
肺吸虫病是一种自然疫源性的人畜共患寄生虫病,患者主要由于生食或半生食含有肺吸虫囊蚴的蟹或蝲蛄等后被感染。其临床表现复杂多样,常不典型,临床上常被误诊为结核病、肿瘤、嗜酸性粒细胞增多症、结缔组织病等。现报道1例非肺吸虫病高发区的以胸腔积液、肺部"隧道征"和嗜酸性粒细胞增多为主要临床表现的肺吸虫病病例,以提高非高发区临床医师对肺吸虫病的认识,从而减少误诊。
版权归中华医学会所有。
未经授权,不得转载、摘编本刊文章,不得使用本刊的版式设计。
除非特别声明,本刊刊出的所有文章不代表中华医学会和本刊编委会的观点。
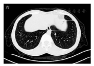
患者男,30岁。因"反复胸闷5个月余"于2020年4月3日收入徐州医科大学附属宿迁医院呼吸科。患者5个多月前无明显诱因出现咳嗽、咳痰,咳少许白黏痰,伴胸闷不适、呼吸不畅,无胸痛、咯血,无发热、盗汗,无心慌、心悸。外院胸部CT检查示:左肺散在条索影,考虑炎症,左侧胸腔积液。胸腔多普勒超声检查示:左侧胸腔见深约70 mm的液性暗区。拟诊断为"左侧结核性胸腔积液",2019年11月17日首次入住徐州医科大学附属宿迁医院呼吸科,血常规检查示白细胞计数为11.32×109/L,中性粒细胞比例为0.245,淋巴细胞比例为0.175,嗜酸性粒细胞比例为0.532,嗜酸性粒细胞计数为6.02×109/L;粪便常规检查未见虫卵和夏科-莱登结晶;生物化学检查未见异常。胸腔积液检查示淡黄、混浊,白细胞计数为7 173×106/L,葡萄糖为0.39 mmol/L,腺苷脱氨酶为96.2 U/L;痰涂片未发现抗酸染色阳性杆菌;支气管镜检查示支气管内未见异常,左下叶背段刷检未见肿瘤细胞,未见抗酸染色阳性杆菌。予利福平(0.45 g/d)、异烟肼(0.3 g/d)、乙胺丁醇(0.75 g/d)、吡嗪酰胺(1.5 g/d)进行诊断性抗结核治疗。多普勒超声检查示胸腔积液吸收。复查胸部CT示左下肺索条影,考虑炎性病变,左侧斜裂胸膜增厚。1个月后门诊复查多普勒超声示左侧胸腔积液较前吸收。2020年2月初患者再次出现胸闷,多普勒超声检查示右侧胸腔积液,外院考虑为"炎性胸腔积液",停止抗结核治疗,加强抗感染治疗,2月27日多普勒超声和胸部CT检查示右侧胸腔积液量较前增多。4月3日再次因"胸腔积液"入住徐州医科大学附属宿迁医院呼吸科。病程中患者偶有发热,体温最高达37.6 ℃,无胸痛、腹痛、头痛、抽搐。既往有阑尾炎手术史5年。入院后体格检查:体温为36.8 ℃,心率为99次/min,呼吸为18次/min,血压为143/93 mmHg(1 mmHg=0.133 kPa)。患者发育正常,营养稍差,神志清楚,精神一般,无气喘貌,步入病房。右季肋部胸壁可触及2枚皮下结节,最大直径约为1 cm。两肺呼吸音低,未闻及干湿啰音。4月4日尿常规检查示潜血(±),红细胞数为15个/μL。粪便常规未检出虫卵和夏科-莱登结晶。生物化学检查示:球蛋白为35.6 g/L,尿酸为917.5 μmol/L,血糖、血脂、电解质正常,心肌酶谱正常。凝血功能:纤维蛋白原为1.63 g/L,D-二聚体正常。胸部CT检查示右侧液气胸,右肺少许斑片索条影,见图1。血常规:白细胞计数为7.56×109/L,中性粒细胞比例为0.170,淋巴细胞比例为0.168,嗜酸性粒细胞比例为0.598,中性粒细胞计数为1.29×109/L,淋巴细胞计数为1.27×109/L,嗜酸性粒细胞计数为4.52×109/L,红细胞计数为5.18×1012/L,血红蛋白为149 g/L,血小板计数为154×109/L。