
慢性活动性EB病毒感染相关性肠炎(chronic active Epstein-Barr virus associated enteritis,CAEAE)在临床罕见。本研究3例CAEAE患者均以发热、腹泻为主要表现,肠镜检查发现多发溃疡,肠黏膜组织病理EB病毒编码的小RNA原位杂交染色呈阳性,予糖皮质激素治疗,2例症状缓解,1例死亡。CAEAE患者病程中可出现消化道出血,易被误诊为炎症性肠病,且有向癌前病变或肿瘤转变的可能,多数患者预后较差,需引起临床医师重视。
版权归中华医学会所有。
未经授权,不得转载、摘编本刊文章,不得使用本刊的版式设计。
除非特别声明,本刊刊出的所有文章不代表中华医学会和本刊编委会的观点。
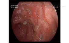
例1 患者男,50岁,农民,因"反复发热伴腹痛2个月余"于2019年3月29日收入上海复旦大学附属华山医院感染科。患者2个多月前出现腹痛,腹泻5~10次/d,伴间断发热,每次发热持续时间为1 d,而后体温可降至正常,间隔3~7 d再次发热,体温最高达39 ℃。患者自发病以来,体质量下降10 kg。入院后实验室检查:白细胞计数为13.4×109/L,中性粒细胞比例为0.8,血红蛋白为120.0 g/L,血小板计数为289.0×109/L;ESR为31 mm/1 h,CRP为90.2 mg/L,降钙素原为0.46 μg/L,铁蛋白>2 000 μg/L;T-SPOT.TB阴性;抗核抗体、抗核抗体谱和抗中性粒细胞胞质抗体结果均为阴性;全血EB病毒DNA为1.29×106 IU/mL,血浆EB病毒DNA为阴性。小肠增强CT检查未见明显异常。肠镜检查示:结肠多发溃疡(性质待定)伴炎症(图1)。肠黏膜组织二代测序结果提示:人类疱疹病毒4型(EB病毒)检出序列数为2 809。肠黏膜组织病理检查示:回盲部黏膜中度急慢性炎症伴淋巴细胞增生,以T淋巴细胞增生为主,溃疡形成,EB病毒编码的小RNA(Epstein-Barr virus-encoded small RNA,EBER)散在(+)。胶囊内镜检查示:回肠阿弗他溃疡,末段回肠黏膜粗糙伴充血,并可见散在血痂。患者肠镜检查不符合炎症性肠病(inflammatory bowel disease,IBD)表现,未发现确切淋巴瘤依据,考虑为慢性活动性EB病毒感染相关性肠炎(chronic active Epstein-Barr virus associated enteritis,CAEAE),予甲泼尼龙40 mg/次(1次/d)静脉滴注,患者未再出现发热,腹痛、腹泻较前均有所好转,改口服糖皮质激素,予以出院。出院后2周患者出现便中带血,量不多,腹痛加重,就诊于当地医院,予止血治疗后好转出院。6月1日患者出现消化道大出血在当地医院救治无效后死亡。


例2 患者男,51岁,工人,因"发热伴腹痛、腹泻1个月"于2019年4月16日收入复旦大学附属华山医院感染科。患者1个月前出现发热,每天发热1次,为弛张热,体温最高达39.6 ℃,可自行降至正常,伴腹痛、腹泻2~3次/d。患者发病以来体质量下降7.5 kg。患者于2000年确诊为双鼻腔恶性淋巴瘤(T细胞型),进行过6次化学治疗,定期随访,现病情已完全缓解。入院后实验室检查:血常规正常;降钙素原为0.07 μg/L;T-SPOT.TB为阴性;全血EB病毒DNA为4.63×104 IU/mL,血浆EB病毒DNA呈阴性。4月18日肠镜检查示:升结肠、横结肠见散在、多发、圆形浅溃疡,表面有脓苔,周围稍隆起,直径为5~10 mm,其间有正常黏膜,所见降结肠、乙状结肠和直肠黏膜光滑,未见溃疡及新生物(图2A)。肠镜检查诊断为升结肠、横结肠多发溃疡(感染性可能性大)。肠黏膜组织病理检查示:结肠黏膜全层轻-中度慢性炎症,黏膜内散在EB病毒阳性的淋巴细胞(主要为T淋巴细胞,以CD4+T淋巴细胞为主),上皮内见散在CD8+T淋巴细胞(嗜上皮病变),未见自然杀伤细胞/T细胞淋巴瘤成分,考虑为隐匿性EB病毒感染相关炎症(图3)。给予头孢曲松2.0 g(1次/d)静脉滴注,甲硝唑0.2 g(2次/d)口服抗感染治疗,患者发热无好转,结合病史诊断为CAEAE,患者为间断发热,未应用糖皮质激素治疗,随访4个月患者仍有间断发热及腹泻。2019年8月22日因"高热、腹痛、腹泻1周,便血2次"再次入院,复查全血EB病毒DNA为4.37×103 IU/mL,血浆EB病毒DNA为阴性。8月23日肠镜检查示:盲肠、回盲瓣、升结肠、横结肠、降结肠、乙状结肠和直肠黏膜充血水肿,可见多发深溃疡,呈散在分布,部分溃疡表面覆有白苔,大小不等,较大,为20 cm×18 cm,周围黏膜呈结节样隆起,充血水肿明显,以右半结肠较为显著(图2B)。肠黏膜组织病理检查示:(横结肠)黏膜慢性炎症,大量EB病毒阳性淋巴细胞浸润黏膜间质内(>30个/高倍视野),以CD4+T淋巴细胞为主,EBER(+)。免疫组织化学检查结果:CD20(-),CD4(+),CD8(-),CD56(-)。8月23日加用甲泼尼龙40 mg/次(1次/d)静脉滴注,患者未再发热,仍有腹泻和间断腹痛,但症状较前好转,无便血,继续密切随访中。




