
粪类圆线虫是一种肠道寄生虫,主要由幼虫通过皮肤或黏膜侵入人体而引发疾病,也可因食入虫卵而感染。该病为机会致病,多为散发,临床表现复杂多样,常规实验室检查和影像学表现均缺乏特异性,不容易及时诊断,感染者易进展为重症感染,病死率极高。现报道2例粪类圆线虫感染所致肠梗阻病例,并结合文献进行回顾分析,为临床医师加深对该病致病特点和治疗要点的理解提供参考。
版权归中华医学会所有。
未经授权,不得转载、摘编本刊文章,不得使用本刊的版式设计。
除非特别声明,本刊刊出的所有文章不代表中华医学会和本刊编委会的观点。
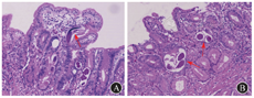
例1 患者女,50岁,既往体健。因"双下肢水肿伴纳差4月余,腹痛加重4 d余"于2020年8月27日收治于复旦大学附属华山医院消化科。患者2020年3月起逐渐出现腹胀、恶心、呕吐,呕吐物多为胃内容物。4月于外院行胃镜检查提示真菌性食管炎,CRP为11.2 mg/L,ALT为65 U/L,AST为61 U/L,白蛋白为31.3 g/L。腹部CT检查示:腹盆腔内肠管略扩张,积液、积气并气液平,肠梗阻?4月26日行结肠镜及活体组织检查示:回盲部及降结肠散在糜烂,乙状结肠息肉样增生。4月27日患者出现鲜血便,予以急诊肠镜下止血,对症处理后患者仍有双下肢水肿、纳差等症状。6月26日查肝功能,白蛋白为20 g/L,腹部CT检查示:胆总管上段扩张,十二指肠大乳头肿胀增大,倾向于不全梗阻,部分肠壁增厚(水肿),"双壁"样增厚,肠系膜区多发粟粒状淋巴结,倾向于炎性病变可能。7月21日至复旦大学附属华山医院查胶囊小肠镜示:小肠黏膜弥漫性炎症伴溃疡(空肠显著)。予美沙拉秦、匹维溴铵对症处理。患者腹胀、腹痛症状明显加重,8月17日上腹部CT检查示:小肠扩张伴气液平,小肠梗阻待排。患者为求进一步诊治收入复旦大学附属华山医院消化科。入院体格检查:消瘦,全身皮肤未见皮疹及瘀斑、瘀点。双肺未闻及明显湿啰音。腹软,脐周有压痛,伴反跳痛,墨菲征阴性,余腹无压痛、反跳痛,移动性浊音阴性,双下肢可见明显凹陷性水肿。入院后查血常规:白细胞计数为3.40×109/L(下降),中性粒细胞比例为0.800,淋巴细胞比例为0.350,单核细胞比例为0.100,嗜酸性粒细胞比例为0.02,红细胞计数为3.65×1012/L,血红蛋白为114 g/L,血小板计数为140×109/L。住院期间出现白细胞、红细胞和血小板计数进行性减少,淋巴细胞绝对值为0.64×109/L,骨髓流式细胞免疫荧光分析、骨髓涂片、骨髓活体组织检查示血液系统肿瘤依据不足。球蛋白为19 g/L(下降),免疫球蛋白分类:血IgM为0.27 g/L(下降),血IgG为6.08 g/L(下降),血IgA为1.92 g/L,补体C3为0.268 g/L(下降)。外周血淋巴细胞亚群示B淋巴细胞免疫缺陷,CD19+为0.04%(下降),CD20+为0.14%(下降)。肠镜检查及组织病理示:黏膜轻中度慢性炎伴浅表糜烂及轻度不典型增生,另见寄生虫虫体(图1)。故转入感染科进一步治疗,肠黏膜组织PCR检测鉴定为粪类圆线虫。胃液直接镜检见成虫虫体(图2),胃液行宏基因组学第二代测序发现大量粪类圆线虫序列(6 847条序列)。