
版权归中华医学会所有。
未经授权,不得转载、摘编本刊文章,不得使用本刊的版式设计。
除非特别声明,本刊刊出的所有文章不代表中华医学会和本刊编委会的观点。
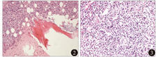
患者男,63岁,因腹胀、腹泻、消瘦3个月于2014年6月6日入院。患者2014年3月起无明显诱因出现腹胀,伴腹泻,3~4次/d,伴纳差、乏力、消瘦,3个月内体质量减轻8 kg。入院前腹盆CT示局部肠管扩张,可见气液平;结肠镜示直肠炎性反应。对症治疗效果不佳。既往有脂肪乳过敏,大量吸烟史,肿瘤家族史。体格检查:血压90/61 mmHg(1 mmHg=0.133 kPa),体型消瘦,贫血貌,心肺无殊,腹软,肠鸣音活跃。患者入院后查血常规WBC计数4.84×109/L,中性粒细胞0.475,单核细胞0.12,淋巴细胞0.40,Hb 94 g/L,PLT 386×109/L;尿、粪便常规(–);白蛋白31 g/L,LDH 109 U/L;肾功能正常;PT 17.0 s,活化部分凝血活酶时间55.2 s,D-二聚体0.24 mg/L。粪便病原学筛查阴性。抗核抗体阴性。血清蛋白电泳M蛋白10.60 g/L,M蛋白百分比15.5%。血清免疫固定电泳:IgMκ链阳性(+);游离轻链κ 3 530 mg/L,游离轻链λ 81.4 mg/L,κ/λ为43.4。血涂片示红细胞大小不等,可见大红细胞。骨髓涂片:红细胞缗线样排列,淋巴细胞比例增高,片中疑似淋巴浆细胞占0.01,见图1。骨髓活组织检查:骨髓组织中造血组织明显增多,造血组织中可见较多B表型小淋巴细胞,考虑B细胞性淋巴瘤或白血病,见图2。骨髓免疫组织化学显示CD117(–),CD138(–),CD15(+),CD20(+),CD3(灶+),CD34(血管+),CD38(散在+),髓过氧化物酶(+),Ki-67指数0.40;特殊染色显示刚果红(–),高锰酸钾化刚果红(–)。结肠镜见回肠末端多发白色点状物,肠镜病理示(回肠末段)小肠黏膜慢性炎性反应,固有层内局灶较多淋巴细胞及浆细胞聚集,以B淋巴细胞为主,见图3。免疫组织化学显示AE1/AE3(–),CD10(部分+),CD138(–),CD20(部分+),CD23(+),CD3(–),CD5(部分+),细胞周期素D1(部分+),Ki-67指数0.15。正电子发射型计算机断层显像(positron emission computed tomography,PET)检查示全身多发淋巴结代谢增高,全身骨髓及脾脏代谢异常增高,结肠受累不除外,见图4。最终诊断:非霍奇金淋巴瘤(non Hodgkin lymphoma,NHL),确切分型为淋巴浆细胞淋巴瘤(lymphoplasmacytic lymphoma,LPL)。截稿时患者已经完成2个疗程R-CHOP方案化学疗法,已过渡为正常饮食,排便2~3次/d,为黄色成形软便,无腹痛、腹泻、恶心、呕吐等不适,体质量增长5 kg左右,贫血明显改善(Hb 121 g/L)。患者仍在随访中。






LPL为一种少见的NHL,是由小B淋巴细胞、浆细胞样淋巴细胞和浆细胞组成的低度恶性肿瘤,来源于向浆细胞分化的外周B淋巴细胞,表达B细胞抗原,通常累及骨髓、淋巴结和脾,15%~20%的病例发生淋巴结外浸润,如肺、胃肠道、皮肤等,临床表现多样。本例患者以消化道常见症状腹泻起病,病情发展迅速,诊断首先考虑消化系统疾病,而患者粪便常规、粪便病原学检查、胃肠镜检查、影像学检查等均无阳性发现。其血常规和凝血的异常提示应重点筛查血液系统和免疫系统疾病,完善检查发现其M蛋白阳性,M蛋白主要见于以下疾病:①浆细胞疾病,如多发性骨髓瘤;②淋巴瘤及白血病;③良性疾病,如结核病、系统性红斑狼疮等[1]。随后完善骨髓活组织检查、结肠镜多点活组织检查,并行刚果红染色及免疫组织化学检查,最终诊断为LPL。
以消化道症状起病的LPL患者并不多见,Arista Nasr和Lome-Maldonado[2]曾报道1例全消化道受累的LPL,其突出症状为乏力、发热、消瘦、腹泻与黑便,与该患者症状相似。LPL的诊断并不困难,其骨髓形态学表现相对典型,细胞胞体积小,细胞质少,核圆或稍不规则,染色质粗,核仁不明显;可见浆细胞样分化,伴有多少不等的浆细胞[3]。治疗方面,并不是所有的LPL患者都需要治疗,仅合并华氏巨球蛋白血症、Hb<100 g/L、肾功能不全等时需要治疗[4],本例患者需要治疗。LPL的治疗与其他B细胞性淋巴瘤类似,以利妥昔单克隆抗体为基础的联合化学疗法已得到公认。大部分患者病程较长,经治疗可获缓解,但治愈较为困难,中位生存期为50~60个月。少数病例可向弥漫大B细胞淋巴瘤(diffuse large B-cell lymphoma, DLBCL)转化,发生转化者预后较差。
综上所述,以消化系统症状起病的LPL相对少见。本例以腹泻起病,症状缺乏特异性,在诊治过程中体会:①遵循临床思维循序渐进,可从普通的生物化学检查中精筛下一步诊断方案;②本例患者并未发现结肠镜下病变,但腹泻患者仍建议常规进行病理检查,这例患者在内镜正常的黏膜取活组织检查亦发现高度淋巴细胞的积聚,有一定的启示作用,最终结合PET结果,考虑消化道症状与结肠受累有一定的关系,而患者在接受治疗后,腹泻等症状也明显缓解;③M蛋白阳性,且伴有非特异性的消化道症状,需想到LPL或华氏巨球蛋白血症的可能。





