肿瘤标志物检查示:AFP、癌胚抗原、糖类抗原19-9、神经元特异性烯醇化酶(neuron specific enolase,NSE)、鳞状细胞癌相关抗原(squamous cell carcinoma antigen,SCCA)、细胞角蛋白19片段(cytokeratin-19-fragment,CYFRA21-1)均在正常范围内。4月5日行胸腔闭式引流术,胸腔积液常规检查示:血性、浑浊,李凡他试验阳性,无凝块,白细胞计数为8 260×106/L,多叶核细胞百分比为65.2%,单叶核细胞百分比为34.8%。生物化学检查示:总蛋白为80.3 g/L,白蛋白为33.2 g/L,葡萄糖为0.27 mmol/L,腺苷脱氨酶为80.5 U/L。结合患者4月3日入院后体格检查见胸部皮下包块,嗜酸性粒细胞增多,CT检查见"隧道征",考虑肺吸虫感染可能,详细追问病史,患者平素喜食蛇胆、螃蟹、小龙虾。进一步采集血标本和痰标本送至南京金域医学检验所有限公司,查血标本显示肺吸虫抗体(+),痰标本未找见肺吸虫虫卵,诊断为肺吸虫病。4月14日转入徐州医科大学附属宿迁医院感染科,进一步查头颅MRI示脑实质未见异常信号灶,脑室系统形态、大小未见异常。胸腔积液常规检查示:黄色、浑浊,李凡他试验阳性,无凝块,白细胞计数为28 549×106/L,多叶核细胞百分比为62.4%,单叶核细胞百分比为37.6%。胸腔积液生物化学检查示:总蛋白为74.1 g/L,白蛋白为32.7 g/L,葡萄糖为0.40 mmol/L,腺苷脱氨酶为101 U/L。予吡喹酮500 mg口服(3次/d), 3 d为1个疗程,治疗3个疗程。驱虫治疗1个疗程后胸腔积液消失,3个疗程后复查血常规:白细胞计数为3.42×109/L,嗜酸性粒细胞比例为0.158,嗜酸性粒细胞计数为0.54×109/L,中性粒细胞计数为1.76×109/L,淋巴细胞计数为0.88×109/L,生物化学检查无异常,胸部CT检查示仅留有双侧胸膜肥厚,右肺少许斑片索条状影。


肺吸虫病又称并殖吸虫病,是由并殖吸虫感染引起的一种人兽共患食源性寄生虫病,世界各地均有报道,常见于亚洲、非洲和美洲[1,2]。我国主要分布于西南地区如四川省、重庆市、云南省等,发病率为1.7%~2.8%[3,4]。肺吸虫属于扁形动物门吸虫纲,种类繁多,全球已知并殖吸虫超过50种,我国报道了28种,其中斯氏狸殖吸虫(也称四川并殖吸虫)和卫氏并殖吸虫是我国最重要的虫种[5]。
肺吸虫病常见传染源为溪蟹及蝲蛄,近年也有报道食用野猪肉、鹿肉等感染肺吸虫的病例[6,7]。本例患者平素喜食生蛇胆、小龙虾和螃蟹等水产品。2019年11月患者首次入院时,临床医师未详细询问其饮食习惯,且宿迁地区自1949年以来未曾有过肺吸虫感染病例的报道,给诊断肺吸虫病造成极大困难。因此,临床医师应仔细、全面地询问相关病史,特别是饮食习惯,避免因遗漏重要的流行病学史而误诊和漏诊。此外,因同一家庭食物来源相同,家庭成员中也可多人发病,故当有家庭成员发病时,其他亲属也应警惕肺吸虫感染的可能[8]。