结合病理学、体液形态学、分子生物学检查,考虑该患者符合肠道粪类圆线虫感染。进一步完善肺部CT和头颅MRI检查,结果显示粪类圆线虫播散至肺部及颅内依据不足。仔细追问病史,患者在上海市的工作为列车保洁员,经常有不带手套接触污物及污水史。2020年3月因重症肺炎(CT检查示两肺广泛间质性炎症改变,病毒性肺炎可能性大)于外院住院治疗,住院期间查外周血淋巴细胞亚群发现B淋巴细胞比例极低,病程中因重症肺炎曾使用糖皮质激素治疗半月余。4月又在当地医院诊断为"真菌性食管炎",提示患者可能存在免疫缺陷。入院后查CMV DNA阳性,痰培养示肺炎克雷伯菌,故予膦甲酸钠3 g(每12 h 1次)静脉滴注抗病毒治疗,头孢他啶2 g(每12 h 1次)静脉滴注抗细菌治疗,采用阿苯达唑0.4 g(2次/d)口服7 d进行粪类圆线虫病治疗,并予丙种球蛋白20 g静脉滴注3 d纠正低球蛋白血症。治疗后腹胀较前明显好转,肺部感染较前好转,CMV DNA转阴,复查胃液、尿液、粪便样本,镜检均未见粪类圆线虫虫体,考虑粪类圆线虫病治疗有效,复查腹部CT示肠梗阻缓解,故予拔出胃管,正常进食后患者症状无反复。




例2 患者男,68岁,既往有类风湿性关节炎及糖尿病病史。因"腹痛、腹胀2个月"于2021年5月20日收治于复旦大学附属华山医院ICU。2021年3月24日患者因腹痛、腹胀伴恶心、呕吐于外院就诊。查血常规:白细胞计数为3.28×109/L,中性粒细胞比例为0.718,淋巴细胞比例为0.147,单核细胞比例为0.094,嗜酸性粒细胞比例为0.04,血红蛋白为122 g/L,血小板计数为233×109/L。ALT为20 U/L,AST为17 U/L,总胆红素为22.0 μmol/L,白蛋白为34 g/L,肌酐为52 μmol/L。腹部CT检查示腹部部分肠管积气,少许散在小液平;肺部CT检查示两肺多发斑片影,部分伴实变。诊断为"不完全性肠梗阻,肺部感染",予禁食、胃肠减压,采用左氧氟沙星0.4 g/d静脉点滴,头孢曲松2.0 g/d静脉点滴抗感染治疗后无明显缓解。为求进一步诊治收入复旦大学附属华山医院。入院体格检查:消瘦,四肢可见瘀斑、瘀点。双肺可闻及明显湿啰音。腹膨隆,腹软,无压痛,墨菲征阴性,移动性浊音阴性,双下肢未见明显凹陷性水肿。入院后查血常规:白细胞计数为4.00×109/L,中性粒细胞比例为0.881,淋巴细胞比例为0.077,淋巴细胞绝对值为0.31×109/L,单核细胞比例为0.042,嗜酸性粒细胞比例为0.02,血红蛋白为72 g/L,血小板计数为218×109/L,CRP为9.95 mg/L,ALT为35 U/L,AST为18 U/L,总胆红素为15.7 μmol/L,白蛋白为25 g/L,球蛋白为31 g/L,肌酐为25 μmol/L。补体C3为0.585 g/L,C4为0.147g/L,类风湿因子为451 IU/mL。肺部CT检查示:双肺散在斑片影,双侧胸腔积液(图3)。查粪便、痰液均可见到粪类圆线虫(图4)。追问病史:患者2018年诊断为类风湿性关节炎,2019年曾接受阿达木单抗治疗,效果欠佳。