
本例患者是以发热、头痛为主要表现的神经梅毒病例。该患者有艾滋病基础,腰椎穿刺前并未将神经梅毒作为主要诊断。脑脊液检查示:有核细胞计数为116×106/L,多核细胞占35%;快速血浆反应素试验效价为1∶2,梅毒螺旋体明胶凝集试验阳性;宏基因组学第二代测序发现密螺旋体序列52条,诊断为神经梅毒。提示宏基因组学第二代测序技术或许能辅助诊断脑膜炎型神经梅毒。
版权归中华医学会所有。
未经授权,不得转载、摘编本刊文章,不得使用本刊的版式设计。
除非特别声明,本刊刊出的所有文章不代表中华医学会和本刊编委会的观点。
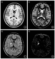
患者男,26岁。因"发热、头痛1个月"于2019年5月6日入南京中医药大学附属南京医院。患者1个月前在无明显诱因下出现全身乏力,伴发热,体温为38.0 ℃左右,无其他伴随症状,当地医院予以输液治疗(具体不详)后体温恢复正常,但出现头痛、恶心,无呕吐,后头痛呈持续性加重,休息后无好转。1 d前患者再次出现发热,体温为38.5 ℃,伴有畏寒、头痛,考虑"中枢神经系统感染",因其HIV抗体阳性,故转入南京中医药大学附属南京医院。患者1年前曾有梅毒病史,自诉于当地医院接受肌内注射苄星青霉素治疗3次后未再复查。患者于2016年确诊HIV-1抗体阳性,并启动拉米夫定+替诺福韦+奈韦拉平抗病毒治疗,1年前自行停止抗病毒治疗,CD4+T淋巴细胞计数和病毒载量均不详。既往有双性无保护冶游史。体格检查:体温为38.5 ℃,脉搏为70次/min,呼吸为20次/min,血压为120/80 mmHg(1 mmHg=0.133 kPa)。神清,精神萎,消瘦貌,言语正常,对答切题,查体合作,全身未见皮疹,皮肤、巩膜未见黄染,颈部淋巴结未触及明显肿大。双侧瞳孔等大、等圆,直径为3 mm,对光反射灵敏,口腔黏膜未见白斑。颈项强直,双肺呼吸音清,未闻及干、湿啰音,心音有力,律齐,未闻及病理性杂音。腹平软,无压痛,肝脾肋下未及,移动性浊音阴性。克尼格征和布鲁津斯基征均为阴性,右侧巴宾斯基征可疑阳性。入院后血液分析、生物化学检查、凝血功能检查均未见明显异常。血清快速血浆反应素试验(rapid plasma regain test,RPR试验)效价为1∶512,梅毒螺旋体明胶凝集试验(treponema pallidum particle assay,TPPA)阳性。单纯疱疹病毒Ⅰ型抗体IgG阳性,单纯疱疹病毒Ⅰ型抗体IgM和Ⅱ型抗体IgG+IgM均阴性;CMV DNA<500拷贝/mL。血MTB抗体、T-SPOT.TB、血隐球菌荚膜抗原、血GeneXpert MTB/RIF、血培养和血分枝杆菌培养均为阴性。CD4+T淋巴细胞计数为57/μL。头颅CT+胸部CT平扫检查未见明显异常;颅脑MRI检查示右侧基底节区有异常信号,感染可能(图1)。行腰椎穿刺术送检脑脊液显示:脑脊液压力为100 mmH2O(1 mmH2O=0.009 8 kPa),脑脊液常规检查显示无色、清晰;潘氏球蛋白试验阴性;有核细胞计数为116×106/L,多核细胞占35%,单核细胞占65%;脑脊液CMV DNA<500拷贝/mL;脑脊液墨汁染色、脑脊液结核分枝杆菌涂片、脑脊液隐球菌荚膜抗原、脑脊液GeneXpert MTB/RIF和脑脊液培养均为阴性;脑脊液梅毒抗体RPR试验阳性(效价为1∶2),TPPA阳性;宏基因组学第二代测序(以下简称二代测序)检测出密螺旋体序列52条,人类疱疹病毒5型(即CMV)序列14条。