
嗜沫凝聚杆菌是口咽部的正常菌群,该菌感染在临床中较为少见,且营养需求较高,细菌培养及鉴定比较困难,很容易漏检。本例患者胸闷、发热1周,左侧脓胸,血培养、胸腔积液标本培养均为嗜沫凝聚杆菌。在抗感染治疗及胸腔闭式引流2周后,症状较前改善,但仍反复发热,行胸腔镜下胸膜粘连松解术,术后继续抗感染治疗,病情好转出院。
版权归中华医学会所有。
未经授权,不得转载、摘编本刊文章,不得使用本刊的版式设计。
除非特别声明,本刊刊出的所有文章不代表中华医学会和本刊编委会的观点。
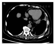
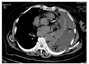
患者女,63岁,因"胸闷、发热1周"于威海市中心医院就诊,体温最高达38.5 ℃,血常规检查白细胞计数和中性粒细胞比例升高,考虑细菌感染,给予头孢克肟0.1 g(2次/d)口服抗感染治疗,服药1周后仍然高热不退,复查白细胞计数、中性粒细胞比例和CRP水平均升高,为查明病因于2019年1月10日收住入院,患者既往有多年的糖尿病和高血压病史。入院体格检查:体温为38.2 ℃,心率为130次/min,呼吸为20次/min,血压为151/79 mmHg(1 mmHg=0.133 kPa);神志清,全身浅表淋巴结未触及肿大;心律齐,各瓣膜听诊区未闻及杂音;双肺呼吸音粗,可闻及干啰音;腹软,无压痛、反跳痛,肝脾未触及,肠鸣音正常,双下肢无水肿。实验室检查:白细胞计数为28.19×109/L,中性粒细胞比例为0.96,血红蛋白为108 g/L,血小板计数为152×109/L,超敏CRP为213.7 mg/L,降钙素原为6.36 μg/L;pH值为7.45,氧分压为52.2 mmHg,二氧化碳分压为35 mmHg;AST为32 U/L,ALT为32 U/L,葡萄糖为16.9 mmol/L,总钙为2.05 mmol/L,钾为4.2 mmol/L,钠为111 mmol/L,氯为89.7 mmol/L;PT为13.9 s,纤维蛋白原为4.06 g/L,D-二聚体为4.55 mg/L。胸部CT检查示:左侧胸腔积液合并左肺膨胀不全,内见多发气体影(图1)。胸部多普勒超声检查示左侧有大量胸腔积液。为明确胸腔积液性质,并使肺复张,行胸腔闭式引流,引流液为脓性。胸腔积液常规检查示:黄色浑浊,比重为1.029,李凡他试验呈阳性,白细胞计数为93.2×109/L,中性粒细胞比例为0.92,单核细胞比例为0.08,考虑为炎性渗液。胸腔积液生物化学检查示:葡萄糖水平降低,为0.11 mmol/L,提示严重细菌感染。血培养、胸腔积液培养均显示嗜沫凝聚杆菌,为细小革兰阴性杆菌(图2)。分别接种于血平板和巧克力平板,在体积分数为0.05的二氧化碳(CO2)条件下培养72 h后有菌落生长,呈灰白色、形态细小,不溶血;在中国兰平板上无细菌生长,推测该菌为苛养菌。经德国布鲁克质谱仪鉴定及16S rRNA测序,结果均为嗜沫凝聚杆菌,且对头孢曲松、左氧氟沙星、阿米卡星、美罗培南等抗菌药物敏感。患者入院后给予哌拉西林他唑巴坦4.5 g,每8 h 1次抗感染治疗3 d,明确病原后,调整为头孢曲松(2.0 g,1次/d)联合左氧氟沙星(0.6 g,1次/d)静脉滴注,并继续行胸腔闭式引流。治疗2周后,患者双侧肺部干啰音减轻,胸闷、憋气症状较前有所改善。