2021年2月23日和3月23日接受托珠单抗治疗,同时予甲泼尼龙20 mg/d口服,此次发病后停用托珠单抗,类风湿性关节炎糖皮质激素治疗减量为甲泼尼龙4 mg/d口服,并加用托法替布5 mg/d口服。2年前曾有野外井水生饮史。患者入院后诊断为"播散性粪类圆线虫感染(肺、肠道)、类风湿性关节炎、2型糖尿病",先后予阿苯达唑0.4 g(3次/d)口服(5月24日至28日),伊维菌素12 mg/d口服2 d,完成2次(5月28日至29日,6月11日至12日),每次2剂抗寄生虫治疗,哌拉西林舒巴坦4.5 g(每8 h 1次)静脉滴注加强抗感染治疗,甲泼尼龙4 mg/d口服控制原发病,丙种球蛋白5 g/d静脉滴注5 d,并辅以白蛋白等营养支持治疗。6月1日起患者痰、粪便多次镜检均未见粪类圆线虫虫体,腹胀较前明显好转,肺部CT检查示肺部病灶较前吸收,考虑粪类圆线虫病治疗有效。




粪类圆线虫是一种肠道寄生虫,是生活在土壤中的一种线虫。世界范围内约有300万至1亿人感染[1]。在亚洲热带地区、非洲、拉丁美洲及美国南部和南、东欧都有广泛流行。近年来,在北京市、浙江省、广西壮族自治区、广东省、江西省、福建省等均有散发病例报道[2]。本病的传染源为粪类圆线虫感染患者和带虫者,可由幼虫通过皮肤或黏膜侵入人体而引发疾病,也可因食入虫卵而感染。由于近年来类固醇激素和免疫抑制剂的使用增加,播散性粪类圆线虫病的发病率明显升高[3]。
人对粪类圆线虫普遍易感。本病的临床表现多样,主要分为3种类型:急性感染、慢性自身感染和播散性重症感染。当急性感染时,免疫功能正常的宿主可迅速清除感染。慢性自身感染时,感染可持续数年至数十年,病程中可出现反复间歇性的肠道感染。而当宿主免疫功能受损时,体内迁徙的丝状幼虫数量快速增殖,可导致播散性重症感染。由于粪类圆线虫蚴常经皮肤或黏膜侵入宿主,所以主要可表现为侵入处皮疹、移行期的肺部损伤和肠道累及的腹泻等。皮肤损伤多表现为风疹和肛周匍行疹。当幼虫移行至肺、支气管时,则可出现咳嗽、呼吸急促、咯血等。因此,重症患者呼吸道分泌物标本中可见粪类圆线虫幼虫。消化道感染时,常伴随间歇性上腹部疼痛、恶心、呕吐,或腹泻和便秘交替出现。受累肠壁组织中可查见虫体。
粪类圆线虫通常引起无症状感染或轻症感染,免疫功能低下是粪类圆线虫机会性感染的重要因素。当丝状蚴大量播散至肺、肝、心脏、中枢系统时,造成播散性重症粪类圆线虫感染,同时易合并多种其他病原体的混合感染,从而导致脓毒症、脑膜炎等,病死率高达60%~80%[4,5]。
粪类圆线虫的诊断主要包括疫源接触史。由于粪类圆线虫存在慢性自身感染,所以需要仔细询问患者多年前是否有至流行区居住或旅游史。临床表现如出现本病特异性的肛周荨麻疹带形皮损(Larva currens)[6]、肺部和肠道累及症状者,应考虑本病的可能。确诊本病需进行实验室检查,腹泻患者的粪便中可查到杆状蚴及虫卵,唾液、胃液、尿液、脑脊液检测中均可查到虫体。近年来,PCR技术检测粪类圆线虫DNA成为诊断检测的重要方法,特别是宏基因组学的广泛开展,极大地提高了临床诊治效率。本研究2例患者可分别从痰液、胃液、粪便中查到虫体,从而第一时间诊断该病,并通过胃液的宏基因组学第二代测序技术及肠组织病理发现粪类圆线虫的存在,多种方法明确了粪类圆线虫感染的诊断。值得注意的是,此两例患者均以消化道症状起病,但嗜酸性粒细胞比例并不高,最终通过肠壁活体组织检查和粪便、痰液镜检发现虫体得以明确诊断。根据既往文献报道,急性期嗜酸性粒细胞常增多(可达30%以上)[6,7],但播散性重症患者可不增多甚至减少[4]。因此,对于免疫功能低下的患者,粪类圆线虫作为机会性寄生虫感染,即使嗜酸性粒细胞无明显升高,临床医师仍需提高警惕。
