
特发性CD4+T淋巴细胞减少症是一种临床罕见疾病,临床表现与艾滋病患者类似,但患者并未被人类免疫缺陷病毒感染。本例患者多次淋巴细胞亚群检测结果显示CD4+T淋巴细胞减少,并检测出巨细胞病毒、疱疹病毒、琼氏不动杆菌,以及肺部真菌感染等,临床表现为发热、伴皮肤斑丘疹、疱疹、周围淋巴结肿大、脾肿大、关节疼痛,排除基础免疫功能缺陷和人类免疫缺陷病毒感染,因此诊断为特发性CD4+T淋巴细胞减少合并α-疱疹病毒3型和肺部真菌感染。开始采取经验性治疗,效果不佳,进行抗真菌和抗病毒治疗后,患者基本恢复正常。
版权归中华医学会所有。
未经授权,不得转载、摘编本刊文章,不得使用本刊的版式设计。
除非特别声明,本刊刊出的所有文章不代表中华医学会和本刊编委会的观点。
患者男,24岁,因"反复发热7个月,全身皮疹7 d"于2019年9月2日收入云南省第二人民医院。患者于2019年2月底无明显诱因出现持续高热,体温最高为40.0 ℃,伴乏力、头晕、头痛、纳差、咽痛、咳嗽、咳脓痰,全身关节疼痛,至当地县人民医院就诊,胸部CT检查诊断为肺纤维化,予以抗感染及对症处理(具体不详),症状无好转。4月初患者入昆明市某三甲医院,实验室检查:白细胞计数为15.8×109/L,血清铁蛋白及可溶性CD25水平升高,4月10日报告CD3+T淋巴细胞比例为0.614,CD4+T淋巴细胞比例为0.140,CD8+T淋巴细胞比例为0.336,CD4+T淋巴细胞计数为112/μL, CD8+T淋巴细胞计数为268/μL,CD4+/CD8+比值为0.41;4月27日报告,CD3+T淋巴细胞比例为0.468,CD4+T淋巴细胞比例为0.119,CD8+T淋巴细胞比例为0.402,CD4+T淋巴细胞计数为87/μL, CD8+T淋巴细胞计数为293/μL,CD4+/CD8+比值为0.30。出院后继续口服甲泼尼龙(60 mg/d)和羟氯喹(200 mg/d)1个月,但持续低热。2019年8月22日,体温为40.2 ℃,夜升昼降,无明显诱因面部出现红色斑丘疹及疱疹,伴全身肌肉酸痛,自行停用糖皮质激素和免疫抑制剂,曾至某州医院行抗结核四联药物治疗11 d及抗感染治疗,无明显好转。9月2日入云南省第二人民医院。患者否认既往慢性基础疾病、肿瘤、免疫功能缺陷病史。
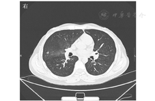
入院后体格检查:体温为39.8 ℃,呼吸为19次/min,脉搏为98次/min,血压为128/86 mmHg(1 mmHg=0.133 kPa)。一般情况尚可,眼眶、颞部明显凹陷,咽部充血,全身散在大面积红色斑丘疹及疱疹,部分破溃流脓,躯干、头面部明显,大部分已结痂,颈部及左腹股沟处可分别触及一枚0.5 cm×0.5 cm大小的淋巴结,可推动,无触痛,心、肺、腹部无特殊,双下肢无水肿,病理反射阴性。超声心动图检查示:心包少量积液。淋巴结超声检查示:双侧颈部、腹股沟区、腋窝淋巴结声像。胸部CT检查示:双肺弥漫粟粒结节及微小结节;右肺上叶后段、右肺中叶多发磨玻璃影。实验室检查:白细胞计数为2.72×109/L,中性粒细胞计数为1.92×109/L,淋巴细胞计数为0.52×109/L,白蛋白为27.2 g/L,ALT为79 U/L,AST为66 U/L,谷氨酰转肽酶为169 U/L;CRP为80.0 mg/L,降钙素原为1.07 μg/L;ESR为46 mm/1 h;HIV抗体及肿瘤标志物均为阴性;甲状腺功能及抗体正常;免疫球蛋白正常。血二氧化碳分压为34.3 mmHg,血氧饱和度为67.0%,提示低氧血症。多部位骨髓活组织检查提示:感染性骨髓象;淋巴结活组织检查结果未见异常。1,3-β-D-葡聚糖试验阴性,呼吸道合胞病毒IgM阳性;结核分枝杆菌检测阴性;肥达外斐试验阴性。