
版权归中华医学会所有。
未经授权,不得转载、摘编本刊文章,不得使用本刊的版式设计。
除非特别声明,本刊刊出的所有文章不代表中华医学会和本刊编委会的观点。
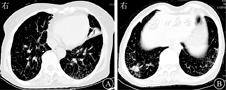
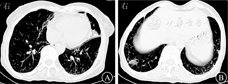
患者女,68岁,农民,2月前因"反复发热、咳嗽咳痰伴咽痛、乏力"入住当地医院。患者2017年9月起无明显诱因下出现间歇性发热,低热为主,具体体温不详,以下午及傍晚明显,伴咳嗽,咳黄色(后转白色)黏痰,伴全身乏力、咽痛、颈前区疼痛、恶心、心慌胸闷,无呕吐,无鼻塞流涕,无腹痛、腹胀、腹泻,无胸痛烧心,无畏寒怕热,无盗汗消瘦,无四肢麻木等。诊断为弥漫性毒性甲状腺肿(Graves病),予泼尼松、美托洛尔等药物治疗2周后症状曾好转。后颈前区疼痛及发热乏力咳嗽等症状加剧,查肺部CT提示两肺散在多发结节,支气管炎,右肺中叶及左肺上叶下舌段支气管扩张,伴炎症机化。实验室检查:红细胞沉降率31 mm/1 h,C反应蛋白1.5 mg/L。诊断为:①Graves病;②肺部感染原因待查。11月6日转入浙江大学医学院附属第一医院进一步治疗。体格检查:体温37.7℃,脉搏110次/min,呼吸20次/ min,血压111/64 mmHg(1 mmHg=0.133 kPa)。患者神志清,精神可,双肺呼吸音粗,未闻及明显干湿啰音,心律尚齐,心率快,未闻及病理性杂音,腹软,无压痛、反跳痛,肝、脾肋下未及,肠鸣音6次/min,移动性浊音阴性,双下肢轻度凹陷性水肿,神经系统检查阴性。实验室检查:白细胞计数5.9×109/L,中性粒细胞比例0. 636,Hb 97 g/L,血小板计数159×109/L;C反应蛋白9.30 mg/L;降钙素原0.02 μg/L;肝肾功能、肿瘤标志物等正常。2017年11月10日肺部CT平扫提示:两肺多发感染性病变,两肺多发结节(图1)。入院后每天午后及傍晚有低热,体温波动于37.3~38.8 ℃,先后予左氧氟沙星、莫西沙星、头孢他啶等经验性抗感染治疗,体温仍反复波动,抗感染效果较差,怀疑肺结核可能,查结核菌素试验及结核感染T淋巴细胞斑点试验阴性;支气管肺泡灌洗液(bronchoalveolar lavage fluid,BALF)及毛刷涂片找抗酸杆菌均为阴性。2017年11月30日肺穿刺活组织检查提示:右下肺肉芽肿性炎伴坏死,抗酸阴性,痰培养抗酸杆菌2次均阴性。2017年11月28日全院多学科综合协作(multi-disciplinary team,MDT)讨论认为:肺部感染性病变首先考虑,病原体尚不明确,需考虑非结核分枝杆菌感染。继续送痰培养,后连续3次均有非结核分枝杆菌生长,菌种鉴定为鸟-胞内分枝杆菌复合群(Mycobacterium avium Complex,MAC),予利福平0.45 g+乙胺丁醇0.75 g+阿奇霉素0.5 g+莫西沙星0.4 g,1次/d联合抗感染治疗2周后,体温正常,症状基本消失,复查C反应蛋白、血常规、红细胞沉降率等基本正常,2018年2月7日肺部CT提示:病灶较前稍有吸收(图2)。出院后继续口服上述药物治疗,现已随访4个月余,病情稳定,仍继续随访中。




本病例特点:①患者为老年女性,伴有Graves病史;②病程较长,表现为间歇性反复低热,伴咳嗽咳痰,咽痛及全身乏力等症状;③肺部CT提示感染性病变,经验性抗感染治疗后病情未见明显好转;④明确病原学困难,结核菌素试验、结核感染T淋巴细胞斑点试验阴性、BALF找抗酸杆菌及涂片阴性,肺穿刺活组织检查抗酸阴性,连续2次痰找抗酸杆菌、痰涂片阴性;⑤治疗非结核分枝杆菌(nontuberculous mycobacteria,NTM)常需多药联合,长疗程治疗,易耐药,且预后较差,该患者经多药联合治疗后效果良好。该病例提示,在临床工作中,遇到感染性疾病,尽早明确病原体对于治疗非常重要。部分病原体检测阳性率低,需要多次重复送检标本以提高检出率。对于症状类似于肺结核的患者抗结核效果不佳时,应考虑到NTM感染的可能。