肺吸虫病主要是由成虫定居、幼虫游走和虫卵造成的机械损伤,以及虫体代谢产物造成的机体免疫反应而致病,可累及肝脏、肺、胸腔、眼、脑、皮下组织等多个组织、器官。卫氏并殖吸虫所致的肺吸虫病可引起以肺部病变为主的全身症状,临床表现主要有咳铁锈色或烂桃样血痰、咯血。斯氏狸殖吸虫所致肺吸虫病主要表现为游走性皮下包块和渗出性胸膜炎[5]。根据疾病进展,肺吸虫病可分为急性期和慢性期。急性期为囊蚴摄入至幼虫移行阶段,可出现发热、腹痛、腹泻等。慢性期为肺吸虫侵入肺部形成囊肿、瘢痕并产生虫卵的时期,该阶段主要表现为咳嗽、咯血[9]。根据不同的受累部位,肺吸虫病可分为胸肺型、腹型、脑脊髓型、皮肤型和混合型[10],感染虫体数量越多时,越容易发生肺外型感染[11,12]。本例患者以咳嗽、咳痰、胸闷为主要表现,CT检查表现为胸腔积液和肺部索条状高密度影,同时右侧胸壁可触及2枚皮下结节,故诊断为胸肺型及皮肤型混合感染。
绝大多数肺吸虫病患者可见白细胞计数及嗜酸性粒细胞计数增高,白细胞计数可高达56.6×109/L,嗜酸性粒细胞比例和计数分别可高达0.72和37.356×109/L[13]。此例患者两次入院时嗜酸性粒细胞计数和比例均明显升高。嗜酸性粒细胞计数和比例增高还可见于过敏性疾病、血液系统疾病和其他寄生虫感染等疾病,应结合流行病学史及其他检查指标综合考虑[14],以避免误诊。嗜酸性粒细胞计数和比例在驱虫治疗后可恢复正常,可作为诊断依据及疗效评价的简易指标。肺吸虫病患者有浆膜腔积液时,积液检查可见嗜酸性粒细胞、乳酸脱氢酶、腺苷脱氨酶、IL-5等增高,葡萄糖降低。当有上述情况时,结合流行病学史应考虑肺吸虫病[15,16]。肺内影像学表现分为3期:组织破坏期、组织反应期和纤维瘢痕期。由于虫体不断移行,以上3期表现常同时存在,其中"隧道征"较有特异性,对肺吸虫病的CT诊断具有较高的提示意义[17] 。免疫学检查及活组织检查对肺吸虫病的诊断具有重要意义。抗原及抗体检测均具有较高的阳性率,后者的血清抗体检测阳性率较前者更高,可作为肺吸虫病的诊断依据。活组织检查找到虫体或虫卵是诊断肺吸虫病的金标准,当病理检查见嗜酸性粒细胞浸润、嗜酸性肉芽肿时,可考虑肺吸虫感染。肺吸虫幼虫在组织中移行可导致组织损伤,活组织检查时可见隧道样结构,能进一步支持肺吸虫病的诊断。
肺吸虫病常用治疗药物为吡喹酮和三氯苯达唑[18]。在药物治疗的基础上,部分患者需辅以手术治疗。手术治疗主要是为了引流积液、切除包块及清除占位。引流液或切除的组织送病理学检查,可协助诊断和鉴别诊断。本例患者经3个疗程驱虫治疗后复查血常规示嗜酸性粒细胞计数基本恢复正常,进一步支持肺吸虫病的诊断。
本例患者首次住院出现误诊的主要原因:①由于结核性胸膜炎和肺吸虫病的症状及实验室检查常具有相似性,而结核病的发病率又相对较高,且该地区为非肺吸虫高发区,自1949年以来该地区未曾报道过肺吸虫感染病例,患者为青年男性,为结核性胸膜炎的好发年龄,其胸腔积液的特点也符合结核性胸膜炎的诊断标准,试验性抗结核治疗期间患者病情曾一度好转;②首次住院期间忽略了嗜酸性粒细胞增高的病因分析;③肺吸虫病的血清学检测并非医院常规检查项目,粪便检查仅有15%~40%的患者可查见并殖吸虫卵,增加了诊断该疾病的难度。
因此,非肺吸虫病高发区的临床医师对出现浆膜腔积液、皮下包块等临床表现,并伴有外周血嗜酸性粒细胞增多的患者,应考虑肺吸虫感染的可能。通过详细询问患者病史,结合肺吸虫病原学检查或免疫学检查,才能减少误诊,做到早诊断、早治疗。同时,开展健康教育、加强宣传教育工作、改变不良饮食习惯是预防肺吸虫病的重要措施。
所有作者均声明不存在利益冲突





















