无压痛,双肺呼吸音清晰,未闻及干、湿啰音。实验室检查:尿常规示高倍镜下白细胞(+++);凝血常规及D-二聚体正常;甲状腺功能五项正常;肿瘤标志物正常;血生物化学指标正常。心电图示:窦性心律,心率82次/min。B超示双侧颈部、腹股沟、腋下、右上臂多枚肿大淋巴结,1.0 cm×1.2 cm,质韧,活动度尚可,与周围组织无黏连。腹部B型超声示:血吸虫肝病,胆囊息肉。心脏超声未见异常。于2015年11月4日行右侧滑车淋巴结活组织检查术。淋巴结HE染色示:淋巴结内见肉芽肿结构,周边见单核细胞和类上皮细胞反应层,呈栅栏状排列,中央见大量中性粒细胞构成的小脓肿,符合猫抓病的病理特征(图2)。免疫组织化学结果示:组织细胞和类上皮细胞KP1阳性。诊断:猫抓热。追问病史,患者患病前半月喂食野猫后右手被抓伤。予阿奇霉素针剂0.5 g静脉滴注治疗1周,体温降至正常,好转出院。随访1年无复发。




猫抓病又称猫爪热,是由汉赛巴尔通体感染导致的一类良性、自限性淋巴管疾病,主要通过猫的抓咬伤传播,也可通过跳蚤的叮咬传播,猫是其储存宿主[1,2,3]。汉赛巴尔通体是一类革兰阴性、氧化酶阴性、营养条件要求苛刻的需氧杆菌,在血琼脂培养基上生长缓慢,一般培养12~14 d才能看到典型的菌落生长。这种长周期的培养常常导致阴性结果而干扰临床诊断[4,5]。患者的临床表现因宿主免疫状态而异,免疫功能正常患者表现为局灶性皮肤损害,淋巴结肿大、化脓和肉芽肿形成等;免疫力低下者则出现典型的、可复性的亚急性淋巴结炎,严重时可出现急性眼球、脑部疾病,甚至引起全身性的杆菌性紫癜,皮下"奇点紫斑"[2,6,7]。猫抓热的诊断标准至少包括3个方面:①有猫接触或猫抓伤史;②猫抓伤处皮肤测试阳性;③局限性淋巴管炎并排除其他原因的淋巴管炎,淋巴结活组织检查有典型的组织病理损伤。典型的病理表现为伴有中心小脓肿的肉芽肿性炎[8,9]。病原学诊断有赖于病原体PCR检测结果[10,11,12]。该患者汉赛巴尔通体核酸检测结果阴性,分析原因可能是前期持续静脉滴注抗菌药物导致病原体清除,也可能是标本长期搁置后DNA的分解导致结果阴性。
在出现发热伴淋巴结肿大的患者中,全身PET-CT检查正越来越多地用于恶性淋巴瘤的筛查。尤其对淋巴结扫描标准摄取值中度至明显升高的患者,其影像学诊断常首先拟诊为恶性淋巴瘤,然而随着PET-CT检查经验的积累,良性炎性肉芽肿引起的标准摄取值中度至明显升高越来越受到重视。由于标准摄取值中度及明显升高对淋巴瘤的诊断并无特异性,诊断必须首先排除其他引起标准摄取值明显升高的淋巴结良性炎性肉芽肿,确诊必须结合临床特点、淋巴结活组织检查病理和病原学结果。该患者PET-CT拟诊恶性淋巴瘤,发病前有明确的野猫接触史及右手指抓伤史,淋巴结活组织检查病理结果提示典型淋巴结炎性肉芽肿合并微脓肿形成,脓肿周围可见典型的栅栏状排列的类上皮细胞反应层。临床拟诊猫抓病。
迄今为止,猫抓病尚无特效的抗菌药物。免疫功能正常的患者可不予抗菌药物治疗,口服治疗效果最好的药物是利福平、环丙沙星和复方新诺明,疗程3 d以上,重症病例可延长至2周,免疫功能损害者治疗时间应更长[1,13]。切断汉赛巴尔通体通过跳蚤在不同的猫之间的传播可降低人类感染。





















