
挪威疥是由人型疥螨通过直接接触传播,多出现在营养不良、智力不全、个人卫生习惯不佳者,或患有肺结核、结缔组织病等患者中。虽然挪威疥诊断不困难,但常因该疾病少见、皮疹类型多,且与变态反应性疾病、角化性疾病、红皮病等有一定的相似之处,极易漏诊或误诊,致使病情加重。本病例确诊挪威疥前,曾多次误诊,光学显微镜检查发现大量疥螨,予床边隔离,10%硫磺软膏、林旦乳膏涂抹全身后,病情好转。
版权归中华医学会所有。
未经授权,不得转载、摘编本刊文章,不得使用本刊的版式设计。
除非特别声明,本刊刊出的所有文章不代表中华医学会和本刊编委会的观点。
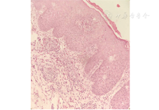
患者女,49岁,因"全身皮肤泛发红斑、丘疹,伴瘙痒1个月"于2013年12月31日入漳州市医院。患者曾就诊于外院,诊断为"毛发红糠疹、红皮病",予阿维A 20 mg/d、复方倍他米松、环孢素、卤米松乳膏等对症治疗10 d,皮肤损伤范围较前扩大、加重,鳞屑较前增多、变厚,并出现发热,最高体温达39.5 ℃。患者既往外院诊断结缔组织病6年余,其间不规则诊治,长期使用复方倍他米松注射液、泼尼龙、羟氯喹、雷公藤等药物治疗1~2年(具体不详),皮疹偶有改善,仍感四肢反复乏力。后于漳州市医院皮肤科就诊,体格检查:头皮弥漫黄色痂屑,颈部、躯干部、双上肢和双大腿皮肤弥漫潮红、肿胀,覆有厚层黏着性鳞屑及棕黄色厚痂,不易脱落,面部、双小腿、双足可见多发红斑、丘疹、丘疱疹,抓痕明显,可见糜烂面,有异臭味(图1)。实验室检查:白细胞计数为18.64×109/L,血红蛋白为125 g/L,血小板计数为44×109/L,嗜酸粒细胞计数为3.12×109/L;抗核抗体为174 IU/mL,抗Sm抗体(+),抗Ro-52抗体(++),余均阴性;总IgE为301 IU/mL;肌酶谱无异常。肌电图示双侧胫神经传导速度减慢。臀部组织病理检查示:表皮角化不全,部分颗粒层消失,棘层增厚,海绵水肿,灶性表皮层内及真皮乳头层较多嗜酸性粒细胞,少量淋巴细胞浸润;真皮浅层小血管周大量淋巴细胞、浆细胞和嗜酸性粒细胞浸润,少数淋巴细胞核增大、不规则,部分可见核仁(图2)。免疫组织化学检查:CD138少数阳性,CD20部分阳性,CD3阳性,CD4(+/-),CD79a部分阳性,CD8阳性,Ki-67阳性。入院后予甲泼尼龙40 mg/d及二代头孢菌素抗感染,治疗3 d后体温降至正常,但皮疹未消退。持续治疗1周后,皮疹仍未消退,光学显微镜下检查发现大量疥螨(图3),故诊断为"挪威疥"。立即予床边隔离并彻底消毒,予10%硫磺软膏、林旦乳膏治疗,1周后皮疹明显消退后出院。住院期间,患者的丈夫出现类似皮疹,与患者同时治疗后皮疹消退。随访过程中,患者皮肤损伤无复发。患者出院后1个月,出现面部蝶形红斑,光敏性,头发脱落增多,结合住院期间实验室检查中血小板计数为44×109/L,抗核抗体阳性,抗Sm抗体阳性,根据美国风湿学会1982年修订的标准,明确诊断"系统性红斑狼疮",故再次就诊福建省漳州市医院做进一步治疗,未再出现上述皮疹。






挪威疥是一种严重的疥疮,临床表现为皮肤干燥、结痂、感染化脓严重,尤其指(趾)端有大量银屑病样鳞屑,指尖肿胀,指甲增厚弯曲变形,手掌角化过度,毛发干枯脱落,头皮及面部有较厚的鳞屑和化脓性结痂,局部淋巴结肿大,且有特殊臭味,患处常可查到较多疥螨[1]。本病常见于免疫功能低下者或收容机构、住院患者;也可见于营养不良、神经系统疾病(如唐氏综合征)和免疫功能抑制的患者;还可见于肾脏或者其他器官移植后出现移植物抗宿主病、成人T淋巴细胞白血病、麻风、艾滋病患者,以及居住环境卫生差的人群中[2,3,4]。本例患者在外院曾诊断结缔组织病6年,长时间使用糖皮质激素如复方倍他米松、泼尼松和免疫调节剂如羟氯喹、雷公藤等,且患者个人卫生状况欠佳,从而导致感染疥疮出现皮疹,曾多次就诊外院,均因误诊而未能治疗,导致出现挪威疥。考虑患者免疫功能低下,且长期应用糖皮质激素、免疫抑制剂,故更易感染挪威疥[5] 。
虽然挪威疥诊断不困难,患者皮疹中有大量的疥螨存在,但常因该疾病少见、皮疹类型多样,医务人员重视不够,极易漏诊或误诊,致使病情加重[6]。本例患者入院后使用糖皮质激素和抗菌药物,体温下降但皮肤损伤无明显改善,后经光学显微镜检查发现大量疥螨,故诊断明确。挪威疥的治疗以外用杀疥螨的制剂为主,常用的有10 %硫磺软膏,1%丙体六六六(γ-666)霜、10%~25%苯甲酸苄酯、扑灭司林、10%克罗米通等[1]。据报道,口服伊维菌素(200 μg/kg)治疗也可取得良好疗效,推荐作为一线治疗方法[7,8]。本例患者予床边隔离,10%硫磺软膏、林旦乳膏涂抹全身,及时更换衣被,用水煮沸消毒,疗效明显。
挪威疥误诊率极高,提示医务人员发现免疫功能低下或免疫抑制患者出现红皮病样改变,附着大量鳞屑、脓痂时,应考虑挪威疥的可能。曾有挪威疥患者因未能及时诊治而引起医务人员及其他住院患者感染疥疮的报道[9],因此,及时准确地诊治挪威疥具有重要意义。
所有作者均声明不存在利益冲突





