诊断为神经梅毒,予青霉素钠(每次320万U,每4 h 1次,静脉滴注)进行驱梅治疗,予甘露醇(25 g/次,每8 h 1次,静脉滴注)进行脱水降颅压治疗,予拉米夫定(0.3 g,1次/d)、替诺福韦(0.3 g,1次/d)和洛匹那韦/利托那韦(每次400/100 mg,2次/d)进行抗反转录病毒治疗,患者发热、头痛症状逐渐消退。采用青霉素治疗10 d后,患者再次出现发热,并出现皮疹伴瘙痒,怀疑青霉素过敏反应,改用头孢曲松(每次1.0 g,每12 h 1次,静脉滴注)进行驱梅治疗。完成14 d驱梅治疗疗程后,患者症状逐渐缓解,予以办理出院,随后失访。


神经梅毒是由梅毒螺旋体感染引起的中枢神经系统慢性感染性疾病,可发生于感染梅毒螺旋体后的任何阶段[1],在HIV感染者中其发病率更高[2]。因其广泛的临床症状而被称为"伟大的模仿者",主要包括无症状的早期神经梅毒、梅毒性脑膜炎、脑膜血管神经梅毒、麻痹性痴呆和脊髓炎等[3,4]。梅毒性脑膜炎表现为头痛、畏光、脑神经麻痹(包括失明、眩晕、耳聋)、神志不清、嗜睡、癫痫发作等[5,6],其占所有神经梅毒的1.4%~6%[4]。本例患者以发热、头痛为主要临床表现,难以与其他中枢神经系统感染相鉴别。
由于无金标准,所以神经梅毒的诊断主要依据临床特征的综合评估和脑脊液的检查,即有神经症状,脑脊液细胞计数增多,脑脊液蛋白质水平升高,脑脊液性病研究实验室(venereal disease research laboratory,VDRL)和密螺旋体抗体检查阳性等[7]。研究显示,脑脊液VDRL特异度高,但灵敏度为30%~70%,而脑脊液RPR试验与脑脊液VDRL具有相似的灵敏性和特异性;相比之下,脑脊液密螺旋体抗体检查的灵敏性和特异性则更高[3,8];当脑脊液VDRL无反应时,脑脊液TPPA亦可用于诊断神经梅毒[9]。由于南京中医药大学附属南京医院目前还无VDRL试剂,所以本例患者采用血清和脑脊液RPR试验和TPPA辅助诊断。本例患者血清学和脑脊液梅毒相关检测均阳性,结合其既往梅毒病史和临床症状,神经梅毒诊断明确。
AIDS患者常见的中枢神经系统并发症包括隐球菌性脑膜炎、结核性脑膜炎、脑弓形虫病、CMV性脑炎、进行性多灶性白质脑病等[10],病情进展快,如果不及时诊断和治疗,预后差。二代测序技术的优势是不需事先知晓可疑病原菌,通过1次操作即可检测出临床样本中所有病原菌,尤其适用于临床表现不典型的病例[11,12]。对于本例AIDS患者出现发热伴头痛,刚开始未考虑神经梅毒,而专注于其中枢神经系统感染可能由混合感染所致。本例患者入院当天即行腰椎穿刺术送检脑脊液相关病原学检查和二代测序。脑脊液二代测序发现密螺旋体和CMV序列。因患者血液和脑脊液CMV DNA均阴性,故未按照CMV性脑炎处理。最终,经过单纯驱梅治疗后患者病情缓解,证实了二代测序结果与临床情形相符。
近年来,二代测序被逐渐应用于感染病原体的检测[12,13,14],包括细菌、病毒、寄生虫、真菌等,并展现出广阔的应用前景。然而,目前二代测序在密螺旋体感染领域的应用还鲜见报道,是否比传统的检查方法更灵敏和更具有特异性,还需进一步研究。本研究提示,二代测序作为一种新型分子生物学技术或能帮助发现梅毒螺旋体感染的线索,辅助临床微生物病原学诊断。
所有作者均声明不存在利益冲突

























