
EB病毒感染所致的重症脑炎和脑疝在临床上较为罕见。现报道1例EB病毒感染的患儿,临床表现为呼吸系统起病,随着病情进展出现神经系统症状,逐渐出现昏迷、脑疝,最终死亡,而无淋巴结肿大、皮疹、肝脾大等EB病毒感染后的典型症状。在临床工作中,对于有发热、精神差、意识障碍等症状并怀疑为病毒性脑炎的患儿,要警惕EB病毒性脑炎,检测脑脊液中EB病毒核酸对明确病原体意义重大。
版权归中华医学会所有。
未经授权,不得转载、摘编本刊文章,不得使用本刊的版式设计。
除非特别声明,本刊刊出的所有文章不代表中华医学会和本刊编委会的观点。
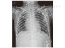
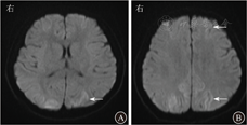
患儿男,6岁1个月,因"咳嗽、喘息3 d,加重伴嗜睡半天"于2019年9月29日入郑州大学附属儿童医院。患病以来,患儿精神差,食欲差,大小便未见明显异常。有反复咳嗽、喘息病史,入院前半个月患儿有肺炎病史,否认肝炎、结核等传染性疾病史及传染病接触史,已接种乙型肝炎疫苗、卡介苗、百白破混合疫苗、脊髓灰质炎灭活疫苗、麻疹减毒活疫苗等;患儿为第2胎第2产,足月顺产,姐体健,否认有家族性遗传病史。入院体格检查:体温为38.5 ℃,脉搏为175次/min,呼吸为42次/min,血压为99/63 mmHg(1 mmHg=0.133 kPa);呈浅昏迷,压眶皱眉,全身皮肤、黏膜无苍白、发花等,弹性正常;浅表淋巴结未触及肿大;双侧瞳孔等大,直径约3 mm,对光反射灵敏;在鼻导管吸氧下口周明显发绀,口腔黏膜光滑,咽充血,扁桃体Ⅱ度肿大,未见脓苔;颈软无抵抗,呼吸促,鼻翼煽动、三凹征阳性,双肺可闻及大量喘鸣音及中细湿啰音;心音有力、律齐,未闻及杂音;腹部软,稍膨隆,未扪及包块,肝脾肋下未及。四肢末梢暖,下肢无水肿,毛细血管再充盈时间为2 s,手足、肛周未见疱疹。膝腱反射和腹壁反射均未引出,四肢肌张力低,肌力3级,双侧巴宾斯基征、布鲁津斯基征、克尼格征均阴性。入院后初步诊断:重症肺炎,呼吸衰竭;中毒性脑病?病毒性脑炎?血常规检查:白细胞计数为10.28×109/L,血小板计数为356×109/L,中性粒细胞比例为0.81,淋巴细胞比例为0.12,CRP为1.50 mg/L,ESR为35 mm/1 h,降钙素原为0.09 μg/L。动脉血气分析:二氧化碳分压为36.6 mmHg,氧分压为56.6 mmHg。血生物化学检查:乳酸脱氢酶为119 U/L,肌酸激酶为10.06 μg/L,CK-MB为1 823 μg/L,肌钙蛋白为0.094 μg/L,B型钠尿肽前体为1 029 ng/L,血尿素氮为4.9 mmol/L,血肌酐为10.6 μmol/L。肝功能检查:总胆红素为13 μmol/L,DBil为7 μmol/L,ALT为22.3 U/L,AST为29.6 U/L,总蛋白为59 g/L,白蛋白为38 g/L。钾为3.7 mmol/L,钠为134 mmol/L,离子钙为1.20 mmol/L,氯为99 mmol/L,血糖为6.9 mmol/L,乳酸为1.2 mmol/L。血培养阴性,细菌毒素动态定量检测<5 ng/L,血清EB病毒早期抗原IgG和EB病毒衣壳抗原IgM均阳性,EB病毒衣壳抗原IgG和核抗原IgG均阴性,EB病毒DNA为3.28×105拷贝/mL。脑脊液压力为1.4 kPa,脑脊液常规检查:无色、清晰、透明,潘氏试验阴性,白细胞计数为0.095×109/L。脑脊液生物化学检查:氯为125.0 mmol/L,葡萄糖为3.0 mmol/L,蛋白质为277.9 mg/L,脑脊液腺苷脱氨酶为0.6 U/L。脑脊液EB病毒核酸DNA为5.61×106拷贝/mL。血液中S100蛋白为7.05 μg/L,神经元特异性烯醇化酶为75.25 μg/L。床边胸部X线片(图1)提示肺炎。床边脑电图检查:背景节律广泛漫波化异常,频发弥漫性慢波。入院第2天头颅MRI检查(图2)显示:双侧额颞顶枕叶皮质有线状弥散加权成像(diffusion weighted imaging,DWI)高信号,提示细胞毒性水肿。入院后立即给予心电监护,经皮氧饱和度检查,有创血压持续监测,气管插管、呼吸机辅助通气,美罗培南抗感染,甘露醇、甘油果糖、呋塞米等降颅压,静脉注射人免疫球蛋白、阿昔洛韦抗病毒治疗。患儿病情无好转,意识障碍加重,浅昏迷逐渐进展为深昏迷。