例3 患者男,24岁,工人,因"发热3年余,皮疹1年半,便血2周"于2018年4月9日收入复旦大学附属华山医院感染科。患者3年余前间断出现发热,每个月发热1~2次,体温最高达39 ℃。2周前出现便血收治。入院后查血浆EB病毒DNA为4.34×106 IU/mL。腹部CT检查示:脾大,腹膜后及盆腔多发小淋巴结影。小肠镜检查示:整个空肠黏膜弥漫性充血水肿,并有大量黄白色分泌物,黏膜表面可见散在浅小溃疡,溃疡大小为2~5 mm,溃疡表面可见白苔,空肠溃疡,空肠淋巴管扩张。病理检查示:(空肠距幽门300 cm处)黏膜中度慢性炎症,伴淋巴管扩张;(空肠距幽门80 cm处)黏膜中度慢性炎症,伴淋巴管扩张。EBER染色显示部分淋巴细胞阳性,提示存在EB病毒感染。分子病理结果示:EBER部分阳性。考虑诊断CAEAE,给予甲泼尼龙40 mg/次(1次/d)静脉滴注治疗后未再出现便血。9月随访复查血浆EB病毒DNA为1.13×105 IU/mL,后失访。
EB病毒属人类疱疹病毒4型,我国成人EB病毒IgG阳性率为91.7% [1]。EB病毒感染引起的腹泻较为少见,有研究报道EB病毒可抑制小肠上皮细胞的增殖,从而加速小肠上皮细胞的凋亡和脱落,导致腹泻症状加重[2]。EB病毒感染还可导致胃肠道出血及溃疡发生[3]。慢性活动性EB病毒感染(chronic active Epstein-Barr virus infection,CAEBV)是一种罕见的疾病,其诊断标准为:① EB病毒感染相关症状至少3个月;②受累的组织或外周血中EB病毒载量增加;③缺乏可以解释病情的其他疾病的证据[4]。CAEBV可分为T淋巴细胞型、自然杀伤细胞型和B淋巴细胞型,其中T淋巴细胞型预后差,可并发噬血细胞综合征、恶性淋巴瘤、弥散性血管内凝血和肝衰竭等危及生命的并发症[5]。近年来,诊断CAEBV不再强调病程大于3个月,而更重视组织受累情况,涉及肠道病变的CAEBV较为少见。2019年《肠道EB病毒感染组织检测和病理诊断共识》推荐肠道EB病毒感染检测统一采用EBER原位杂交,建议暂定EBER高表达的标准为每高倍视野EBER阳性细胞数≥10,需考虑EB病毒性肠炎[6]。诊断CAEAE还需同时存在消化系统症状,并且有明确的内镜检查提示存在消化道病变,并经组织病理学确认受累组织中EBER原位杂交阳性[7]。CAEAE还可能发展为癌前病变,曾有EB病毒导致肠道T细胞淋巴瘤的报道[8,9]。其主要临床表现为高热、腹痛、便血和腹泻,病程中常出现急性消化道大出血[7,10]。因胃肠道症状为CAEAE的主要临床表现,也有学者提出采用"伴有全身症状的慢性活动性EB病毒感染肠炎"这一描述[10]。
2018年一项多中心研究分析了11例CAEAE患者和100例IBD患者的临床病例特征,发现CAEAE患者出现间断发热、肝大、脾大、淋巴结受累等全身表现较IBD患者更常见,血清EB病毒DNA阳性率(100%)和血清EB病毒DNA载量(1.9×106拷贝/ mL)均高于IBD患者的阳性率(23%)和病毒载量(9.8×103拷贝/ mL),差异有统计学意义(P<0.01)[10]。且11例患者肠黏膜中均检出EBER阳性淋巴细胞,主要是T淋巴细胞,3例患者在发病后5年内死亡[10]。行全结肠切除手术组患者生存率(40%)低于非手术组(100%),出现肠道出血、穿孔等并发症者预后差,建议CAEAE患者应避免进行全结肠切除术[10]。CAEAE患者的内镜表现与IBD不同,为主要累及结肠和小肠的多发、表浅、小而不规则的溃疡,无鹅卵石样和纵行溃疡表现[11]。在溃疡性结肠炎患者中,内镜检查通常表现为自直肠向近端延伸的均匀、连续的炎症,但仅限于结肠;而克罗恩病可涉及整个胃肠道,病变黏膜与正常黏膜交替分布(呈跳跃征),特征性表现为小而深的纵行溃疡、多边形溃疡和鹅卵石样改变,常见于回肠末端[11]。
本研究中3例患者均以发热、腹泻为主要表现,肠镜检查结果均表现为肠道多发溃疡,肠黏膜组织病理检查均提示EBER阳性,并且无淋巴瘤及其他疾病依据。虽然例1和例2患者初次就诊入院时病程不足3个月,但是经过随访目前病程已超过3个月,故CAEAE诊断成立,2例患者出现消化道出血,1例死亡。由于CAEAE罕见,所以在临床工作中遇到反复发热伴腹痛、腹泻、肠道多发溃疡的患者很难考虑到鉴别CAEAE,而发热待查患者应常规筛查EB病毒DNA,如果EB病毒DNA阳性,且患者有腹痛、腹泻症状,应注意CAEAE可能,建议进一步行肠镜检查,病理加做EBER原位杂交染色协助明确诊断[12]。CAEAE易被误诊为IBD,且有向癌前病变或肿瘤进展的可能,多数患者预后较差,需引起临床医师重视。
所有作者均声明不存在利益冲突





