免疫功能低下是粪类圆线虫感染的重要因素。胃肠道内自身感染开始是指杆状蚴发育为丝状蚴,随后穿过肠壁进入血流。而当宿主免疫功能低下时,大量丝状蚴通过血流播散至各个脏器,从而导致重症粪类圆线虫感染。本研究2例患者消瘦明显,且存在免疫功能低下的基础。例1患者发病前有糖皮质激素使用史,而例2患者发病前曾使用TNF-α抑制剂和IL-6受体单抗,这些都是粪类圆线虫重症感染常见的诱因。临床中粪类圆线虫快速繁殖往往出现在以下情况:使用糖皮质激素和钙调磷酸酶抑制剂的患者,实体器官和造血干细胞移植(hematopoietic cell transplantation,HCT)受者,烧伤者,酗酒者,低丙种球蛋白血症患者,病毒感染[包括人类嗜T细胞病毒(human T-lymphotropic virus,HTLV-1)感染、HIV感染]者、严重营养不良者等[8]。免疫功能低下的宿主除了粪类圆线虫感染,病程中同样易合并其他机会性感染。例1患者出现淋巴细胞绝对值明显减少和低丙种球蛋白血症,从而继发了CMV感染、真菌性食管炎、细菌性肺炎。例2患者的细胞免疫严重受损,虽然球蛋白处于正常范围,但其类风湿性关节炎尚未完全控制,仍需使用糖皮质激素治疗。一方面免疫抑制状态继发的细菌、真菌、病毒、寄生虫感染导致多脏器受累,为抗感染治疗带来了挑战;另一方面如何找到原发病和机会性感染的最佳免疫平衡点也至关重要。因此,在临床使用激素类药物或免疫抑制剂前,应做粪类圆线虫常规检查。如发现粪类圆线虫感染,驱虫前也应停用糖皮质激素或免疫抑制剂[9]。
粪类圆线虫感染的治疗首选伊维菌素200 μg/kg顿服,有效率为93%~100%[9],但由于我国难以获得,所以常用阿苯达唑作为替代治疗(10 mg/kg,2次/d,连服7 d)。重症粪类圆线虫感染的抗寄生虫治疗疗程可根据粪便或体液幼虫镜检结果适当延长,或采用重复治疗(每隔2周)直至镜检结果转阴;此外,对重症患者需进行经验性覆盖革兰阴性菌的抗感染治疗[9]。伊维菌素药物不良反应大,而莫昔克丁作为伊维菌素的替代药物,目前已完成随机、单盲、安慰剂对照、多中心临床Ⅱa期试验[10],有效率达83%~88%,并推荐8 mg作为治疗剂量。本研究2例患者在病程中除了使用驱虫药物,例1患者使用丙种球蛋白积极纠正体液免疫功能低下,例2患者同样使用丙种球蛋白,并暂停生物制剂治疗,同时逐量减少糖皮质激素的使用。除了抗寄生虫治疗、纠正免疫失衡,本研究2例患者均全面评估其他细菌、真菌、病毒的机会性感染,并予以对症治疗。因此,在粪类圆线虫感染的诊治中尽快纠正宿主免疫功能低下水平的诱因,评估及治疗其他病原体的机会性感染同样至关重要。
所有作者均声明不存在利益冲突





