NTM是指分枝杆菌属内除结核分枝杆菌复合群(包括结核、牛、非洲和田鼠分支杆菌)和麻风分枝杆菌以外的一大类分枝杆菌的总称[1,2],普遍存在于自然环境中,如水源、土壤等,并可通过人体呼吸道及消化道黏膜等感染人体[3]。近年由于艾滋病以及免疫抑制药物使用者感染NTM的病例逐渐增多,医务工作者开始对NTM有所重视[4,5]。根据我国结核病流行病学调查报告显示,我国NTM在分枝杆菌中的占比已由2000年的11.1%[6]上升至2010年的22.9%[7];而日本的一项调查研究数据显示,NTM患病率由2007年的0.005 7%上升至2014年的0.014 7%[8],升高了近2.5倍。这些变化一方面是受到免疫缺陷疾病增加及人口老龄化等的影响,另一方面则是由于细菌学及生物学检测技术的发展提高了NTM感染的检出率[9]。
NTM感染最常见的累及部位为肺部,但近年来发生于肺外,如淋巴结、骨骼、关节、皮肤和软组织等组织器官的感染病例在逐渐增加,严重者还可引起全身播散性疾病[9]。引起肺部感染的NTM多为MAC、脓肿分枝杆菌、偶发分枝杆菌和堪萨斯分枝杆菌等,其中MAC占比达到了89%[1,3]。目前对于NTM肺病的准确诊断仍有一定的困难。NTM肺病患者的临床表现、体征及辅助检查等缺乏特异性,且与结核分枝杆菌感染极为相似,临床上有不少NTM病被误诊为结核病[10]。2012年我国发布《NTM病诊断和治疗专家共识》[1]以及2017年英国胸科协会发布的《NTM-PD管理指南》[11]提出了NTM肺病诊断标准:1.具有呼吸系统症状和(或)全身症状,经胸部影像学检查发现有空洞性阴影、多灶性支气管扩张及多发性小结节病变等,且已排除其他疾病;2.在确保标本无外源性污染的前提下,符合以下条件之一者可做出NTM肺病的诊断:①痰NTM培养2次均为同一致病菌;②BALF中NTM培养阳性1次,阳性度为(++)以上;③BALF中NTM培养阳性1次,抗酸杆菌涂片阳性度为(++)以上;④经支气管镜或其他途径的肺活组织检查,发现分枝杆菌病的组织病理学特征性改变(肉芽肿性炎性反应或抗酸染色阳性),且NTM培养阳性;⑤肺活组织检查发现分枝杆菌病的组织病理学特征性改变(肉芽肿性炎性反应或抗酸染色阳性),且痰标本和(或)BALF中NTM培养阳性≥1次。本例患者最终经过连续3次痰培养NTM阳性,菌种鉴定为MAC,确诊为MAC肺病,提示临床医师需重视病原学检查及多次重复查找病原学依据。
由于NTM和结核分枝杆菌一样拥有复杂的细胞壁,导致大量抗菌药物难以对其发挥作用,且NTM中不同的菌种对抗结核药也有着不同的耐药谱,这使得NTM难以得到有效治疗。因此,在治疗之前建议进行菌种鉴定及药物敏感试验,不仅对治疗有帮助,还能协助鉴别诊断[1]。目前对于非重症MAC肺病(指非纤维空洞型MAC-PD、无严重感染及系统性疾病)的推荐治疗方案为阿奇霉素或克拉霉素联合利福平及乙胺丁醇每周给药3次,以尽量减少耐药性产生,疗程至少持续至NTM培养转阴后12个月[1]。对于严重进展性的MAC肺病患者将上述治疗方案改为每日给药,并静脉或雾化吸入阿米卡星3个月;对于大环内脂类耐药的患者推荐利福平、乙胺丁醇联合异烟肼或莫西沙星每日给药,同时静脉或雾化吸入阿米卡星3个月[11]。本例患者经过阿奇霉素、乙胺丁醇、利福平及莫西沙星联合治疗后症状基本好转,出院后门诊随访过程中病情平稳。
NTM肺病的患病率目前在逐渐增加,但临床上针对NTM肺病的诊断仍主要依赖于传统的微生物学方法,该方法对于实验室环境条件、技术人员的操作能力以及时间等要求苛刻,导致临床上假阳性率、假阴性率较高,往往需要多次重复检测。对于NTM肺病的治疗,虽然众多共识所推荐的治疗方案基本类似,但其所带来的疗效尚不能令人满意,多药联合且长疗程的治疗方案,不仅容易产生药物不良反应,而且会导致耐药菌的产生,一旦出现耐药菌,目前尚无有效治疗方案以及经验应对。因此,进一步优化治疗方案以减少耐药菌产生及开发新型药品以减少不良反应,仍需要各方面共同努力。





