入院后第7天复查头颅MRI(图3),双侧大脑半球、小脑、脑干弥漫性肿胀,呈广泛DWI高信号,脑沟变浅、鞍上池、环池、桥前池闭塞,脑干受压,小脑扁桃体下缘变尖,向下疝入上段椎管内,脑室系统明显变窄,提示弥漫性脑水肿、小脑扁桃体疝,颞叶沟回疝。入院第14天复查头颅MRI(图4)显示:弥漫性脑水肿,肿胀较前略减轻;小脑扁桃体疝,颞叶沟回疝;小脑半球内侧面脑沟略深,并皮质液体衰减反转恢复(fluid attenuated inversion recovery,FLAIR)稍高信号,考虑趋于脱髓鞘改变可能性大;双侧大脑半球硬膜下出血,蛛网膜下腔出血。患儿病情危重,治疗效果差,深昏迷无好转迹象,20 d后死亡。死亡诊断:EB病毒性脑炎、脑疝,重症肺炎,呼吸衰竭。








EB病毒是双链DNA病毒,属于疱疹病毒γ亚科,是疱疹病毒大家族中的一员[1]。EB病毒在世界范围内广泛分布,人类对EB病毒普遍易感,并且是EB病毒的唯一宿主[2]。EB病毒的主要传播途径是接触患者的口腔唾液[3],也可通过器官移植或输血等途径传播。研究显示,约90%的成年人感染EB病毒后为无临床症状的隐性感染,具有自限性[4,5]。EB病毒是儿童时期病毒感染性疾病的常见病原体,1岁以下婴幼儿很少感染EB病毒,但是1~5岁的儿童有50%的感染率或曾经感染过EB病毒,3~5岁儿童是EB病毒感染的高发年龄[6,7]。
EB病毒感染多表现为轻症或隐性感染,少数表现为重症。EB病毒在体内侵犯B淋巴细胞,使其抗原性发生改变,诱导T淋巴细胞发生防御反应,产生细胞毒性,导致细胞溶解、死亡,引起一系列病理生理变化,出现相应的临床表现[8]。EB病毒感染后可累及身体所有组织和器官,其临床表现多为发热、疲劳、颈部淋巴结增生肿大、咽喉肿痛、急性扁桃体炎、脾大、肝大等[9]。EB病毒感染与许多疾病相关,最常见的是肿瘤相关性疾病,如霍奇金淋巴瘤、伯基特淋巴瘤、胃癌、鼻咽癌等,严重威胁患儿的健康[10],非肿瘤性疾病中最常见的为传染性单核细胞增多症、噬血细胞综合征、慢性EB病毒感染等。
EB病毒感染后累及神经系统相对少见,为0.4%~7.5%[11]。其发病机制尚不明确,病毒直接侵袭、感染后免疫诱导产生中枢神经系统症状、病毒潜伏后免疫功能受抑制时再激活[12],这是目前公认的3种发病机制。EB病毒感染的临床类型多样,包括病毒性脑炎、脑膜脑炎、脑脊髓炎、神经根炎、脑膜脑炎、横断性脊髓炎等,其中脑膜脑炎最多见[13]。EB病毒性脑炎的临床表现与其他病毒性脑炎相比无特异性,主要为发热、头痛、抽搐、呕吐、嗜睡等,部分患儿出现昏迷,抽搐持续发作不能缓解,少数病毒累及脑干、延髓、脊髓的患儿表现为中枢性呼吸衰竭[14]。EB病毒性脑炎患儿的脑脊液常规和生物化学、脑电图检查等结果与病毒性脑炎一致,无特异性[15]。头颅MRI检查是EB病毒性脑炎的常规检查,阳性率可达26%[7]。部分EB病毒性脑炎患儿的预后良好,可完全恢复。如果颅脑受累部位为局灶性灰白质,患儿预后较好;病变累及丘脑和基底节时,约50%的患儿可能会遗留肢体运动障碍、癫痫发作等后遗症[16];病变累及患儿脑干时病死率较高,根据头颅影像学检查异常的解剖位置可判断预后[17]。EB病毒性脑炎确诊的金标准是患儿脑脊液或脑活组织检查时检测到EB病毒核酸,特异性的EB病毒抗体检查是确诊EB病毒性脑炎最有力的证据[18]。EB病毒性脑炎的治疗:对于高热者,给予降温治疗;当惊厥发作时,给予地西泮等控制惊厥发作治疗;适当限制液体量,高颅压者给予20%甘露醇进行脱水降颅压等支持对症治疗。特异性抗病毒治疗如给予阿昔洛韦[30 mg/(kg·d),分3次,静脉滴注]可提高患儿生存率,减少后遗症发生;酌情选用静脉注射人免疫球蛋白治疗等[3,18]。
对于本例患儿,临床表现结合实验室检查、头颅MRI检查等,确诊为重症EB病毒性脑炎、脑疝,患儿病情危重,进展迅速,最终死亡。其临床表现为呼吸系统起病,随着病情进展出现神经系统症状,无EB病毒感染后的淋巴结肿大、皮疹、肝脾大等典型的其他症状,与郭欣等[19]的报道一致。在临床工作中对有发热、精神差、抽搐、意识障碍等症状并怀疑病毒性脑炎的患儿,要警惕EB病毒性脑炎。对于可疑EB病毒性脑炎患儿,除了脑脊液常规、生物化学、头颅MRI、脑电图、血清学、血培养等检查外,在脑脊液中检测到EB病毒核酸对病原学诊断意义重大。
所有作者均声明不存在利益冲突





