实验室检查示白细胞计数、CRP和降钙素原水平有所下降,抗感染治疗有效。但患者仍反复发热,胸腔脓液引流不佳,出现血流感染,经家属同意后行胸腔镜下胸膜粘连松解术,同时完善腹部超声检查,以排除其他脏器脓肿可能。应用美罗培南1.0 g(每8 h 1次)联合依替米星0.3 g(1次/d)继续抗感染治疗。胸腔镜术中诊断为左侧脓胸,患者术后无发热,胸闷、憋气症状明显改善,继续抗感染治疗2周后复查胸部CT示肺部炎症及脓液吸收较前好转(图3)。患者无发热、胸闷、憋气,双肺仅闻及少量啰音,暂停美罗培南,给予口服环丙沙星(0.5 g,2次/d)巩固治疗2周,并做好出院指导。




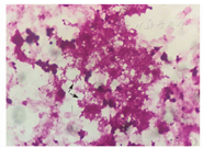
注:黑色箭头所指为嗜沫凝聚杆菌的形态


嗜沫凝聚杆菌为凝聚杆菌属,是营养要求较高的革兰阴性杆菌,通常情况下不易引起感染,只有在罕见情况下才会导致侵入性菌血症,引起亚急性心内膜炎、脑脓肿、骨髓炎和泌尿生殖道感染等[1]。2014年以来,嗜沫凝聚杆菌引起心脏感染病例报道5例,脑脓肿4例,感染性关节炎2例,肝脓肿1例[2,3,4,5,6,7]。嗜沫凝聚杆菌较少入血引起肺部化脓性感染[8],本例患者为嗜沫凝聚杆菌感染合并脓胸,既往相关报道较少。
嗜沫凝聚杆菌为牙齿正常菌群,患者近期有牙科手术史或者被狗等小动物啮咬是侵入性感染的高危因素[9]。本例患者既往无牙科手术及动物咬伤接触史。患者反复发热,全身感染症状较重,予抗感染治疗,并行胸腔闭式引流,治疗2周后胸腔仍有脓液,且持续发热,遂行胸腔镜胸膜粘连松解术,术后症状明显好转,体温逐渐下降,继续抗感染巩固治疗,患者痊愈。急性脓胸早期治疗的首选方案是应用抗菌药物和胸腔闭式引流,当病情控制不佳时,可选择外科治疗如胸腔镜下胸膜粘连松解术,能减少脓胸的复发[10,11]。静脉注射三代头孢菌素和使用氟喹诺酮类药物3周可治疗嗜沫凝聚杆菌引起的感染[12]。
嗜沫凝聚杆菌是非常罕见的致病菌,此菌属于营养需求较高的苛养菌,在巧克力平板、体积分数为0.05的CO2环境中生长良好,在血平板中生长很缓慢,在中国兰琼脂平板中不生长,在细菌培养中很难分离鉴定到,故极易漏检。这一发现证实了微生物的致病性是无法确定的,从自然无菌的临床标本中分离出的每一种微生物都可能是致病因子,都值得进一步研究,为临床感染的治疗提供更可靠的依据。凝聚杆菌新菌株的发现不能依赖于生物表型和基质辅助激光解吸电离飞行时间质谱(matrix-assisted laser desorption ionization time-of-flight mass spectrometry, MALDI-TOF MS)鉴定,这是由于它们的种间差异很小,只有采用16S rRNA基因测序才能准确分类[13]。本病例采用VITEK-2上机鉴定为惰性凝聚杆菌,但是MALDI-TOF MS和16S rRNA基因测序分析均为嗜沫凝聚杆菌,证明目前对此类菌种鉴定最精准的方法还是基因测序[13]。
总结本例患者的诊疗经验,嗜沫凝聚杆菌感染入血引起脓胸较为少见,症状轻者在胸腔闭式引流联合抗菌药物治疗后疗效良好,抗菌药物疗程至少3周,联合用药效果更好;病情控制不佳的重症患者可在此基础上进行手术治疗,预后较好,抗菌药物联合用药也可以相应地延长使用时间,至少使用3周。
所有作者均声明不存在利益冲突





