CMV DNA阳性。入院第2天,患者手臂、腰部出现新发融合性充血性皮疹,血培养检出琼氏不动杆菌,宏基因组学第二代测序提示以α-疱疹病毒3型为主,予以莫西沙星0.4 g静脉滴注(1次/d),喷昔洛韦软膏外用,更昔洛韦0.5 g口服(3次/d),人血白蛋白支持治疗。入院后第2周至第3周,患者未再出现发热,全身酸痛缓解,全身疱疹及斑丘疹明显消退。9月23日夜间,患者体温突然骤升至39.5 ℃。复查胸部CT示:双肺多发弥漫粟粒结节及微小结节,左肺上叶前段、右肺上叶尖段、右肺下叶前基底段近右心房处新增多个结节状密度增高影,伴周围模糊影,左肺上叶尖后段小结节灶体积较前增大,考虑炎性改变,见图1。复查血培养阴性,痰培养阴性,连续2次复查1,3-β-D-葡聚糖试验结果分别为135.50 ng/L和165.5 ng/L。纤维支气管镜检查示:真菌及抗酸杆菌涂片阴性,肺泡灌洗液培养出奈瑟干燥球菌和草绿色链球菌生长。结合患者有4周糖皮质激素使用史、CD4+T淋巴细胞减少、1,3-β-D-葡聚糖试验阳性、临床表现和影像学检查,考虑合并肺部真菌感染。请临床药学部会诊后,给予伏立康唑,左氧氟沙星0.5 g静脉滴注(1次/d),治疗后患者体温逐渐恢复正常。10月2日复查胸部CT:双肺炎性病变较前吸收;心包少量积液已明显吸收。CD3+T淋巴细胞比例为0.444,CD4+T淋巴细胞比例为0.122,CD8+T淋巴细胞比例为0.426,CD4+T淋巴细胞计数为83/μL, CD8+T淋巴细胞计数为290/μL,CD4+/CD8+比值为0.28。2019年10月3日患者症状缓解出院,继续伏立康唑200 mg口服(2次/d),治疗8周。2019年11月10日和12月8日电话随访患者未再发热,无其他不适,复查胸部CT病灶已完全吸收,因经济困难拒绝进行淋巴细胞亚群检测。


特发性CD4+T淋巴细胞减少症是一种临床罕见疾病,临床表现与AIDS患者类似,但患者并未被HIV感染[1]。美国CDC将其定义为HIV阴性AIDS,诊断标准为在相隔2周的独立时间节点,2次检测的CD4+T淋巴细胞计数<0.3×109/L或CD4+T淋巴细胞比例<0.200[2]。
目前,特发性CD4+T淋巴细胞减少症的发病原因尚不清楚[3]。临床上,大多数患者是因为发生机会性感染而被发现[4]。该病无特异性治疗手段,主要是针对机会性感染进行对症治疗。随着抗生素的滥用和免疫抑制剂的广泛使用,真菌感染的概率大幅上升。肺部是深部真菌感染最常见的靶器官,其临床表现缺乏特异性,影像学表现复杂多样,不易与普通炎症和肿瘤等疾病鉴别。临床医师应根据中华医学会呼吸病学分会发布的《肺真菌病诊断和治疗专家共识》[5],提高对肺真菌病的警觉和认知,对高危患者进行真菌检测和胸部CT检查,并定期随访[6]。
本例患者多次淋巴细胞亚群检测结果显示CD4+T淋巴细胞减少,并检测出CMV、疱疹病毒、琼氏不动杆菌,以及肺部真菌感染等,临床表现为发热,伴皮肤斑丘疹、疱疹、周围淋巴结肿大、脾肿大、关节疼痛,排除基础免疫功能缺陷和HIV感染,因此诊断为特发性CD4+T淋巴细胞减少合并α-疱疹病毒3型和肺部真菌感染。开始采取经验性治疗,效果不佳,进行抗真菌治疗后,患者基本恢复正常。
本病的诊断难点在于与AIDS、成人斯蒂尔病、病毒性感染相鉴别,临床上易忽略真菌感染。因此,凡是遇到不明原因的长时间发热、淋巴结肿大且伴多器官受累的复杂病原菌感染患者,在排除其他病原体感染性疾病、自身免疫病、血液系统疾病后,应考虑是否有深部真菌感染,同时应考虑是否有免疫功能缺陷。在治疗前判断、评估本病病情非常重要,在抗真菌治疗的同时对基础疾病的诊治(特别是特发性CD4+T淋巴细胞减少症)不能轻视,应加强支持治疗。
所有作者均声明不存在利益冲突

























